Papillary serous cystadenocarcinoma
Papillary serous cystadenocarcinoma | |
---|---|
![]() | |
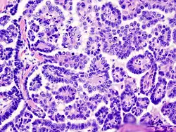
Medium power slide of ovarian serous adenocarcinoma stained using haematoxylin and eosin | |
Specialty | Oncology ![]() |
Papillary serous cystadenocarcinomas are the most common form of malignant ovarian cancer making up 26 percent of ovarian tumours in women aged over 20 in the United States.[1]
As with most ovarian tumours, due to the lack of early signs of disease these tumours can be large when discovered and have often metastasized, often by spreading along the peritoneum.[2]
Histopathology
Papillary serous cystadenocarcinomas may exhibit psammoma bodies upon histopathology.[3]
Diagnosis
Epidemiology

Gallery
-
Papillary serous cystadenoma
References
- ^ a b Kosary CL (2007). "Chapter 16: Cancers of the Ovary". In Ries LA, Young JL, Keel GE, Eisner MP, Lin YD, Horner MJ (eds.). SEER Survival Monograph: Cancer Survival Among Adults: US SEER Program, 1988-2001, Patient and Tumor Characteristics. SEER Program. Vol. NIH Pub. No. 07-6215. Bethesda, MD: National Cancer Institute. pp. 133–144. Archived from the original on 2013-10-10.
- ^ "The Internet Pathology Laboratory for Medical Education". The University of Utah Eccles Health Sciences Library. Retrieved 2009-06-27.
- ^ Ovarian papillary serous cystadenocarcinoma at WebPath, The Internet Pathology Laboratory for Medical Education at Mercer University School of Medicine. Retrieved July 2011