Ectopic tooth

Ectopic Tooth
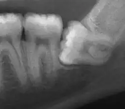
Impacted wisdom tooth with a horizontal orientation
Impacted wisdom tooth with a horizontal orientation
SpecialtyDentistry
SymptomsPain, swelling, infection, misalignment
CausesGenetic factors, injuries, abnormal growth
Diagnostic methodX-rays, CT scans
TreatmentExtraction, surgery, orthodontic treatment
PrognosisGood with early detection and treatment
FrequencyRare

An ectopic tooth, also known as an impacted tooth, is a tooth that develops in an abnormal position (ectopia) and fails to erupt into its normal location in the oral cavity.[1] [2] Ectopic teeth can cause a variety of symptoms, such as pain, swelling, and infection, and they can lead to more serious complications if left untreated.

This condition can affect both deciduous teeth and permanent teeth, although it is more common in the permanent teeth.

Ectopic teeth may commonly occur within the dentate region of the jaws. Other common sites for ectopic teeth include the maxillary sinus, the nasal cavity, the mandibular condyle, and the palate.[3] The cause of ectopic teeth is not always clear, but it may be related to genetic factors or developmental abnormalities.[4]

Diagnosis of ectopic teeth typically involves a comprehensive dental examination, including X-rays and other imaging tests. Treatment options for ectopic teeth depend on the location and severity of the condition, as well as the age and overall health of the patient. In some cases, observation and monitoring may be sufficient, while in other cases, surgical intervention may be necessary to remove the ectopic tooth and prevent further complications.[5]

In addition to the physical symptoms, ectopic teeth can also have psychological and social impacts on affected individuals, particularly if the condition affects their appearance or causes them embarrassment or self-consciousness. As with any dental or medical condition, early diagnosis and treatment of ectopic teeth can help to prevent complications and improve outcomes for patients.[4]

Causes

The cause of developing an ectopic tooth is not yet exactly understood. However, they can result from trauma, infection, developmental anomalies such as cleft palate, pathologic conditions such as dentigerous cyst, iatrogenic or idiopathic factors.[6]

References

  1. ^ Akbas, Mert; Karabıyık, Zülfikar; Varol, Altan (2022). "Ectopic Tooth in Mandibular Canal, Maxillary Sinus, and Mandibular Condyle". Case Reports in Dentistry. 2022: 1–7. doi:10.1155/2022/3118998. PMC 8800632. PMID 35103105.
  2. ^ Yaseen, Syedmohammed; Naik, Saraswati; Uloopi, KS (2011). "Ectopic eruption - A review and case report". Contemporary Clinical Dentistry. 2 (1): 3–7. doi:10.4103/0976-237X.79289. PMC 3220171. PMID 22114445.
  3. ^ Ramanojam, Shandilya; Hebbale, Manjula; Bhardwaj, Smita; Halli, Rajshekhar (2013). "Ectopic tooth in maxillary sinus: Case series". Annals of Maxillofacial Surgery. 3 (1): 89–92. doi:10.4103/2231-0746.110075. PMC 3645620. PMID 23662268.
  4. ^ a b Chen, A.; Huang, J. K.; Cheng, S. J.; Sheu, C. Y. (2002). "Nasal Teeth: Report of Three Cases". AJNR. American Journal of Neuroradiology. 23 (4): 671–673. PMC 7975118. PMID 11950665.
  5. ^ Manne, R.; Gandikota, C.; Juvvadi, S. R.; Rama, H. R.; Anche, S. (2012). "Impacted canines: Etiology, diagnosis, and orthodontic management". Journal of Pharmacy & Bioallied Sciences. 4 (Suppl 2): S234 – S238. doi:10.4103/0975-7406.100216. PMC 3467862. PMID 23066259.
  6. ^ Almomen, A.; Alkhudair, B.; Alkhatib, A.; Alazzah, G.; Ali, Z.; Al Yaeesh, I.; Alomairin, A.; Alshuaibi, A.; Albahr, A. (2020). "Ectopic maxillary tooth as a cause of recurrent maxillary sinusitis: A case report and review of the literature". Journal of Surgical Case Reports. 2020 (9): rjaa334. doi:10.1093/jscr/rjaa334. PMC 7524603. PMID 33024531.