Polystyrene sulfonate

Polystyrene sulfonate
Clinical data
Trade namesSodium salt: Kayexalate, Kionex, Resonium A
Calcium salt: Calcium Resonium, Kalitake, Sorbisterit, Resikali
Potassium and sodium salt: Tolevamer
AHFS/Drugs.comMonograph
MedlinePlusa682108
Routes of
administration
By mouth, retention enema
ATC code
Legal status
Legal status
  • In general: ℞ (Prescription only)
Pharmacokinetic data
BioavailabilityNone
MetabolismNone
ExcretionFaeces (100%)
Identifiers
  • Poly(4-vinylbenzenesulfonic acid)
CAS Number
PubChem CID
DrugBank
ChemSpider
  • None
UNII
KEGG
Chemical and physical data
Formula[C8H7SO3] n
 ☒NcheckY (what is this?)  (verify)

Polystyrene sulfonates are a group of medications used to treat high blood potassium.[1] Effects generally take hours to days.[1] They are also used to remove potassium, calcium, and sodium from solutions in technical applications.

Common side effects include loss of appetite, gastrointestinal upset, constipation, and low blood calcium.[1] These polymers are derived from polystyrene by the addition of sulfonate functional groups.

Sodium polystyrene sulfonate was approved for medical use in the United States in 1958.[1]

A polystyrene sulfonate was developed in the 2000s to treat Clostridioides difficile associated diarrhea under the name Tolevamer,[2] but it was never marketed.

Medical uses

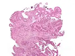
Micrograph showing sodium polystyrene sulfonate crystals (purple – at top of the image) in the biopsy of a colonic mass. H&E stain.

Polystyrene sulfonate is usually supplied in either the sodium or calcium form. It is used as a potassium binder in acute and chronic kidney disease for people with hyperkalemia (an abnormally high blood serum potassium level).[3] However, it is unclear if it is beneficial and there is concern about possible side effects when it is combined with sorbitol.[4]

Polystyrene sulfonates are given by mouth with a meal or rectally by retention enema.[5]

Side effects

Intestinal disturbances are common, including loss of appetite, nausea, vomiting, and constipation. In rare cases, it has been associated with colonic necrosis.[6] Changes in electrolyte blood levels such as hypomagnesemia, hypocalcemia, and hypokalemia may occur.[7] Polystyrene sulfonates should not be used in people with obstructive bowel disease and in newborns with reduced gut motility.[8]

Intestinal injury

A total of 58 cases of intestinal injury including necrosis of the colon have been reported with polystyrene sulfonate as of 2013.[9] Well more cases have been reported when used in combination with sorbitol and other cases have occurred when used alone.[9]

Interactions

Polystyrene sulfonates can bind to various drugs within the digestive tract and thus lower their absorption and effectiveness. Common examples include lithium, thyroxine, and digitalis. In September 2017, the FDA recommended separating the dosing of polystyrene sulfonate from any other oral medications by at least three hours to avoid any potential interactions.[10]

Mechanism of action

Hyperkalemia

Polystyrene sulfonates release sodium or calcium ions in the stomach in exchange for hydrogen ions. When the resin reaches the large intestine the hydrogen ions are exchanged for free potassium ions, and the resin is then eliminated in the feces. The net effect is lowering the amount of potassium available for absorption into the blood and increasing the amount that is excreted via the feces. The effect is a reduction of potassium levels in the body, at a capacity of 1 mEq of potassium exchanged per 1 g of resin.[8][11]

Production and chemical structure

Polystyrene sulfonic acid, the acid whose salts are the polystyrene sulfonates, has the idealized formula (CH2CHC6H4SO3H)n. The material is prepared by sulfonation of polystyrene:

(CH2CHC6H5)n + n SO3 → (CH2CHC6H4SO3H)n

Several methods exist for this conversion, which can lead to varying degree of sulfonation. Usually the polystyrene is crosslinked, which keeps the polymer from dissolving. Since the sulfonic acid group (SO3H) is strongly acidic, this polymer neutralizes bases. In this way, various salts of the polymer can be prepared, leading to sodium, calcium, and other salts:

(CH2CHC6H4SO3H)n + n NaOH → (CH2CHC6H4SO3Na)n + n H2O

These ion-containing polymers are called ionomers.

Alternative sulfonation methods

Double substitutions of the phenyl rings are known to occur, even with conversions well below 100%. Crosslinking reactions are also found, where condensation of two sulfonic acid groups yields a sulfonyl crosslink. On the other hand, the use of milder conditions such as acetyl sulfate leads to incomplete sulfonation. Recently, the atom transfer radical polymerization (ATRP) of protected styrene sulfonates has been reported,[12][13] leading to well defined linear polymers, as well as more complicated molecular architectures.[14]

Chemical uses

Polystyrene sulfonates are useful because of their ion exchange properties.[15] Linear ionic polymers are generally water-soluble, whereas cross-linked materials (called resins) do not dissolve in water. These polymers are classified as polysalts and ionomers.[15]

Water softening

Water softening is achieved by percolating hard water through a bed of the sodium form of cross-linked polystyrene sulfonate. The hard ions such as calcium (Ca2+) and magnesium (Mg2+) adhere to the sulfonate groups, displacing sodium ions. The resulting solution of sodium ions is softened.

Idealized image of water softening process involving replacement of calcium ions in water with sodium ions donated by a cation exchange resin.

Other uses

Sodium polystyrene sulfonate is used as a superplastifier in cement, as a dye improving agent for cotton, and as proton exchange membranes in fuel cell applications. In its acid form, the resin is used as a solid acid catalyst in organic synthesis,[16] mostly commonly under the tradename Amberlyst.

References

  1. ^ a b c d "Sodium Polystyrene Sulfonate Monograph for Professionals". Drugs.com. Retrieved 25 October 2019.
  2. ^ Hinkson PL, Dinardo C, DeCiero D, Klinger JD, Barker RH (June 2008). "Tolevamer, an anionic polymer, neutralizes toxins produced by the BI/027 strains of Clostridium difficile". Antimicrobial Agents and Chemotherapy. 52 (6): 2190–2195. doi:10.1128/AAC.00041-08. PMC 2415796. PMID 18391047.
  3. ^ MedlinePlus Encyclopedia: High potassium level
  4. ^ Sterns RH, Rojas M, Bernstein P, Chennupati S (May 2010). "Ion-exchange resins for the treatment of hyperkalemia: are they safe and effective?". Journal of the American Society of Nephrology. 21 (5): 733–735. doi:10.1681/ASN.2010010079. PMID 20167700.
  5. ^ "Polystyrene sulfonate". Martindale: The Complete Drug Reference. Medicines Complete. Retrieved 27 November 2009.
  6. ^ Rogers FB, Li SC (August 2001). "Acute colonic necrosis associated with sodium polystyrene sulfonate (Kayexalate) enemas in a critically ill patient: case report and review of the literature". The Journal of Trauma. 51 (2): 395–397. doi:10.1097/00005373-200108000-00031. PMID 11493807.
  7. ^ KAYEXALATE (sodium polystyrene sulfonate). FULL PRESCRIBING INFORMATION Revised 07/2017 Retrieved 2018-10-21
  8. ^ a b FDA Professional Drug Information for Kayexalate.
  9. ^ a b Harel Z, Harel S, Shah PS, Wald R, Perl J, Bell CM (March 2013). "Gastrointestinal adverse events with sodium polystyrene sulfonate (Kayexalate) use: a systematic review". The American Journal of Medicine. 126 (3): 264.e9–264.24. doi:10.1016/j.amjmed.2012.08.016. PMID 23321430.
  10. ^ Office of the Commissioner. "Safety Alerts for Human Medical Products - Kayexalate (sodium polystyrene sulfonate): Drug Safety Communication - FDA Recommends Separating Dosing". www.fda.gov. Retrieved 2017-09-19.
  11. ^ Chaitman M, Dixit D, Bridgeman MB (January 2016). "Potassium-Binding Agents for the Clinical Management of Hyperkalemia". P & T. 41 (1): 43–50. PMC 4699486. PMID 26765867.
  12. ^ Sikkema FD, Comellas-Aragonès M, Fokkink RG, Verduin BJ, Cornelissen JJ, Nolte RJ (January 2007). "Monodisperse polymer-virus hybrid nanoparticles". Organic & Biomolecular Chemistry. 5 (1): 54–57. doi:10.1039/b613890j. PMID 17164905.
  13. ^ Lienkamp K, Schnell I, Groehn F, Wegner G (2006). "Polymerization of Styrene Sulfonate Ethyl Ester by ATRP: Synthesis and Characterization of Macromonomers for Suzuki Polycondensation". Macromolecular Chemistry and Physics. 207 (22): 2066–2073. doi:10.1002/macp.200600322.
  14. ^ Lienkamp K, Ruthard C, Lieser G, Berger R, Groehn F, Wegner G (2006). "Polymerization of Styrene Sulfonate Ethyl Ester and Styrene Sulfonate Dodecyl Ester by ATRP: Synthesis and Characterization of Polymer Brushes". Macromolecular Chemistry and Physics. 207 (22): 2050–2065. doi:10.1002/macp.200600321. S2CID 98278283.
  15. ^ a b De Dardel F, Arden TV (2008). "Ion Exchangers". Ullmann's Encyclopedia of Industrial Chemistry. Weinheim: Wiley-VCH. doi:10.1002/14356007.a14_393.pub2. ISBN 978-3527306732.
  16. ^ Gálvez E, Romea P, Urpí F (2009). "Stereoselective Synthesis of anti α-Methyl-β-Methoxy Carboxylic Compounds". Organic Syntheses. 86: 81.