Cystic tumour of the atrioventricular nodal region
Cystic tumour of the atrioventricular nodal region | |
---|---|
![]() | |
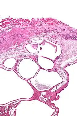
Micrograph of a cystic tumour of the atrioventricular nodal region. H&E stain. | |
Specialty | Cardiology, oncology |
Cystic tumour of the atrioventricular nodal region is a very rare tumour of the heart in the region of the atrioventricular node. It is also known as mesothelioma of the atrioventricular node.[1]
Presentation
It may present as a cardiac arrhythmia or as sudden cardiac death.[1]
Pathology
Cystic tumours of the atrioventricular nodal region, true to their name, have cystic spaces, which are lined by a single layer of histomorphologically benign epithelial cells. The appearance is similar to that of lymphangioma and this is a name that has been used for this tumour.[1]
Treatment
The treatment of cystic tumours of the atrioventricular nodal region is surgical excision.[1][2]
See also
References
- ^ a b c d Paniagua, JR.; Sadaba, JR.; Davidson, LA.; Munsch, CM. (Apr 2000). "Cystic tumour of the atrioventricular nodal region: report of a case successfully treated with surgery". Heart. 83 (4): E6. doi:10.1136/heart.83.4.e6. PMC 1729374. PMID 10722558.
- ^ Kaminishi, Y.; Watanabe, Y.; Nakata, H.; Shimokama, T.; Jikuya, T. (Jan 2002). "Cystic tumor of the atrioventricular nodal region". Jpn J Thorac Cardiovasc Surg. 50 (1): 37–9. doi:10.1007/bf02913485. PMID 11855098.