Placental infarction
Placental infarction | |
---|---|
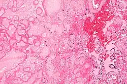
![]() | |
Micrograph of a placental infarct. H&E stain. | |
Specialty | Obstetrics |
A placental infarction results from the interruption of blood supply to a part of the placenta, causing its cells to die.
Small placental infarcts, especially at the edge of the placental disc, are considered to be normal at term. Large placental infarcts are associated with vascular abnormalities, e.g. hypertrophic decidual vasculopathy, as seen in hypertension.[1] Very large infarcts lead to placental insufficiency and may result in fetal death. Placental infarcts are generally detected after birth, although using ultrasound may be a way to notice infarcts prenatally. This method still needs more research and may not be completely effective in noticing infarcts. [2]
Relation to maternal floor infarct
Maternal floor infarcts are not considered to be true placental infarcts, as they result from deposition of fibrin around the chorionic villi, i.e. perivillous fibrin deposition.
See also
References
- ^ Marcorelles, P. (Mar 2010). "[Placenta and preeclampsia: relationships between anatomical lesions and clinical symptoms]". Ann Fr Anesth Reanim. 29 (3): e25-9. doi:10.1016/j.annfar.2010.02.013. PMID 20338716.
- ^ Aurioles-Garibay, Alma; Hernandez-Andrade, Edgar; Romero, Roberto; Qureshi, Faisal; Ahn, Hyunyoung; Jacques, Suzanne M.; Garcia, Maynor; Yeo, Lami; Hassan, Sonia S. (2014). "Prenatal diagnosis of a placental infarction hematoma associated with fetal growth restriction, preeclampsia and fetal death: clinicopathological correlation". Fetal Diagnosis and Therapy. 36 (2): 154–161. doi:10.1159/000357841. ISSN 1015-3837. PMC 4166603. PMID 24852332.