Alexander disease
Alexander disease | |
---|---|
![]() | |
Brain of a 4-year-old boy with Alexander disease showing macroencephaly and periventricular leukomalacia (note brownish discoloration around the cerebral ventricles) | |
Specialty | Endocrinology, neurology ![]() |
Alexander disease is a very rare autosomal dominant leukodystrophy, which are neurological conditions caused by anomalies in the myelin which protects nerve fibers in the brain. The most common type is the infantile form that usually begins during the first two years of life. Symptoms include mental and physical developmental delays, followed by the loss of developmental milestones, an abnormal increase in head size and seizures. The juvenile form of Alexander disease has an onset between the ages of 2 and 13 years. These children may have excessive vomiting, difficulty swallowing and speaking, poor coordination, and loss of motor control. Adult-onset forms of Alexander disease are less common. The symptoms sometimes mimic those of Parkinson's disease or multiple sclerosis, or may present primarily as a psychiatric disorder.
According to the National Institute of Neurological Disorders and Stroke, the destruction of white matter is accompanied by the formation of Rosenthal fibers—abnormal clumps of protein that accumulate in astrocytes in the brain.
The disease was first documented in 1949 by W. Stewart Alexander, who treated a 15 month-old infant presenting with megalencephaly, hydrocephaly, seizures, and developmental delays. Between 1949 and 1964, 15 more cases with similar symptoms were observed, leading to suggestions that the cases were the same disease and that the disease be named after Alexander.[1]
The disease occurs in both males and females, and no ethnic, racial, geographic or cultural/economic differences are seen in its distribution. Alexander disease is a progressive and often fatal disease.[2]
Presentation
Symptoms observed include delays in development of some physical, psychological and behavioral skills; progressive enlargement of the head (macrocephaly), seizures, spasticity, and in some cases also hydrocephalus, idiopathic intracranial hypertension, and dementia.[3] Symptoms vary greatly between patients.[4]
In cases of early-onset or neonatal Alexander disease, symptoms include seizures, fluid buildup in the brain, high protein levels in cerebrospinal fluid, and severe motor and intellectual impairment. In cases of type I Alexander disease, where the condition appears before age 4, symptoms include seizures, enlarged brain and head, stiffness in the limbs, delayed intellectual and physical development, recurrent vomiting, and difficulties with gaining weight. In cases of type II Alexander disease, where the condition appears after the age of 4, symptoms include speech problems, difficulty swallowing, poor coordination, scoliosis, recurrent vomiting, and difficulties with gaining weight.[5]
Classification
Traditionally, Alexander disease has been classified by age at onset and is divided into infantile, juvenile, and adult forms.[6] In line with this method of classification, some researchers have proposed adding an additional neonatal division for cases where the disease began before birth.[7] These divisions have the following characteristics:
Form | Age at Onset | Symptoms/Pathology |
---|---|---|
Neonatal | < 1 month[7] | hydrocephalus, developmental delays, seizures, no ataxia[7] |
Infantile | 0-2 years[1] | megalencephaly, developmental delays, seizures[8], failure to thrive[9] |
Juvenile | 2-12 years[1] | ataxia, gait disturbance, basal ganglia and thalamus abnormalities[9] |
Adult | > 12 years[1] | brainstem and spinal cord abnormalities[10], bulbar symptoms[9] |
Other researchers have adopted a classification system with two divisions, Type I and Type II. The divisions have the following major characteristics:[6]
Type | Onset | Symptoms/Pathology | MRI Features |
---|---|---|---|
Type I | early | seizures, megalencephaly | typical |
Type II | late | brainstem features | atypical |
Cause
Alexander disease is a genetic disorder primarily affecting the midbrain and cerebellum of the central nervous system. It is caused by mutations in the gene for glial fibrillary acidic protein (GFAP)[11][12][13] that maps to chromosome 17q21. It is inherited in an autosomal dominant manner, such that the child of a parent with the disease has a 50% chance of inheriting the condition, if the parent is heterozygotic. However, most cases arise de novo as the result of sporadic mutations.[3]
Alexander disease belongs to leukodystrophies, a group of diseases that affect the growth or development of the myelin sheath. The destruction of white matter in the brain is accompanied by the formation of fibrous, eosinophilic deposits known as Rosenthal fibers.[3][14][15]
Pathology

Alexander disease causes the gradual loss of bodily functions and the ability to talk. It also causes an overload of long-chain fatty acids in the brain, which destroy the myelin sheath. The cause of Alexander disease is a gain-of-function mutation in the gene encoding GFAP.[3][14][11][12][17][18][19] The mutation causes protein aggregates called Rosenthal fibers to form in astrocytes' cytoplasm,[20] but the exact method of this formation mechanism is not well understood.[19] Rosenthal fibers appear not to be present in healthy people,[14][21] but occur in specific diseases, like some forms of cancer, Alzheimer's, Parkinson's, Huntington's, and ALS.[14][21][18] The Rosenthal fibers found in Alexander disease do not share the distribution or concentration of other diseases and disorders.[14]
A CT scan of a patient with Alexander disease typically shows:
- Decreased density of white matter
- Frontal lobe predominance
- Dilated lateral ventricles may present
An MRI scan of a patient with Alexander disease typically shows:
- Periventricular white matter change
- Medullar atrophy
- Signal change in the spinal cord[6]
Diagnosis
Detecting the signs of Alexander disease is possible with magnetic resonance imaging (MRI), which looks for specific changes in the brain that may be tell-tale signs for the disease.[22][23] It is even possible to detect adult-onset Alexander disease with MRI.[17] Alexander disease may also be revealed by genetic testing for its known cause.[24][25] A rough diagnosis may also be made through revealing of clinical symptoms, including enlarged head size, along with radiological studies, and negative tests for other leukodystrophies.[21] However, due to the similarity of symptoms to other diseases such as multiple sclerosis, many adults experience misdiagnosis until they receive an MRI scan confirming Alexander disease pathology.[10]
Treatment
There is no known cure for Alexander disease.[4] Treatment varies greatly between patients, and treatment plans consist of therapies for specific symptoms, such as shunts to relieve pressure caused by hydrocephalus[21], or antiepileptic medications to treat seizures.[4]
Recent studies have tested experimental treatments, but none have been approved for clinical use. A University of Wisconsin study shows promise with gene editing of the astrocytes.[3][14][18] A phase III clinical trial of an antisense therapy, sponsored by Ionis Pharmaceuticals, began in 2021.[26] A bone marrow transplant has been attempted on a child, but it made no improvement.[27][4]
Prognosis
The prognosis is generally poor. Individuals with the infantile form usually die before the age of seven.[28] The average duration of the infantile form is usually about three years. Duration of the juvenile form is about six years.[1] Usually, the later the disease occurs, the slower its course.[3][14]
Prevalence
Its occurrence is very rare, with an estimated 1 in 2.7 million prevalence. More Type I cases have been reported than Type II cases, but researchers believe this may be due to high rates of misdiagnosis in adults. [1][10]
See also
References
- ^ a b c d e f Messing, Albee; Brenner, Michael; Feany, Mel B.; Nedergaard, Maiken; Goldman, James E. (2012-04-11). "Alexander Disease". Journal of Neuroscience. 32 (15): 5017–5023. doi:10.1523/JNEUROSCI.5384-11.2012. ISSN 0270-6474. PMC 3336214. PMID 22496548.
- ^ "Alexander Disease Information Page". National Institute of Neurological Disorders and Stroke. 2018. Archived from the original on January 4, 2017.
This article incorporates text from this source, which is in the public domain.
- ^ a b c d e f Srivastava, Siddharth; Waldman, Amy; Naidu, Sakkubai (July 25, 1993). "Alexander Disease". In Adam, Margaret P.; Mirzaa, Ghayda M.; Pagon, Roberta A.; Wallace, Stephanie E.; Bean, Lora JH; Gripp, Karen W.; Amemiya, Anne (eds.). GeneReviews®. University of Washington, Seattle. PMID 20301351 – via PubMed.
- ^ a b c d Messing A, LaPash Daniels CM, Hagemann TL (October 2010). "Strategies for treatment in Alexander disease". Neurotherapeutics. 7 (4): 507–15. doi:10.1016/j.nurt.2010.05.013. PMC 2948554. PMID 20880512.
- ^ "Alexander Disease". Children's Hospital of Philadelphia. 21 December 2017. Retrieved 23 February 2023.
- ^ a b c Graff-Radford, Jonathan; Schwartz, Kara; Gavrilova, Ralitza H.; Lachance, Daniel H.; Kumar, Neeraj (2014-01-07). "Neuroimaging and clinical features in type II (late-onset) Alexander disease". Neurology. 82 (1): 49–56. doi:10.1212/01.wnl.0000438230.33223.bc. PMC 3873623. PMID 24306001.
- ^ a b c Singh N, Bixby C, Etienne D, Tubbs RS, Loukas M (December 2012). "Alexander's disease: reassessment of a neonatal form". Childs Nerv Syst. 28 (12): 2029–31. doi:10.1007/s00381-012-1868-8. PMID 22890470. S2CID 5851209.
- ^ Johnson, Anne B.; Brenner, Michael (2003-09-01). "Alexander's Disease: Clinical, Pathologic, and Genetic Features". Journal of Child Neurology. 18 (9): 625–632. doi:10.1177/08830738030180090901. ISSN 0883-0738. PMID 14572141.
- ^ a b c Prust, M.; Wang, J.; Morizono, H.; Messing, A.; Brenner, M.; Gordon, E.; Hartka, T.; Sokohl, A.; Schiffmann, R.; Gordish-Dressman, H.; Albin, R.; Amartino, H.; Brockman, K.; Dinopoulos, A.; Dotti, M.T. (2011-09-27). "GFAP mutations, age at onset, and clinical subtypes in Alexander disease". Neurology. 77 (13): 1287–1294. doi:10.1212/WNL.0b013e3182309f72. PMC 3179649. PMID 21917775.
- ^ a b c Pareyson, Davide; Fancellu, Roberto; Mariotti, Caterina; Romano, Silvia; Salmaggi, Andrea; Carella, Francesco; Girotti, Floriano; Gattellaro, Grazietta; Carriero, Maria Rita; Farina, Laura; Ceccherini, Isabella; Savoiardo, Mario (2008-09-01). "Adult-onset Alexander disease: a series of eleven unrelated cases with review of the literature". Brain. 131 (9): 2321–2331. doi:10.1093/brain/awn178. ISSN 0006-8950.
- ^ a b Li R, Messing A, Goldman JE, Brenner M (2002). "GFAP mutations in Alexander disease". Int. J. Dev. Neurosci. 20 (3–5): 259–68. doi:10.1016/s0736-5748(02)00019-9. PMID 12175861. S2CID 13541342.
- ^ a b Quinlan RA, Brenner M, Goldman JE, Messing A (June 2007). "GFAP and its role in Alexander disease". Exp. Cell Res. 313 (10): 2077–87. doi:10.1016/j.yexcr.2007.04.004. PMC 2702672. PMID 17498694.
- ^ Messing A, Brenner M, Feany MB, Nedergaard M, Goldman JE (April 2012). "Alexander disease". J. Neurosci. 32 (15): 5017–23. doi:10.1523/JNEUROSCI.5384-11.2012. PMC 3336214. PMID 22496548.
- ^ a b c d e f g Alexander Disease at NINDS
- ^ "Cause of brain disease found". January 2, 2001 – via news.bbc.co.uk.
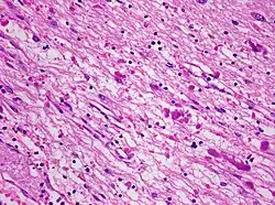
- ^ Marvin 101 (2009-01-23), English: Histopathology of Alexander-disease with numerous Rosenthal-fibres in the white matter of the brain. Autopsy case from a female patient who had died at the age of 38 years. H&E staining. Magnification 400x, retrieved 2025-05-14
{{citation}}
: CS1 maint: numeric names: authors list (link) - ^ a b Farina L, Pareyson D, Minati L, et al. (June 2008). "Can MR imaging diagnose adult-onset Alexander disease?". AJNR Am J Neuroradiol. 29 (6): 1190–6. doi:10.3174/ajnr.A1060. PMC 8118843. PMID 18388212.
- ^ a b c "Mutation in common protein triggers tangles, chaos inside brain cells". news.wisc.edu. 23 October 2018. Retrieved 2018-11-16.
- ^ a b Hagemann, Tracy L. (2022-02-01). "Alexander disease: models, mechanisms, and medicine". Current Opinion in Neurobiology. 72: 140–147. doi:10.1016/j.conb.2021.10.002. ISSN 0959-4388. PMC 8901527. PMID 34826654.
- ^ Pajares, María A.; Hernández-Gerez, Elena; Pekny, Milos; Pérez-Sala, Dolores (October 2023). "Alexander disease: the road ahead". Neural Regeneration Research. 18 (10): 2156. doi:10.4103/1673-5374.369097. ISSN 1673-5374. PMC 10328293. PMID 37056123.
- ^ a b c d "Alexander Disease - United Leukodystrophy Foundation". Archived from the original on 2010-04-28. Retrieved 2010-06-14.
- ^ Labauge P (June 2009). "Magnetic resonance findings in leucodystrophies and MS". Int MS J. 16 (2): 47–56. PMID 19671368.
- ^ van der Knaap MS, Naidu S, Breiter SN, et al. (March 2001). "Alexander disease: diagnosis with MR imaging". AJNR Am J Neuroradiol. 22 (3): 541–52. PMC 7976831. PMID 11237983.
- ^ Johnson AB (2002). "Alexander disease: a review and the gene". Int. J. Dev. Neurosci. 20 (3–5): 391–4. doi:10.1016/S0736-5748(02)00045-X. PMID 12175878. S2CID 12408421.
- ^ Sawaishi, Y (August 2009). "Review of Alexander disease: beyond the classical concept of leukodystrophy". Brain Dev. 31 (7): 493–8. doi:10.1016/j.braindev.2009.03.006. PMID 19386454. S2CID 206312570.
- ^ "A Study to Evaluate the Safety and Efficacy of ION373 in Patients With Alexander Disease (AxD)". clinicaltrials.gov. U.S. National Library of Medicine ClinicalTrials.gov. Retrieved 2021-12-08.
- ^ Staba MJ, Goldman S, Johnson FL, Huttenlocher PR (August 1997). "Allogeneic bone marrow transplantation for Alexander's disease". Bone Marrow Transplant. 20 (3): 247–9. doi:10.1038/sj.bmt.1700871. PMID 9257894.
- ^ "Alexander Disease Information Page: National Institute of Neurological Disorders and Stroke (NINDS)". www.ninds.nih.gov. Archived from the original on 2012-05-14. Retrieved 2016-11-03.
External links
