Placental villous immaturity
Placental villous immaturity | |
---|---|
Other names | Villous immaturity, villous dysmaturity |
![]() | |
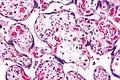
Micrograph of villous immaturity. H&E stain. | |
Specialty | Gynecology, pathology |
Placental villous immaturity is chorionic villous development that is inappropriate for the gestational age.
It is associated with diabetes mellitus[1] and fetal death near term, i.e. intrauterine demise close to the normal gestational period.[2]
Pathology
Immature chorionic villi are larger and have more central blood vessels; thus, the diffusion distance for gas and nutrient exchange is larger and, therefore, placental function is impaired.
-
Low mag.
-
High mag.
See also
References
- ^ Arizawa, M.; Nakayama, M.; Kidoguchi, K. (Jun 1991). "[Correlation of placental villous immaturity and dysmaturity with clinical control of maternal diabetes]". Nihon Sanka Fujinka Gakkai Zasshi. 43 (6): 595–602. PMID 1856519.
- ^ Stallmach, T.; Hebisch, G. (Jul 2004). "Placental pathology: its impact on explaining prenatal and perinatal death" (PDF). Virchows Arch. 445 (1): 9–16. doi:10.1007/s00428-004-1032-2. PMID 15138817. S2CID 12463921.