Riedel's thyroiditis
| Riedel's thyroiditis | |
|---|---|
| Other names: Riedel's struma | |
| Specialty | Endocrinology |
Riedel's thyroiditis, is a chronic form of thyroiditis. It is now believed that Riedel's thyroiditis is one manifestation of a systemic disease that can affect many organ systems called IgG4-related disease. It is often a multi-organ disease affecting pancreas, liver, kidney, salivary and orbital tissues and retroperitoneum. The hallmarks of the disease are fibrosis and infiltration by IgG4 secreting plasma cells.[1]
Signs and symptoms
The presentation of Riedel thyroiditis in an affected individual is as follows:[2]
Pathophysiology
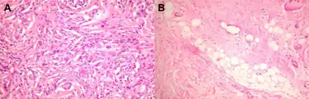
Riedel's thyroiditis is characterized by a replacement of the normal thyroid parenchyma by a dense fibrosis that invades adjacent structures of the neck and extends beyond the thyroid capsule.[3] This makes the thyroid gland stone-hard (woody) and fixed to adjacent structures. The inflammatory process infiltrates muscles and causes symptoms of tracheal compression. Surgical treatment is required to relieve tracheal or esophageal obstruction.
Diagnosis

It typically present as a painless, hard anterior neck mass, which progresses over weeks to years to produce symptoms of compression, including dysphagia, dyspnea choking and hoarseness. Patients may present with symptoms of hypothyroidism and hypoparathyroidism as the gland is replaced by Fibrous tissues . Physical examination reveals a hard "woody" thyroid gland with fixation to surrounding tissue.[4]
The diagnosis needs to be confirmed by open thyroid biopsy because the firm and Fibrous nature of the gland renders FNAB inadequate.
Treatment
Therapy usually consists of prednisolone, nonetheless some cases may require surgery. Tamoxifen has been proposed as part of a treatment plan.[5]
Treatment is directed to surgical relief of compressive symptoms. Tamoxifen may also be beneficial. The type of surgery which is indicated here is isthmectomy.
Prevalence
Riedel's thyroiditis is classified as rare.[6] Most patients remain euthyroid, but approximately 30% of patients become hypothyroid and very few patients are hyperthyroid. It is most commonly seen in women.[7]
Eponym
It is named for Bernhard Riedel. He first recognized the disease In 1883 and published its description in 1896.[8][9]
References
- ↑ John H. Stone; Yoh Zen; Vikram Deshpande (February 2012). "IgG4-Related Disease". New England Journal of Medicine. 366 (6): 539–51. doi:10.1056/NEJMra1104650. PMID 22316447.
- ↑ Gosi, Shiva Kumar Y.; Nguyen, Minhthao; Garla, Vishnu V. (2023). "Riedel Thyroiditis". StatPearls. StatPearls Publishing. Archived from the original on 2022-11-06. Retrieved 2023-08-04.
- ↑ Cho MH, Kim CS, Park JS, et al. (August 2007). "Riedel's thyroiditis in a patient with recurrent subacute thyroiditis: a case report and review of the literature". Endocr. J. 54 (4): 559–62. doi:10.1507/endocrj.K06-186. PMID 17603227.
- ↑ Nagrath, Arun (2012), "Chapter-02 Principle of Surgery", Pediatric Secrets 1 Edition, Jaypee Brothers Medical Publishers (P) Ltd., p. 4, doi:10.5005/jp/books/11578_2, ISBN 9789350257753, retrieved 2022-08-17
- ↑ Dabelic N, Jukic T, Labar Z, Novosel SA, Matesa N, Kusic Z (April 2003). "Riedel's thyroiditis treated with tamoxifen" (PDF). Croat. Med. J. 44 (2): 239–41. PMID 12698518. Archived (PDF) from the original on 2008-09-10. Retrieved 2023-01-29.
- ↑ Harach, HR; Williams, ED (Sep 1983). "Fibrous thyroiditis--an immunopathological study". Histopathology. 7 (5): 739–51. doi:10.1111/j.1365-2559.1983.tb02286.x. PMID 6195075. S2CID 31592244.
- ↑ "Riedel Thyroiditis: Background, Etiology, Epidemiology". January 24, 2022. Archived from the original on February 4, 2023. Retrieved January 29, 2023 – via eMedicine.
{{cite journal}}: Cite journal requires|journal=(help) - ↑ B. M. C. L. Riedel. Die chronische, zur Bildung eisenharter Tumoren führende Entzündung der Schilddrüse. Archived 2023-08-05 at the Wayback Machine Verhandlungen der deutschen Gesellschaft für Chirurgie, 1896, 25: 101-105.
- ↑ synd/3242 at Who Named It?
External links
| Classification | |
|---|---|
| External resources |