Placental site trophoblastic tumor
Placental site trophoblastic tumor | |
---|---|
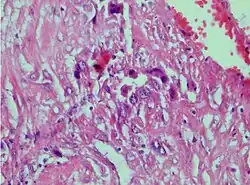
![]() | |
Photomicrograph showing proliferating intermediate trophoblast with scarce cytotophoblastic and syncytiotrophoblastic elements | |
Specialty | Oncology, obstetrics |
A placental site trophoblastic tumor is a form of gestational trophoblastic disease, which is thought to arise from the intermediate trophoblast.[1]
The tumor may secrete human placental lactogen,[2] and result in a false-positive pregnancy test.[3]
A placental site trophoblastic tumor is a monophasic neoplasm of the implantation site intermediate trophoblast, and usually a benign lesion, which comprises less than 2% of all gestational trophoblastic proliferations. Preceding conditions include molar pregnancy (5%). Compared to choriocarcinoma or invasive mole, hemorrhage is less conspicuous and serum β-HCG level is low, making early diagnosis difficult.
Diagnosis
Immunohistochemistry often shows positive staining for hPL,[4][5] keratin,[5] Mel-CAM,[5] and EGFR.,[4] This immunohistochemical profile, particularly the strong positivity for hPL and Mel-CAM, along with the negative or focal staining for β-hCG and p63, helps distinguish PSTT from other types of gestational trophoblastic neoplasia such as choriocarcinoma and epithelioid trophoblastic tumour.[5]
Treatment
If the causative pregnancy occurred less than 48 months prior to the tumor's diagnosis, the tumor can be removed via a hysterectomy without the need for adjunct systemic therapy. However, if more than 48 months have passed, or if the tumor is of stage II or higher, adjunct systemic therapy should be offered in the form of aggressive platinum-based chemotherapy. When possible, residual masses should be removed following treatment to insure against recurrence.[6]
Prognosis
10–20% of cases metastasize leading to death.
References
- ^ Shih IM, Kurman RJ (January 2001). "The pathology of intermediate trophoblastic tumors and tumor-like lesions". International Journal of Gynecological Pathology. 20 (1): 31–47. doi:10.1097/00004347-200101000-00004. PMID 11192071.
- ^ "Question 1". Examinations in Organ System Pathology. Archived from the original on 6 April 2010.
- ^ Whitney KA (December 2009). "Placental site trophoblastic tumor". The American Journal of Nursing. 109 (12): 32–7, quiz 38. doi:10.1097/01.NAJ.0000365176.62954.11. PMID 19935163. S2CID 5535092.
- ^ a b Bouquet de la Jolinière J, Khomsi F, Fadhlaoui A, Ben Ali N, Dubuisson JB, Feki A (2014). "Placental site trophoblastic tumor: a case report and review of the literature". Frontiers in Surgery. 1: 31. doi:10.3389/fsurg.2014.00031. PMC 4286988. PMID 25593955.
- ^ a b c d Zampacorta C, Pasciuto MP, Ferro B, Lucidi A, Maestro AS, Espinosa I, et al. (April 2023). "Placental site trophoblastic tumor (PSTT): a case report and review of the literature". Pathologica. 115 (2): 111–116. doi:10.32074/1591-951X-873. PMC 10462996. PMID 37114629.
- ^ Lukinovic N, Malovrh EP, Takac I, Sobocan M, Knez J (December 2022). "Advances in diagnostics and management of gestational trophoblastic disease". Radiology and Oncology. 56 (4): 430–439. doi:10.2478/raon-2022-0038. PMC 9784364. PMID 36286620.