PAS diastase stain

Periodic acid–Schiff–diastase (PAS-D, PAS diastase) stain is a periodic acid–Schiff (PAS) stain used in combination with diastase, an enzyme that breaks down glycogen. PAS-D is a stain often used by pathologists as an ancillary study in making a histologic diagnosis on paraffin-embedded tissue specimens. PAS stain typically gives a magenta color in the presence of glycogen. When PAS and diastase are used together, a light pink color replaces the deep magenta. Differences in the intensities of the two stains (PAS and PAS-D) can be attributed to different glycogen concentrations and can be used to semiquantify glycogen in samples. In practice, the tissue is deparaffinized, the diastase incubates, and the PAS stain is applied.
An example of PAS-D in use is in showing gastric/duodenal metaplasia in duodenal adenomas.[1] PAS diastase stain is also used to identify alpha-1 antitrypsin globules in hepatocytes, which is a characteristic finding of alpha-1 antitrypsin deficiency.[2] PAS diastase stain is also used in diagnosing Whipple’s disease, as the foamy macrophages that infiltrate the lamina propria of the small intestine in this disease possess PAS-positive, diastase-resistant inclusions.[3]
Additional images
-
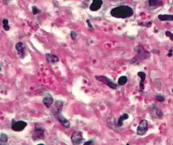
Histoplasma. PAS diastase stain.
-
Histoplasma in a granuloma. PAS diastase stain.
See also
References
- ^ Rubio CA (2007). "Gastric duodenal metaplasia in duodenal adenomas". J. Clin. Pathol. 60 (6): 661–3. doi:10.1136/jcp.2006.039388. PMC 1955048. PMID 16837629.
- ^ Patel, D; Teckman, JH (November 2018). "Alpha-1-Antitrypsin Deficiency Liver Disease". Clinics in Liver Disease. 22 (4): 643–655. doi:10.1016/j.cld.2018.06.010. PMID 30266154.
- ^ Misbah, S.A.; Mapstone, N.P. (2000). "Whipple's disease revisited". Journal of Clinical Pathology. 53 (10): 750–755. doi:10.1136/jcp.53.10.750. PMC 1731090.