Acral lentiginous melanoma
Acral lentiginous melanoma | |
---|---|
![]() | |
Specialty | Oncology, dermatology ![]() |
Symptoms | Areas of dark pigmentation [1] |
Causes | Malignant melanocytes[2][3] |
Diagnostic method | Biopsy[4] |
Treatment | Biologic immunotherapy agents[5] |
Frequency | Males = Females[6] |
Acral lentiginous melanoma (ALM) is a type of skin cancer.[6] It typically begins as a uniform brownish mark before becoming darker and wider with a blurred, irregular border. ALM is most frequently seen on the foot of a person with darker skin but can also be found in non-sun exposed areas such as the palms, soles, and under finger and toenails.[6] It may become bumpy and ulcerate.[6] When under the nail it typically appears as dark longitudinal streaks.[7] As it grows, ALM may also spread to other areas of the body.[7]
Melanoma is a group of serious skin cancers that arise from pigment cells (melanocytes); acral lentiginous melanoma is a kind of lentiginous[8] skin melanoma.[6] ALM makes up less than 5% of all melanomas, but is considered the most common subtype in people with darker skin and is rare in people with lighter skin types.[9] It is not caused by exposure to sunlight or UV radiation, and wearing sunscreen does not protect against it. It occurs on non-hair-bearing surfaces of the body, which have not necessarily been exposed to sunlight. It is also found on mucous membranes.[10]
Epidemiology
The absolute incidence of ALM is the same for people of all skin colors, and has not changed significantly for decades.[10] However, because rates of other melanomas are low in non-white populations, ALM is the most common form of melanoma diagnosed amongst Asian and sub-Saharan African ethnic groups.[11] The average age at diagnosis is between sixty and seventy years.[12] Males and females are affected equally, but females tend to be diagnosed at earlier stages.[6][7]
Signs and symptoms
Typical signs of acral lentiginous melanoma include the following [1]
- Irregular area of pigmentation (usually dark brown or black) found on the palms, feet, or under the nail
- Longitudinal tan, black, or brown streak on a nail
- Pigmentation of proximal nail fold
Other uncommon presentations can include:
- Amelanotic or hypomelanotic areas that may be the same color or lighter than normal skin[13]
Warning signs are new areas of pigmentation, or existing pigmentation that shows change. If caught early, ALM has a similar cure rate as the other types of superficial spreading melanoma.[14] In contrast to cutaneous melanoma which utilizes the ABCDE rule (Asymmetry, Border, Color, Diameter, Evolving) to help identify lesions suspicious for skin cancer, an alternative pneumonic CUBED (Colored lesion, Uncertain diagnosis, Bleeding lesion, Enlargement of the lesion, Delay in healing) has been proposed for ALM based on the differences in signs and presentations between the two cancers.[15]
ALM can also cause other non-specific symptoms if it spreads to certain areas of the body:[16]
- Enlarged lymph nodes (lymph nodes)
- Cough or shortness of breath (lungs)
- Headache (brain)
- Weight loss (gastrointestinal system)
Causes
Acral lentiginous melanoma is a result of malignant melanocytes at the membrane of the skin (outer layers).[2][3] The pathogenesis of ALM remains unclear, however injury or mechanical stress might play a role in its development.[17][18] Unlike cutaneous melanoma, it is not caused by sunlight or UV radiation.[10]
Diagnosis

Although the ideal method of diagnosis of melanoma is complete excisional biopsy,[19] alternative methods may be required based on the location of the melanoma. Dermatoscopy of acral pigmented lesions is very difficult but can be accomplished with diligent focus. Initial confirmation of the suspicion can be done with a small wedge biopsy or small punch biopsy.[4] Thin deep wedge biopsies can heal very well on acral skin, and small punch biopsies may provide enough information to suggest if a lesion is cancerous. Once this confirmatory biopsy is done, a second complete excisional skin biopsy can be performed with a narrow surgical margin (1 mm). This second biopsy will determine the depth and invasiveness of the melanoma,[20] and will help to guide further treatment if necessary. In order to establish the Breslow's depth of the lesion, the most raised section of the pigmented area should be sampled.[21] If the melanoma involves the nail fold or the nail bed, complete excision of the nail unit might be required for accurate sampling.
In the event that the melanoma spreads to other sites such as the lymph nodes, another biopsy called the Sentinel lymph node biopsy may provide more information in terms of outcomes.[21] More extensive melanomas may require wider excision (margins of 0.5 cm or more), digital amputation, lymphangiogram with lymph node dissection, or chemotherapy.[22]
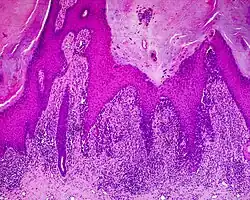
Histology

The main characteristic of acral lentiginous melanoma is continuous proliferation of atypical melanocytes at the dermoepidermal junction.[23] Other histological signs of acral lentiginous melanoma include dermal invasion and desmoplasia.[24] This invasion usually occurs many years after the initial lesion first appears.[7]
According to Scolyer et al.,[25] ALM "is usually characterized in its earliest recognisable form as single atypical melanocytes scattered along the junctional epidermal layer".
Treatment
The mainstay of treatment of acral lentiginous melanoma is wide local excision.[7] If metastatic, biologic immunotherapy agents like ipilimumab, pembrolizumab, and nivolumab; BRAF inhibitors, such as vemurafenib and dabrafenib; or a MEK inhibitor trametinib may be used.[5]
When arising in the nailbed of a digit, the evidence suggests that digit-sparing surgery (wide excision and grafting) has similar outcomes to amputation,[26] therefore, to preserve function and aesthetics it is recommended that clinicians default to digit-sparing surgery. Secondary amputation may be considered if the surgery margins are not clear of cancerous cells, or if patients develop a recurrence of the melanoma.
Prognosis
The prognosis of acral lentiginous melanoma is based on multiple factors including sex, age, race, Breslow depth, staging, and sentinel lymph node positivity.[7] Out of these factors, it is believed that sentinel lymph node positivity provides the strongest prediction of cancer recurrence and death.[27][28] When compared to cutaneous malignant melanoma (CMM), ALM has a poorer prognosis in terms of survival rates.[29] This poorer prognosis is thought to be related to the fact that ALM is usually diagnosed at a later stage than other skin cancers; which may be due to ALM occurring on areas of the body that are harder to notice, especially in the elderly population.[7]
Prevention
Since acral lentiginous melanoma is not linked to sun or UV exposure and the cause is not well-understood, there are no specific preventative measures.[7] However, Patient education can be geared towards populations in which ALM is more common to increase awareness of the warning signs of ALM and other melanomas to help with earlier detection.[30] Early detection is one of the most important factors in disease-specific survival.[7]
Differential Diagnoses

Other benign skin lesions that may mimic acral lentiginous melanoma include: Lentigo (sun spots), Acral Nevi (moles), or Onychomycosis (fungal infection of the nail). These skin lesions can appear as dark brown spots, like ALM, but can be distinguished on close examination or dermatoscopy.[7] Other types of skin cancers like squamous cell carcinoma can also present similarly to ALM.[7]
Society and culture
Jamaican musician Bob Marley died of the condition in 1981, at the age of 36.[31]
See also
References
- ^ a b Goodheart HP (2010-10-25). Goodheart's Same-site Differential Diagnosis: A Rapid Method of Diagnosing and Treating Common Skin Disorders. Lippincott Williams & Wilkins. ISBN 978-1-60547-746-6.
- ^ a b Brown KM, Chao C (2014). Melanoma. Elsevier Health Sciences. ISBN 978-0-323-32683-4. Archived from the original on 2023-01-11. Retrieved 2020-12-06.
- ^ a b Piliang MP (June 2011). "Acral Lentiginous Melanoma". Clinics in Laboratory Medicine. 31 (2): 281–288. doi:10.1016/j.cll.2011.03.005. PMID 21549241. </
- ^ a b ChB DE, PhD SJ (2014-11-10). Superficial Melanocytic Pathology. Demos Medical Publishing. ISBN 978-1-62070-023-5. Archived from the original on 2023-01-11. Retrieved 2020-12-06.
- ^ a b Maverakis E, Cornelius L, Bowen G, Phan T, Patel F, Fitzmaurice S, He Y, Burrall B, Duong C, Kloxin A, Sultani H, Wilken R, Martinez S, Patel F (2015). "Metastatic Melanoma – A Review of Current and Future Treatment Options". Acta Dermato Venereologica. 95 (5): 516–524. doi:10.2340/00015555-2035. PMID 25520039.
- ^ a b c d e f James WD, Elston D, Treat JR, Rosenbach MA, Neuhaus I (2020). "30. Melanocytic nevi and neoplasms". Andrews' Diseases of the Skin: Clinical Dermatology (13th ed.). Edinburgh: Elsevier. pp. 696–697. ISBN 978-0-323-54753-6.
- ^ a b c d e f g h i j k Hall KH, Rapini RP (2024), "Acral Lentiginous Melanoma", StatPearls, Treasure Island (FL): StatPearls Publishing, PMID 32644539, retrieved 2024-11-04
- ^ Phan A, Touzet S, Dalle S, Ronger-Savlé S, Balme B, Thomas L (August 2007). "Acral lentiginous melanoma: histopathological prognostic features of 121 cases". British Journal of Dermatology. 157 (2): 311–318. doi:10.1111/j.1365-2133.2007.08031.x. PMID 17596173. S2CID 40412082.
- ^ Hassel JC, Enk AH (2019), Kang S, Amagai M, Bruckner AL, Enk AH (eds.), "Melanoma", Fitzpatrick's Dermatology (9 ed.), New York, NY: McGraw-Hill Education, retrieved 2024-11-04
- ^ a b c LeBoit PE (2006). Pathology and Genetics of Skin Tumours. IARC. ISBN 978-92-832-2414-3.
- ^ Farage MA (2010-01-22). Textbook of Aging Skin. Springer Science & Business Media. ISBN 978-3-540-89655-5. Archived from the original on 2023-01-11. Retrieved 2020-12-06.
- ^ Swartz MH (2014-01-07). Textbook of Physical Diagnosis: History and Examination. Elsevier Health Sciences. ISBN 978-0-323-22507-6. Archived from the original on 2023-01-11. Retrieved 2020-12-06.
- ^ Choi YD, Chun SM, Jin SA, Lee JB, Yun SJ (November 2013). "Amelanotic acral melanomas: clinicopathological, BRAF mutation, and KIT aberration analyses". Journal of the American Academy of Dermatology. 69 (5): 700–707. doi:10.1016/j.jaad.2013.06.035. ISSN 1097-6787. PMID 23972510.
- ^ Hearing VJ, Leong SP (2007-11-05). From Melanocytes to Melanoma: The Progression to Malignancy. Springer Science & Business Media. ISBN 978-1-59259-994-3.
- ^ Darmawan CC, Jo G, Montenegro SE, Kwak Y, Cheol L, Cho KH, Mun JH (September 2019). "Early detection of acral melanoma: A review of clinical, dermoscopic, histopathologic, and molecular characteristics". Journal of the American Academy of Dermatology. 81 (3): 805–812. doi:10.1016/j.jaad.2019.01.081. ISSN 1097-6787. PMID 30731177.
- ^ Sundararajan S, Thida AM, Yadlapati S, Mukkamalla SK, Koya S (2024), "Metastatic Melanoma", StatPearls, Treasure Island (FL): StatPearls Publishing, PMID 29262232, retrieved 2024-11-05
- ^ Basurto-Lozada P, Molina-Aguilar C, Castaneda-Garcia C, Vázquez-Cruz ME, Garcia-Salinas OI, Álvarez-Cano A, Martínez-Said H, Roldán-Marín R, Adams DJ, Possik PA, Robles-Espinoza CD (January 2021). "Acral lentiginous melanoma: Basic facts, biological characteristics and research perspectives of an understudied disease". Pigment Cell & Melanoma Research. 34 (1): 59–71. doi:10.1111/pcmr.12885. ISSN 1755-148X. PMC 7818404. PMID 32330367.
- ^ Huang K, Fan J, Misra S (July 2020). "Acral Lentiginous Melanoma: Incidence and Survival in the United States, 2006-2015, an Analysis of the SEER Registry". The Journal of Surgical Research. 251: 329–339. doi:10.1016/j.jss.2020.02.010. ISSN 1095-8673. PMID 32208196.
- ^ Shea CR, Reed JA, Prieto VG (2014-11-03). Pathology of Challenging Melanocytic Neoplasms: Diagnosis and Management. Springer. ISBN 978-1-4939-1444-9. Archived from the original on 2023-01-11. Retrieved 2020-12-06.
- ^ Barnhill RL, Piepkorn MW, Busam KJ, eds. (2014). Pathology of Melanocytic Nevi and Melanoma. doi:10.1007/978-3-642-38385-4. ISBN 978-3-642-38384-7.
- ^ a b Swetter SM, Tsao H, Bichakjian CK, Curiel-Lewandrowski C, Elder DE, Gershenwald JE, Guild V, Grant-Kels JM, Halpern AC, Johnson TM, Sober AJ, Thompson JA, Wisco OJ, Wyatt S, Hu S (January 2019). "Guidelines of care for the management of primary cutaneous melanoma". Journal of the American Academy of Dermatology. 80 (1): 208–250. doi:10.1016/j.jaad.2018.08.055. ISSN 1097-6787. PMID 30392755.
- ^ Clarke LE, Clarke JT, Helm KF (2014-03-01). Color Atlas of Differential Diagnosis in Dermatopathology. JP Medical Ltd. ISBN 978-93-5090-845-7. Archived from the original on 2023-01-11. Retrieved 2020-12-06.
- ^ Piliang MP (September 2009). "Acral Lentiginous Melanoma". Surgical Pathology Clinics. 2 (3): 535–541. doi:10.1016/j.path.2009.08.005. PMID 26838538.
- ^ Mooi W, Krausz T (2007-09-28). Pathology of Melanocytic Disorders 2ed. CRC Press. ISBN 978-1-4441-1380-8. Archived from the original on 2023-01-11. Retrieved 2020-12-06.
- ^ Scolyer RA, Long GV, Thompson JF (April 2011). "Evolving concepts in melanoma classification and their relevance to multidisciplinary melanoma patient care". Molecular Oncology. 5 (2): 124–136. doi:10.1016/j.molonc.2011.03.002. PMC 5528281. PMID 21482206.
- ^ Hardie CM, Wade RG, Wormald JC, Stafford B, Elliott F, Newton-Bishop J, Dewar D (October 2023). "Surgical excision methods for skin cancer involving the nail unit: A systematic review". Cochrane Evidence Synthesis and Methods. 1 (8). doi:10.1002/cesm.12026. PMC 11795931.
- ^ Morton DL, Thompson JF, Cochran AJ, Mozzillo N, Nieweg OE, Roses DF, Hoekstra HJ, Karakousis CP, Puleo CA, Coventry BJ, Kashani-Sabet M, Smithers BM, Paul E, Kraybill WG, McKinnon JG (2014-02-13). "Final trial report of sentinel-node biopsy versus nodal observation in melanoma". The New England Journal of Medicine. 370 (7): 599–609. doi:10.1056/NEJMoa1310460. ISSN 1533-4406. PMC 4058881. PMID 24521106.
- ^ Wei X, Wu D, Li H, Zhang R, Chen Y, Yao H, Chi Z, Sheng X, Cui C, Bai X, Qi Z, Li K, Lan S, Chen L, Guo R (September 2020). "The Clinicopathological and Survival Profiles Comparison Across Primary Sites in Acral Melanoma". Annals of Surgical Oncology. 27 (9): 3478–3485. doi:10.1245/s10434-020-08418-5. ISSN 1534-4681. PMC 7410855. PMID 32253677.
- ^ Bradford PT, Goldstein AM, McMaster ML, Tucker MA (April 2009). "Acral Lentiginous Melanoma: Incidence and Survival Patterns in the United States, 1986-2005". Archives of Dermatology. 145 (4): 427–434. doi:10.1001/archdermatol.2008.609. PMC 2735055. PMID 19380664.
- ^ Lino-Silva LS, Zepeda-Najar C, Salcedo-Hernández RA, Martínez-Said H (2019). "Acral Lentiginous Melanoma: Survival Analysis of 715 Cases". Journal of Cutaneous Medicine and Surgery. 23 (1): 38–43. doi:10.1177/1203475418800943. ISSN 1615-7109. PMID 30221995.
- ^ "Bob Marley Shouldn't Have Died from Melanoma". Skin Cancer Foundation. 2016-02-06. Archived from the original on 2019-07-27. Retrieved 2016-10-11.
Further reading
- Durbec F, Martin L, Derancourt C, Grange F (April 2012). "Melanoma of the hand and foot: epidemiological, prognostic and genetic features. A systematic review: Melanoma of the hand and foot". British Journal of Dermatology. 166 (4): 727–739. doi:10.1111/j.1365-2133.2011.10772.x. PMID 22175696. S2CID 5463667.
External links
