Essential tremor

Essential tremor
Other namesIdiopathic tremor
Archimedean spiral drawings by a man with a unilateral essential tremor. The spiral on the left was drawn by the subject using the left hand, and the one on the right using the right hand.
SpecialtyNeurology
Usual onsetAny age, but typically after 40
CausesUnknown
Risk factorsFamily history, exposure to particular toxins[1]
Diagnostic methodBased on symptoms[2]
Differential diagnosisCerebellar tremor, dystonic tremor, multiple sclerosis, Parkinson's disease[3]
TreatmentMedications, surgery[4]
MedicationBeta blockers, primidone, anti-epileptics, topiramate, gabapentin, levetiracetam, benzodiazepines[4]
FrequencyAnnual incidence of 23.7 per 100,000 (2010)[5]

Essential tremor (ET), also called benign tremor, familial tremor, and idiopathic tremor, is a medical condition characterized by involuntary rhythmic contractions and relaxations (oscillations or twitching movements) of certain muscle groups in one or more body parts of unknown cause.[6] It is typically symmetrical, and affects the arms, hands, or fingers; but sometimes involves the head, vocal cords, or other body parts.[4] Essential tremor is either an action (intention) tremor—it intensifies when one tries to use the affected muscles during voluntary movements such as eating and writing—or it is a postural tremor, which occurs when holding arms outstretched and against gravity. This means that it is distinct from a resting tremor, such as that caused by Parkinson's disease, which is not correlated with movement.[7] Unlike Parkinson's disease, essential tremor may worsen with action.

Essential tremor is a progressive[8][9][10] neurological disorder, and the most common movement disorder. Though not life-threatening, it can certainly be debilitating. Its onset is usually between 40 and 50 years of age, but it can occur at any age.[11] The cause is poorly understood. Diagnosis is made by observing the typical pattern of the tremor coupled with the exclusion of known causes of such a tremor. There is currently no medical test available to identify an essential tremor.

While essential tremor is distinct from Parkinson's disease, which causes a resting tremor, essential tremor is nevertheless sometimes misdiagnosed as Parkinson's disease.[4] Some patients have been found to have both essential tremors and resting tremors.[4]

Treatments for essential tremor include medications, typically given sequentially to determine which provides the most efficacy with least side effects. Clostridium botulinum toxin (Botox) injections and ultrasound are also sometimes used for cases refractory to medications.

Signs and symptoms

The tremors linked with essential tremor are generally action tremors, which means they occur during intentional movements rather than when the body is at rest.[12]

In mild cases, ET can manifest as the inability to stop the tongue or hands from shaking, the ability to sing only in vibrato, and difficulty doing small, precise tasks such as threading a needle. Even simple tasks such as cutting in a straight line or using a ruler can range from difficult to impossible, depending on the severity of the condition. In disabling cases, ET can interfere with a person's activities of daily living, including feeding, dressing, and taking care of personal hygiene. Essential tremor generally presents as a rhythmic tremor (4–12 Hz) that occurs only when the affected muscle is exerting effort. Any sort of physical or mental stress tends to make the tremor worse.[2]

The tremor may also occur in the head (neck), jaw, and voice, as well as other body regions, with the general pattern being that the tremor begins in the arms and then spreads to these other regions in some people. Women are more likely to develop the head tremor than are men, and it is also found to be more severe in women than men.[13][14] In people with essential tremor (ET), the head tremor can be either vertical ("yes-yes") or horizontal ("no-no") and is typically accompanied by tremors in the hands or voice.[15] Other types of tremor may also occur, including postural tremor of the outstretched arms, intention tremor of the arms, and rest tremor in the arms.[16] In one study, men had more severe postural hand tremor when compared to women.[14] Some people may have unsteadiness and problems with gait and balance.[17] Abnormal tandem gait was more commonly observed in older ET people and those with more than 5 years of disease duration.[18]

ET-related tremors do not occur during sleep, but people with ET sometimes complain of an especially coarse tremor upon awakening that becomes noticeably less coarse within the first few minutes of wakefulness. Tremor and disease activity can intensify in response to fatigue, strong emotions, low blood sugar, extreme cold and heat, caffeine, lithium salts, some antidepressants, stress, and other factors.[19]

Parkinson's disease and parkinsonism can also occur simultaneously with ET.[4] The degree of tremor, rigidity, and functional disability did not differ from patients with idiopathic Parkinson's disease. Hand tremor predominated (as it did in Parkinson's disease), and occurred in nearly all cases, followed by head tremor, voice tremor, neck, face, leg, tongue, and trunk tremor. Most other tremors occurred in association with hand tremor. More severe tremors, a lower sleep disorder frequency, and a similar prevalence of other non-motor symptoms also can occur.[20] A non-motor feature such as hearing impairment has been shown to have higher prevalence in those with ET compared with those that are healthy or with Parkinson's. Cochlear pathologies which affect the inner ear are proposed as the potential cause, but there is still insufficient information regarding retrocochlear pathologies (affects central or neural nerve) and central auditory processing.[21]

Walking difficulties in essential tremor are common. About half of patients have associated dystonia, including cervical dystonia, writer's cramp, spasmodic dysphonia, and cranial dystonia, and 20% of the patients had associated parkinsonism. Olfactory dysfunction (loss of sense of smell) is common in Parkinson's disease, and has also been reported to occur in patients with essential tremor. A number of patients with essential tremor also exhibit many of the same neuropsychiatric disturbances seen in idiopathic Parkinson's disease.[22] The similarity in characteristics between parkinsonism and essential tremor can make it difficult to distinguish between the two at times.[4]

Essential tremor with tremor onset after the age of 65 has been associated with mild cognitive impairment,[23] as well as dementia, although the link between these conditions, if any, is still not understood.[24][25] Familial cases of ET tend to present at younger ages, whereas older ages of onset are linked to faster progression of the disease.[26]

Essential tremor has two tremor components, central and peripheral. These two tremor components were identified by measuring the tremor of ET patients once with no weights on their hands and then with 1-pound weights on their hands. The addition of the weights resulted in a tremor spectrum with two peaks, one that maintained the same frequency (the central tremor) and one that decreased in frequency (the peripheral tremor). Only with the addition of the weights was the peripheral tremor distinguishable from the central tremor.[27]

The frequency of essential tremor is 4 to 12 Hz, depending on which body segment is affected.[28] Previously, it was 4 to 11 Hz according to the American Family Physician on Classification of Tremors and Treatment Update.[29] Proximal segments are affected at lower frequencies, and distal segments are affected at higher frequencies.[30]

Cause

Essential Tremor was once thought to be a single disease state, however, research shows that there are multiple factors that are associated with causing Essential Tremor. This leads to the consideration that Essential Tremor is more akin to a family of diseases, due to the presence of both genetic (familial) and sporadic Essential Tremors.[31] Currently, there are multiple main hypotheses behind Essential Tremor, being the degeneration of the cerebellum, inheriting the tremor, ingestion of toxins, or the presence of Lewy Bodies in the brainstem.[32] However, post mortem studies showed that only a small number of patients had Lewy Bodies, and was more common for patients not to exhibit them.[33]

Cerebellar

It is unknown how the degeneration of the cerebellum leads to Essential Tremor, however, it is hypothesized that it may be due to the loss of Purkinje cells, as they release gamma-aminobutyric acid (GABA), which is an inhibitory neurotransmitter meant to control the firing of neurons in the cerebellum. In certain Essential Tremor clinical studies which augment the GABA pathway, only some participants exhibited a reduction of tremor.[34][35] Some patients have responded to alcohol, claiming alcohol has reduced the tremor, however the reduction is only short term.[36] However, alcohol might only be beneficial for those with an impacted GABA pathway, and may not be benefit patients who developed the tremor via other pathways.

Genetic

The main underlying cause of essential tremor is not clear, but many cases seem to be familial.[37] About half of the cases are due to a genetic mutation and the pattern of inheritance is most consistent with autosomal dominant transmission, meaning patients with Essential Tremor have around a 50% chance to pass it on to their children.[38] There are multiple gene mutations and presentations on various chromosomes that lead to Essential Tremor.[39] These include genes present on chromosomes 1–3, 6, 11, and 16. Each presentation or mutation of different genes were associated with families from different regions. For example, presentation of a gene associated with Essential Tremor on chromosome 6 has been noted in North American families, while a Canadian family was noted with mutations in the fused in sarcoma/translated in liposarcoma (FUS/TLS) gene.[32] Other mutations in genes such as the HTRA Serine Peptidase 2 (HTRA2) and the teneurin transmembrane protein 4 (TENM4), have been observed in a Turkish family and the Spanish population respectively.[32] Recent post mortem studies have displayed alterations in the leucine-rich repeat and immunoglobulin-like domain-containing protein 1 (LINGO1) gene[40][41] and GABA receptors[42] in the cerebellum of people with essential tremor. HAPT1 mutations have also been linked to ET, as well as to Parkinson's disease, multiple system atrophy, and progressive supranuclear palsy.[43]

Poisons and toxins

Some environmental poisons, including toxins, are also under active investigation, as they may play a role in the disease's cause.[44] Exposure to heavy metals, specifically lead, has been associated with causation of ET.[32][45] Lead is a heavy metal that can cross the central nervous system's (CNS) main line of defense, the blood–brain barrier, even increasing its permeability, allowing other harmful substances to access the CNS.[46] This allows lead access to the CNS, permitting it to disturb processes that utilize calcium, including synaptic activity, and causes intracellular disruption, both of which may lead to irreversible damage to the CNS.[47][48] This would include cerebellar damage which could cause ET. There are other poisons that work in a similar manner to lead such as other heavy metals like mercury and aluminum, as well as toxic chemicals like certain pesticides and alcohol. In particular, excessive alcohol consumption can worsen essential tremor due to damage to the cerebellum.[49]

Pathophysiology

Essential tremor is one of the most prevalent and poorly-understood neurological disorders.[50] Clinical, physiological and imaging studies point to involvement of the cerebellum and/or cerebellothalamocortical circuits.[50] The traditional model for essential tremor, the olivary hypothesis, suggests that ET is caused by abnormal electrical activity in the inferior olivary nucleus. This activity makes neurons fire in a regular, synchronized way, which then disrupts signals to the cerebellum and leads to tremors.[51] However, recent studies, especially those examining brain tissue, propose a new hypothesis that ET may be a neurodegenerative disease focused in the cerebellum, differing from the old theory[52]. Changes in the cerebellum could also be mediated by alcoholic beverage consumption. Purkinje cells are especially susceptible to ethanol excitotoxicity.[53] Impairment of Purkinje synapses is a component of cerebellar degradation that could underlie essential tremor.[53] Some cases have Lewy bodies in the locus ceruleus.[54][31][55] ET cases that progress to Parkinson's disease are less likely to have had cerebellar problems.[56] Recent neuroimaging studies[57] have suggested that the efficiency of the overall brain functional network in ET is disrupted.

In 2012, the National Toxicology Program concluded that sufficient evidence exists of an association between blood lead exposure at levels >10 μg/dl and essential tremor in adults, and limited evidence at blood lead levels >5 μg/dl.[58]

Diagnosis

Usually, the diagnosis is established on clinical grounds. Although ET was long considered a single-symptom illness, recent studies have shown that some patients also experience other additional motor symptoms and non-motor features.[52] According to recent medical literature, besides isolated essential tremor, there are two additional classifications: 'ET plus' and 'ET-PD.' 'ET plus' is diagnosed when patients show cognitive impairments or other motor symptoms like ataxia, dystonia, or resting tremor. 'ET-PD' is used for those who meet the criteria for both ET and Parkinson's disease.[59] The clinical features of tremor in a patient include medical history (such as age of onset, family history, progression over time, and exposure to drugs or toxins), tremor characteristics (like which parts of the body are affected, when the tremor occurs, and its frequency), and any associated signs (such as signs of systemic illness, neurological signs, and soft signs). For some types of tremors, additional tests like recording tremor frequency, imaging for lesions, receptor imaging, and biomarkers in blood or tissue may help identify the cause.[60] Tremors can start at any age, from birth through advanced ages (senile tremor).[61][62] Any voluntary muscle in the body may be affected, although the tremor is most commonly seen in the hands and arms and slightly less commonly in the neck (causing the person's head to shake), tongue, and legs. A resting tremor of the hands is sometimes present.[22][63] Tremor occurring in the legs might be diagnosable as orthostatic tremor. Tremors in the lower limbs are quite rare in ET and are more likely to indicate Parkinson's disease.[64]

ET occurs within multiple neurological disorders besides Parkinson's disease. This includes migraine disorders, where co-occurrences between ET and migraines have been examined.[21]

Treatment

Treatment approaches

Currently, most treatments and therapies available for essential tremors are only treating symptoms since there is no cure available. Medical treatments for tremors are based on shared decisions between patients and their providers. The choices of treatments depended on tremor severity, affected body parts, and the impacts of tremor on the patient's physical, psychological, and quality of life.[36] People with mild tremors that do not interfere with daily activities and psychological well-being do not require pharmacological treatments. People with persistent tremors which impact daily functions and social interactions should be treated with the appropriate pharmacological therapies.[36]

Non-pharmacological Treatment

"Focused Ultrasound" is a treatment that was approved for coverage in the U.S. in 2022 for those with Medicare insurance. Totally non-surgical, the treatment process is performed on a conscious patient and takes 2 to 3 hours.

The first approach in helping people to improve tremor symptoms is the discontinuation of triggering and exacerbating factors like medications including certain antidepressants, anti-epileptics, beta-agonists; or substances like caffeine.[65] In addition, getting adequate sleep and utilizing relaxation techniques can also help improve and reduce tremor symptoms in individuals who reported an increase in tremors following physical activities.[65]

Since tremors can affect different parts of the body (like limbs, head, chin/jaw, and vocal),[66] different non-pharmacological therapeutic techniques are available that can support patients with the management of tremors including occupational therapy, speech therapy, and psychotherapy.[65] Occupational therapy provides support to help people manage everyday tasks more easily through different approaches and interventions.[66] Speech therapy is helpful in people with vocal tremor to help manage and maintain the vocal changes associated with tremor symptoms. Psychological impacts like embarrassment and anxiety are also important concerns of many people with ET which can lead to social isolation and depression. Psychotherapy can be very beneficial and play a key role in helping people to improve the mental health of ET people.[66]

Alcohol

Alcohol had been known to help provide short-term relief of tremor symptoms in some people, however, the therapeutic effects of alcohol on ET had not been studied in many clinical trials. It has been proposed that alcohol can help reduce tremors through the agonism mechanism of the gamma-aminobutyric acid GABAergic.[67] Since GABA can decrease neural activity, it is believed that alcohol can increase the activity of GABA which then can reduce involuntary muscle movements or tremors. However, the duration of action of alcohol on ET is around 3–4 hours, alcohol also had been associated with the rebound of tremor, not to mention the risk of development of long-term alcohol consumption and abuse.[36] The use of alcohol as a possible treatment for ET is not recommended by healthcare providers.

Pharmacological Treatments

Currently, the available pharmacological therapy options for ET are Beta-adrenergic blockers, Anticonvulsants, Benzodiazepines/GABAergic agents, Calcium channel blockers, and Atypical neuroleptic agents. The two most effective medications which had been approved by the FDA as first line agents for the treatment of ET are propranolol and primidone.

Summary of main drugs used in pharmacological treatment of essential tremor[68][69][70][59][71]
Drugs Mechanism of action Efficacy Side-effects
First-line therapies

FDA-approved or supported by double-blinded, placebo-controlled studes (class I evidence)

propranolol (60-800 mg/d) non-selective β-adrenergic receptor antagonist (probable mechanism: antagonism at peripheral β2 receptors) 50-70% (>50% response) frequent (>60%): hypotension, bradycardia, fatigue, dizziness, exertional dyspnea
propranolol long-acting (80-320 mg/d)[72] 30-38% skin eruption, transient dizziness
primidone (up to 750 mg/d) antiepileptic barbituric acid-derivative (probable mechanism: interaction with voltage-gated sodium channels or opening and potentiating GABA receptors) 50-70% (30-50% response) sedation, fatigue, drowsiness, dizziness, ataxia, confusion, gastrointestinal upset, loss of coordination, anorexia
Second-line therapies

Supported by double-blinded, placebo-controlled trials (class II evidence or lower)

topiramate (up to 400 mg/d) voltage-gated sodium channel and high voltage-activated calcium channels (antitremor mechanism unknown) 20-37% (30-40% response) paresthesias, trouble concentrating, gastrointestinal upset, somnolence, fatigue, confusion (discontinuation rate: 30%)
gabapentin (1.2-1.8 g/d), pregabalin α2δ subunit voltage-gated calcium N-type channel blockers (antitremor mechanism unknown) 30-40% (30-50% response) sleepiness, dizziness, ataxia, nausea, weight gain, psychiatric disturbances (including suicidal ideation)
alprazolam (0.125-3 mg/d), clonazepam (0.5-6 mg/d) benzodiazepines 30-50% (>50% response) sedation, cognitive impairment, tolerance, dependency and abuse, withdrawal effects (discontinuation rate: 50%)
atenolol (50-15 mg/d) competitive β1-adrenergic antagonist 37% similar to propranolol
metoprolol single dose efficacy equal to propranolol (no effect after chronic use)
nadolol (120-240 mg/d), sotalol (75-200 mg/d), indenolol, artinolol, timolol non-selective β-adrenergic receptor antagonists effective only in patients responsive to propranolol similar to propranolol with additional reduction of alertness
theophylline[72] nonselective phosphodiesterase inhibitor long term reduction with dose 150-300 mg/d comparable to propranolol gastrointestinal disturbances, heart problems, central nervous system excitation
Third-line therapies

Supported by open-label studies or case series

nimodipine (120 mg/d), flunarizine, nicardipine (30 mg) voltage-gated L-type channel blockers 50% (>50% response)

Some guidelines reccomend against flunarizine, deeming it ineffective[73] Nicardipine single-dose reduces tremor, but does not work long-term[72]

hypotension, oedema, headache, diziness, nausea, constipation, fatigue, palpitations
clozapine (6-75 mg/d) atypical antypsychotic (complex mechanism) 50% (75% response) sedation, orthostatic hypotension, tachycardia, syncope, weight gain, metabolic syndrome, rare side effects include agranulocytosis
olanzapine (mean dose 14.87 mg/d), quetiapine atypical antypsychotics (complex mechanism) <50% insomnia, anxiety, headache, sedation, somnolence, diziness, weight gain, orthostatic hypotension, extrapyramidal symptoms
botulinum toxin (limb: 50-100 U/arm, head: 40-400 U, voice: 0.6-15 U)[74][72] inhibits presynaptic cholinergic signalling limb (20-27%), head (67%) and voice (22-67%) tremor reduction limb: weakness, reduced grip strenght, pain, stiffness, cramping, hematoma, paresthesias; head: neck weakness, pain; voice: breathiness, weak voice, dysphagia
acetazolamide (62.5-750 mg/d)[72] carbonic anhydrase inhibitor slight reduction, but no self-assessed improvement electrolyte disturbances, adrenal insufficiency, kidney and liver impairment
Fourth-line therapies

Mixed evidence

levetiracetam inhibits presynaptic calcium channels, thus reducing neurotransmitter release short-term reduction of limb tremor in line drawing tests[75] somnolence, headache, dizziness, mood disturbances (including suicidal thoughts), coordination difficulties
zonisamide complex mechanism tremor amplitude reduction, mixed evidence for reduction of total score in Fahn-Tolosa-Marin Tremor Rating Scale[76][77] multiple side effects common in patients taking zonisamide (see: article about zonisamide)
isoniazid (up to 1.2 g/d)[72] monoamine oxidase inhibitor 18% peripheral neuropathy, gastrointestinal disturbances, aplastic anemia, thrombocytopenia, agranulocytosis, pyridoxine deficiency, liver enzyme elevations
glutethimide[72] GABA signalling inducer slight reduction nausea, headache, sedation, blurred vision, ataxia, memory impairment, paradoxical excitement, skin eruptions[78]

Beta-adrenergic Blockers

Chemical structure of Propranolol, one of the most effective medication for treating ET

When symptoms are sufficiently troublesome to warrant treatment, the first choice medication is propranolol, a non-selective beta-blocker, which has been shown effective in reducing tremor by 70% in 50% of patients in clinical studies.[79] Based on the guidelines from the American Academy of Neurology and the Italian Movement Disorders Association, propranolol is most effective in limb tremors, also there is little to no effect on head tremors. The recommended doses of propranolol range from 60 to 360 mg daily, and it is based on the patient's specific factors.[79] The commonly reported side effects of propranolol are bradycardia, bronchospasm, fatigue, and hypotension.[80] In patients that have contraindicated comorbidities to propranolol, other beta-blockers such as Atenolol, pindolol, Sotalol, and nadolol have shown some potential efficacy, but they are not very well studied and have limited evidence in their efficacy on the treatment of ET.[36]

Anticonvulsants

chemical structures of primidone and two metabolites, phenobarbital and phenylethylmalonamide

Primidone is another first line agent recommended in the treatment of ET. Primidone is an anticonvulsant which metabolized into phenobarbital and phenylethymalnonamide.[36] This medication has shown the same beneficial effects in reducing tremors as propranolol and is recommended for use based on guidelines from the American Academy of Neurology and the MDS Task Force on Tremor. The initial dose of primidone is recommended at 25 mg per day and should be increased up to the maximum dose of 250 mg per day. This strategy was recommended to help avoid the possible side effects of nausea, vomiting, and excessive sedation of primidone.[65] Primidone is the preferred medication for the treatment of ET in the geriatric population compared to propranolol. In addition, Combination therapy of both Propranolol and Primidone is recommended for people who do not show benefits from either propranolol or primidone as monotherapy.[80]

Topiramate is an antiepileptic medication which had been studied to assess the efficacy and safety in the treatment of ET.[80] Overall, it is considered a second-line therapy alone or in combination with other medications when first-line treatments fail to show improvement or medication intolerance. Topiramate has been shown effective in reducing limb tremors at the maximum dose of 200 mg, however, there was a higher risk for the development of adverse effects including weight loss, anorexia, cognitive impairment, and kidney stones.[65]

Other second-line medications

Additional medications that have been reported to show efficacy in treating ET are gabapentin, benzodiazepines such as alprazolam, clonazepam, and zonisamide, and pregabalin.[36] However, most of the medications have limited evidence-based to support their clinical usage as treatments for ET. Some systematic reviews of medications for the treatment of ET have been conducted. A 2017 review of topiramate found limited data and low-quality evidence to support its efficacy and the occurrence of treatment-limiting adverse effects,[81] a 2017 review of zonisamide found insufficient information to assess efficacy and safety,[82] and a 2016 review of pregabalin determined the effects to be uncertain due to the low quality of evidence.[83]

Botulinum Toxin (BoNT)

Botulinum toxin is a neurotoxin produced by a gram-positive, rod-shaped bacteria called Clostridium botulinum. BoNT works by inhibiting acetylcholine release at the presynaptic terminal by inactivating the SNARE proteins (SNAP-25), which interfere with muscle contraction.[84] BoNT type A injections have shown benefits in several clinical trials for the treatments of limb, voice, and head. However, the associated side effects included muscle weakness, stiffness reported within studies of limb tremors, and neck muscle pain, weakness, and dysphagia in clinical trials of head tremors.[80] Botulinum toxin type A has been found to be helpful in treating voice tremors.[85]

Additional procedures

Ultrasound

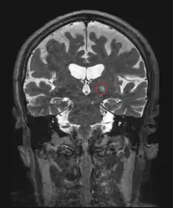
Frontal MRI four days after MRgFUS (MRI-guided high-intensity focused ultrasound): Left ventral intermediate nucleus (Vim) thalamotomy. 79-year-old man with essential tremor.

Additionally, MRI-guided high-intensity focused ultrasound is a nonsurgical treatment option for people with essential tremor who are medication refractory.[86][87] MRI-guided high-intensity focused ultrasound does not achieve healing, but can improve the quality of life by reducing the tremor manifestation.[87][88] While its long-term effects are not yet established, the improvement in tremor score from baseline was durable at 1 year and 2 years following the treatment.[89] To date, reported adverse events and side effects have been mild to moderate. Possible adverse events include gait difficulties, balance disturbances, paresthesias, headache, skin burns with ulcerations, skin retraction, scars, and blood clots.[86][87][90] This procedure is contraindicated in pregnant women, persons who have non-MRI compatible implanted metallic devices, allergy to MR contrast agents, cerebrovascular disease, abnormal bleeding, hemorrhage and/or blood clotting disorders, advanced kidney disease or on dialysis, heart conditions, severe hypertension, and ethanol or substance abuse, among others.[87] The US Food and Drug Administration (FDA) approved Insightec's Exablate Neuro system to treat essential tremor in 2016.[87]

Deep Brain Stimulation (DBS)

Illustration of the placement of electrodes and stimulator of Deep Brain Stimulation surgical treatment.

Another invasive surgical treatment of essential tremor is deep brain stimulation (DBS). DBS is a surgical procedure that involves the placement of a permanent electrode with 4-8 contacts within the brain with connecting wires connected to a pulse stimulator implanted near the patient's collarbone.[65] In the treatment of tremor, the electrodes are placed in the ventral intermediate nucleus (Vim) of the thalamus.

The pulse stimulator delivers constant electrical pulses to the target area, which interfere with activity of the target area, which has been shown to improve tremor symptoms.[91] At one year following the surgical intervention with DBS, patients showed 66% improvement and 48% improvement at 10 years.[80] DBS is considered an effective surgical treatment of ET, but there are associated side effects and complications that have been reported with DBS in clinical trials, including imbalance or gait instability, dystonia, paresthesia, hemorrhage.[79]

Electrical Stimulation of Peripheral Limbs

Another nonsurgical treatment option that has been suggested as a less invasive alternative to DBS is electrically stimulating the peripheral limbs most affected by ET.[92][93] This stimulation has been explored using different stimulation intensities, either above the motoneuron activation threshold (thus directly activating the muscles in peripheral limbs), or below the motoneuron activation threshold but above the sensory afferent neuron threshold. While electrical stimulation above the activation motoneuron threshold can reduce tremor by up to 73%,[94][95][96][97] it causes muscle fatigue and discomfort. Stimulating below the motoneuron activation threshold on the other hand requires precise timing to counteract the descending pathological neuronal signals driving ET in the peripheral limbs.[98] Thus, while this treatment option shows promise it still requires rigorous investigation.

Prognosis

Although essential tremor is often mild, people with severe tremor have difficulty performing many of their routine activities of daily living.[99][100] ET is generally progressive in most cases (sometimes rapidly, sometimes very slowly), and can be disabling in severe cases.[101][102][103]

Epidemiology

Essential tremor (ET) is a common neurological disorder, affecting up to 5% of the global population, with approximately 24.91 million people affected worldwide in 2020.[104] The prevalence of ET increases significantly with age, particularly in individuals aged 60 and above.[104] It affects around 4% of people aged 40 and older, and the prevalence rises to 2.87% in those over 80, reaching up to 20% in individuals in their 90s and beyond.[105] ET is more common in males than females across all age groups.[104]

Family history plays a significant role in the development of ET, with around 50% of cases being hereditary and a 90% concordance rate in identical twins.[106] While the likelihood of developing ET increases with age, it can also occur in younger individuals, especially if there is a family history of the disorder.[106] ET is one of the most common types of tremor, aside from enhanced physiological tremor, and is among the most frequently observed movement disorders.[107] Although not all studies show this trend, i.e. the majority of studies (70%) indicate that there are no sex differences in prevalence.[108]

Society and culture

Actress Katharine Hepburn (1907–2003) had an essential tremor, possibly inherited from her grandfather,[109] that caused her head—and sometimes her hands—to shake.[110][111][112] The tremor was noticeable by the time of her performance in the 1979 film The Corn Is Green, when critics mentioned the "palsy that kept her head trembling".[113] Hepburn's tremor worsened in her later life.[111]

Charles M. Schulz, American cartoonist and creator of the Peanuts comic strip, was affected during the last two decades of his life.

West Virginia Senator Robert Byrd also had essential tremor.

In 2010, musician Daryl Dragon of The Captain and Tennille was diagnosed with essential tremor; the condition became so severe that he was no longer able to play the keyboards.[114]

Director-writer-producer-comedian Adam McKay was diagnosed with essential tremor.[115]

Downton Abbey creator Julian Fellowes has the condition, as does Jim Carter the show's character Charlie Carson.[116]

In 2022, Matthew Caws of Nada Surf and his son made a PSA called "Living with a Mild Essential Tremor".[117]

Research

Harmaline is a widely used model of essential tremor (ET) in rodents.[118] Harmaline is thought to act primarily on neurons in the inferior olive. Olivocerebellar neurons exhibit rhythmic excitatory action when harmaline is applied locally.[118] Harmane or harmaline has been implicated not only in essential tremors, but is also found in greater quantities in the brain fluid of people with Parkinson's disease and cancer.[119][120][121] Higher levels of the neurotoxin are associated with greater severity of the tremors.[1][122] Harmane is particularly abundant in meats, and certain cooking practices (e.g., long cooking times) increase its concentration,[123][124][125] but at least one study has shown that harmane blood concentrations do not go up after meat consumption in ET patients with already elevated harmane levels, whereas the control group's harmane levels increase accordingly, suggesting that another factor, such as a metabolic defect, may be responsible for the higher harmane levels in ET patients.[126]

Caprylic acid is being researched as a possible treatment for essential tremor. It has currently been approved by the FDA and designated as GRAS, and is used as a food additive and has been studied as part of a ketogenic diet for treatment of epilepsy in children. Research on caprylic acid as a possible treatment for ET began because researchers recognized that ethanol was effective in reducing tremor, and because of this, they looked into longer-chain alcohols reducing tremor. They discovered that 1-octanol reduced tremor and did not have the negative side effects of ethanol. Pharmacokinetic research on 1-octanol lead to the discovery that 1-octanol metabolized into caprylic acid in the body and that caprylic acid actually was the tremor-reducing agent.[127] Many studies of the effects of caprylic acid on essential tremor have been done, including a dose-escalation study on ET patients[128] and a study testing the effects of caprylic acid on central and peripheral tremor.[27] The dose-escalation study examined doses of 8 mg/kg to 128 mg/kg and determined that these concentrations were safe with mild side effects. The maximum tolerated dose was not reached in this study. The study testing the effects of caprylic acid on central and peripheral tremors determined that caprylic acid reduced both.

Terminology

This type of tremor is often referred to as "kinetic tremor". Essential tremor has been known as "benign essential tremor", but the adjective "benign" has been removed in recognition of the sometimes disabling nature of the disorder.[99][100]

See also

References

  1. ^ a b Louis ED, Zheng W, Mao X, Shungu DC (August 2007). "Blood harmane is correlated with cerebellar metabolism in essential tremor: a pilot study". Neurology. 69 (6): 515–520. doi:10.1212/01.wnl.0000266663.27398.9f. PMID 17679670. S2CID 7612446.
  2. ^ a b "Essential Tremor Treatment at the Johns Hopkins Movement Disorders Center in Baltimore, MD". hopkinsmedicine.org. Retrieved 27 October 2014.
  3. ^ Bhidayasiri R (December 2005). "Differential diagnosis of common tremor syndromes". Postgraduate Medical Journal. 81 (962): 756–762. doi:10.1136/pgmj.2005.032979. PMC 1743400. PMID 16344298.
  4. ^ a b c d e f g Abboud H, Ahmed A, Fernandez HH (December 2011). "Essential tremor: choosing the right management plan for your patient". Cleveland Clinic Journal of Medicine. 78 (12): 821–828. doi:10.3949/ccjm.78a.10178. PMID 22135272. S2CID 58374.
  5. ^ Zesiewicz TA, Chari A, Jahan I, Miller AM, Sullivan KL (September 2010). "Overview of essential tremor". Neuropsychiatric Disease and Treatment. 6: 401–408. doi:10.2147/ndt.s4795. PMC 2938289. PMID 20856604.
  6. ^ "tremor" at Dorland's Medical Dictionary
  7. ^ "LINGO1 variant responsible for essential tremors and Parkinson's disease". news-medical.net. 2 September 2009. Retrieved 27 October 2014.
  8. ^ Shukla AW. "Essential Tremor Information". Unified Health. Retrieved 17 June 2018.
  9. ^ Louis ED. "Essential Tremor". National Organization for Rare Disorders. Retrieved 17 June 2018.
  10. ^ Gironell A, Ribosa-Nogué R, Gich I, Marin-Lahoz J, Pascual-Sedano B (2015). "Severity stages in essential tremor: a long-term retrospective study using the glass scale". Tremor and Other Hyperkinetic Movements. 5: 299. doi:10.7916/D8DV1HQC. PMC 4361372. PMID 25793146.
  11. ^ "Tremor". National Institute of Neurological Disorders and Stroke.
  12. ^ Lenka A, Jankovic J (2021-07-26). "Tremor Syndromes: An Updated Review". Frontiers in Neurology. 12 684835. doi:10.3389/fneur.2021.684835. PMC 8350038. PMID 34381412.
  13. ^ Hardesty DE, Maraganore DM, Matsumoto JY, Louis ED (May 2004). "Increased risk of head tremor in women with essential tremor: longitudinal data from the Rochester Epidemiology Project". Movement Disorders. 19 (5): 529–533. doi:10.1002/mds.20096. PMID 15133816.
  14. ^ a b Hubble JP, Busenbark KL, Pahwa R, Lyons K, Koller WC (November 1997). "Clinical expression of essential tremor: effects of gender and age". Movement Disorders. 12 (6): 969–972. doi:10.1002/mds.870120620. PMID 9399222.
  15. ^ Louis ED, Dogu O (November 2009). "Isolated head tremor: part of the clinical spectrum of essential tremor? Data from population-based and clinic-based case samples". Movement Disorders. 24 (15): 2281–2285. doi:10.1002/mds.22777. PMC 2839188. PMID 19795473.
  16. ^ Louis ED (September 2001). "Clinical practice. Essential tremor". The New England Journal of Medicine. 345 (12): 887–891. doi:10.1056/nejmcp010928. PMID 11565522.
  17. ^ Fasano A, Herzog J, Raethjen J, Rose FE, Muthuraman M, Volkmann J, et al. (December 2010). "Gait ataxia in essential tremor is differentially modulated by thalamic stimulation". Brain. 133 (Pt 12): 3635–3648. doi:10.1093/brain/awq267. PMID 20926368.
  18. ^ Singer C, Sanchez-Ramos J, Weiner WJ (March 1994). "Gait abnormality in essential tremor". Movement Disorders. 9 (2): 193–196. doi:10.1002/mds.870090212. PMID 8196682.
  19. ^ Elble RJ (June 2013). "What is essential tremor?". Current Neurology and Neuroscience Reports. 13 (6) 353. doi:10.1007/s11910-013-0353-4. PMC 3674100. PMID 23591755.
  20. ^ Ryu DW, Lee SH, Oh YS, An JY, Park JW, Song IU, et al. (2017-05-16). "Clinical Characteristics of Parkinson's Disease Developed from Essential Tremor". Journal of Parkinson's Disease. 7 (2): 369–376. doi:10.3233/JPD-160992. PMID 28409750.
  21. ^ a b Biary N, Koller W, Langenberg P (December 1990). "Correlation between essential tremor and migraine headache". Journal of Neurology, Neurosurgery, and Psychiatry. 53 (12): 1060–1062. doi:10.1136/jnnp.53.12.1060. PMC 488315. PMID 2292698.
  22. ^ a b Rajput AH, Rozdilsky B, Ang L, Rajput A (May 1993). "Significance of parkinsonian manifestations in essential tremor". The Canadian Journal of Neurological Sciences. Le Journal Canadien des Sciences Neurologiques. 20 (2): 114–117. doi:10.1017/s031716710004765x. PMID 8334571. INIST 4838591.
  23. ^ Benito-León J, Louis ED, Mitchell AJ, Bermejo-Pareja F (2011). "Elderly-onset essential tremor and mild cognitive impairment: a population-based study (NEDICES)". Journal of Alzheimer's Disease. 23 (4): 727–735. doi:10.3233/JAD-2011-101572. PMID 21304183.
  24. ^ Benito-León J, Louis ED, Bermejo-Pareja F (May 2006). "Elderly-onset essential tremor is associated with dementia". Neurology. 66 (10): 1500–1505. doi:10.1212/01.wnl.0000216134.88617.de. PMID 16717208. S2CID 34434554.
  25. ^ Louis ED, Dogu O (October 1987). "Does age of onset in essential tremor have a bimodal distribution? Data from a tertiary referral setting and a population-based study". Neuroepidemiology. 29 (3–4): 208–212. doi:10.3168/jds.S0022-0302(87)80259-X. PMC 2824583. PMID 18043006.
  26. ^ Louis ED (2019). "The Roles of Age and Aging in Essential Tremor: An Epidemiological Perspective". Neuroepidemiology. 52 (1–2): 111–118. doi:10.1159/000492831. PMID 30625472.
  27. ^ a b Cao H, Thompson-Westra J, Hallett M, Haubenberger D (July 2018). "The response of the central and peripheral tremor component to octanoic acid in patients with essential tremor". Clinical Neurophysiology. 129 (7): 1467–1471. doi:10.1016/j.clinph.2018.03.016. PMC 6530908. PMID 29678370.
  28. ^ Liang TW, Hurtig H. "Medical management of motor fluctuations and dyskinesia in Parkinson disease". UpToDate.
  29. ^ Charles PD, Esper GJ, Davis TL, Maciunas RJ, Robertson D (March 1999). "Classification of tremor and update on treatment". American Family Physician. 59 (6): 1565–1572. PMID 10193597.
  30. ^ Bracker MD (December 1994). "A Skin-Deep Diagnosis". The Physician and Sportsmedicine. 22 (12): 79–82. doi:10.1080/00913847.1994.11947721. PMID 29272964.
  31. ^ a b Louis ED (2014). "'Essential tremor' or 'the essential tremors': is this one disease or a family of diseases?". Neuroepidemiology. 42 (2): 81–89. doi:10.1159/000356351. PMC 3945103. PMID 24335621.
  32. ^ a b c d Ong YL, Deng X, Tan EK (May 2019). "Etiologic links between environmental and lifestyle factors and Essential tremor". Annals of Clinical and Translational Neurology. 6 (5): 979–989. doi:10.1002/acn3.758. PMC 6529929. PMID 31139697.
  33. ^ Louis ED (April 2016). "Essential Tremor: A Common Disorder of Purkinje Neurons?". The Neuroscientist. 22 (2): 108–118. doi:10.1177/1073858415590351. PMC 5467972. PMID 26044399.
  34. ^ Gironell A, Kulisevsky J, Barbanoj M, López-Villegas D, Hernández G, Pascual-Sedano B (April 1999). "A randomized placebo-controlled comparative trial of gabapentin and propranolol in essential tremor". Archives of Neurology. 56 (4): 475–480. doi:10.1001/archneur.56.4.475. PMID 10199338.
  35. ^ Zesiewicz TA, Ward CL, Hauser RA, Sanchez-Ramos J, Staffetti JF, Sullivan KL (January 2007). "A double-blind placebo-controlled trial of zonisamide (zonegran) in the treatment of essential tremor". Movement Disorders. 22 (2): 279–282. doi:10.1002/mds.21282. PMID 17149715.
  36. ^ a b c d e f g Rajput AH, Rajput A (January 2014). "Medical treatment of essential tremor". Journal of Central Nervous System Disease. 6: 29–39. doi:10.4137/JCNSD.S13570. PMC 3999812. PMID 24812533.
  37. ^ Deng H, Le W, Jankovic J (June 2007). "Genetics of essential tremor". Brain. 130 (Pt 6): 1456–1464. doi:10.1093/brain/awm018. PMID 17353225.
  38. ^ "Essential tremor". Genes and Disease. National Center for Biotechnology Information. 1998.
  39. ^ "Entry - #190300 - Tremor, Hereditary Essential, 1; ETM1". OMIM.
  40. ^ Delay C, Tremblay C, Brochu E, Paris-Robidas S, Emond V, Rajput AH, et al. (November 2014). "Increased LINGO1 in the cerebellum of essential tremor patients". Movement Disorders. 29 (13): 1637–1647. doi:10.1002/mds.25819. PMID 24531928. S2CID 27331090.
  41. ^ Kuo SH, Tang G, Louis ED, Ma K, Babji R, Balatbat M, et al. (June 2013). "Lingo-1 expression is increased in essential tremor cerebellum and is present in the basket cell pinceau". Acta Neuropathologica. 125 (6): 879–889. doi:10.1007/s00401-013-1108-7. PMC 3663903. PMID 23543187.
  42. ^ Paris-Robidas S, Brochu E, Sintes M, Emond V, Bousquet M, Vandal M, et al. (January 2012). "Defective dentate nucleus GABA receptors in essential tremor". Brain. 135 (Pt 1): 105–116. doi:10.1093/brain/awr301. PMID 22120148.
  43. ^ Vilariño-Güell C, Soto-Ortolaza AI, Rajput A, Mash DC, Papapetropoulos S, Pahwa R, et al. (February 2011). "MAPT H1 haplotype is a risk factor for essential tremor and multiple system atrophy". Neurology. 76 (7): 670–672. doi:10.1212/WNL.0b013e31820c30c1. PMC 3053340. PMID 21321341.
  44. ^ Louis ED (September 2001). "Etiology of essential tremor: should we be searching for environmental causes?". Movement Disorders. 16 (5): 822–829. doi:10.1002/mds.1183. PMID 11746611. S2CID 38809483.
  45. ^ Dogu O, Louis ED, Tamer L, Unal O, Yilmaz A, Kaleagasi H (November 2007). "Elevated blood lead concentrations in essential tremor: a case-control study in Mersin, Turkey". Environmental Health Perspectives. 115 (11): 1564–1568. Bibcode:2007EnvHP.115.1564D. doi:10.1289/ehp.10352. PMC 2072853. PMID 18007985.
  46. ^ "Chronic Lead Exposure: A Non-Traumatic Brain Injury". Brain Injury Association of America. Retrieved 2024-08-02.
  47. ^ Marambaud P, Dreses-Werringloer U, Vingtdeux V (May 2009). "Calcium signaling in neurodegeneration". Molecular Neurodegeneration. 4 (1): 20. doi:10.1186/1750-1326-4-20. PMC 2689218. PMID 19419557.
  48. ^ Sanders T, Liu Y, Buchner V, Tchounwou PB (January 2009). "Neurotoxic effects and biomarkers of lead exposure: a review". Reviews on Environmental Health. 24 (1): 15–45. Bibcode:2009RvEH...24.1.15S. doi:10.1515/REVEH.2009.24.1.15. PMC 2858639. PMID 19476290.
  49. ^ Luo J (August 2015). "Effects of Ethanol on the Cerebellum: Advances and Prospects". Cerebellum. 14 (4): 383–385. doi:10.1007/s12311-015-0674-8. PMC 4492805. PMID 25933648.
  50. ^ a b Louis ED, Vonsattel JP (January 2008). "The emerging neuropathology of essential tremor". Movement Disorders. 23 (2): 174–182. doi:10.1002/mds.21731. PMC 2692583. PMID 17999421.
  51. ^ Louis ED (January 2014). "Re-thinking the biology of essential tremor: from models to morphology". Parkinsonism & Related Disorders. 20 Suppl 1 (1): S88 – S93. doi:10.1016/S1353-8020(13)70023-3. PMID 24262197.
  52. ^ a b Louis ED, Lenka A (13 July 2017). "The Olivary Hypothesis of Essential Tremor: Time to Lay this Model to Rest?". Tremor and Other Hyperkinetic Movements. 7: 473. doi:10.7916/D8FF40RX. PMC 5618117. PMID 28966877.
  53. ^ a b Mostile G, Jankovic J (October 2010). "Alcohol in essential tremor and other movement disorders". Movement Disorders. 25 (14): 2274–2284. doi:10.1002/mds.23240. PMID 20721919. S2CID 39981956.
  54. ^ Louis ED (October 2009). "Essential tremors: a family of neurodegenerative disorders?". Archives of Neurology. 66 (10): 1202–1208. doi:10.1001/archneurol.2009.217. PMC 2762114. PMID 19822775.
  55. ^ Louis ED, Faust PL, Vonsattel JP, Honig LS, Rajput A, Robinson CA, et al. (December 2007). "Neuropathological changes in essential tremor: 33 cases compared with 21 controls". Brain. 130 (Pt 12): 3297–3307. doi:10.1093/brain/awm266. PMID 18025031.
  56. ^ Ghika A, Kyrozis A, Potagas C, Louis ED (2015). "Motor and Non-motor Features: Differences between Patients with Isolated Essential Tremor and Patients with Both Essential Tremor and Parkinson's Disease". Tremor and Other Hyperkinetic Movements. 5: 335. doi:10.7916/D83777WK. PMC 4548968. PMID 26336614.
  57. ^ Benito-León J, Sanz-Morales E, Melero H, Louis ED, Romero JP, Rocon E, et al. (November 2019). "Graph theory analysis of resting-state functional magnetic resonance imaging in essential tremor". Human Brain Mapping. 40 (16): 4686–4702. doi:10.1002/hbm.24730. PMC 6865733. PMID 31332912.
  58. ^ National Toxicology Program (June 2012). NTP monograph on health effects of low-level lead (PDF) (Report). U.S. Department of Health and Human Services. pp. xiii, xv–148. PMID 23964424. S2CID 25344446.
  59. ^ a b Kosmowska B, Wardas J (December 2021). "The Pathophysiology and Treatment of Essential Tremor: The Role of Adenosine and Dopamine Receptors in Animal Models". Biomolecules. 11 (12): 1813. doi:10.3390/biom11121813. PMC 8698799. PMID 34944457.
  60. ^ Bhatia KP, Bain P, Bajaj N, Elble RJ, Hallett M, Louis ED, et al. (January 2018). "Consensus Statement on the classification of tremors. from the task force on tremor of the International Parkinson and Movement Disorder Society". Movement Disorders. 33 (1): 75–87. doi:10.1002/mds.27121. PMC 6530552. PMID 29193359.
  61. ^ Louis ED, Dure LS, Pullman S (September 2001). "Essential tremor in childhood: a series of nineteen cases". Movement Disorders. 16 (5): 921–923. doi:10.1002/mds.1182. PMID 11746623. S2CID 30848508.
  62. ^ Bain PG, Findley LJ, Thompson PD, Gresty MA, Rothwell JC, Harding AE, et al. (August 1994). "A study of hereditary essential tremor". Brain. 117 ( Pt 4) (4): 805–824. doi:10.1093/brain/117.4.805. PMID 7922467.
  63. ^ Cohen O, Pullman S, Jurewicz E, Watner D, Louis ED (March 2003). "Rest tremor in patients with essential tremor: prevalence, clinical correlates, and electrophysiologic characteristics". Archives of Neurology. 60 (3): 405–410. doi:10.1001/archneur.60.3.405. PMID 12633153.
  64. ^ Rajalingam R, Breen DP, Chen R, Fox S, Kalia LV, Munhoz RP, et al. (August 2019). "The clinical significance of lower limb tremors". Parkinsonism & Related Disorders. 65: 165–171. doi:10.1016/j.parkreldis.2019.06.007. hdl:20.500.11820/fcbc5316-6d53-418f-ba3a-a73208c6f186. PMID 31201091.
  65. ^ a b c d e f Hopfner F, Deuschl G (October 2020). "Managing Essential Tremor". Neurotherapeutics. 17 (4): 1603–1621. doi:10.1007/s13311-020-00899-2. PMC 7851235. PMID 32915385.
  66. ^ a b c Wagle Shukla A (October 2022). "Diagnosis and Treatment of Essential Tremor". Continuum. 28 (5): 1333–1349. doi:10.1212/CON.0000000000001181. PMID 36222768.
  67. ^ Ondo WG (May 2020). "Current and Emerging Treatments of Essential Tremor". Neurologic Clinics. 38 (2): 309–323. doi:10.1016/j.ncl.2020.01.002. PMID 32279712.
  68. ^ Hedera P, Cibulčík F, Davis TL (December 2013). "Pharmacotherapy of essential tremor". Journal of Central Nervous System Disease. 5: 43–55. doi:10.4137/JCNSD.S6561. PMC 3873223. PMID 24385718.
  69. ^ Ondo WG (May 2020). "Current and Emerging Treatments of Essential Tremor". Neurologic Clinics. Treatment of Movement Disorders. 38 (2): 309–323. doi:10.1016/j.ncl.2020.01.002. PMID 32279712.
  70. ^ Alonso-Navarro H, García-Martín E, Agúndez JA, Jiménez-Jiménez FJ (2020-06-22). "Current and Future Neuropharmacological Options for the Treatment of Essential Tremor". Current Neuropharmacology. 18 (6): 518–537. doi:10.2174/1570159X18666200124145743. PMC 7457404. PMID 31976837.
  71. ^ Zesiewicz TA, Elble RJ, Louis ED, Gronseth GS, Ondo WG, Dewey RB, et al. (2011-11-08). "Evidence-based guideline update: treatment of essential tremor: report of the Quality Standards subcommittee of the American Academy of Neurology". Neurology. 77 (19): 1752–1755. doi:10.1212/WNL.0b013e318236f0fd. ISSN 1526-632X. PMC 3208950. PMID 22013182.
  72. ^ a b c d e f g Zesiewicz TA, Elble R, Louis ED, Hauser RA, Sullivan KL, Dewey RB, et al. (2005-06-28). "Practice Parameter: Therapies for essential tremor [RETIRED]: Report of the Quality Standards Subcommittee of the American Academy of Neurology". Neurology. 64 (12): 2008–2020. doi:10.1212/01.WNL.0000163769.28552.CD. ISSN 0028-3878.
  73. ^ Vecchio I, Rampello L, Tornali C, Malaguarnera M, Raffaele R (1996-01-01). "Flunarizine and essential tremor in the elderly". Archives of Gerontology and Geriatrics. 22: 73–77. doi:10.1016/0167-4943(96)86917-2. ISSN 0167-4943.
  74. ^ "Update: Treatment of Essential Tremor". www.aan.com. Retrieved 2025-08-10.
  75. ^ Bushara KO, Malik T, Exconde RE (2005-03-22). "The effect of levetiracetam on essential tremor". Neurology. 64 (6): 1078–1080. doi:10.1212/01.WNL.0000154596.21335.2E.
  76. ^ Zesiewicz TA, Ward CL, Hauser RA, Sanchez-Ramos J, Staffetti JF, Sullivan KL (2007). "A double-blind placebo-controlled trial of zonisamide (zonegran) in the treatment of essential tremor". Movement Disorders (in French). 22 (2): 279–282. doi:10.1002/mds.21282. ISSN 1531-8257.
  77. ^ Morita S, Miwa H, Kondo T (2005-03-01). "Effect of zonisamide on essential tremor: a pilot crossover study in comparison with arotinolol". Parkinsonism & Related Disorders. 11 (2): 101–103. doi:10.1016/j.parkreldis.2004.09.004. ISSN 1353-8020. PMID 15734668.
  78. ^ PubChem. "Glutethimide". pubchem.ncbi.nlm.nih.gov. Retrieved 2025-08-10.
  79. ^ a b c Sharma S, Pandey S (February 2020). "Treatment of essential tremor: current status". Postgraduate Medical Journal. 96 (1132): 84–93. doi:10.1136/postgradmedj-2019-136647. PMID 31575730.
  80. ^ a b c d e Patel MD, Patel M, Jani R, Patel KG, Patel P, Gandhi SK (May 2024). "Essential Tremors: A Literature Review of Current Therapeutics". Cureus. 16 (5): e59451. doi:10.7759/cureus.59451. PMC 11141324. PMID 38826876.
  81. ^ Bruno E, Nicoletti A, Quattrocchi G, Allegra R, Filippini G, Colosimo C, et al. (April 2017). "Topiramate for essential tremor". The Cochrane Database of Systematic Reviews. 2017 (4): CD009683. doi:10.1002/14651858.CD009683.pub2. PMC 6478240. PMID 28409827.
  82. ^ Bruno E, Nicoletti A, Filippini G, Quattrocchi G, Colosimo C, Zappia M (August 2017). "Zonisamide for essential tremor". The Cochrane Database of Systematic Reviews. 2017 (8): CD009684. doi:10.1002/14651858.CD009684.pub2. PMC 6483684. PMID 28836659.
  83. ^ Bruno E, Nicoletti A, Quattrocchi G, Filippini G, Colosimo C, Zappia M (October 2016). "Pregabalin for essential tremor". The Cochrane Database of Systematic Reviews. 10 (10): CD009682. doi:10.1002/14651858.CD009682.pub2. PMC 6461190. PMID 27763691.
  84. ^ Anandan C, Jankovic J (January 2021). "Botulinum Toxin in Movement Disorders: An Update". Toxins. 13 (1): 42. doi:10.3390/toxins13010042. PMC 7827923. PMID 33430071.
  85. ^ Adler CH, Bansberg SF, Hentz JG, Ramig LO, Buder EH, Witt K, et al. (September 2004). "Botulinum toxin type A for treating voice tremor". Archives of Neurology. 61 (9): 1416–1420. doi:10.1001/archneur.61.9.1416. PMID 15364688.
  86. ^ a b Rohani M, Fasano A (2017). "Focused Ultrasound for Essential Tremor: Review of the Evidence and Discussion of Current Hurdles". Tremor and Other Hyperkinetic Movements. 7: 462. doi:10.7916/D8Z89JN1. PMC 5425801. PMID 28503363.
  87. ^ a b c d e "FDA approves first MRI-guided focused ultrasound device to treat essential tremor" (Press release). FDA. 24 March 2020. Archived from the original on November 8, 2020.
  88. ^ Aharonson V, Postema M, Gebbie R, Van Der Merwe J, Schlesinger I (2023). "Sobel edge detection for quantifying the effectiveness of focused ultrasound thalamotomy for tremor relief". Current Directions in Biomedical Engineering. 9 (1): 17–20. doi:10.1515/cdbme-2023-1005.
  89. ^ Chang JW, Park CK, Lipsman N, Schwartz ML, Ghanouni P, Henderson JM, et al. (January 2018). "A prospective trial of magnetic resonance-guided focused ultrasound thalamotomy for essential tremor: Results at the 2-year follow-up". Annals of Neurology. 83 (1): 107–114. doi:10.1002/ana.25126. PMID 29265546. S2CID 4437809.
  90. ^ Hedera P (February 2017). "Emerging strategies in the management of essential tremor". Therapeutic Advances in Neurological Disorders (Review). 10 (2): 137–148. doi:10.1177/1756285616679123. PMC 5367648. PMID 28382111.
  91. ^ Singh M, Agrawal M (2020). "Deep Brain Stimulation for Tremor and Dystonia". Neurology India. 68 (Supplement): S187 – S195. doi:10.4103/0028-3886.302472. PMID 33318349.
  92. ^ Toglia JU, Izzo K (1985-03-01). "Treatment of myoclonic dystonia with transcutaneous electrical nerve stimulation". The Italian Journal of Neurological Sciences. 6 (1): 75–78. doi:10.1007/BF02229221. ISSN 1126-5442. PMID 3873445.
  93. ^ Shukla AW (2022-06-14). "Rationale and Evidence for Peripheral Nerve Stimulation for Treating Essential Tremor". Tremor and Other Hyperkinetic Movements. 12 (1) 20. doi:10.5334/tohm.685. ISSN 2160-8288. PMC 9205368. PMID 35949227.
  94. ^ Dosen S, Muceli S, Dideriksen JL, Romero JP, Rocon E, Pons J, et al. (May 2015). "Online Tremor Suppression Using Electromyography and Low-Level Electrical Stimulation". IEEE Transactions on Neural Systems and Rehabilitation Engineering. 23 (3): 385–395. Bibcode:2015ITNSR..23..385D. doi:10.1109/TNSRE.2014.2328296. hdl:10261/129838. ISSN 1558-0210. PMID 25051555.
  95. ^ Javidan M, Elek J, Prochazka A (1992-03-01). "Attenuation of pathological tremors by functional electrical stimulation II: Clinical evaluation". Annals of Biomedical Engineering. 20 (2): 225–236. doi:10.1007/BF02368522. ISSN 1573-9686. PMID 1575378.
  96. ^ Popović Maneski L, Jorgovanović N, Ilić V, Došen S, Keller T, Popović MB, et al. (2011-10-01). "Electrical stimulation for the suppression of pathological tremor". Medical & Biological Engineering & Computing. 49 (10): 1187–1193. doi:10.1007/s11517-011-0803-6. ISSN 1741-0444.
  97. ^ Bó AP, Azevedo-Coste C, Geny C, Poignet P, Fattal C (2014). "On the Use of Fixed-Intensity Functional Electrical Stimulation for Attenuating Essential Tremor". Artificial Organs. 38 (11): 984–991. doi:10.1111/aor.12261. ISSN 1525-1594. PMID 24571719.
  98. ^ Metzner C, Stringham A, Hislop B, Bonham J, Chatterton L, DeFigueiredo R, et al. (2023). "Brief Submotor-Threshold Electrical Stimulation Applied Synchronously Over Wrist Flexor and Extensor Muscles does Not Suppress Essential Tremor, Independent of Stimulation Frequency". Tremor and Other Hyperkinetic Movements (New York, N.Y.). 13 30. doi:10.5334/tohm.740. ISSN 2160-8288. PMC 10473161. PMID 37663530.
  99. ^ a b Bain PG, Mally J, Gresty M, Findley LJ (November 1993). "Assessing the impact of essential tremor on upper limb function". Journal of Neurology. 241 (1): 54–61. doi:10.1007/bf00870673. PMID 8138823. S2CID 9502687.
  100. ^ a b Louis ED, Barnes L, Albert SM, Cote L, Schneier FR, Pullman SL, et al. (September 2001). "Correlates of functional disability in essential tremor". Movement Disorders. 16 (5): 914–920. doi:10.1002/mds.1184. PMID 11746622. S2CID 9540572.
  101. ^ Critchley M (June 1949). "Observations on essential (heredofamial) tremor". Brain. 72 (Pt. 2): 113–139. doi:10.1093/brain/72.2.113. PMID 18136705.
  102. ^ Busenbark KL, Nash J, Nash S, Hubble JP, Koller WC (December 1991). "Is essential tremor benign?". Neurology. 41 (12): 1982–1983. doi:10.1212/wnl.41.12.1982. PMID 1745359. S2CID 41199748.
  103. ^ Louis ED, Ford B, Barnes LF (August 2000). "Clinical subtypes of essential tremor". Archives of Neurology. 57 (8): 1194–1198. doi:10.1001/archneur.57.8.1194. PMID 10927801.
  104. ^ a b c Song P, Zhang Y, Zha M, Yang Q, Ye X, Yi Q, et al. (April 2021). "The global prevalence of essential tremor, with emphasis on age and sex: A meta-analysis". Journal of Global Health. 11 04028. doi:10.7189/jogh.11.04028. PMC 8035980. PMID 33880180.
  105. ^ Louis ED, Ferreira JJ (April 2010). "How common is the most common adult movement disorder? Update on the worldwide prevalence of essential tremor". Movement Disorders. 25 (5): 534–541. doi:10.1002/mds.22838. PMID 20175185.
  106. ^ a b Agarwal S, Biagioni MC (2024). "Essential Tremor". StatPearls. Treasure Island (FL): StatPearls Publishing. PMID 29763162. Retrieved 2024-07-29.
  107. ^ Benito-León J, Louis ED (December 2006). "Essential tremor: emerging views of a common disorder". Nature Clinical Practice. Neurology. 2 (12): 666–78, quiz 2p following 691. doi:10.1038/ncpneuro0347. PMID 17117170.
  108. ^ Louis ED, McCreary M (2021). "How Common is Essential Tremor? Update on the Worldwide Prevalence of Essential Tremor". Tremor and Other Hyperkinetic Movements. 11 28. doi:10.5334/tohm.632. ISSN 2160-8288. PMC 8269764. PMID 34277141.
  109. ^ Healy, David (director) (18 January 1993). Katharine Hepburn: All About Me. Turner Home Entertainment.
  110. ^ Claiborne RC (22 July 2003). "Q & A; Head and Hand Tremors". The New York Times. Retrieved 3 November 2013.
  111. ^ a b Berg AS (2004) [2003]. Kate Remembered: Katharine Hepburn, a personal biography. London: Pocket. p. 260. ISBN 978-0-7434-1563-7.
  112. ^ Conova S (29 January 2003). "Stopping essential tremor". In Vivo. 2 (2). Columbia University Health Sciences. Archived from the original on 16 February 2017. Retrieved 3 November 2013.
  113. ^ Dickens H (1990) [1971]. The Films of Katharine Hepburn. New York City: Carol Publishing Group. p. 31. ISBN 978-0-8065-1175-7.
  114. ^ Grow K (2019-01-03). "Daryl Dragon, Captain and Tennille's Captain, Dead at 76". Rolling Stone. Retrieved 2022-03-02.
  115. ^ Goodyear D (14 March 2011). "Hollywood Shadows". The New Yorker. Retrieved 13 December 2018.
  116. ^ "Downton Abbey creator reveals reason he gave Mr Carson a tremor". Breaking News. Breaking News.ie. 19 November 2019. Archived from the original on 17 December 2019. Retrieved 20 August 2020.
  117. ^ "Essential Tremor". Matthewcaws.com. Retrieved 9 April 2022.
  118. ^ a b Miwa H (2007). "Rodent models of tremor". Cerebellum. 6 (1): 66–72. doi:10.1080/14734220601016080. PMID 17366267. S2CID 24179439.
  119. ^ Kuhn W, Müller T, Grosse H, Rommelspacher H (1996). "Elevated levels of harman and norharman in cerebrospinal fluid of parkinsonian patients". Journal of Neural Transmission. 103 (12): 1435–1440. doi:10.1007/bf01271257. PMID 9029410. S2CID 21230301.
  120. ^ Pfau W, Skog K (March 2004). "Exposure to beta-carbolines norharman and harman". Journal of Chromatography. B, Analytical Technologies in the Biomedical and Life Sciences. 802 (1): 115–126. doi:10.1016/j.jchromb.2003.10.044. PMID 15036003.
  121. ^ Louis ED, Pellegrino KM, Factor-Litvak P, Rios E, Jiang W, Henchcliffe C, et al. (September 2008). "Cancer and blood concentrations of the comutagen harmane in essential tremor". Movement Disorders. 23 (12): 1747–1751. doi:10.1002/mds.22084. PMC 2597456. PMID 18709680.
  122. ^ Louis ED, Factor-Litvak P, Gerbin M, Slavkovich V, Graziano JH, Jiang W, et al. (March 2011). "Blood harmane, blood lead, and severity of hand tremor: evidence of additive effects". Neurotoxicology. 32 (2): 227–232. Bibcode:2011NeuTx..32..227L. doi:10.1016/j.neuro.2010.12.002. PMC 3073713. PMID 21145352.
  123. ^ Louis ED, Jiang W, Gerbin M, Viner AS, Factor-Litvak P, Zheng W (2012). "Blood harmane (1-methyl-9H-pyrido[3,4-b]indole) concentrations in essential tremor: repeat observation in cases and controls in New York". Journal of Toxicology and Environmental Health. Part A. 75 (12): 673–683. Bibcode:2012JTEHA..75..673L. doi:10.1080/15287394.2012.688485. PMC 3412610. PMID 22757671.
  124. ^ Louis ED, Zheng W, Jiang W, Bogen KT, Keating GA (June 2007). "Quantification of the neurotoxic beta-carboline harmane in barbecued/grilled meat samples and correlation with level of doneness". Journal of Toxicology and Environmental Health. Part A. 70 (12): 1014–1019. Bibcode:2007JTEHA..70.1014L. doi:10.1080/15287390601172015. PMC 4993204. PMID 17497412.
  125. ^ Louis ED, Keating GA, Bogen KT, Rios E, Pellegrino KM, Factor-Litvak P (2008). "Dietary epidemiology of essential tremor: meat consumption and meat cooking practices". Neuroepidemiology. 30 (3): 161–166. doi:10.1159/000122333. PMC 2821442. PMID 18382115.
  126. ^ Louis ED, Zheng W, Applegate L, Shi L, Factor-Litvak P (August 2005). "Blood harmane concentrations and dietary protein consumption in essential tremor". Neurology. 65 (3): 391–396. doi:10.1212/01.wnl.0000172352.88359.2d. PMC 4993192. PMID 16087903.
  127. ^ Haubenberger D, McCrossin G, Lungu C, Considine E, Toro C, Nahab FB, et al. (March 2013). "Octanoic acid in alcohol-responsive essential tremor: a randomized controlled study". Neurology. 80 (10): 933–940. doi:10.1212/WNL.0b013e3182840c4f. PMC 3653213. PMID 23408867.
  128. ^ Voller B, Lines E, McCrossin G, Tinaz S, Lungu C, Grimes G, et al. (April 2016). "Dose-escalation study of octanoic acid in patients with essential tremor". The Journal of Clinical Investigation. 126 (4): 1451–1457. doi:10.1172/JCI83621. PMC 4811161. PMID 26927672.