
Overview
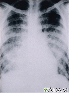
This chest x-ray shows cloudiness throughout the lungs, caused by acute pneumonia following chickenpox. Pneumonia, as a complication of chickenpox, rarely occurs in children, but occurs in about one-fifth of adults.
Review Date 8/5/2023
Updated by: Neil K. Kaneshiro, MD, MHA, Clinical Professor of Pediatrics, University of Washington School of Medicine, Seattle, WA. Also reviewed by David C. Dugdale, MD, Medical Director, Brenda Conaway, Editorial Director, and the A.D.A.M. Editorial team.