Petit's hernia
| Petit's hernia | |
|---|---|
![]() | |
| Posterior view of muscles connecting the upper extremity to the vertebral column. Inferior lumbar triangle is labeled in red at bottom left. | |
Petit's hernia is a hernia that protrudes through the lumbar triangle (aka Petit's triangle).[1] This triangle lies in the posterolateral abdominal wall and is bounded anteriorly by the free margin of external oblique muscle, posteriorly by the latissimus dorsi and inferiorly by the iliac crest. The neck (the spot where the hernia protrudes into the opening) is large, and therefore this hernia has a lower risk of strangulating than some other hernias.
Petit's hernia occurs more often in males than in females[2] and more often on the left side than on the right.

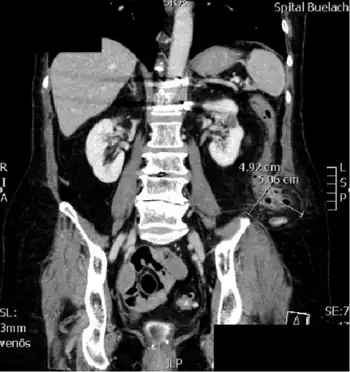
Image-perforated sigmoid colon in a left lumbar hernia, classified as Petit's hernia
See also
References
- ↑ Lawrence, Peter F.; Bell, Richard M.; Dayton, Merril T.; Hebert, James (2013). Essentials of General Surgery. Lippincott Williams & Wilkins. p. 215. ISBN 9781469837291. Archived from the original on 24 December 2022. Retrieved 7 March 2018.
- ↑ Feldman, Mark; Friedman, Lawrence S.; Brandt, Lawrence J. (2010). Sleisenger and Fordtran's Gastrointestinal and Liver Disease E-Book: Pathophysiology, Diagnosis, Management, Expert Consult Premium Edition - Enhanced Online Features. Elsevier Health Sciences. p. 392. ISBN 978-1437727678. Archived from the original on 24 December 2022. Retrieved 7 March 2018.
External links
| Classification |
|---|
This article is issued from Wmcloud. The text is licensed under Creative Commons - Attribution - Sharealike. Additional terms may apply for the media files.
