Prostatic calculi
| Prostatic calculi | |
|---|---|
| Other names | prostatic stones, prostatic calcification, prostatic lithiasis |
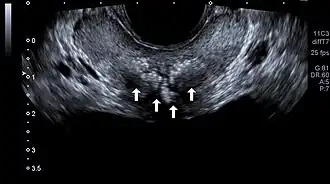
![]() | |
| Transrectal ultrasound of prostatic stones in the peri-urethral zone of the prostate | |
| Specialty | Urology |
Prostatic calculi (PC), prostatic stones, prostatic calcification or prostatic lithiasis, are hyper-echoic mineral deposits in the prostate that are frequently detected incidentally during transabdominal ultrasonography, transrectal ultrasonography, or computed tomography.[1][2][3]
Formation
There are two main types of prostatic calculi:
- Endogenous stones: These are small stones formed within the acini of the prostate. They have a higher correlation with age.[3]
- Extrinsic stones: These stones are usually larger and formed due to the reflux of urine into the prostate.[3]
The exact mechanism of the development of prostatic calculi is still unclear.[3]
Prevalence
In a study of young adults in Greece (aged 21–50, mean age 40.9 years), the prevalence was found to be 7.35%.[4] While among urologic patients in South Korea (aged 29–89, mean age 61.9 years), the prevalence was 40.7%.[5]
The prevalence is notably higher in patients with benign prostatic hyperplasia, ranging from 68.8% to 70%.[3] Additionally, a study conducted in Cleveland reported that 46.8% of patients with chronic pelvic pain had stones larger than 3 mm.[6]
Composition
Calcium phosphate is the most common component of prostatic calculi, accounting for more than 80% of cases.[1]
Clinical significance
Most cases of prostatic calculi are asymptomatic.[3] Its clinical significance is debated.[2] While some studies report no significant association between PC and lower urinary tract symptoms (LUTS), others suggest it can aggravate LUTS, chronic prostatitis, and sexual dysfunction.[1]
References
- ^ a b c Cao, Jun-Jie; Huang, Wei; Wu, Hong-Shen; Cao, Min; Zhang, Yan; Jin, Xiao-Dong (July 2018). "Prostatic Calculi: Do They Matter?". Sexual Medicine Reviews. 6 (3): 482–491. doi:10.1016/j.sxmr.2017.10.003. PMID 29157875. S2CID 2162594.
- ^ a b Wang, Hao; Ma, Ming; Qin, Feng; Yuan, Jiuhong (February 2021). "The influence of prostatic calculi on lower urinary tract symptoms and sexual dysfunction: a narrative review". Translational Andrology and Urology. 10 (2): 929–938. doi:10.21037/tau-20-1046. PMC 7947430. PMID 33718093. S2CID 232231107.
- ^ a b c d e f Hyun, Jae Seog (2018). "Clinical Significance of Prostatic Calculi: A Review". The World Journal of Men's Health. 36 (1): 15–21. doi:10.5534/wjmh.17018. ISSN 2287-4208. PMC 5756803. PMID 29076299. S2CID 19198319.
- ^ Geramoutsos, Ioannis; Gyftopoulos, Kostis; Perimenis, Petros; Thanou, Vasiliki; Liagka, Dimitra; Siamblis, Dimitrios; Barbalias, George (2004). "Clinical Correlation of Prostatic Lithiasis with Chronic Pelvic Pain Syndromes in Young Adults". European Urology. 45 (3): 333–338. doi:10.1016/j.eururo.2003.09.020. PMID 15036679.
- ^ Lee, Sang Eun; Ku, J.A. Hyeon; Park, Hyoung Keun; Jeong, Cheol Kwak Hyeon; Kim, Seung Hyup (2003). "Prostatic Calculi Do Not Influence The Level of Serum Prostate Specific Antigen in Men Without Clinically Detectable Prostate Cancer or Prostatitis". Journal of Urology. 170 (3): 745–748. doi:10.1097/01.ju.0000081650.23715.4c. ISSN 0022-5347. PMID 12913688.
- ^ Shoskes, Daniel A.; Lee, Chun-Te; Murphy, Donel; Kefer, John; Wood, Hadley M. (2007). "Incidence and Significance of Prostatic Stones in Men with Chronic Prostatitis/Chronic Pelvic Pain Syndrome". Urology. 70 (2): 235–238. doi:10.1016/j.urology.2007.04.008. PMID 17826477.
