Papillomatosis

Papillomatosis
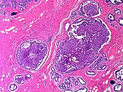
Breast - Intraductal Papillomatosis - Low power
SpecialtyDermatology

Papillomatosis is skin surface elevation caused by hyperplasia and enlargement of contiguous dermal papillae.[1] These papillary projections of the epidermis form an undulating surface under microscopic examination.

See also

References

  1. ^ Kumar, Vinay; Fausto, Nelso; Abbas, Abul (2004) Robbins & Cotran Pathologic Basis of Disease (7th ed.). Saunders. Page 1230. ISBN 0-7216-0187-1.