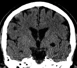
Choroidal fissure cyst

A choroidal fissure cyst is a cyst at the level of the choroidal fissure of the brain. They are usually asymptomatic and do not require treatment.
References
- de Jong, L; Thewissen, L; van Loon, J; Van Calenbergh, F (May–Jun 2011). "Choroidal fissure cerebrospinal fluid-containing cysts: case series, anatomical consideration, and review of the literature". World Neurosurgery. 75 (5–6): 704–8. doi:10.1016/j.wneu.2010.12.056. PMID 21704940.
External links