Lipid pneumonia
Lipoid pneumonia, also known as lipid pneumonia, is a rare form of lung inflammation (pneumonia) that develops when lipids (fats) enter the bronchial tree through aspiration or inhalation.[1]
Lipid pneumonia | |
---|---|
Other names | Lipid pneumonia, lipoid pneumonia, cholesterol pneumonia |
![]() | |
Lipid pneumonia, exogenous Case 108 | |
Specialty | Pulmonology ![]() |
Signs and symptoms
Lipoid pneumonia can present as a foreign body reaction causing cough, dyspnea, and often fever.[2] However, it is also commonly identified during autopsy after the death of a patient with respiratory compromise.[1] Hemoptysis, chest pain, and weight loss have also been reported.[3][2]
Causes
Lipoid pneumonia is most frequently caused by aspiration or inhalation of oil. Sources of these lipoids could be either exogenous or endogenous.[4]
Exogenous
Exogenous lipoid pneumonia refers to lipoid pneumonia caused by something from outside of the body. Inhaled or aspirated oil gathers in the lungs causing the disease.[5] This is most commonly found in people who are at high risk of aspiration such as elderly people, people with GERD. People who work with mineral oils compounds in industrial settings are also at high risk.[3][5]
Other examples of exogenous lipoid pneumonia causes include
- Inhalation of oil-based nose drops
- Application of oil-based ointments such as Vaseline in the nasal passage
- Vaping
- Amiodarone (an anti-arrhythmic)[6]
- Oil pulling[7]
- Inhalation cosmetic oils, mineral oil, castor oil, shark liver oil
- Inhalation of oil-based laxatives
- Fire breather's pneumonia from the inhalation of hydrocarbon fuel is a specific variant
For patients at high risk of aspiration, switching to water-soluble alternatives may be helpful.[2] Exogenous lipoid pneumonia can range from acute to chronic.[5]
Tuberculosis
One example of exogenous lipoid pneumonia is in the early stages of secondary tuberculosis.[8] This may be due to high content of mycolic acid, cord factor, and Wax-D in the cell wall of M. tuberculosis, that has long been speculated to be a virulence factor of the mycobacteria.[8]
Endogenous
Endogenous lipoid pneumonia refers to lipoid pneumonia caused by something from inside of the body. This can occur in the setting of airway obstruction. In response to bronchial damage, lung tissue releases fat and cholesterol.[5] Additionally, lipoid-laden macrophages and giant cells accumulate in the isolated bronchial airspace distal to the obstruction.[9] The disorder is sometimes called cholesterol pneumonia or idiopathic pneumonia.[5] Other causes of endogenous lipoid pneumonia include:
- Lipid storage diseases (e.g. Gaucher's disease)
- Wolman's disease
- Lung tumors
- Ongoing inflammation from another disease
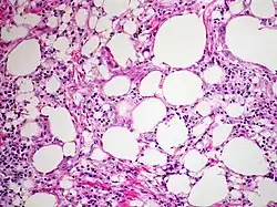
Appearance
The gross appearance of a lipoid pneumonia changes during different stages of the disease. The lung can appear gray, yellow, or gray-white and may exude oil or form nodules or cavities.[3]
At the microscopic scale, lipoid pneumonia is characterized by abundant foamy macrophages and giant cells. There may also be lipoid vacuoles, and cholesterol clefts.[3] If necrosis is present, there is likely an infection such as secondary tuberculosis.[3]
On CT, lipoid pneumonia appears as a "crazy paving" pattern, characterized by ground glass opacities with interspersed interlobular septal thickening.[3][10]
Diagnosis
.jpg)
Definitive diagnosis is made with histologic analysis of a lung biopsy or bronchoalveolar lavage sample from a bronchoscopy.[1]
Evaluation of lipoid pneumonia may also include the following:[11]
- Imaging such as Chest X-ray or CT scan
- Arterial blood gas (pH)
Management
Treatment of lipid pneumonia includes removing the inciting agent and supportive care.[2] Typically, the disease resolves if the inciting agent is removed.[2]
There is limited research on the effectiveness of the following treatments:
- Segmental lung lavage (for severe aspiration)[2]
- Corticosteroids[2][12]
- Intravenous immunoglobulins[11]
Prognosis
Endogenous lipoid pneumonia and non-specific interstitial pneumonitis has been seen prior to the development of pulmonary alveolar proteinosis in a child.[9]
Epidemiology
Lipoid pneumonia typically affects people who are at a high risk of aspiration. This includes:
- Elderly people
- people with Gastroesophageal reflux disease
- people with Lipid storage disorders.
Other at risk groups include:
- People who work with oils in an industrial setting are at increased risk.
- Underwater divers (after breathing poorly filtered air supplied by an oil-lubricated surface compressor).[12]
History
Laughlen first described lipoid pneumonia in 1925 with infants that inhaled oil droplets.[12] It was previously an incidental finding found at an autopsy of a patient with respiratory failure, but is now diagnosed more frequently.
References
- ^ a b c Beck, Lauren R.; Landsberg, David (2025), "Lipoid Pneumonia", StatPearls, Treasure Island (FL): StatPearls Publishing, PMID 32119464, retrieved 30 May 2025
- ^ a b c d e f g Moe Bell, Marvin (2015). "Lipoid pneumonia: An unusual and preventable illness in elderly patients". Canadian Family Physician. 61 (9): 775–777. PMC 4569110. PMID 26371101.
- ^ a b c d e f Zander, Dani S.; Farver, Carol F. (14 December 2016). Pulmonary Pathology E-Book: A Volume in Foundations in Diagnostic Pathology Series. Elsevier Health Sciences. p. 517. ISBN 978-0-323-46119-1. Retrieved 19 December 2022.
- ^ "Pulmonary Pathology". Retrieved 21 November 2008.
- ^ a b c d e "What Is Lipoid Pneumonia?". WebMD. Retrieved 30 May 2025.
- ^ Voulgareli, Ilektra; Chronaiou, Alexandra; Tsoukalas, Dionisios; Tsoukalas, George (5 December 2018). "A rare case of lipoid pneumonia attributed to amiodarone". Pneumonia. 10 (1): 12. doi:10.1186/s41479-018-0056-3. ISSN 2200-6133. PMC 6280337. PMID 30534512.
- ^ Kim JY, Jung JW, Choi JC, Shin JW, Park IW, Choi BW (February 2014). "Recurrent lipoid pneumonia associated with oil pulling". The International Journal of Tuberculosis and Lung Disease. 18 (2): 251–2. doi:10.5588/ijtld.13.0852. PMID 24429325.
- ^ a b Rl, Hunter; Mr, Olsen; C, Jagannath; Jk, Actor (2006). "Multiple roles of cord factor in the pathogenesis of primary, secondary, and cavitary tuberculosis, including a revised description of the pathology of secondary disease". Annals of Clinical and Laboratory Science. 36 (4): 371–386. ISSN 0091-7370. PMID 17127724.
- ^ a b Antoon JW, Hernandez ML, Roehrs PA, Noah TL, Leigh MW, Byerley JS (2014). "Endogenous lipoid pneumonia preceding diagnosis of pulmonary alveolar proteinosis". The Clinical Respiratory Journal. 10 (2): 246–249. doi:10.1111/crj.12197. PMID 25103284. S2CID 205037400.
- ^ Betancourt, SL; Martinez-Jimenez, S; Rossi, SE; Truong, MT; Carrillo, J; Erasmus, JJ (January 2010). "Lipoid pneumonia: spectrum of clinical and radiologic manifestations". AJR. American Journal of Roentgenology. 194 (1): 103–9. doi:10.2214/AJR.09.3040. PMID 20028911.
- ^ a b Beck, Lauren R.; Landsberg, David (2022). "Lipoid Pneumonia". StatPearls. StatPearls Publishing. PMID 32119464. Retrieved 19 December 2022.
- ^ a b c Kizer KW, Golden JA (November 1987). "Lipoid pneumonitis in a commercial abalone diver". Undersea Biomedical Research. 14 (6): 545–52. PMID 3686744. Archived from the original on 15 April 2013. Retrieved 2 April 2013.
Further reading
- Spickard, Anderson; Hirschmann, JV (28 March 1994). "Exogenous Lipoid Pneumonia". Archives of Internal Medicine. 154 (6): 686–92. doi:10.1001/archinte.1994.00420060122013. PMID 8129503.
- Betancourt, SL; Martinez-Jimenez, S; Rossi, SE; Truong, MT; Carrillo, J; Erasmus, JJ (January 2010). "Lipoid pneumonia: spectrum of clinical and radiologic manifestations". AJR. American Journal of Roentgenology. 194 (1): 103–9. doi:10.2214/ajr.09.3040. PMID 20028911.