Psychopathy
Psychopathy | |
---|---|
Pronunciation |
|
Specialty | Psychiatry, clinical psychology, criminology |
Symptoms | Boldness, superficial charm, antisocial behavior, lack of empathy or remorse, inclination to violence and psychological manipulation, impulsivity, narcissism |
Causes | Genetic factors, experiencing neglect or maltreatment |
Risk factors | Family history, adverse environmental stressors |
Differential diagnosis | Antisocial personality disorder, narcissistic personality disorder, sexual sadism disorder, psychosis, other psychotic disorders such as schizophrenia, schizotypal disorder, schizoaffective disorder |
Prevention | Proper care of children |
Treatment | Very few accepted treatments. Use of psychotherapy is accepted, though benefits are weak |
Medication | None |
Prognosis | Poor |
Psychopathy, or psychopathic personality,[1] is a personality construct[2][3] characterized by impaired empathy and remorse, persistent antisocial behavior,[4] along with bold, disinhibited, and egocentric traits. These traits are often masked by superficial charm and immunity to stress,[5] which create an outward appearance of apparent normalcy.[6][7][8][9][10]
Hervey M. Cleckley, an American psychiatrist, influenced the initial diagnostic criteria for antisocial personality reaction/disturbance in the Diagnostic and Statistical Manual of Mental Disorders (DSM), as did American psychologist George E. Partridge.[11] The DSM and International Classification of Diseases (ICD) subsequently introduced the diagnoses of antisocial personality disorder (ASPD) and dissocial personality disorder (DPD) respectively, stating that these diagnoses have been referred to (or include what is referred to) as psychopathy or sociopathy. The creation of ASPD and DPD was driven by the fact that many of the classic traits of psychopathy were impossible to measure objectively.[12][13][14][15][16] Canadian psychologist Robert D. Hare later re-popularized the construct of psychopathy in criminology with his Psychopathy Checklist.[12][14][17][18]
Although no psychiatric or psychological organization has sanctioned a diagnosis titled "psychopathy", assessments of psychopathic characteristics are widely used in criminal justice settings in some nations and may have important consequences for individuals. The study of psychopathy is an active field of research. The term is also used by the general public, popular press, and in fictional portrayals.[18][19] While the abbreviated term "psycho" is often employed in common usage in general media along with "crazy", "insane", and "mentally ill", there is a categorical difference between psychosis and psychopathy.[20]
Signs and symptoms
Socially, psychopathy typically involves extensive callous and manipulative self-serving behaviors with no regard for others and often is associated with repeated delinquency, crime, and violence. Mentally, impairments in processes related to affect and cognition, particularly socially related mental processes, have also been found. Developmentally, symptoms of psychopathy have been identified in young children with conduct disorder and suggest at least a partial constitutional factor that influences its development.[21]
Primary features
Disagreement exists over which features should be considered as part of psychopathy, with researchers identifying around 40 traits supposedly indicative of the construct,[22][23] though the following characteristics are almost universally considered central.
Core traits
Cooke and Michie (2001)[24] proposed a three-factor model of the Psychopathy Checklist-Revised which has seen widespread application in other measures (e.g., Youth Psychopathic Traits Inventory,[25] Antisocial Process Screening Device[26]).
- Arrogant and deceitful interpersonal style: impression management or superficial charm, inflated and grandiose sense of self-worth, pathological lying/deceit, and manipulation for personal gain.
- Deficient affective experience: lack of remorse or guilt, shallow affect (coldness and unemotionality), callousness and lack of empathy, and failure to accept responsibility for own actions.
- Impulsive and irresponsible lifestyle: impulsivity, sensation-seeking and risk-taking, irresponsible and unreliable behavior, financially parasitic lifestyle, and a lack of realistic, long-term goals.
Low anxiety and fearlessness
Cleckley's (1941) original description of psychopathy included the absence of nervousness and neurotic disorders, and later theorists referred to psychopaths as fearless or thick-skinned.[27] While it is often claimed that the PCL-R does not include low anxiety or fearlessness, such features do contribute to the scoring of the Facet 1 (interpersonal) items, mainly through self-assurance, unrealistic optimism, brazenness, and imperturbability.[28] Indeed, while self-report studies have been inconsistent using the two-factor model of the PCL-R, studies which separate Factor 1 into interpersonal and affective facets, more regularly show modest associations between Facet 1 and low anxiety, boldness and fearless dominance (especially items assessing glibness/charm and grandiosity).[29][30][31] When both psychopathy and low anxiety/boldness are measured using interviews, both interpersonal and affective facets are both associated with fearlessness and lack of internalizing disorders.[32][33][34]
The importance of low anxiety/fearlessness to psychopathy has historically been underscored through behavioral and physiological studies showing diminished responses to threatening stimuli (interpersonal and affective facets both contributing).[35] However, it is not known whether this is reflected in the reduced experience of state fear or where it reflects impaired detection and response to threat-related stimuli.[36] Moreover, such deficits in threat responding are known to be reduced or even abolished when attention is focused on the threatening stimuli.
Offending
Criminality

In terms of simple correlations, the PCL-R manual states an average score of 22.1 has been found in North American prisoner samples, and that 20.5% scored 30 or higher. An analysis of prisoner samples from outside North America found a somewhat lower average value of 17.5. Studies have found that psychopathy scores correlated with repeated imprisonment, detention in higher security, disciplinary infractions, and substance misuse.[37][38]
Psychopathy, as measured with the PCL-R in institutional settings, shows in meta-analyses small to moderate effect sizes with institutional misbehavior, postrelease crime, or postrelease violent crime with similar effects for the three outcomes. Individual studies give similar results for adult offenders, forensic psychiatric samples, community samples, and youth. The PCL-R is poorer at predicting sexual re-offending. This small to moderate effect appears to be due largely to the scale items that assess impulsive behaviors and past criminal history, which are well-established but very general risk factors. The aspects of core personality often held to be distinctively psychopathic generally show little or no predictive link to crime by themselves. For example, Factor 1 of the PCL-R and Fearless dominance of the PPI-R have a smaller or no relationship to crime, including violent crime. In contrast, Factor 2 and Impulsive antisociality of the PPI-R are associated more strongly with criminality. Factor 2 has a relationship of similar strength to that of the PCL-R as a whole. The antisocial facet of the PCL-R is still predictive of future violence after controlling for past criminal behavior which, together with results regarding the PPI-R which by design does not include past criminal behavior, suggests that impulsive behaviors is an independent risk factor. Thus, the concept of psychopathy may perform poorly when attempted to be used as a general theory of crime.[12][39]
Violence
Studies have suggested a strong correlation between psychopathy scores and violence, and the PCL-R emphasizes features that are somewhat predictive of violent behavior. Researchers, however, have noted that psychopathy is dissociable from and not synonymous with violence.[12][40][41]
It has been suggested that psychopathy is associated with "instrumental aggression", also known as predatory, proactive, or "cold-blooded" aggression, a form of aggression characterized by reduced emotion and conducted with a goal differing from but facilitated by the commission of harm.[42][43] One conclusion in this regard was made by a 2002 study of homicide offenders, which reported that the homicides committed by homicidal offenders with psychopathy were almost always (93.3%) primarily instrumental, significantly more than the proportion (48.4%) of those committed by non-psychopathic homicidal offenders, with the instrumentality of the homicide also correlated with the total PCL-R score of the offender as well as their scores on the Factor 1 "interpersonal-affective" dimension. However, contrary to the equating of this to mean exclusively "in cold blood", more than a third of the homicides committed by psychopathic offenders involved some component of emotional reactivity as well.[44] In any case, FBI profilers indicate that serious victim injury is generally an emotional offense, and some research supports this, at least concerning sexual offending. One study has found more serious offending by non-psychopathic offenders on average than by offenders with psychopathy (e.g. more homicides versus more armed robbery and property offenses) and another that the Affective facet of the PCL-R predicted reduced offense seriousness.[12]
Studies on perpetrators of domestic violence find that abusers have high rates of psychopathy, with the prevalence estimated to be at around 15-30%. Furthermore, the commission of domestic violence is correlated with Factor 1 of the PCL-R, which describes the emotional deficits and the callous and exploitative interpersonal style found in psychopathy. The prevalence of psychopathy among domestic abusers indicate that the core characteristics of psychopathy, such as callousness, remorselessness, and a lack of close interpersonal bonds, predispose those with psychopathy to committing domestic abuse, and suggest that the domestic abuses committed by these individuals are callously perpetrated (i.e. instrumentally aggressive) rather than a case of emotional aggression and therefore may not be amenable to the types of psychosocial interventions commonly given to domestic abuse perpetrators.[43][45]
Some clinicians suggest that assessment of the construct of psychopathy does not necessarily add value to violence risk assessment. A large systematic review and meta-regression found that the PCL performed the poorest out of nine tools for predicting violence. In addition, studies conducted by the authors or translators of violence prediction measures, including the PCL, show on average more positive results than those conducted by more independent investigators. Several other risk assessment instruments can predict further crime with an accuracy similar to the PCL-R and some of these are considerably easier, quicker, and less expensive to administer. This may even be done automatically by a computer simply based on data such as age, gender, number of previous convictions, and age of first conviction. Some of these assessments may also identify treatment changes and goals, identify quick changes that may help short-term management, identify more specific kinds of violence that may be at risk, and establish specific probabilities of offending for specific scores. Nonetheless, the PCL-R may continue to be popular for risk assessment because of its pioneering role and the large amount of research done using it.[12][46][47][48][49][50][51]
The U.S. Federal Bureau of Investigation (FBI) reports that psychopathic behavior is consistent with traits common to some serial killers, including sensation seeking, a lack of remorse or guilt, impulsivity, the need for control, and predatory behavior.[52] It has also been found that the homicide victims of psychopathic offenders were disproportionately female in comparison to the more equitable gender distribution of victims of non-psychopathic offenders.[44]
Sexual offending
Psychopathy has been associated with the commission of sexual crime, with some researchers arguing that it is correlated with a preference for violent sexual behavior. A 2011 study of conditional releases for Canadian male federal offenders found that psychopathy was related to more violent and non-violent offences but not more sexual offences.[53] For child molesters, psychopathy was associated with more offences.[54] A study on the relationship between psychopathy scores and types of aggression in a sample of sexual murderers, in which 84.2% of the sample had PCL-R scores above 20 and 47.4% above 30, found that 82.4% of those with scores above 30 had engaged in sadistic violence (defined as enjoyment indicated by self-report or evidence) compared to 52.6% of those with scores below 30, and total PCL-R and Factor 1 scores correlated significantly with sadistic violence.[55][56] Despite this, it is reported that offenders with psychopathy (both sexual and non-sexual offenders) are about 2.5 times more likely to be granted conditional release compared to non-psychopathic offenders.[54]
Hildebrand and colleagues (2004) have uncovered an interaction between psychopathy and deviant sexual interests, wherein those high in psychopathy who also endorsed deviant sexual interests were more likely to recidivate sexually.[57] A subsequent meta-analysis has consolidated such a result.[58]
In considering the issue of possible reunification of some sex offenders into homes with a non-offending parent and children, it has been advised that any sex offender with a significant criminal history should be assessed on the PCL-R, and if they score 18 or higher, then they should be excluded from any consideration of being placed in a home with children under any circumstances.[59] There is, however, increasing concern that PCL scores are too inconsistent between different examiners, including in its use to evaluate sex offenders.[60]
Other offending
The possibility of psychopathy has been associated with organized crime, economic crime, and war crimes. Terrorists are sometimes considered psychopathic, and comparisons may be drawn with traits such as antisocial violence, a selfish worldview that precludes the welfare of others, a lack of remorse or guilt, and blame externalization.[61] However, John Horgan, author of The Psychology of Terrorism, argues that such comparisons could also then be drawn more widely: for example, to soldiers in wars. Coordinated terrorist activity requires organization, loyalty, and ideological fanaticism often to the extreme of sacrificing oneself for an ideological cause. Traits such as a self-centered disposition, unreliability, poor behavioral controls, and unusual behaviors may disadvantage or preclude psychopathic individuals from conducting organized terrorism.[62][63]
It may be that a significant portion of people with psychopathy are socially successful and tend to express their antisocial behavior through more covert avenues such as social manipulation or white collar crime. Such individuals are sometimes referred to as "successful psychopaths", and may not necessarily always have extensive histories of traditional antisocial behavior as characteristic of traditional psychopathy.[64]
Childhood and adolescent precursors
The PCL:YV is an adaptation of the PCL-R for individuals aged 13–18 years. It is, like the PCL-R, done by a trained rater based on an interview and an examination of criminal and other records. The "Antisocial Process Screening Device" (APSD) is also an adaptation of the PCL-R. It can be administered by parents or teachers for individuals aged 6–13 years. High psychopathy scores for both juveniles (as measured with these instruments) and adults (as measured with the PCL-R and other measurement tools) have similar associations with other variables, including similar ability in predicting violence and criminality.[12][65][66] Juvenile psychopathy may also be associated with more negative emotionality such as anger, hostility, anxiety, and depression.[12][67] Psychopathic traits in youth typically comprise three factors: callous/unemotional, narcissism, and impulsivity/irresponsibility.[68][69]
There is a positive correlation between early negative life events of the ages 0–4 and the emotion-based aspects of psychopathy.[70] There are moderate to high correlations between psychopathy rankings from late childhood to early adolescence. The correlations are considerably lower from early- or mid-adolescence to adulthood. In one study most of the similarities were on the Impulsive- and Antisocial-Behavior scales. Of those adolescents who scored in the top 5% highest psychopathy scores at age 13, less than one-third (29%) were classified as psychopathic at age 24. Some recent studies have also found a poorer ability to predict long-term, adult offending.[12][71]
Conduct disorder
Conduct disorder is diagnosed based on a prolonged pattern of antisocial behavior in childhood or adolescence, and may be seen as a precursor to ASPD. Some researchers have speculated that two subtypes of conduct disorder mark dual developmental pathways to adult psychopathy.[12][72][73] The DSM allows differentiating between childhood onset before age 10 and adolescent onset at age 10 and later. Childhood-onset is argued to be more due to a personality disorder caused by neurological deficits interacting with an adverse environment. For many, but not all, childhood onset is associated with what is in Terrie Moffitt's developmental theory of crime referred to as "life-course- persistent" antisocial behavior as well as poorer health and economic status. Adolescent onset is argued to more typically be associated with short-term antisocial behavior.[12]
It has been suggested that the combination of early-onset conduct disorder and ADHD may be associated with life-course-persistent antisocial behaviors as well as psychopathy. There is evidence that this combination is more aggressive and antisocial than those with conduct disorder alone. However, it is not a particularly distinct group since the vast majority of young children with conduct disorder also have ADHD. Some evidence indicates that this group has deficits in behavioral inhibition, similar to that of adults with psychopathy. They may not be more likely than those with conduct disorder alone to have the interpersonal/affective features and the deficits in emotional processing characteristic of adults with psychopathy. Proponents of different types/dimensions of psychopathy have seen this type as possibly corresponding to adult secondary psychopathy and increased disinhibition in the triarchic model.[12]
The DSM-5 includes a specifier for those with conduct disorder who also display a callous, unemotional interpersonal style across multiple settings and relationships.[70] The specifier is based on research that suggests that those with conduct disorder who also meet the criteria for the specifier tend to have a more severe form of the disorder with an earlier onset as well as a different response to treatment. Proponents of different types/dimensions of psychopathy have seen this as possibly corresponding to adult primary psychopathy and increased boldness or meanness in the triarchic model.[12][74]
Mental traits
Cognition
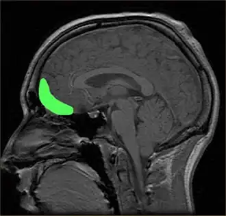
Dysfunctions in the prefrontal cortex and amygdala regions of the brain have been associated with specific learning impairments in psychopathy. Damage to the ventromedial prefrontal cortex, which regulates the activity in the amygdala, leads to common characteristics in psychopathic individuals.[75] Since the 1980s, scientists have linked traumatic brain injury, including damage to these regions, with violent and psychopathic behavior. Patients with damage in such areas resembled "psychopathic individuals" whose brains were incapable of acquiring social and moral knowledge; those who acquired damage as children may have trouble conceptualizing social or moral reasoning, while those with adult-acquired damage may be aware of proper social and moral conduct but be unable to behave appropriately. Dysfunctions in the amygdala and ventromedial prefrontal cortex may also impair stimulus-reinforced learning in psychopaths, whether punishment-based or reward-based. People scoring 25 or higher in the PCL-R, with an associated history of violent behavior, appear to have significantly reduced mean microstructural integrity in their uncinate fasciculus—white matter connecting the amygdala and orbitofrontal cortex. There is evidence from DT-MRI of breakdowns in the white matter connections between these two important areas.[76][77][78]
Although some studies have suggested inverse relationships between psychopathy and intelligence, including with regards to verbal IQ, Hare and Neumann state that a large literature demonstrates at most only a weak association between psychopathy and IQ, noting that the early pioneer Cleckley included good intelligence in his checklist due to selection bias (since many of his patients were "well educated and from middle-class or upper-class backgrounds") and that "there is no obvious theoretical reason why the disorder described by Cleckley or other clinicians should be related to intelligence; some psychopaths are bright, others less so". Studies also indicate that different aspects of the definition of psychopathy (e.g. interpersonal, affective (emotion), behavioral, and lifestyle components) can show different links to intelligence, and the result can depend on the type of intelligence assessment (e.g. verbal, creative, practical, analytical).[19][40][79][80]
Emotion recognition and empathy
A large body of research suggests that psychopathy is associated with atypical responses to distress cues from other people, more precisely an impaired emotional empathy in the recognition of, and response to, facial expressions, body gestures and vocal tones of fear, sadness, pain and happiness.[81][21] This impaired recognition and reduced autonomic responsiveness might be partly accounted for by a decreased activation of the fusiform and extrastriate cortical regions.[21] The underlying biological surfaces for processing expressions of happiness are functionally intact in psychopaths, although less responsive than those of controls. The neuroimaging literature is unclear as to whether deficits are specific to particular emotions such as fear. The overall pattern of results across studies indicates that people diagnosed with psychopathy demonstrate reduced MRI, fMRI, aMRI, PET, and SPECT activity in areas of the brain.[82] Research has also shown that an approximate 18% smaller amygdala size contributes to a significantly lower emotional sensation in regards to fear, sadness, amongst other negative emotions, which may likely be the reason as to why psychopathic individuals have lower empathy.[83] Some recent fMRI studies have reported that emotion perception deficits in psychopathy are pervasive across emotions (positives and negatives).[84][85][86][87][88] Studies on children with psychopathic tendencies have also shown such associations.[88][89][90][91][92][93] Meta-analyses have also found evidence of impairments in both vocal and facial emotional recognition for several emotions (i.e., not only fear and sadness) in both adults and children/adolescents.[93]
Moral judgment
Psychopathy has been associated with amorality—an absence of, indifference towards, or disregard for moral beliefs. There are few firm data on patterns of moral judgment. Studies of the developmental level (sophistication) of moral reasoning found all possible results—lower, higher or the same as non-psychopaths. Studies that compared judgments of personal moral transgressions versus judgments of breaking conventional rules or laws found that psychopaths rated them as equally severe, whereas non-psychopaths rated the rule-breaking as less severe.[94]
A study comparing judgments of whether personal or impersonal harm would be endorsed to achieve the rational maximum (utilitarian) amount of welfare found no significant differences between subjects high and low in psychopathy. However, a further study using the same tests found that prisoners scoring high on the PCL were more likely to endorse impersonal harm or rule violations than non-psychopathic controls were. The psychopathic offenders who scored low in anxiety were also more willing to endorse personal harm on average.[94]
Assessing accidents, where one person harmed another unintentionally, psychopaths judged such actions to be more morally permissible. This result has been considered a reflection of psychopaths' failure to appreciate the emotional aspect of the victim's harmful experience.[95]
History
The word psychopathy is a joining of the Greek words psyche (ψυχή) "soul" and pathos (πάθος) "suffering, feeling".[31] The first documented use is from 1847 in Germany as psychopatisch,[96] and the noun psychopath has been traced to 1885.[32]
The term psychopathic came to be used to describe a diverse range of dysfunctional or antisocial behavior and mental and sexual deviances, including at the time homosexuality. It was often used to imply an underlying "constitutional" or genetic origin. Disparate early descriptions likely set the stage for modern controversies about the definition of psychopathy.[12]
The term psychopathy was popularised from 1891 in Germany by Koch's concept of "psychopathic inferiority" (psychopathische Minderwertigkeiten) to describe various behavioral and moral dysfunction in the absence of an obvious mental illness or intellectual disability. He applied the term psychopathic inferiority (psychopathischen Minderwertigkeiten) to various chronic conditions and character disorders, and his work would influence the later conception of the personality disorder.[12][97] Some medical dictionaries still define psychopathy in both a narrow and broad sense, such as MedlinePlus from the U.S. National Library of Medicine.[34] On the other hand, Stedman's Medical Dictionary defines "psychopath" only as a "former designation" for a person with an antisocial type of personality disorder.[35] The media usually uses the term psychopath to designate any criminal whose offenses are particularly abhorrent and unnatural, but that is not its original or general psychiatric meaning.[98]
The term psychosis was also used in Germany from 1841, originally in a very general sense. The suffix -ωσις (-osis) meant in this case "abnormal condition". This term or its adjective psychotic would come to refer to the more severe mental disturbances and then specifically to mental states or disorders characterized by hallucinations, delusions, or in some other sense markedly out of touch with reality.[99]
Sociopathy
The term sociopathy may have been first introduced in 1909 in Germany by biological psychiatrist Karl Birnbaum and in 1930 in the US by educational psychologist George E. Partridge, as an alternative to the concept of psychopathy.[100] It was used to indicate that the defining feature is violation of social norms, or antisocial behavior, and may be social or biological in origin.[101][36][102][103] The terms sociopathy and psychopathy were once used interchangeably concerning antisocial personality disorder, though this usage is outdated in medicine and psychiatry.[104] Psychopathy, however, is a highly popular construct in the psychology literature.[105]
The term is used in various ways in contemporary usage. Robert Hare stated in the popular science book Snakes in Suits that sociopathy and psychopathy are often used interchangeably, but in some cases the term sociopathy is preferred because it is less likely than is psychopathy to be confused with psychosis, whereas in other cases the two terms may be used with different meanings that reflect the user's views on its origins and determinants. Hare contended that the term sociopathy is preferred by those who see the causes as due to social factors and early environment, and the term psychopathy is preferred by those who believe that there are psychological, biological, and genetic factors involved in addition to environmental factors.[7] Hare also provides his own definitions: he describes psychopathy as lacking a sense of empathy or morality, but sociopathy as only differing from the average person in the sense of right and wrong.[106][107]
20th century
An influential figure in shaping modern American conceptualizations of psychopathy was American psychiatrist Hervey Cleckley. In his classic monograph, The Mask of Sanity (1941), Cleckley drew on a small series of vivid case studies of psychiatric patients at a Veterans Administration hospital in Georgia to describe psychopathy. Cleckley used the metaphor of the "mask" to refer to the tendency of psychopaths to appear confident, personable, and well-adjusted compared to most psychiatric patients while revealing underlying pathology through their actions over time. Cleckley formulated sixteen criteria for psychopathy.[12] The Scottish psychiatrist David Henderson had also been influential in Europe from 1939 in narrowing the diagnosis.[108]
The diagnostic category of sociopathic personality in early editions of the Diagnostic and Statistical Manual (DSM)[109] had some key similarities to Cleckley's ideas, though in 1980 when renamed Antisocial Personality Disorder some of the underlying personality assumptions were removed.[14] In 1980, Canadian psychologist Robert D. Hare introduced an alternative measure, the "Psychopathy Checklist" (PCL) based largely on Cleckley's criteria, which was revised in 1991 (PCL-R),[110][111] and is the most widely used measure of psychopathy.[112] There are also several self-report tests, with the Psychopathic Personality Inventory (PPI) used more often among these in contemporary adult research.[12]
Famous individuals have sometimes been diagnosed, albeit at a distance, as psychopaths. As one example out of many possible from history, in a 1972 version of a secret report originally prepared for the Office of Strategic Services in 1943, which may have been intended to be used as propaganda,[113][114] non-medical psychoanalyst Walter C. Langer suggested Adolf Hitler was probably a psychopath.[115] However, others have not drawn this conclusion; clinical forensic psychologist Glenn Walters argues that Hitler's actions do not warrant a diagnosis of psychopathy as, although he showed several characteristics of criminality, he was not always egocentric, callously disregarding of feelings or lacking impulse control, and there is no proof he could not learn from mistakes.[116]
Definition
Concepts
Psychopaths are social predators who charm, manipulate, and ruthlessly plow their way through life, leaving a broad trail of broken hearts, shattered expectations, and empty wallets. Completely lacking in conscience and in feelings for others, they selfishly take what they want and do as they please, violating social norms and expectations without the slightest sense of guilt or regret.
There are multiple conceptualizations of psychopathy,[12] including Cleckleyan psychopathy (Hervey Cleckley's conception entailing bold, disinhibited behavior, and "feckless disregard") and criminal psychopathy (a meaner, more aggressive and disinhibited conception explicitly entailing persistent and sometimes serious criminal behavior). The latter conceptualization is typically used as the modern clinical concept and assessed by the Psychopathy Checklist.[12] The label "psychopath" may have implications and stigma related to decisions about punishment severity for criminal acts, medical treatment, civil commitments, etc. Efforts have therefore been made to clarify the meaning of the term.[12]
It has been suggested that those who share the same emotional deficiencies and psychopathic features, but are properly socialized, should not be designated as 'psychopaths'.[118]
The triarchic model[6] suggests that different conceptions of psychopathy emphasize three observable characteristics to various degrees. Analyses have been made with respect to the applicability of measurement tools such as the Psychopathy Checklist (PCL, PCL-R) and Psychopathic Personality Inventory (PPI) to this model.[6][12]
- Boldness. Low fear including stress-tolerance, toleration of unfamiliarity and danger, and high self-confidence and social assertiveness. The PCL-R measures this relatively poorly and mainly through Facet 1 of Factor 1. Similar to PPI fearless dominance. May correspond to differences in the amygdala and other neurological systems associated with fear.[6][12]
- Disinhibition. Poor impulse control including problems with planning and foresight, lacking affect and urge control, demand for immediate gratification, and poor behavioral restraints. Similar to PCL-R Factor 2 and PPI impulsive antisociality. May correspond to impairments in frontal lobe systems that are involved in such control.[6][12]
- Meanness. Lacking empathy and close attachments with others, disdain of close attachments, use of cruelty to gain empowerment, exploitative tendencies, defiance of authority, and destructive excitement seeking. The PCL-R in general is related to this but in particular some elements in Factor 1. Similar to PPI, but also includes elements of subscales in impulsive antisociality.[6][12]
Psychopathy has been conceptualized as a hybrid condition marked by a paradoxical combination of superficial charm, poise, emotional resilience, and venturesomeness on the outside but deep-seated affective disturbances and impulse control deficits on the inside. From this perspective, psychopathy is at least in part characterized by psychologically adaptive traits.[119] Furthermore, according to this view, psychopathy may be linked to at least some interpersonally successful outcomes, such as effective leadership, business accomplishments, and heroism.[12][120][121][122]
Measurement
An early and influential analysis from Harris and colleagues indicated that a discrete category, or taxon, may underlie PCL-R psychopathy, allowing it to be measured and analyzed. However, this was only found for the behavioral Factor 2 items they identified, child problem behaviors; adult criminal behavior did not support the existence of a taxon.[123] Marcus, John, and Edens more recently performed a series of statistical analyses on PPI scores and concluded that psychopathy may best be conceptualized as having a "dimensional latent structure" like depression.[124]
Marcus et al. repeated the study on a larger sample of prisoners, using the PCL-R and seeking to rule out other experimental or statistical issues that may have produced the previously different findings.[125] They again found that the psychopathy measurements do not appear to be identifying a discrete type (a taxon). They suggest that while for legal or other practical purposes an arbitrary cut-off point on trait scores might be used, there is actually no clear scientific evidence for an objective point of difference by which to label some people "psychopaths"; in other words, a "psychopath" may be more accurately described as someone who is "relatively psychopathic".[12]
The PCL-R was developed for research, not clinical forensic diagnosis, and even for research purposes to improve understanding of the underlying issues, it is necessary to examine dimensions of personality in general rather than only a constellation of traits. The PCL-R test has been used to determine "true" or primary psychopaths (individuals that score a 30 or higher on the PCL-R test). Primary psychopaths are distinguished from secondary psychopaths, and contrast with those who are legitimately considered antisocial.[12][126]
Personality dimensions
Studies have linked psychopathy to alternative dimensions such as antagonism (high), conscientiousness (low), and anxiousness (low).[127]
Psychopathy has also been linked to high psychoticism—a theorized dimension referring to tough, aggressive, or hostile tendencies. Aspects of this that appear associated with psychopathy are lack of socialization and responsibility, impulsivity, sensation-seeking (in some cases), and aggression.[128][129][130]
Otto Kernberg, from a particular psychoanalytic perspective, believed psychopathy should be considered as part of a spectrum of pathological narcissism, that would range from narcissistic personality on the low end, malignant narcissism in the middle, and psychopathy at the high end.[130]
Psychopathy, narcissism, and Machiavellianism, three personality traits that are together referred to as the dark triad, share certain characteristics, such as a callous-manipulative interpersonal style.[131] The dark tetrad refers to these traits with the addition of sadism.[132][133][134][135][136][137] Several psychologists have asserted that subclinical psychopathy and Machiavellianism are more or less interchangeable.[138] There is a subscale on the Psychopathic Personality Inventory (PPI) dubbed "Machiavellian Egocentricity".[139][140] Delroy Paulhus has asserted that the difference that most miss is that while both are characterized by manipulativeness and unemotionality, psychopaths tend to be more reckless.[141] One study asserted that "the ability to adapt, reappraise and reassess a situation may be key factors differentiating Machiavellianism from psychopathy, for example".[142] Psychopathy and Machiavellianism were also correlated similarly in responses to affective stimuli, and both are negatively correlated with the recognition of facial emotions.[143][144] Many have suggested merging the dark triad traits (especially Machiavellianism and psychopathy) into one construct, given empirical studies that show immense overlap.[145]
Criticism of current conceptions
The current conceptions of psychopathy have been criticized for being poorly conceptualized, highly subjective, and encompassing a wide variety of underlying disorders. Dorothy Otnow Lewis has written:
The concept and subsequent reification of the diagnosis "psychopathy" has, to this author's mind, hampered the understanding of criminality and violence. [...] According to Hare, in many cases one need not even meet the patient. Just rummage through his records to determine what items seemed to fit. Nonsense. To this writer's mind, psychopathy and its synonyms (e.g., sociopathy and antisocial personality) are lazy diagnoses. Over the years the authors' team has seen scores of offenders who, prior to evaluation by the authors, were dismissed as psychopaths or the like. Detailed, comprehensive psychiatric, neurological, and neuropsychological evaluations have uncovered a multitude of signs, symptoms, and behaviors indicative of such disorders as bipolar mood disorder, schizophrenia spectrum disorders, complex partial seizures, dissociative identity disorder, parasomnia, and, of course, brain damage/dysfunction.[146]
Half of the Hare Psychopathy Checklist consists of symptoms of mania, hypomania, and frontal-lobe dysfunction, which frequently results in underlying disorders being dismissed.[147] Hare's conception of psychopathy has also been criticized for being reductionist, dismissive, tautological, and ignorant of context as well as the dynamic nature of human behavior.[148] Some have called for rejection of the concept altogether, due to its vague, subjective and judgmental nature that makes it prone to misuse.[149] A systematic review determined that the PCL is weakly predictive of criminal behavior, but not of lack of conscience, or treatment and rehabilitation outcomes. These findings contradict widespread beliefs among professionals in forensics.[150]
Psychopathic individuals do not show regret or remorse. This was thought to be due to an inability to generate this emotion in response to negative outcomes. However, a study found that psychopathic people experience regret but did not use the regret to guide their choice in behavior.[151]
In an experiment published in March 2007 at the University of Southern California neuroscientist Antonio R. Damasio and his colleagues showed that subjects with damage to the ventromedial prefrontal cortex lack the ability to empathically feel their way to moral answers, and that when confronted with moral dilemmas, these brain-damaged patients coldly came up with "end-justifies-the-means" answers, leading Damasio to conclude that the point was not that they reached immoral conclusions, but that when they were confronted by a difficult issue – in this case as whether to shoot down a passenger plane hijacked by terrorists before it hits a major city – these patients appear to reach decisions without the anguish that afflicts those with typically functioning brains. According to Adrian Raine, a clinical neuroscientist also at the University of Southern California, one of this study's implications is that society may have to rethink how it judges immoral people: "Psychopaths often feel no empathy or remorse. Without that awareness, people relying exclusively on reasoning seem to find it harder to sort their way through moral thickets. Does that mean they should be held to different standards of accountability?"[152]
Cause
Behavioral genetic studies have identified potential genetic and non-genetic contributors to psychopathy, including influences on brain function. Proponents of the triarchic model believe that psychopathy results from the interaction of genetic predispositions and an adverse environment. What is adverse may differ depending on the underlying predisposition: for example, it is hypothesized that persons having high boldness may respond poorly to punishment but may respond better to rewards and secure attachments.[6][12]
Genetic
Genetically informed studies of the personality characteristics typical of individuals with psychopathy have found moderate genetic (as well as non-genetic) influences. On the PPI, fearless dominance and impulsive antisociality were similarly influenced by genetic factors and uncorrelated with each other. Genetic factors may generally influence the development of psychopathy while environmental factors affect the specific expression of the traits that predominate. A study on a large group of children found more than 60% heritability for "callous-unemotional traits" and that conduct disorder among children with these traits has a higher heritability than among children without these traits.[12][79][153]
Environment

A study by Farrington of a sample of London males between ages 8 and 48 included studying which factors scored 10 or more on the PCL:SV at age 48. The strongest factors included having a convicted parent, being physically neglected, low involvement of the father with the boy, low family income, and coming from a disrupted family. Other significant factors included poor supervision, abuse, harsh discipline, large family size, delinquent siblings, young mothers, depressed mothers, low social class, and poor housing.[154] There has also been an association between psychopathy and detrimental treatment by peers.[7] However, it is difficult to determine the extent of an environmental influence on the development of psychopathy because of evidence of its strong heritability.[155]
Brain injury
Researchers have linked head injuries with psychopathy and violence. Since the 1980s, scientists have associated traumatic brain injury, such as damage to the prefrontal cortex, including the orbitofrontal cortex, with psychopathic behavior and a deficient ability to make morally and socially acceptable decisions, a condition that has been termed "acquired sociopathy", or "pseudopsychopathy".[85] Individuals with damage to the area of the prefrontal cortex known as the ventromedial prefrontal cortex show remarkable similarities to diagnosed psychopathic individuals, displaying reduced autonomic response to emotional stimuli, deficits in aversive conditioning, similar preferences in moral and economic decision making, and diminished empathy and social emotions like guilt or shame.[156] These emotional and moral impairments may be especially severe when the brain injury occurs at a young age. Children with early damage in the prefrontal cortex may never fully develop social or moral reasoning and become "psychopathic individuals ... characterized by high levels of aggression and antisocial behavior performed without guilt or empathy for their victims". Additionally, damage to the amygdala may impair the ability of the prefrontal cortex to interpret feedback from the limbic system, which could result in uninhibited signals that manifest in violent and aggressive behavior.[76][87]
Childhood trauma
The influence of childhood trauma on the development of psychopathy in adulthood remains an active research question. Robert Hare's two factor model and Christopher Patrick's triarchic model have both been developed to better understand psychopathy.[157][158]
Psychopathy is a personality construct[159] consisting of affective, interpersonal, and behavioral dimensions that begins in childhood and manifests as aggressive actions in early or late adolescence. Childhood trauma affects vulnerability to different forms of psychopathology and traits associated with it. Parental behaviors such as rejection, abuse, neglect or overprotection show some relationship with the development of detrimental psychopathic traits. Disinhibition mediates the relationship between physical abuse and two components of psychopathy (social deviation and affective interpersonal). Sexual abuse is directly correlated with the social deviation factor, and physical abuse is directly correlated with the affective interpersonal factor.[160] Gender differences have also been observed in psychopathy. For example, psychopathic antisocial personality traits are more noticeable in males while histrionic personality traits are more evident in females. In addition, women are more likely to experience internalizing psychopathology than men[161] and males may exhibit a stronger association between boldness and the experience of neglect as a child, as well as between meanness and the experience of childhood maltreatment.Other theories
Evolutionary explanations
Psychopathy is associated with several adverse life outcomes as well as an increased risk of disability and death due to factors such as violence, accidents, homicides, and suicides. This, in combination with the evidence for genetic influences, is evolutionarily puzzling and may suggest that there are compensating evolutionary advantages, and researchers within evolutionary psychology have proposed several evolutionary explanations. According to one hypothesis, some traits associated with psychopathy may be socially adaptive, and psychopathy may be a frequency-dependent, socially parasitic strategy, which may work as long as there is a large population of altruistic and trusting individuals, relative to the population of psychopathic individuals, to be exploited.[153][162] It is also suggested that some traits associated with psychopathy such as early, promiscuous, adulterous, and coercive sexuality may increase reproductive success.[153][162][163] Robert Hare has stated that many psychopathic males have a pattern of mating with and quickly abandoning women, and thereby have a high fertility rate, resulting in children that may inherit a predisposition to psychopathy.[12][7][164]
Criticism includes that it may be better to look at the contributing personality factors rather than treat psychopathy as a unitary concept due to poor testability. Furthermore, if psychopathy is caused by the combined effects of a very large number of adverse mutations then each mutation may have such a small effect that it escapes natural selection.[12][153] The personality is thought to be influenced by a very large number of genes and may be disrupted by random mutations, and psychopathy may instead be a product of a high mutation load.[153] Psychopathy has alternatively been suggested to be a spandrel, a byproduct, or side-effect, of the evolution of adaptive traits rather than an adaptation in itself.[162][165]
Mechanisms
Psychological
Some laboratory research demonstrates correlations between psychopathy and atypical responses to aversive stimuli, including weak conditioning to painful stimuli and poor learning of avoiding responses that cause punishment, as well as low reactivity in the autonomic nervous system as measured with skin conductance while waiting for a painful stimulus but not when the stimulus occurs. While it has been argued that the reward system functions normally, some studies have also found reduced reactivity to pleasurable stimuli. According to the response modulation hypothesis, psychopathic individuals have also had difficulty switching from an ongoing action despite environmental cues signaling a need to do so.[166] This may explain the difficulty responding to punishment, although it is unclear if it can explain findings such as deficient conditioning. There may be methodological issues regarding the research.[12] While establishing a range of idiosyncrasies on average in linguistic and affective processing under certain conditions, this research program has not confirmed a common pathology of psychopathy.[167]
Neurological

Thanks to advancing MRI studies, experts can visualize specific brain differences and abnormalities of individuals with psychopathy in areas that control emotions, social interactions, ethics, morality, regret, impulsivity, and conscience within the brain. Blair, a researcher who pioneered research into psychopathic tendencies stated, "With regard to psychopathy, we have clear indications regarding why the pathology gives rise to the emotional and behavioral disturbance and important insights into the neural systems implicated in this pathology".[87] Dadds et al., remarks that despite a rapidly advancing neuroscience of empathy, little is known about the developmental underpinnings of the psychopathic disconnect between affective and cognitive empathy.[168]
A 2008 review by Weber et al. suggested that psychopathy is sometimes associated with brain abnormalities in prefrontal-temporo-limbic regions that are involved in emotional and learning processes, among others.[169] Neuroimaging studies have found structural and functional differences between those scoring high and low on the PCL-R in a 2011 review by Skeem et al. stating that they are "most notably in the amygdala, hippocampus and parahippocampal gyri, anterior and posterior cingulate cortex, striatum, insula, and frontal and temporal cortex".[12][170]
The amygdala and frontal areas have been suggested as particularly important.[77] People scoring 25 or higher in the PCL-R, with an associated history of violent behavior, appear on average to have significantly reduced microstructural integrity between the white matter connecting the amygdala and orbitofrontal cortex (such as the uncinate fasciculus). The evidence suggested that the degree of abnormality was significantly related to the degree of psychopathy and may explain the offending behaviors.[78] Furthermore, changes in the amygdala have been associated with "callous-unemotional" traits in children. However, the amygdala has also been associated with positive emotions, and there have been inconsistent results in the studies in particular areas, which may be due to methodological issues.[12] Others have cast doubt on the amygdala as important for psychopathy, with one meta-analysis suggesting that most studies on the amygdala and psychopathy find no effect and that studies finding a negative effect (that psychopaths display less amygdala activity) have lower statistical power.[171]
Some of these findings are consistent with other research and theories. For example, in a neuroimaging study of how individuals with psychopathy respond to emotional words, widespread differences in activation patterns have been shown across the temporal lobe when psychopathic criminals were compared to "normal" volunteers, which is consistent with views in clinical psychology. Additionally, the notion of psychopathy being characterized by low fear is consistent with findings of abnormalities in the amygdala, since deficits in aversive conditioning and instrumental learning are thought to result from amygdala dysfunction, potentially compounded by orbitofrontal cortex dysfunction, although the specific reasons are unknown.[87][172]
Patrick et al state that much of the neurological research on psychopathy "is methodologically limited, entailing small samples, diverse designs, and an assortment of nonreplicated findings" and that "the findings that emerge from this research are less “inconsistent” than “all over the map.”[173][12]
Considerable research has documented the presence of the two subtypes of primary and secondary psychopathy.[174][175] Proponents of the primary-secondary psychopathy distinction and triarchic model argue that there are neurological differences between these subgroups of psychopathy which support their views.[176] For instance, the boldness factor in the triarchic model is argued to be associated with reduced activity in the amygdala during fearful or aversive stimuli and reduced startle response, while the disinhibition factor is argued to be associated with impairment of frontal lobe tasks. There is evidence that boldness and disinhibition are genetically distinguishable.[12]
Biochemical
High levels of testosterone combined with low levels of cortisol or serotonin have been theorized as contributing factors. Testosterone is "associated with approach-related behavior, reward sensitivity, and fear reduction", and injecting testosterone "shift[s] the balance from punishment to reward sensitivity", decreases fearfulness, and increases "responding to angry faces".[177] Some studies have found that high testosterone levels are associated with antisocial and aggressive behaviors, yet other research suggests that testosterone alone does not cause aggression but increases dominance-seeking. It is unclear from studies if psychopathy correlates with high testosterone levels, but a few studies have found that disruption of serotonin neurotransmission disrupts cortisol reactivity to a stress-inducing speech task. Thus, dysregulation of serotonin in the brain may contribute to the low cortisol levels observed in psychopathy. Cortisol increases withdrawal behavior and sensitivity to punishment and aversive conditioning, which are abnormally low in individuals with psychopathy and may underlie their impaired aversion learning and disinhibited behavior. High testosterone levels combined with low serotonin levels are associated with "impulsive and highly negative reactions", and may increase violent aggression when an individual is provoked or becomes frustrated.[178] Several animal studies note the role of serotonergic functioning in impulsive aggression and antisocial behavior.[179][180][181][182]
However, some studies on animal and human subjects have suggested that the emotional-interpersonal traits and predatory aggression of psychopathy, in contrast to impulsive and reactive aggression, is related to increased serotoninergic functioning.[183][184][185][186] A study by Dolan and Anderson, regarding the relationship between serotonin and psychopathic traits in a sample of personality disordered offenders, found that serotonin functioning as measured by prolactin response, while inversely associated with impulsive and antisocial traits, were positively correlated with arrogant and deceitful traits, and, to a lesser extent, callous and remorseless traits.[187] Bariş Yildirim theorizes that the 5-HTTLPR "long" allele, which is generally regarded as protective against internalizing disorders, may interact with other serotoninergic genes to create a hyper-regulation and dampening of affective processes that results in psychopathy's emotional impairments.[188] Furthermore, the combination of the 5-HTTLPR long allele and high testosterone levels has been found to result in a reduced response to threat as measured by cortisol reactivity, which mirrors the fear deficits found in those with psychopathy.[189]
Studies have suggested other correlations. Psychopathy was associated in two studies with an increased ratio of HVA (a dopamine metabolite) to 5-HIAA (a serotonin metabolite).[178] Studies have found that individuals with the traits meeting criteria for psychopathy show a greater dopamine response to potential "rewards" such as monetary promises or taking drugs such as amphetamines. This has been theoretically linked to increased impulsivity.[190] A 2010 British study found that a large 2D:4D digit ratio, an indication of high prenatal estrogen exposure, was a "positive correlate of psychopathy in females, and a positive correlate of callous affect (psychopathy sub-scale) in males".[191]
Findings have also shown monoamine oxidase A to affect the predictive ability of the PCL-R.[192] Monoamine oxidases (MAOs) are enzymes that are involved in the breakdown of neurotransmitters such as serotonin and dopamine and are, therefore, capable of influencing feelings, mood, and behavior in individuals.[193] Findings suggest that further research is needed in this area.[194][195]
Diagnosis
Tools
Psychopathy Checklist
Psychopathy is most commonly assessed with the Psychopathy Checklist, Revised (PCL-R), created by Robert D. Hare based on Cleckley's criteria from the 1940s, criminological concepts such as those of William and Joan McCord, and his own research on criminals and incarcerated offenders in Canada.[79][196][197] The PCL-R is widely used and is referred to by some as the "gold standard" for assessing psychopathy.[198] There are nonetheless numerous criticisms of the PCL-R as a theoretical tool and in real-world usage.[199][200][201][202][203]
Psychopathic Personality Inventory
Unlike the PCL, the Psychopathic Personality Inventory (PPI) was developed to comprehensively index personality traits without explicitly referring to antisocial or criminal behaviors themselves. It is a self-report scale that was developed originally for non-clinical samples (e.g. university students) rather than prisoners, though may be used with the latter. It was revised in 2005 to become the PPI-R and now comprises 154 items organized into eight subscales.[204] The item scores have been found to group into two overarching and largely separate factors (unlike the PCL-R factors), Fearless-Dominance and Impulsive Antisociality, plus a third factor, Coldheartedness, which is largely dependent on scores on the other two.[12] Factor 1 is associated with social efficacy while Factor 2 is associated with maladaptive tendencies. A person may score at different levels on different factors, but the overall score indicates the extent of psychopathic personality.[12]
Triarchic Psychopathy Measure
The Triarchic Psychopathy Measure, otherwise known as the TriPM, is a 58-item, self-report assessment that measures psychopathy within the three traits identified in the triarchic model: boldness, meanness, and disinhibition. Each trait is measured on separate subscales and added up resulting in a total psychopathy score.[205]
The TriPM includes various components of other measures for assessing psychopathy, including meanness and disinhibition patterns within the psychopathic personality. However, there are differing approaches in the measurement of the boldness construct.[206] The boldness construct is used to highlighting the social and interpersonal implications of the psychopathic personality.
DSM and ICD
There are currently two widely established systems for classifying mental disorders—the International Classification of Diseases (ICD) produced by the World Health Organization (WHO) and the Diagnostic and Statistical Manual of Mental Disorders (DSM) produced by the American Psychiatric Association (APA).[207][208] Both list categories of disorders thought to be distinct types, and have deliberately converged their codes in recent revisions so that the manuals are often broadly comparable, although significant differences remain.[209]
The first edition of the DSM in 1952 had a section on sociopathic personality disturbances, then a general term that included such things as homosexuality and alcoholism as well as an "antisocial reaction" and "dyssocial reaction". The latter two eventually became antisocial personality disorder (ASPD) in the DSM and dissocial personality disorder in the ICD. Both manuals have stated that their diagnoses have been referred to, or include what is referred to, as psychopathy or sociopathy, although neither diagnostic manual has ever included a disorder officially titled as such.[12][14][17]
Furthermore, the DSM-5 introduced a dimensional model, called the Alternative DSM-5 Model for Personality Disorders (AMPD) in Section III,[210] titled Emerging Measures and Models, which contains tools and measures for clinicians as well as novel diagnoses and criteria.[211] The AMPD diagnosis of antisocial PD includes a specifier – "With psychopathic features" – for manifestations of antisocial PD with psychopathic traits.[212][213] According to the DSM, psychopathy is not a standalone diagnosis, but the authors attempted to measure "psychopathic traits" via a specifier.[214]
In one study, the "with psychopathic features" specifier has been modeled on Factor 1 of the Psychopathic Personality Inventory, known as Fearless Dominance. To some, it is evidence of psychopathy not being a more extreme version of ASPD, but as an emergent compound trait that manifests when antisocial personality disorder is present in combination with high levels of Fearless Dominance (or Boldness as it's known in the Triarchic Model).[215] Analyses showed that this Section III ASPD greatly outperformed Section II ASPD in predicting scores on Hare’s (2003) Psychopathy Checklist-Revised.[216]
Other tools
There are some traditional personality tests that contain subscales relating to psychopathy, though they assess relatively non-specific tendencies towards antisocial or criminal behavior. These include the Minnesota Multiphasic Personality Inventory (Psychopathic Deviate scale), California Psychological Inventory (Socialization scale), and Millon Clinical Multiaxial Inventory Antisocial Personality Disorder scale. There is also the Levenson Self-Report Psychopathy Scale (LSRP) and the Hare Self-Report Psychopathy Scale (HSRP), but in terms of self-report tests, the PPI/PPI-R has become more used than either of these in modern psychopathy research on adults.[12]
Comorbidity
Studies suggest strong comorbidity between psychopathy and antisocial personality disorder. Among numerous studies, positive correlations have also been reported between psychopathy and histrionic, narcissistic, borderline, paranoid, and schizoid personality disorders, panic disorder, and obsessive–compulsive disorder, but not schizophrenia or neurotic disorders in general such as depression.[38][217][218][219][220]
Factor 1 and the boldness scale of psychopathy measurements are associated with narcissism and histrionic personality disorder. This is due to a psychopath's cognitive and affective egocentrism. However, while a narcissistic individual might view themselves as confident, they might seek out validation and attention from others to validate their self-worth, whereas a psychopathic individual usually lacks such ambitions.[118]
Attention deficit hyperactivity disorder (ADHD) is known to be highly comorbid with conduct disorder (a theorized precursor to ASPD), and may also co-occur with psychopathic tendencies. This may be explained in part by deficits in executive function.[217] Anxiety disorders often co-occur with ASPD, and contrary to assumptions, psychopathy can sometimes be marked by anxiety; this appears to be related to items from Factor 2 but not Factor 1 of the PCL-R.[118] Psychopathy is also associated with substance use disorders.[40][217][219][221][222]
Michael Fitzgerald suggested overlaps between (primary) psychopathy and Asperger syndrome in terms of fearlessness, planning of acts, empathy deficits, callous behaviour, and sometimes superficial charisma.[223] Studies investigating similarities and differences between psychopathy and autism indicate that autism and psychopathy are not part of the same construct. Rather both conditions might co-occur in some individuals.[224] Recent studies indicate that some individuals with an autism diagnosis also show callous and unemotional traits (a risk-factor for developing psychopathy),[225] but are less strongly associated with conduct problems.[226] Likewise, some people with Asperger syndrome have shown correlations with the "unemotional" factor and "behavioural dyscontrol" factor of psychopathy, but not the "interpersonal" factor.[227]
It has been suggested that psychopathy may be comorbid with several other conditions than these,[222] but limited work on comorbidity has been carried out. This may be partly due to difficulties in using inpatient groups from certain institutions to assess comorbidity, owing to the likelihood of some bias in sample selection.[217]
Sex differences
Research on psychopathy has largely been done on men and the PCL-R was developed using mainly male criminal samples, raising the question of how well the results apply to women. Men score higher than women on both the PCL-R and the PPI and on both of their main scales. The differences tend to be somewhat larger on the interpersonal-affective scale than on the antisocial scale. Most but not all studies have found broadly similar factor structure for men and women.[12]
Many associations with other personality traits are similar, although in one study the antisocial factor was more strongly related to impulsivity in men and more strongly related to openness to experience in women. It has been suggested that psychopathy in men manifests more as an antisocial pattern while in women it manifests more as a histrionic pattern. Studies on this have shown mixed results. PCL-R scores may be somewhat less predictive of violence and recidivism in women. On the other hand, psychopathy may have a stronger relationship with suicide and possibly internalizing symptoms in women. A suggestion is that psychopathy manifests more as externalizing behaviors in men and more as internalizing behaviors in women.[12] Furthermore, one study has suggested substantial gender differences were found in the etiology of psychopathy. For girls, 75% of the variance in severe callous and unemotional traits was attributable to environmental factors and just 0% of the variance was attributable to genetic factors. In boys, the link was reversed.[228]
Studies have also found that women in prison score significantly lower on psychopathy than men, with one study reporting only 11 percent of violent females in prison met the psychopathy criteria in comparison to 31 percent of violent males.[229] Other studies have also indicated that high psychopathic females are rare in forensic settings.[230]
Management
Clinical
Psychopathy has often been considered untreatable. Its unique characteristics make it among the most refractory of personality disorders, a class of mental illnesses that are already traditionally considered difficult to treat.[231][232] People with psychopathy are generally unmotivated to seek treatment for their condition, and can be uncooperative in therapy.[198][231] Attempts to treat psychopathy with the current tools available to psychiatry have been disappointing. Harris and Rice's Handbook of Psychopathy says that there is currently little evidence for a cure or effective treatment for psychopathy; as yet, no pharmacological therapies are known to or have been trialed for alleviating the emotional, interpersonal and moral deficits of psychopathy, and patients with psychopathy who undergo psychotherapy might gain the skills to become more adept at the manipulation and deception of others and be more likely to commit crime.[233] Some studies suggest that punishment and behavior modification techniques are ineffective at modifying the behavior of psychopathic individuals as they are insensitive to punishment or threat.[233][234] These failures have led to a widely pessimistic view on its treatment prospects, a view that is exacerbated by the little research being done into psychopathy compared to the efforts committed to other mental illnesses, which makes it more difficult to gain the understanding of this condition that is necessary to develop effective therapies.[235][236]
Although the core character deficits of highly psychopathic individuals are likely to be highly incorrigible to the currently available treatment methods, the antisocial and criminal behavior associated with it may be more amenable to management, the management of which being the main aim of therapy programs in correctional settings.[231] It has been suggested that the treatments that may be most likely to be effective at reducing overt antisocial and criminal behavior are those that focus on self-interest, emphasizing the tangible, material value of prosocial behavior, with interventions that develop skills to obtain what the patient wants out of life in prosocial rather than antisocial ways.[237][238] To this end, various therapies have been tried with the aim of reducing the criminal activity of incarcerated offenders with psychopathy, with mixed success.[231] As psychopathic individuals are insensitive to sanction, reward-based management, in which small privileges are granted in exchange for good behavior, has been suggested and used to manage their behavior in institutional settings.[239]
Psychiatric medications may also alleviate co-occurring conditions sometimes associated with psychopathy or with symptoms such as aggression or impulsivity, including antipsychotic, antidepressant or mood-stabilizing medications, although none have yet been approved by the FDA for this purpose.[12][14][17][240][241] For example, a study found that the antipsychotic clozapine may be effective in reducing various behavioral dysfunctions in a sample of high-security hospital inpatients with antisocial personality disorder and psychopathic traits.[242] However, research into the pharmacological treatment of psychopathy and the related condition antisocial personality disorder is minimal, with much of the knowledge in this area being extrapolations based on what is known about pharmacology in other mental disorders.[231][243]
Legal
The PCL-R, the PCL:SV, and the PCL:YV are highly regarded and widely used in criminal justice settings, particularly in North America. They may be used for risk assessment and for assessing treatment potential and be used as part of the decisions regarding bail, sentence, which prison to use, parole, and whether a youth should be tried as a juvenile or as an adult. There have been several criticisms against its use in legal settings. They include the general criticisms against the PCL-R, the availability of other risk assessment tools that may have advantages, and the excessive pessimism surrounding the prognosis and treatment possibilities of those who are diagnosed with psychopathy.[12]
The interrater reliability of the PCL-R can be high when used carefully in research but tends to be poor in applied settings. In particular Factor 1 items are somewhat subjective. In sexually violent predator cases the PCL-R scores given by prosecution experts were consistently higher than those given by defense experts in one study. The scoring may also be influenced by other differences between raters. In one study it was estimated that of the PCL-R variance, about 45% was due to true offender differences, 20% was due to which side the rater testified for, and 30% was due to other rater differences.[12]
To aid a criminal investigation, certain interrogation approaches may be used to exploit and leverage the personality traits of suspects thought to have psychopathy and make them more likely to divulge information.[22]
United Kingdom
The PCL-R score cut-off for a label of psychopathy is 25 out of 40 in the United Kingdom, instead of 30 as it is in the United States.[12][13]
In the United Kingdom, "psychopathic disorder" was legally defined in the Mental Health Act (UK), under MHA1983,[13][244] as "a persistent disorder or disability of mind (whether or not including significant impairment of intelligence) which results in abnormally aggressive or seriously irresponsible conduct on the part of the person concerned". This term was intended to reflect the presence of a personality disorder in terms of conditions for detention under the Mental Health Act 1983. Amendments to MHA1983 within the Mental Health Act 2007 abolished the term "psychopathic disorder", with all conditions for detention (e.g. mental illness, personality disorder, etc.) encompassed by the generic term of "mental disorder".[23]
In England and Wales, the diagnosis of dissocial personality disorder is grounds for detention in secure psychiatric hospitals under the Mental Health Act if they have committed serious crimes, but since such individuals are disruptive to other patients and not responsive to usual treatment methods this alternative to traditional incarceration is often not used.[245]
United States
"Sexual psychopath" laws
Starting in the 1930s, before some modern concepts of psychopathy were developed, "sexual psychopath" laws, the term referring broadly to mental illness, were introduced by some states, and by the mid-1960s more than half of the states had such laws. Sexual offenses were considered to be caused by underlying mental illnesses, and it was thought that sex offenders should be treated, in agreement with the general rehabilitative trends at this time. Courts committed sex offenders to a mental health facility for community protection and treatment.[24][246]
Starting in 1970, many of these laws were modified or abolished in favor of more traditional responses such as imprisonment due to criticism of the "sexual psychopath" concept as lacking scientific evidence, the treatment being ineffective, and predictions of future offending being dubious. There were also a series of cases where persons treated and released committed new sexual offenses. Starting in the 1990s, several states have passed sexually dangerous person laws, including registration, housing restrictions, public notification, mandatory reporting by health care professionals, and civil commitment, which permits indefinite confinement after a sentence has been completed.[246] Psychopathy measurements may be used in the confinement decision process.[12]
Prognosis
The prognosis for psychopathy in forensic and clinical settings is quite poor, with some studies reporting that treatment may worsen the antisocial aspects of psychopathy as measured by recidivism rates, though it is noted that one of the frequently cited studies finding increased criminal recidivism after treatment, a 2011 retrospective study of a treatment program in the 1960s, had several serious methodological problems and likely would not be approved of today.[12][198] However, some relatively rigorous quasi-experimental studies using more modern treatment methods have found improvements regarding reducing future violent and other criminal behavior, regardless of PCL-R scores, although none were randomized controlled trials. Various other studies have found improvements in risk factors for crime such as substance abuse. No study has yet examined whether the personality traits that form the core character disturbances of psychopathy could be changed by such treatments.[12][247]
Frequency
A 2008 study using the PCL:SV found that 1.2% of a US sample scored 13 or more out of 24, indicating "potential psychopathy". The scores correlated significantly with violence, alcohol use, and lower intelligence.[40] A 2009 British study by Coid et al., also using the PCL:SV, reported a community prevalence of 0.6% scoring 13 or more. However, if the scoring was adjusted to the recommended 18 or more,[248] this would have left the prevalence closer to 0.1%.[25] The scores correlated with younger age, male gender, suicide attempts, violence, imprisonment, homelessness, drug dependence, personality disorders (histrionic, borderline and antisocial), and panic and obsessive–compulsive disorders.[249]
Psychopathy has a much higher prevalence in the convicted and incarcerated population, where it is thought that an estimated 15–25% of prisoners qualify for the diagnosis.[110] A study on a sample of inmates in the UK found that 7.7% of the inmates interviewed met the PCL-R cut-off of 30 for a diagnosis of psychopathy.[38] A study on a sample of inmates in Iran using the PCL:SV found a prevalence of 23% scoring 18 or more.[26] A study by Nathan Brooks from Bond University found that around one in five corporate bosses display clinically significant psychopathic traits - a proportion similar to that among prisoners.[28]
Society and culture
In the workplace
There is limited research on psychopathy in the general work populace, in part because the PCL-R includes antisocial behavior as a significant core factor (obtaining a PCL-R score above the threshold is unlikely without having significant scores on the antisocial-lifestyle factor) and does not include positive adjustment characteristics, and most researchers have studied psychopathy in incarcerated criminals, a relatively accessible population of research subjects.[250]
However, psychologists Fritzon and Board, in their study comparing the incidence of personality disorders in business executives against criminals detained in a mental hospital, found that the profiles of some senior business managers contained significant elements of personality disorders, including those referred to as the "emotional components", or interpersonal-affective traits, of psychopathy. Factors such as boldness, disinhibition, and meanness as defined in the triarchic model, in combination with other advantages such as a favorable upbringing and high intelligence, are thought to correlate with stress immunity and stability, and may contribute to this particular expression.[250] Such individuals are sometimes referred to as "successful psychopaths" or "corporate psychopaths" and they may not always have extensive histories of traditional criminal or antisocial behavior characteristic of the traditional conceptualization of psychopathy.[64] Robert Hare claims that the prevalence of psychopathic traits is higher in the business world than in the general population, reporting that while about 1% of the general population meet the clinical criteria for psychopathy, figures of around 3–4% have been cited for more senior positions in business.[12][251][252] Hare considers newspaper tycoon Robert Maxwell to have been a strong candidate as a "corporate psychopath".[117]
Academics on this subject believe that although psychopathy is manifested in only a small percentage of workplace staff, it is more common at higher levels of corporate organizations, and its negative effects (for example, increased bullying, conflict, stress, staff turnover, absenteeism, reduction in productivity) often causes a ripple effect throughout an organization, setting the tone for an entire corporate culture. Employees with the disorder are self-serving opportunists, and may disadvantage their own organizations to further their own interests.[253] They may be charming to staff above their level in the workplace hierarchy, aiding their ascent through the organization, but abusive to staff below their level, and can do enormous damage when they are positioned in senior management roles.[254][255] Psychopathy as measured by the PCL-R is associated with lower performance appraisals among corporate professionals.[256] The psychologist Oliver James identifies psychopathy as one of the dark triadic traits in the workplace, the others being narcissism and Machiavellianism, which, like psychopathy, can have negative consequences.[257]
According to a study from the University of Notre Dame published in the Journal of Business Ethics, psychopaths have a natural advantage in workplaces overrun by abusive supervision, and are more likely to thrive under abusive bosses, being more resistant to stress, including interpersonal abuse, and having less of a need for positive relationships than others.[258][29][30]
In fiction
Characters with psychopathy or sociopathy are some of the most notorious characters in film and literature, but their characterizations may only vaguely or partly relate to the concept of psychopathy as it is defined in psychiatry, criminology, and research. The character may be identified as having psychopathy within the fictional work itself, by its creators, or from the opinions of audiences and critics, and may be based on undefined popular stereotypes of psychopathy.[27] Characters with psychopathic traits have appeared in Greek and Roman mythology, Bible stories, and some of Shakespeare's works.[259]
Such characters are often portrayed in an exaggerated fashion and typically in the role of a villain or antihero, where the general characteristics and stereotypes associated with psychopathy are useful to facilitate conflict and danger. Because the definitions, criteria, and popular conceptions throughout its history have varied over the years and continue to change even now, many of the characters characterized as psychopathic in notable works at the time of publication may no longer fit the current definition and conception of psychopathy. There are several archetypal images of psychopathy in both lay and professional accounts which only partly overlap and can involve contradictory traits: the charming con artist, the deranged serial killer and mass murderer, the callous and scheming businessperson, and the chronic low-level offender and juvenile delinquent. The public concept reflects some combination of fear of a mythical bogeyman, the disgust and intrigue surrounding evil, and fascination and sometimes perhaps envy of people who might appear to go through life without attachments and unencumbered by guilt, anguish or insecurity.[12]
See also
References
- ^ "Psychopathic Personality and How It Develops | HealthyPlace". www.healthyplace.com. Retrieved 2024-04-11.
- ^ Blackburn R (2005). "Psychopathy as a Personality Construct". American Psychiatric Association. Archived from the original on 5 September 2023. Retrieved 12 June 2024.
- ^ Driessen JM, van Baar JM, Sanfey AG, Glennon JC, Brazil IA (July 2021). "Moral strategies and psychopathic traits". Journal of Abnormal Psychology. 130 (5): 550–561. doi:10.1037/abn0000675. hdl:2066/236779. ISSN 1939-1846. PMID 34472890.
- ^ Millon T, Simonsen E, Birket-Smith M, Davis RD (18 December 2002). Psychopathy: Antisocial, Criminal, and Violent Behavior. Guilford Press. ISBN 978-1-57230-864-0.
- ^ Schönthaler EM, Dalkner N, Schwalsberger K, Reininghaus EZ, Reininghaus B (2023-03-27). "Psychopathic personality traits stress immunity and social potency moderate the relationship between emotional competence and cognitive functions in depression". Frontiers in Psychiatry. 14: 1061642. doi:10.3389/fpsyt.2023.1061642. ISSN 1664-0640. PMC 10084668. PMID 37051168.
- ^ a b c d e f g Patrick C, Fowles D, Krueger R (August 2009). "Triarchic conceptualization of psychopathy: Developmental origins of disinhibition, boldness, and meanness". Development and Psychopathology. 21 (3). Cambridge, England: Cambridge University Press: 913–938. doi:10.1017/S0954579409000492. PMID 19583890. S2CID 6105750.
- ^ a b c d Hare RD (1999). Without Conscience: The Disturbing World of the Psychopaths Among Us. New York: Guilford Press. ISBN 978-1-57230-451-2.
- ^ Stone MH, Brucato G (2019). The New Evil: Understanding the Emergence of Modern Violent Crime. Amherst, New York: Prometheus Books. pp. 48–52. ISBN 978-1-63388-532-5.
- ^ Smith SF, Lilienfeld SO, Coffey K, Dabbs JM (October 2013). "Are psychopaths and heroes twigs off the same branch? Evidence from college, community, and presidential samples". Journal of Research in Personality. 47 (5): 634–646. doi:10.1016/j.jrp.2013.05.006. ISSN 0092-6566.
- ^ Anderson JL, Sellbom M, Wygant DB, Salekin RT, Krueger RF (October 2014). "Examining the associations between DSM-5 section III antisocial personality disorder traits and psychopathy in community and university samples". Journal of Personality Disorders. 28 (5): 675–697. doi:10.1521/pedi_2014_28_134. ISSN 1943-2763. PMID 24689766.
- ^ Partridge GE (July 1930). "Current Conceptions of Psychopathic Personality". The American Journal of Psychiatry. 1 (87). Philadelphia, Pennsylvania: American Psychiatric Association: 53–99. doi:10.1176/ajp.87.1.53. ISSN 0002-953X.
- ^ a b c d e f g h i j k l m n o p q r s t u v w x y z aa ab ac ad ae af ag ah ai aj ak al am an ao ap aq ar as at au av aw ax ay Skeem JL, Polaschek DL, Patrick CJ, Lilienfeld SO (December 15, 2011). "Psychopathic Personality: Bridging the Gap Between Scientific Evidence and Public Policy". Psychological Science in the Public Interest. 12 (3). Thousand Oaks, California: SAGE Publishing: 95–162. doi:10.1177/1529100611426706. PMID 26167886. S2CID 8521465. Archived from the original on February 22, 2016.
- ^ a b c Semple D (2005). The Oxford Handbook of Psychiatry. Oxford, England: Oxford University Press. pp. 448–9. ISBN 978-0-19-852783-1.
- ^ a b c d e Patrick C (2005). Handbook of Psychopathy. Guilford Press. ISBN 978-1-60623-804-2.
- ^ Hare RD (February 1, 1996). "Psychopathy and Antisocial Personality Disorder: A Case of Diagnostic Confusion". Psychiatric Times. 13 (2). New York City: MJH Associates. Archived from the original on May 28, 2013.
- ^ Hare RD, Hart SD, Harpur TJ (1991). "Psychopathy and the DSM-IV criteria for antisocial personality disorder". Journal of Abnormal Psychology. 100 (3): 391–8. doi:10.1037/0021-843X.100.3.391. PMID 1918618. Archived from the original on 2020-08-06. Retrieved 2018-10-02.
- ^ a b c Andrade J (23 Mar 2009). Handbook of Violence Risk Assessment and Treatment: New Approaches for Mental Health Professionals. New York City: Springer Publishing Company. ISBN 978-0-8261-9904-1. Archived from the original on 25 January 2021. Retrieved January 5, 2014 – via Google Books.
- ^ a b "Hare Psychopathy Checklist". Encyclopedia of Mental Disorders. Archived from the original on September 4, 2013. Retrieved September 4, 2013.
- ^ a b Delisi M, Vaughn MG, Beaver KM, Wright JP (2009). "The Hannibal Lecter Myth: Psychopathy and Verbal Intelligence in the MacArthur Violence Risk Assessment Study". Journal of Psychopathology and Behavioral Assessment. 32 (2). New York City: Springer Science+Business Media: 169–77. doi:10.1007/s10862-009-9147-z. S2CID 16184054.
- ^ Hare RD (1999). Without Conscience: The Disturbing World of the Psychopaths Among Us. New York City: Guilford Press. p. 22. ISBN 978-1-57230-451-2.
- ^ a b c de Almeida RM, Cabral JC, Narvaes R (2015). "Behavioural, hormonal and neurobiological mechanisms of aggressive behaviour in human and nonhuman primates". Physiology & Behavior. 143: 121–135. doi:10.1016/j.physbeh.2015.02.053. PMID 25749197. S2CID 27711931.
- ^ a b O'Toole, Mary Ellen; Matt Logan; Sharon Smith. "Looking Behind the Mask: Implications for Interviewing Psychopaths". FBI Law Enforcement Bulletin, July 2012, p. 14.
- ^ a b See Section 1 of the act here Archived 2015-04-23 at the Wayback Machine.
- ^ a b Hacker FJ, Frym M (December 1955). "The Sexual Psychopath Act In Practice: A Critical Discussion". California Law Review. 43 (5): 766–80. doi:10.2307/3478417. JSTOR 3478417. Archived from the original on 16 April 2016. Retrieved 5 April 2016.
- ^ a b "Frequently asked questions". Psychopath Test. Archived from the original on 6 January 2021. Retrieved 15 July 2019.
- ^ a b Assadi SM, Noroozian M, Pakravannejad M, Yahyazadeh O, Aghayan S, Shariat SV, Fazel S (February 2006). "Psychiatric morbidity among sentenced prisoners: prevalence study in Iran". The British Journal of Psychiatry. 188 (2): 159–164. doi:10.1192/bjp.188.2.159. PMID 16449704.
- ^ a b Neumann CS. "Will the Real Psychopath Please Stand Up?". research.unt.edu. University of North Texas. Archived from the original on 8 May 2016. Retrieved 23 April 2016.
- ^ a b "A disturbing number of bosses are psychopaths". The Independent. 2016-09-13. Archived from the original on 2018-02-16. Retrieved 2018-02-16.
- ^ a b "Flourishing under an abusive boss? You may be a psychopath, study shows". ScienceDaily. Archived from the original on 2018-02-16. Retrieved 2018-02-16.
- ^ a b "An abusive boss is bad news for your work life — unless you're a psychopath". Business Insider. Archived from the original on 2018-02-16. Retrieved 2018-02-16.
- ^ a b "Psychopathy". Online Etymology Dictionary. Archived from the original on 2012-01-13. Retrieved August 1, 2011.
- ^ a b "Psychopath". Online Etymology Dictionary. Archived from the original on 2013-09-20. Retrieved January 21, 2012.
- ^ "Pathological". Online Etymology Dictionary. Archived from the original on 2012-08-23. Retrieved January 21, 2012.
- ^ a b Medlineplus Psychopath Archived 2014-01-06 at the Wayback Machine or Psychopathy Archived 2014-01-06 at the Wayback Machine Retrieved January 21st 2012
- ^ a b Medilexicon powered by Stedman's, part of Lippincott Williams & Wilkins Psychopath Archived 2013-04-04 at the Wayback Machine Retrieved January 21st 2012
- ^ a b International Handbook on Psychopathic Disorders and the Law Archived 2017-01-03 at the Wayback Machine, Volume 1, Alan Felthous, Henning Sass, 15 Apr 2008
- ^ Patrick CJ, ed. (2005). Handbook of Psychopathy. New York City: Guilford Press. pp. 440–3. ISBN 978-1-59385-591-8.
- ^ a b c Coid J, Yang M, Ullrich S, Roberts A, Moran P, Bebbington P, Brugha T, Jenkins R, Farrell M, Lewis G, Singleton N, Hare R (May 2009). "Psychopathy among prisoners in England and Wales". International Journal of Law and Psychiatry. 32 (3). Amsterdam, Netherland: Elsevier: 134–41. doi:10.1016/j.ijlp.2009.02.008. PMID 19345418. Archived from the original on 13 April 2016. Retrieved 1 April 2016.
- ^ Walters GD (April 2004). "The Trouble with Psychopathy as a General Theory of Crime". International Journal of Offender Therapy and Comparative Criminology. 48 (2). Thousand Oaks, California: SAGE Publications: 133–148. doi:10.1177/0306624X03259472. PMID 15070462. S2CID 40939723. Archived from the original on November 19, 2015.
- ^ a b c d Neumann CS, Hare RD (2008). "Psychopathic traits in a large community sample: Links to violence, alcohol use, and intelligence" (PDF). Journal of Consulting and Clinical Psychology. 76 (5): 893–9. doi:10.1037/0022-006X.76.5.893. PMID 18837606. Archived (PDF) from the original on 2011-12-03.
- ^ Dolan EW (2023-01-28). "Study uncovers a surprising level of heterogeneity in psychopathy among condemned capital murderers". Psypost - Psychology News. Archived from the original on 2023-01-30. Retrieved 2023-01-30.
- ^ Glenn AL, Raine A (July 2009). "Psychopathy and instrumental aggression: Evolutionary, neurobiological, and legal perspectives". International Journal of Law and Psychiatry. 32 (4). New York City: Elsevier: 253–258. doi:10.1016/j.ijlp.2009.04.002. ISSN 0160-2527. PMID 19409615. Archived from the original on 18 April 2016. Retrieved 8 April 2016.
- ^ a b Walsh Z, Swogger MT, Walsh T, Kosson DS (December 2007). "Psychopathy and violence: increasing specificity". Netherlands Journal of Psychology. 63 (4). New York City: Springer Science+Business Media: 125–132. doi:10.1007/BF03061075. PMC 2817979. PMID 20148183.
- ^ a b Woodworth M, Porter S (2002). "In cold blood: Characteristics of criminal homicides as a function of psychopathy". Journal of Abnormal Psychology. 111 (3). Philadelphia, Pennsylvania: American Psychological Association: 436–45. doi:10.1037/0021-843X.111.3.436. PMID 12150419.
- ^ Swogger MT, Walsh Z, Kosson DS (May 2007). "Domestic violence and psychopathic traits: distinguishing the antisocial batterer from other antisocial offenders". Aggressive Behavior. 33 (3). New York City: Wiley: 253–260. doi:10.1002/ab.20185. PMID 17444531.
- ^ Heilbrun K (2005). "Violence Risk: From Prediction to Management". In Carson D, Bull R (eds.). Handbook of Psychology in Legal Contexts. pp. 127–42. doi:10.1002/0470013397.ch5. ISBN 978-0-470-01339-7. Archived from the original on 2017-04-03. Retrieved 2016-02-03 – via Google Books.
- ^ Mills JF, Kroner DG, Morgan RD (2011). "Psychopathic Traits". Clinician's Guide to Violence Risk Assessment. New York City: Guilford Press. pp. 55–64. ISBN 978-1-60623-985-8. Archived from the original on 2017-04-04. Retrieved 2016-02-03 – via Google Books.
- ^ Yang M, Wong SC, Coid J (2010). "The efficacy of violence prediction: A meta-analytic comparison of nine risk assessment tools". Psychological Bulletin. 136 (5). Washington, D.C.: American Psychological Association: 740–67. CiteSeerX 10.1.1.404.4396. doi:10.1037/a0020473. PMID 20804235.
- ^ Singh JP, Grann M, Fazel S (Apr 2011). "A comparative study of violence risk assessment tools: a systematic review and metaregression analysis of 68 studies involving 25,980 participants". Clinical Psychology Review. 31 (3). Oxfordshire, England: Pergamon Press: 499–513. doi:10.1016/j.cpr.2010.11.009. PMID 21255891.
- ^ Franklin K (June 19, 2011). "Violence risk meta-meta: Instrument choice does matter: Despite popularity, psychopathy test and actuarials not superior to other prediction methods". forensicpsychologist.blogspot.co.uk. Archived from the original on September 23, 2013.
- ^ Singh JP, Martin G, Seena F (September 2, 2013). "Authorship Bias in Violence Risk Assessment? A Systematic Review and Meta-Analysis". PLOS ONE. 8 (9). San Francisco, California: Public Library of Science: e72484. Bibcode:2013PLoSO...872484S. doi:10.1371/journal.pone.0072484. PMC 3759386. PMID 24023744.
- ^ Morton RJ. "Serial Murder". Federal Bureau of Investigation. Archived from the original on October 28, 2010. Retrieved January 1, 2011.
- ^ Porter S, ten Brinke L, Wilson K (January 10, 2011). "Crime profiles and conditional release performance of psychopathic and non-psychopathic sexual offenders". Legal and Criminological Psychology. 14 (1): 109–118. doi:10.1348/135532508X284310. ISSN 1355-3259. Archived from the original on December 30, 2023. Retrieved December 30, 2023.
- ^ a b Porter S, Brinke L, Wilson K (2009). "Crime profiles and conditional release performance of psychopathic and non-psychopathic sexual offenders". Legal and Criminological Psychology. 14 (1): 109–18. doi:10.1348/135532508X284310.
- ^ Williams KM, Cooper BS, Howell TM, Yuille JC, Paulhus DL (2008). "Inferring Sexually Deviant Behavior from Corresponding Fantasies: The Role of Personality and Pornography Consumption". Criminal Justice and Behavior. 36 (2): 198–22. doi:10.1177/0093854808327277. S2CID 33364099.
- ^ Porter S, Woodworth M, Earle J, Drugge J, Boer D (2003). "Characteristics of sexual homicides committed by psychopathic and nonpsychopathic offenders". Law and Human Behavior. 27 (5): 459–70. doi:10.1023/A:1025461421791. PMID 14593792. S2CID 486057.
- ^ Hildebrand M, de Ruiter C, de Vogel V (2004). "Psychopathy and Sexual Deviance in Treated Rapists: Association With Sexual and Nonsexual Recidivism". Sexual Abuse: A Journal of Research and Treatment. 16 (1): 1–24. doi:10.1177/107906320401600101. ISSN 1079-0632. PMID 15017823. S2CID 36102945. Archived from the original on 2020-06-16. Retrieved 2020-09-24.
- ^ Hawes SW, Boccaccini MT, Murrie DC (2013). "Psychopathy and the combination of psychopathy and sexual deviance as predictors of sexual recidivism: Meta-analytic findings using the Psychopathy Checklist—Revised". Psychological Assessment. 25 (1): 233–243. doi:10.1037/a0030391. ISSN 1939-134X. PMID 23088204. Archived from the original on 2020-08-25. Retrieved 2022-01-25.
- ^ Levenson JS, Morin JW (2000). Treating Non-offending Parents in Child Sexual Abuse Cases. SAGE. p. 7. ISBN 978-0-7619-2192-9.
- ^ Edens John F (2010). "Inter-rater reliability of the PCL-R total and factor scores among psychopathic sex offenders: are personality features more prone to disagreement than behavioral features?". Behavioral Sciences. 28 (1): 106–119. doi:10.1002/bsl.918. PMID 20101592.
- ^ Piccinni A, Marazziti D, Veltri A (April 2018). "Psychopathology of terrorists". CNS Spectrums. 23 (2): 141–144. doi:10.1017/S1092852917000645. PMID 28931447. S2CID 4968732.
- ^ Häkkänen-Nyholm H, Nyholm JO, eds. (2012). Psychopathy and Law: A Practitioners Guide. John Wiley & Sons. p. 177. ISBN 978-0-470-97238-0.
- ^ Horgan J (2005). The Psychology of Terrorism. Routledge. p. 49. ISBN 978-0-7146-5262-7.
- ^ a b Gao Y, Raine A (March 2010). "Successful and unsuccessful psychopaths: a neurobiological model". Behavioral Sciences & the Law. 28 (2): 194–210. doi:10.1002/bsl.924. PMID 20422645.
- ^ Hare R. "Psychopathy Scales: PCL:YV". Without Conscience. Archived from the original on August 10, 2014. Retrieved January 5, 2014.
- ^ Hare R. "Psychopathy Scales: APSD". Without Conscience. Archived from the original on November 3, 2013. Retrieved January 5, 2014.
- ^ Bartels M, Hudziak JJ, van den Oord EJ, van Beijsterveldt CE, Rietveld MJ, Boomsma DI (2003-09-01). "Co-occurrence of Aggressive Behavior and Rule-Breaking Behavior at Age 12: Multi-Rater Analyses". Behavior Genetics. 33 (5): 607–621. doi:10.1023/a:1025787019702. hdl:1871/18127. ISSN 0001-8244. PMID 14574136. S2CID 8480586. Archived from the original on 2020-10-14. Retrieved 2018-10-25.
- ^ Roose A, Bijttebier P, Van der Oord S, Claes L, Lilienfeld SO (2013-01-01). "Psychopathic Traits in Youth and Associations with Temperamental Features". Journal of Individual Differences. 34 (1): 1–7. doi:10.1027/1614-0001/a000090. ISSN 1614-0001. S2CID 145437921.
- ^ Hyde LW, Waller R, Trentacosta CJ, Shaw DS, Neiderhiser JM, Ganiban JM, Reiss D, Leve LD (2016-04-08). "Heritable and Nonheritable Pathways to Early Callous-Unemotional Behaviors". American Journal of Psychiatry. 173 (9): 903–910. doi:10.1176/appi.ajp.2016.15111381. ISSN 0002-953X. PMC 5008992. PMID 27056607.
- ^ a b "The Science of Preventing Dangerous Psychopathy". World of Psychology. 2017-01-21. Archived from the original on 2018-02-16. Retrieved 2018-02-16.
- ^ Hawes SW, Byrd AL, Waller R, Lynam DR, Pardini DA (2017-01-01). "Late childhood interpersonal callousness and conduct problem trajectories interact to predict adult psychopathy". Journal of Child Psychology and Psychiatry. 58 (1): 55–63. doi:10.1111/jcpp.12598. ISSN 1469-7610. PMC 5340563. PMID 27516046.
- ^ Hinshaw, S. P., & Lee, S. S. (2003). Conduct and oppositional defiant disorders. In E. J. Mash & R. A. Barkley (Eds.), Child psychopathology (pp. 144-198). New York: Guilford Press.
- ^ American Psychiatric Association (2013). Diagnostic and Statistical Manual of Mental Disorders (Fifth ed.). Arlington, VA: American Psychiatric Publishing. pp. 659. ISBN 978-0-89042-555-8.
- ^ "Highlights of Changes from DSM-IV-TR to DSM-5" (PDF). DSM-5 Development. American Psychiatric Association. 2013. Archived (PDF) from the original on October 19, 2013. Retrieved January 5, 2014.
- ^ Motzkin, J. C., Philippi, C. L., Wolf, R. C., Baskaya, M. K., & Koenigs, M. (Feb 1, 2015). "Ventromedial prefrontal cortex is critical for the regulation of amygdala activity in humans". Biological Psychiatry. 77 (3): 276–284. doi:10.1016/j.biopsych.2014.02.014. PMC 4145052. PMID 24673881.
{{cite journal}}
: CS1 maint: multiple names: authors list (link) - ^ a b "Protect – Watch Your Head". The Franklin Institute Online. The Franklin Institute. 2004. Archived from the original on July 8, 2013. Retrieved July 10, 2013.
- ^ a b Blair R (2008). "The amygdala and ventromedial prefrontal cortex: Functional contributions and dysfunction in psychopathy". Philosophical Transactions of the Royal Society B: Biological Sciences. 363 (1503): 2557–65. doi:10.1098/rstb.2008.0027. PMC 2606709. PMID 18434283.
- ^ a b Craig MC, Catani M, Deeley Q, Latham R, Daly E, Kanaan R, Picchioni M, McGuire PK, Fahy T, Murphy DG (2009). "Altered connections on the road to psychopathy". Molecular Psychiatry. 14 (10): 946–53, 907. doi:10.1038/mp.2009.40. PMID 19506560.
- ^ a b c Hare RD, Neumann CS (2008). "Psychopathy as a Clinical and Empirical Construct" (PDF). Annual Review of Clinical Psychology. 4 (1): 217–46. doi:10.1146/annurev.clinpsy.3.022806.091452. PMID 18370617. Archived (PDF) from the original on 2013-09-14.
- ^ Sharratt K (22 Feb 2019). "Clarifying the Relationship between Psychopathy and Intelligence Using Four Dimensions of the WASI-II" (PDF). Deviant Behavior. 41 (5): 619–627. doi:10.1080/01639625.2019.1582968. S2CID 150699596. Archived (PDF) from the original on 26 January 2021. Retrieved 29 August 2020.
- ^ Blair RJ, Meffert H, Hwang S, White SF (2018). "Psychopathy and brain function: Insights from neuroimaging research". In Patrick CJ (ed.). Handbook of psychopathy (2nd ed.). Guilford Press. pp. 401–421.
- ^ Nickerson S. "Brain Abnormalities in Psychopaths: A Meta-Analysis". North American Journal of Psychology. 16: 63–77.
- ^ Yang Y, Raine A, Narr KL, Colletti P, Toga AW (September 2009). "Localization of Deformations Within the Amygdala in Individuals With Psychopathy". Archives of General Psychiatry. 66 (9): 986–994. doi:10.1001/archgenpsychiatry.2009.110. ISSN 0003-990X. PMC 3192811. PMID 19736355.
- ^ Decety, J., & Skelly, L. (2013). The neural underpinnings of the experience of empathy: Lessons for psychopathy. In K. N. Ochsner and S. M. Kosslyn (Eds.), The Oxford Handbook of Cognitive Neuroscience – Volume 2 (pp. 228-243). New York: Oxford University Press.
- ^ a b Kiehl K. A. (2006). "A cognitive neuroscience perspective on psychopathy: Evidence for paralimbic system dysfunction". Psychiatry Research. 142 (2–3): 107–128. doi:10.1016/j.psychres.2005.09.013. PMC 2765815. PMID 16712954.
- ^ Blair R (1995). "A cognitive developmental approach to morality: investigating the psychopath" (PDF). Cognition. 57 (1): 1–29. doi:10.1016/0010-0277(95)00676-p. PMID 7587017. S2CID 16366546. Archived (PDF) from the original on 2013-07-21.
- ^ a b c d Blair RJ (2003). "Neurobiological basis of psychopathy". The British Journal of Psychiatry. 182 (1): 5–7. doi:10.1192/bjp.182.1.5. PMID 12509310.
- ^ a b "Psychopathy" by Quinton 2006
- ^ Blair R, E. Colledge, D.G. Mitchell (2001a). "Somatic markers and response reversal: is there orbitofrontal cortex dysfunction in boys with psychopathic tendencies?". Journal of Abnormal Child Psychology. 29 (6): 499–511. doi:10.1023/A:1012277125119. PMID 11761284. S2CID 1951812.
- ^ Blair RJ, Mitchell D, Richell R, et al. (2002). "Turning a deaf ear to fear: impaired recognition of vocal affect in psychopathic individuals". Journal of Abnormal Psychology. 111 (4): 682–686. doi:10.1037/0021-843x.111.4.682. PMID 12428783. Archived from the original on 2020-10-12. Retrieved 2020-08-23.
- ^ Stevens D, Charman T, Blair R (2001). "Recognition of emotion in facial expressions and vocal tones in children with psychopathic tendencies". Journal of Genetic Psychology. 162 (2): 201–11. doi:10.1080/00221320109597961. PMID 11432605. S2CID 42581610.
- ^ Decety L., Skelly L. R., Yoder K. J., Kiehl K. (2014). "Neural processing of dynamic facial expressions in psychopaths". Social Neuroscience. 9 (1): 36–49. doi:10.1080/17470919.2013.866905. PMC 3970241. PMID 24359488.
- ^ a b Dawel A, O'Kearney R, McKone E, Palermo R (2012-11-01). "Not just fear and sadness: meta-analytic evidence of pervasive emotion recognition deficits for facial and vocal expressions in psychopathy". Neuroscience and Biobehavioral Reviews. 36 (10): 2288–2304. doi:10.1016/j.neubiorev.2012.08.006. ISSN 1873-7528. PMID 22944264. S2CID 2596760.
- ^ a b Koenigs M, Kruepke M, Zeier J, Newman JP (2011). "Utilitarian moral judgment in psychopathy". Social Cognitive and Affective Neuroscience. 7 (6): 708–14. doi:10.1093/scan/nsr048. PMC 3427868. PMID 21768207.
- ^ Young L, Koenigs M, Kruepke M, Newman JP (2012). "Psychopathy increases perceived moral permissibility of accidents" (PDF). Journal of Abnormal Psychology. 121 (3): 659–67. doi:10.1037/a0027489. PMC 4603562. PMID 22390288. Archived (PDF) from the original on 2013-04-06.
- ^ "Psychopathic". Online Etymology Dictionary. Archived from the original on 2012-08-23. Retrieved January 21, 2012.
- ^ Berrios G (1993). "European views on personality disorders: A conceptual history". Comprehensive Psychiatry. 34 (1): 14–30. doi:10.1016/0010-440X(93)90031-X. PMID 8425387.
- ^ Lykken DT (1995). The Antisocial Personalities. Psychology Press. ISBN 978-0-8058-1941-0.
- ^ Burgy M (2008). "The Concept of Psychosis: Historical and Phenomenological Aspects". Schizophrenia Bulletin. 34 (6): 1200–10. doi:10.1093/schbul/sbm136. PMC 2632489. PMID 18174608.
- ^ Rutter S (2007). The Psychopath: Theory, Research, and Practice. New Jersey: Lawrence Erlbaum Associates. p. 37. ISBN 978-0-8058-6079-5.
- ^ Current Conceptions of Psychopathic Personality Archived 2018-11-16 at the Wayback Machine G. E. Partridge, The American Journal of Psychiatry. 1930 July; 1(87):53–99
- ^ Psychopathy in the Treatment of Forensic Psychiatric Patients: Assessment, Prevalence, Predictive Validity, and Clinical Implications Archived 2017-04-04 at the Wayback Machine Martin Hildebrand, Rozenberg Publishers, 16 Jun 2005
- ^ Epitome of Current Literature: Current Conceptions of Psychopathic Disorder by Partridge, G.E. Archived 2015-10-01 at the Wayback Machine, M. Hamblin Smith, The British Journal of Psychiatry (1930) 76: 838
- ^ Fisher KA, Torrico TJ, Hany M (2024), "Antisocial Personality Disorder", StatPearls, Treasure Island (FL): StatPearls Publishing, PMID 31536279, retrieved 2024-06-19
- ^ "Related to Psychopathy Psychological Disorders and Diagnoses". Psychopathy Is. Retrieved 2024-07-10.
- ^ Hare R (2006). Snakes in Suits: When Psychopaths Go To Work. New York, NY: HarperCollins Publishers. ISBN 978-0-06-083772-3.
- ^ Skilling TA, Harris GT, Rice ME, Quinsey VL (March 2002). "Identifying persistently antisocial offenders using the Hare Psychopathy Checklist and DSM antisocial personality disorder criteria". Psychological Assessment. 14 (1): 27–38. doi:10.1037/1040-3590.14.1.27. PMID 11911046.
- ^ Bluglass R (1994). "Who's psychopathic now? A recent report has few new solutions and calls for more research". BMJ. 309 (6958): 826. doi:10.1136/bmj.309.6958.826. PMC 2541046. PMID 7950601.
- ^ "Antisocial personality disorder". Diagnostic and Statistical Manual of Mental Disorders (Fourth, Text Revision (DSM-IV-TR) ed.). American Psychiatric Association. 2000. pp. 645–650. Archived from the original on 2012-02-11.
- ^ a b Hare RD (2003). Manual for the Revised Psychopathy Checklist (2nd ed.). Toronto, ON, Canada: Multi-Health Systems.
- ^ "Psychopathic traits differ between cultures, experts claim". The Independent. 2018-02-12. Archived from the original on 2018-02-16. Retrieved 2018-02-16.
- ^ Craig L, Browne K, Beech AR (2008). Assessing Risk in Sex Offenders. John Wiley & Sons. p. 117. ISBN 978-0-470-01898-9.
- ^ The Shadow Warriors: OSS and the Origins of the CIA Bradley F Smith. Times Books. 1983
- ^ Klara Hitler's Son: Reading the Langer Report on Hitler's Mind Archived 2020-08-06 at the Wayback Machine Spark, Clare L. Social Thought and Research, Volume 22, Number 1&2 (1999), pp. 113-137
- ^ Langer WC (1972) [1943]. The Mind of Adolf Hitler: The Secret Wartime Report. New York: Basic Books. p. 126. ISBN 978-0-465-04620-1.
- ^ Walters GD (2006). "Hitler the Psychopath". Lifestyle Theory: Past, Present, and Future. Nova Publishers. pp. 42–3. ISBN 978-1-60021-033-4. Archived from the original on 2017-03-23. Retrieved 2016-02-03 – via Google Books.
- ^ a b Hare RD (1993). Without conscience: The disturbing world of the psychopaths among us. New York, NY: Guilford Press.
- ^ a b c Yildirim, Bariş O., and Jan JL Derksen. "Clarifying the heterogeneity in psychopathic samples: Towards a new continuum of primary and secondary psychopathy." Aggression and Violent Behavior 24 (2015): 9-41.
- ^ Blonigen DM (2013). "Is fearless dominance relevant to the construct of psychopathy? Reconciling the dual roles of theory and clinical utility". Personality Disorders: Theory, Research, and Treatment. 4 (1): 87–88. doi:10.1037/a0027152. ISSN 1949-2723. PMID 23339319.
- ^ Lilienfeld SO, Watts AL (2016), "Fearless Dominance", in Zeigler-Hill V, Shackelford TK (eds.), Encyclopedia of Personality and Individual Differences, Cham: Springer International Publishing, pp. 1–5, doi:10.1007/978-3-319-28099-8_1075-1, ISBN 978-3-319-28099-8, retrieved 2024-04-21
- ^ Lilienfeld SO, Watts AL, Smith SF (August 2015). "Successful Psychopathy: A Scientific Status Report" (PDF). Current Directions in Psychological Science. 24 (4): 298–303. doi:10.1177/0963721415580297. ISSN 0963-7214.
- ^ Lykken DT (1995-05-01). The Antisocial Personalities. New York: Psychology Press. doi:10.4324/9780203763551. ISBN 978-0-203-76355-1.
- ^ Harris GT, Rice ME, Quinsey VL (1994). "Psychopathy as a taxon: Evidence that psychopaths are a discrete class". Journal of Consulting and Clinical Psychology. 62 (2): 387–97. doi:10.1037/0022-006X.62.2.387. PMID 8201078.
- ^ Marcus DK, John SL, Edens JF (2004). "A Taxometric Analysis of Psychopathic Personality". Journal of Abnormal Psychology. 113 (4). Washington, D.C.: American Psychological Association: 626–35. doi:10.1037/0021-843X.113.4.626. PMID 15535794.
- ^ Edens JF, Marcus DK (2006). "Psychopathic, Not Psychopath: Taxometric Evidence for the Dimensional Structure of Psychopathy". Journal of Abnormal Psychology. 115 (1). Washington, D.C.: American Psychological Association: 131–44. doi:10.1037/0021-843X.115.1.131. PMID 16492104. S2CID 19223010. Archived (PDF) from the original on 2021-01-28. Retrieved 2019-01-22.
- ^ Edens JF, Marcus DK, Lilienfeld SO, Poythress NG Jr (2006). "Psychopathic, Not Psychopath: Taxometric Evidence for the Dimensional Structure of Psychopathy" (PDF). Journal of Abnormal Psychology. 115 (1). Washington, D.C.: American Psychological Association: 131–44. doi:10.1037/0021-843X.115.1.131. PMID 16492104. S2CID 19223010. Archived (PDF) from the original on 2020-11-23. Retrieved 2022-01-25.
- ^ Derefinko KJ (December 2015). "Psychopathy and Low Anxiety: Meta-Analytic Evidence for the Absence of Inhibition, Not Affect". Journal of Personality. 83 (6). New York City: Wiley: 693–709. doi:10.1111/jopy.12124. PMID 25130868.
- ^ Widiger TA, Lynam DR (2002). "Psychopathy and the Five-Factor Model of Personality". In Millon T, Simonsen E, Birket-Smith M, et al. (eds.). Psychopathy: Antisocial, Criminal, and Violent Behavior. New York: Guilford Press. pp. 171–87. ISBN 978-1-57230-864-0.
- ^ Zuckerman M (1991). Psychobiology of personality. Cambridge, England: Cambridge University Press. p. 390. ISBN 978-0-521-35942-9.
- ^ a b Otto F K (2004). Aggressivity, Narcissism, and Self-Destructiveness in the Psychotherapeutic Relationship: New Developments in the Psychopathology and Psychotherapy of Severe Personality Disorders. New Haven, Connecticut: Yale University Press. pp. 130–153. ISBN 978-0-300-10180-5.
- ^ Paulhus DL, Williams KM (December 2002). "The Dark Triad of Personality". Journal of Research in Personality. 36 (6). New York City: Elsevier: 556–563. doi:10.1016/S0092-6566(02)00505-6. S2CID 6535576.
- ^ Regoli RM, Hewitt JD, DeLisi M (2011). Delinquency in Society: The Essentials. Burlington, Massachusetts: Jones & Bartlett Learning. p. 99. ISBN 978-0-7637-7790-6. Archived from the original on 2020-08-20. Retrieved 2016-02-03 – via Google Books.
- ^ Campbell WK, Miller JD (2011). The Handbook of Narcissism and Narcissistic Personality Disorder: Theoretical Approaches, Empirical Findings, and Treatments. New York City: Wiley. p. 154. ISBN 978-1-118-02924-4. Archived from the original on 2020-08-19. Retrieved 2016-02-03 – via Google Books.
- ^ Leary MR, Hoyle RH (2009). Handbook of individual differences in social behavior. New York City: Guilford Press. p. 100. ISBN 978-1-59385-647-2. Archived from the original on 2021-02-25. Retrieved 2016-02-03 – via Google Books.
- ^ Jones DN, Paulhus DL (2010). "Differentiating the Dark Triad within the interpersonal circumplex". In Horowitz LM, Strack S (eds.). Handbook of interpersonal theory and research. New York City: Guilford Press. pp. 249–67. ISBN 978-1-118-00186-8.
- ^ Chabrol H., Van Leeuwen N., Rodgers R., Sejourne N. (2009). "Contributions of psychopathic, narcissistic, Machiavellian, and sadistic personality traits to juvenile delinquency". Personality and Individual Differences. 47 (7): 734–739. doi:10.1016/j.paid.2009.06.020.
- ^ Buckels EE, Jones DN, Paulhus DL (2013). "Behavioral confirmation of everyday sadism". Psychological Science. 24 (11): 2201–9. doi:10.1177/0956797613490749. PMID 24022650. S2CID 30675346.
- ^ Miller, Joshua D.; Hyatt, Courtland S.; Maples-Keller, Jessica L.; Carter, Nathan T.; Lynam, Donald R. (2017). "Psychopathy and Machiavellianism: A Distinction Without a Difference?". Journal of Personality. 85 (4): 439–453.
- ^ Benning, S. D., Patrick, C. J., Hicks, B. M., Blonigen, D. M., & Krueger, R. F. (2003). Factor structure of the psychopathic personality inventory: validity and implications for clinical assessment. Psychological assessment, 15(3), 340.
- ^ Kastner, Rebecca M., Martin Sellbom, and Scott O. Lilienfeld. "A comparison of the psychometric properties of the psychopathic personality inventory full-length and short-form versions." Psychological Assessment 24, no. 1 (2012): 261.
- ^ Jones DN, Paulhus DL (February 2014). "Jones, D. N., & Paulhus, D. L. (2014). Introducing the Short Dark Triad (SD3): A Brief Measure of Dark Personality Traits. Assessment, 21(1), 28–41". Assessment. 21 (1): 28–41. doi:10.1177/1073191113514105. PMID 24322012. S2CID 17524487. Archived from the original on 2023-05-28. Retrieved 2023-09-22.
- ^ Walker, Sarah A., et al. "Primary and secondary psychopathy relate to lower cognitive reappraisal: A meta-analysis of the Dark Triad and emotion regulation processes." Personality and Individual Differences 187 (2022): 111394.
- ^ Results indicated that primary psychopathy and Machiavellianism were positively associated with the experience of positive affect from sad stimuli, while secondary psychopathy and Machiavellianism were positively associated with the experience of negative affect in response to neutral stimuli"--- Ali, F., Amorim, I. S., & Chamorro-Premuzic, T. (2009). Empathy deficits and trait emotional intelligence in psychopathy and Machiavellianism. Personality and individual differences, 47(7), 758-762.
- ^ Wai, M., & Tiliopoulos, N. (2012). The affective and cognitive empathic nature of the dark triad of personality. Personality and individual differences, 52(7), 794-799.
- ^ Glenn, A. L., & Sellbom, M. (2015). Theoretical and empirical concerns regarding the dark triad as a construct. Journal of personality disorders, 29(3), 360-377.
- ^ Benjamin S, Virginia S, Pedro R (2017). Kaplan and Sadock's Comprehensive Textbook of Psychiatry (2 Volume Set) (10th ed.). Wolters Kluwer. ISBN 978-1-4511-0047-1.
- ^ Lewis D, Yeager C, Blake P, Bard B, Strenziok M (2004). "Ethics Questions Raised by the Neuropsychiatric, Neuropsychological, Educational, Developmental, and Family Characteristics of 18 Juveniles Awaiting Execution in Texas". J Am Acad Psychiatry Law. 32 (4): 408–429. PMID 15704627.
- ^ Walters GD (April 2004). "The trouble with psychopathy as a general theory of crime". International Journal of Offender Therapy and Comparative Criminology. 48 (2): 133–48. doi:10.1177/0306624X03259472. PMID 15070462. S2CID 40939723.
- ^ Martens W (June 2008). "The problem with Robert Hare's psychopathy checklist: incorrect conclusions, high risk of misuse, and lack of reliability". Medicine and Law. 27 (2): 449–62. PMID 18693491.
- ^ Larsen RR, Jalava J, Griffiths S (August 2020). "Are Psychopathy Checklist (PCL) psychopaths dangerous, untreatable, and without conscience? A systematic review of the empirical evidence". Psychology, Public Policy, and Law. 26 (3): 297–311. doi:10.1037/law0000239. S2CID 219505223.
- ^ Baskin-Sommers A, Stuppy-Sullivan AM, Buckholtz JW (2016). "Psychopathic individuals exhibit but do not avoid regret during counterfactual decision making". Proceedings of the National Academy of Sciences of the USA. 113 (50): 14438–14443. Bibcode:2016PNAS..11314438B. doi:10.1073/pnas.1609985113. PMC 5167137. PMID 27911790.
- ^ Vedantam S (28 May 2007). "If It Feels Good to Be Good, It Might Be Only Natural". The Washington Post. Retrieved 23 April 2010.
- ^ a b c d e Glenn AL, Kurzban R, Raine A (2011). "Evolutionary theory and psychopathy". Aggression and Violent Behavior. 16 (5): 371–380. doi:10.1016/j.avb.2011.03.009.
- ^ Patrick CJ, ed. (2005). Handbook of Psychopathy. Guilford Press. pp. 234, 240.
- ^ Wallisch P (November 17, 2014). "Psychopaths in our midst — what you should know". Elsevier Connect. Elsevier B.V. Archived from the original on 23 April 2016. Retrieved 10 April 2016.
- ^ Koenigs M (2012). "The role of prefrontal cortex in psychopathy". Reviews in the Neurosciences. 23 (3): 253–62. doi:10.1515/revneuro-2012-0036. PMC 3937069. PMID 22752782.
- ^ Harpur TJ, Hare RD, Hakstian AR (1989). "Two-factor conceptualization of psychopathy: Construct validity and assessment implications". Psychological Assessment: A Journal of Consulting and Clinical Psychology. 1: 6–17. doi:10.1037/1040-3590.1.1.6.
- ^ Patrick CJ, Fowles DC, Krueger RF (2009). "Triarchic conceptualization of psychopathy: Developmental origins of disinhibition, boldness, and meanness". Development and Psychopathology. 21 (3): 913–938. doi:10.1017/S0954579409000492. PMID 19583890.
- ^ Blackburn R (2005). "Psychopathy as a Personality Construct". American Psychiatric Association. Archived from the original on 5 September 2023. Retrieved 12 June 2024.
- ^ Moreira D, Moreira DS, Barbosa F, Sousa-Gomes V, Fávero M (2021-11-29). "Childhood traumatic experiences and psychopathy: A comprehensive review". Psychological Trauma: Theory, Research, Practice, and Policy. 14 (8): 1281–1287. doi:10.1037/tra0001191. ISSN 1942-969X. PMID 34843347. S2CID 244730442. Archived from the original on 2023-03-22. Retrieved 2022-05-01.
- ^ Falkenbach DM, Reinhard EE, Larson FR (2017-01-15). "Theory based gender differences in psychopathy subtypes". Personality and Individual Differences. 105: 1–6. doi:10.1016/j.paid.2016.09.023. ISSN 0191-8869.
- ^ a b c Sörman K (2015). The Psychopathy Construct in a Swedish Context - Conceptualization and Validation of Different Assessments (PDF). Stockholm: Karolinska Institutet. p. 29. ISBN 978-91-7549-910-9. Archived from the original (PDF) on 15 April 2015. Retrieved 27 April 2016.
- ^ Manis E (2022-09-13). "Psychopathic men have an extreme focus on mating at the expense of other domains and tend to be "parasitic" fathers". Psypost - Psychology News. Archived from the original on 2022-09-27. Retrieved 2022-09-27.
- ^ Buss DM (2009). "How Can Evolutionary Psychology Successfully Explain Personality and Individual Differences?". Perspectives on Psychological Science. 4 (4): 359–66. doi:10.1111/j.1745-6924.2009.01138.x. PMID 26158983. S2CID 2565416.
- ^ Leedom LJ, Almas LH (December 2012). "Is psychopathy a disorder or an adaptation?". Frontiers in Psychology. 3: 549. doi:10.3389/fpsyg.2012.00549. PMC 3573869. PMID 23424583.
- ^ Smith SF, Lilienfeld SO (2015). "The response modulation hypothesis of psychopathy: A meta-analytic and narrative analysis". Psychological Bulletin. 141 (6): 1145–1177. doi:10.1037/bul0000024. ISSN 1939-1455. PMID 26302165. S2CID 19644741.
- ^ Patrick, Christopher J. (Editor) Handbook of Psychopathy Archived 2017-04-03 at the Wayback Machine (2005). Chapter 3: Other Theoretical Models of Psychopathy, Ronald Blackburn, Page 39
- ^ Dadds M, et al. (2010). "Learning to 'talk the talk': the relationship of psychopathic traits to deficits in empathy across childhood". The Journal of Child Psychology and Psychiatry. 50 (5): 599–606. doi:10.1111/j.1469-7610.2008.02058.x. PMID 19445007.
- ^ Weber S, Habel U, Amunts K, Schneider F (2008). "Structural brain abnormalities in psychopaths—a review". Behavioral Sciences & the Law. 26 (1): 7–28. doi:10.1002/bsl.802. PMID 18327824.
- ^ Yang Y, Raine A (2009). "Prefrontal Structural and Functional Brain Imaging findings in Antisocial, Violent, and Psychopathic Individuals: A Meta-Analysis". Psychiatry Research. 174 (2): 81–88. doi:10.1016/j.pscychresns.2009.03.012. PMC 2784035. PMID 19833485.
- ^ Deming P, Heilicher M, Koenigs M (2022). "How reliable are amygdala findings in psychopathy? A systematic review of MRI studies". Neuroscience & Biobehavioral Reviews. 142 104875. Elsevier BV. doi:10.1016/j.neubiorev.2022.104875. ISSN 0149-7634. PMID 36116578.
- ^ Pridmore S, Chambers A, McArthur M (2005). "Neuroimaging in psychopathy". Australian and New Zealand Journal of Psychiatry. 39 (10): 856–65. doi:10.1111/j.1440-1614.2005.01679.x. PMID 16168013.
- ^ Patrick, C., Venables, N. C., & Skeem, J. (2012). Psychopathy and brain function: Empirical findings and legal implications. Psychopathy and law: A practitioner's guide, 39-77.
- ^ Patrick, C. J. (2018). Cognitive and emotional processing in psychopathy. In C. J. Patrick (Ed.), Handbook of psychopathy 2nd edition (ch. 18, pp. 422–455). The Guilford Press.
- ^ Hicks, B. M., & Drislane, L. E. (2018). Variants ("subtypes") of psychopathy. In C. J. Patrick (Ed.), Handbook of psychopathy 2nd edition (ch. 13, pp. 297–332). The Guilford Press.
- ^ Sophia W (2012). "The Devil in the Boardroom: Corporate Psychopaths and Their Impact on Business". PURE Insights. 1 (1). Archived from the original on 2018-02-16.
- ^ Glenn AL, Raine A (2008). "The Neurobiology of Psychopathy". Psychiatric Clinics of North America. 31 (3): 463–475. doi:10.1016/j.psc.2008.03.004. PMID 18638646.
- ^ a b Glenn AL, Raine A (2008). "The Neurobiology of Psychopathy". Psychiatric Clinics of North America. 31 (3): 463–75, vii. doi:10.1016/j.psc.2008.03.004. PMID 18638646.
- ^ Beauchaine TP, Klein DN, Crowell SE, Derbidge C, Gatzke-Kopp L (2009). "Multifinality in the development of personality disorders: A Biology × Sex × Environment interaction model of antisocial and borderline traits". Development and Psychopathology. 21 (3): 735–70. doi:10.1017/S0954579409000418. PMC 2709751. PMID 19583882.
- ^ Gollan JK, Lee R, Coccaro EF (2005). "Developmental psychopathology and neurobiology of aggression". Development and Psychopathology. 17 (4): 1151–71. doi:10.1017/S0954579405050546. PMID 16613435. S2CID 40617060.
- ^ Lee R, Coccaro ER (2007). "Neurobiology of impulsive aggression: Focus on serotonin and the orbitofrontal cortex". In Flannery DJ, Vazsonyi AT, Waldman ID (eds.). The Cambridge handbook of violent behavior and aggression. New York: Cambridge University Press. pp. 170–86. ISBN 978-0-521-60785-8.
- ^ Van Goozen SH, Fairchild G, Snoek H, Harold GT (2007). "The evidence for a neurobiological model of childhood antisocial behavior". Psychological Bulletin. 133 (1): 149–82. CiteSeerX 10.1.1.326.8003. doi:10.1037/0033-2909.133.1.149. PMID 17201574.
- ^ Glenn AL (January 2011). "The other allele: Exploring the long allele of the serotonin transporter gene as a potential risk factor for psychopathy: A review of the parallels in findings". Neuroscience & Biobehavioral Reviews. 35 (3): 612–620. doi:10.1016/j.neubiorev.2010.07.005. PMC 3006062. PMID 20674598.
- ^ van de Giessen E, Rosell DR, Thompson JL, Xu X, Girgis RR, Ehrlich Y, Slifstein M, Abi-Dargham A, Siever LJ (November 2014). "Serotonin transporter availability in impulsive aggressive personality disordered patients: A PET study with [11C]DASB". Journal of Psychiatric Research. 58: 147–154. doi:10.1016/j.jpsychires.2014.07.025. PMID 25145808.
- ^ Line SJ, Barkus C, Rawlings N, Jennings K, McHugh S, Sharp T, Bannerman DM (December 2014). "Reduced sensitivity to both positive and negative reinforcement in mice over-expressing the 5-hydroxytryptamine transporter". European Journal of Neuroscience. 40 (12): 3735–3745. doi:10.1111/ejn.12744. PMC 4737229. PMID 25283165.
- ^ Dunlop BW, DeFife JA, Marx L, Garlow SJ, Nemeroff CB, Lilienfeld SO (1 November 2011). "The Effects of Sertraline on Psychopathic Traits". International Clinical Psychopharmacology. 26 (6): 329–337. doi:10.1097/YIC.0b013e32834b80df. ISSN 0268-1315. PMC 3202964. PMID 21909028.
- ^ Dolan MC, Anderson IM (1 June 2003). "The relationship between serotonergic function and the Psychopathy Checklist: Screening Version". Journal of Psychopharmacology. 17 (2): 216–222. doi:10.1177/0269881103017002011. ISSN 0269-8811. PMID 12870570. S2CID 13239172.
- ^ Yildirim BO (August 2013). "Systematic review, structural analysis, and new theoretical perspectives on the role of serotonin and associated genes in the etiology of psychopathy and sociopathy". Neuroscience & Biobehavioral Reviews. 37 (7): 1254–1296. doi:10.1016/j.neubiorev.2013.04.009. PMID 23644029. S2CID 19350747. Archived from the original on 6 October 2016. Retrieved 7 March 2016.
- ^ Josephs RA, Telch MJ, Hixon JG, Evans JJ, Lee H, Knopik VS, McGeary JE, Hariri AR, Beevers CG (1 June 2012). "Genetic and hormonal sensitivity to threat: Testing a serotonin transporter genotype × testosterone interaction". Psychoneuroendocrinology. 37 (6): 752–761. doi:10.1016/j.psyneuen.2011.09.006. ISSN 0306-4530. PMC 3262096. PMID 21978869.
- ^ Buckholtz JW, Treadway MT, Cowan RL, Woodward ND, Benning SD, Li R, Ansari MS, Baldwin RM, Schwartzman AN, Shelby ES, Smith CE, Cole D, Kessler RM, Zald DH (2010). "Mesolimbic dopamine reward system hypersensitivity in individuals with psychopathic traits". Nature Neuroscience. 13 (4): 419–21. doi:10.1038/nn.2510. PMC 2916168. PMID 20228805.
- ^ Blanchard A, Lyons M (2010). "An investigation into the relationship between digit length ratio (2D: 4D) and psychopathy". The British Journal of Forensic Practice. 12 (2): 23–31. doi:10.5042/bjfp.2010.0183.
- ^ Tikkanen R, Auvinen-Lintunen L, Ducci F, Sjöberg RL, Goldman D, Tiihonen J, Ojansuu I, Virkkunen M (2011). "Psychopathy, PCL-R, and MAOA genotype as predictors of violent reconvictions". Psychiatry Research. 185 (3): 382–6. doi:10.1016/j.psychres.2010.08.026. PMC 3506166. PMID 20850185.
- ^ Hook GR (2009). ""Warrior genes" and the disease of being Māori". MAI Review (2): 1–11. Archived from the original on 2014-09-07. Retrieved 2014-05-07.
- ^ "Maori 'warrior gene' claims appalling, says geneticist". News. The New Zealand Herald News. August 10, 2006. Archived from the original on February 23, 2013. Retrieved 2009-01-27.
- ^ "Scientist debunks 'warrior gene'". News. NZ Herald News. September 12, 2009. Archived from the original on 2020-08-07. Retrieved 2009-09-11.
- ^ Handbook of Personology and Psychopathology Archived 2017-04-04 at the Wayback Machine Stephen Strack, John Wiley & Sons, 21 Jan 2005. Chapter 15: Psychopathy as a Personality Construct (Ronald Blackburn).
- ^ Thinking about Psychopaths and Psychopathy: Answers to Frequently Asked Questions Archived 2017-04-04 at the Wayback Machine "What are the differences between the psychopathy definitions designed by Hare and by Cleckley?" Editor: Ellsworth Lapham Fersch. iUniverse, 30 Oct 2006
- ^ a b c Kiehl KA, Hoffman MB (1 January 2011). "The Criminal Psychopath: History, Neuroscience, Treatment, and Economics". Jurimetrics. 51 (4): 355–397. ISSN 0897-1277. PMC 4059069. PMID 24944437.
- ^ Minkel JR (June 17, 2010). "Fear Review: Critique of Forensic Psychopathy Scale Delayed 3 Years by Threat of Lawsuit". Scientific America. Archived from the original on March 18, 2012.
- ^ Walters GD (2004). "The Trouble with Psychopathy as a General Theory of Crime". International Journal of Offender Therapy and Comparative Criminology. 48 (2): 133–48. doi:10.1177/0306624X03259472. PMID 15070462. S2CID 40939723.
- ^ Dorothy Otnow Lewis, MD, Catherine A. Yeager, MA, Pamela Blake, MD, Barbara Bard, PhD, and Maren Strenziok, MS Ethics Questions Raised by the Neuropsychiatric, Neuropsychological, Educational, Developmental, and Family Characteristics of 18 Juveniles Awaiting Execution in Texas Archived 2020-11-23 at the Wayback Machine J Am Acad Psychiatry Law 32:408–29, 2004
- ^ Franklin K (2011). "Psychopathy: A Rorschach test for psychologists?". Witness.
- ^ Miller AK, Rufino KA, Boccaccini MT, Jackson RL, Murrie DC (2011). "On Individual Differences in Person Perception: Raters' Personality Traits Relate to Their Psychopathy Checklist-Revised Scoring Tendencies". Assessment. 18 (2): 253–60. doi:10.1177/1073191111402460. PMID 21393315. S2CID 206655518.
- ^ Lilienfeld SO, Widows MR (2005). "Psychopathic Personality Inventory—Revised (PPI-R) professional manual". Odessa, FL: Psychological Assessment Resources.
{{cite book}}
: Missing or empty|title=
(help) - ^ "Triarchic Psychopathy Measure - cplabwiki". patrickcnslab.psy.fsu.edu. Archived from the original on 2022-01-06. Retrieved 2022-01-06.
- ^ Drislane LE, Patrick CJ, Arsal G (2013-12-09). "Clarifying the content coverage of differing psychopathy inventories through reference to the triarchic psychopathy measure". Psychological Assessment. 26 (2): 350–362. doi:10.1037/a0035152. ISSN 1939-134X. PMC 4100942. PMID 24320762.
- ^ "DSM-5: What It Is & What It Diagnoses". Cleveland Clinic. Archived from the original on 2023-12-30. Retrieved 2023-12-30.
- ^ "International Classification of Diseases (ICD)". World Health Organization. Archived from the original on 2023-09-20. Retrieved 2023-12-30.
- ^ Surís A, Holliday R, North CS (2016-01-18). "The Evolution of the Classification of Psychiatric Disorders". Behavioral Sciences. 6 (1): 5. doi:10.3390/bs6010005. ISSN 2076-328X. PMC 4810039. PMID 26797641.
- ^ Diagnostic and statistical manual of mental disorders: DSM-5 (5th ed.). Washington: American psychiatric association. 2013. p. 761. ISBN 978-0-89042-554-1.
The current approach to personality disorders appears in Section II of DSM-5, and an alternative model developed for DSM-5 is presented here in Section III.
- ^ American Psychiatric Association, American Psychiatric Association, eds. (2013). Diagnostic and statistical manual of mental disorders: DSM-5 (5th ed.). Washington, D.C: American Psychiatric Association. pp. 729–731. ISBN 978-0-89042-554-1.
This section contains tools and techniques to enhance the clinical decision-making process, understand the cultural context of mental disorders, and recognize emerging diagnoses for further study. It provides strategies to enhance clinical practice and new criteria to stimulate future research, representing a dynamic DSM-5 that will evolve with advances in the field. Among the tools in Section III is a Level 1 cross-cutting self/informant-rated measure that serves as a review of systems across mental disorders.
- ^ Diagnostic and statistical manual of mental disorders: DSM-5 (5th ed.). Washington: American psychiatric association. 2013. pp. 764–765. ISBN 978-0-89042-554-1.
A distinct variant often termed psychopathy (or "primary" psychopathy) is marked by a lack of anxiety or fear and by a bold interpersonal style that may mask maladaptive behaviors (e.g., fraudulence). This psychopathic variant is characterized by low levels of anxiousness (Negative Affectivity domain) and withdrawal (Detachment domain) and high levels of attention seeking (Antagonism domain). High attention seeking and low withdrawal capture the social potency (assertive/dominant) component of psychopathy, whereas low anxiousness captures the stress immunity (emotional stability/resilience) component.
- ^ "Diagnostic and Statistical Manual of Mental Disorders Fifth Edition (DSM-5)" (PDF).
- ^ Latzman RD, Tobin KE, Palumbo IM, Conway CC, Lilienfeld SO, Patrick CJ, Krueger RF (2020-10-01). "Locating psychopathy within the domain space of personality pathology". Personality and Individual Differences. 164 110124. doi:10.1016/j.paid.2020.110124. ISSN 0191-8869.
- ^ Lilienfeld SO (2020). "Locating psychopathy within the domain space of personality pathology" (PDF). Personality and Individual Differences.
- ^ Patrick C (July 2016). "Examining the DSM–5 alternative personality disorder model operationalization of antisocial personality disorder and psychopathy in a male correctional sample". Personality Disorders: Theory, Research, and Treatment. 7 (3): 229–239. doi:10.1037/per0000179. PMID 26914324.
- ^ a b c d Blair J, Mitchel D, Blair K (2005). Psychopathy, emotion and the brain. Wiley-Blackwell. pp. 24–7. ISBN 978-0-631-23336-7. Archived from the original on 2016-03-06.
- ^ Nioche A, Pham T, Ducro C, De Beaurepaire C, Chudzik L, Courtois R, Réveillère C (2010). "Psychopathie et troubles de la personnalité associés: Recherche d'un effet particulier au trouble borderline ?" [Psychopathy and associated personality disorders: Searching for a particular effect of the borderline personality disorder?]. L'Encéphale (in French). 36 (3): 253–9. doi:10.1016/j.encep.2009.07.004. PMID 20620268.
- ^ a b Hildebrand M, De Ruiter C (2004). "PCL-R psychopathy and its relation to DSM-IV Axis I and II disorders in a sample of male forensic psychiatric patients in the Netherlands". International Journal of Law and Psychiatry. 27 (3): 233–48. doi:10.1016/j.ijlp.2004.03.005. PMID 15177992.
- ^ Nedopil N, Hollweg M, Hartmann J, Jaser R (1998). "Comorbidity of Psychopathy with Major Mental Disorders". Psychopathy: Theory, Research and Implications for Society. pp. 257–68. doi:10.1007/978-94-011-3965-6_12. ISBN 978-0-7923-4920-4. Archived from the original on 2017-04-04. Retrieved 2016-02-03 – via Google Books.
- ^ Smith SS, Newman JP (1990). "Alcohol and drug abuse-dependence disorders in psychopathic and nonpsychopathic criminal offenders". Journal of Abnormal Psychology. 99 (4): 430–9. doi:10.1037/0021-843X.99.4.430. PMID 2266219.
- ^ a b Kantor M (2006). The Psychopathy of Everyday Life. Bloomsbury Academic. p. 107. ISBN 978-0-275-98798-5.
- ^ Fitzgerald M (2003). "Callous-unemotional traits and Asperger's syndrome?". Journal of the American Academy of Child and Adolescent Psychiatry. 42 (9): 1011. doi:10.1097/01.CHI.0000070252.24125.CD. PMID 12964563.
- ^ Rogers J (2006). "Autism spectrum disorder and psychopathy: shared cognitive underpinnings or double hit?". Psychological Medicine. 36 (12). et al.: 1789–1798. doi:10.1017/S0033291706008853. PMID 17018169. S2CID 2566320. Archived from the original on 2023-03-07. Retrieved 2023-03-04.
- ^ O'Nions E (2015). "Examining the genetic and environmental associations between autistic social and communication deficits and psychopathic callous-unemotional traits". PLOS ONE. 10 (9). et al.: e0134331. Bibcode:2015PLoSO..1034331O. doi:10.1371/journal.pone.0134331. PMC 4556482. PMID 26325039.
- ^ Leno VC (2015). "Callous–unemotional traits in adolescents with autism spectrum disorder". The British Journal of Psychiatry. 207 (5). et al.: 392–399. doi:10.1192/bjp.bp.114.159863. PMC 4629071. PMID 26382954.
- ^ Dein K, Woodbury-Smith M (2010). "Asperger syndrome and criminal behaviour". Advances in Psychiatric Treatment. 16 (1): 37–43. doi:10.1192/apt.bp.107.005082.
In the UK, Murphy (2007) found that none of the patients with Asperger syndrome at Broadmoor Hospital received an overall score on the PCL–R above the cut-off for psychopathy. Interestingly, in the different domains of the PCL–R these individuals frequently received higher scores on the affective component (including features such as lack of remorse or guilt, shallow affect, lack of empathy, and failure to accept responsibility for one's actions) and lower scores on the other components than did a comparison group of the hospital's patients without Asperger syndrome. (...) In Sweden, however, Nilsson and Soderstrom et al (2005) found that the total PCL–R scores, as well as scores on the 'unemotionality' and 'behavioural dyscontrol' factors, were significantly correlated with high-functioning autistic traits. The 'interpersonal' factor of the PCL–R showed none of these correlations, leading the authors to conclude that scores on this factor may capture features that are specific to psychopathy, distinguishing core psychopathy from other diagnostic definitions.
- ^ Fontaine NM, Rijsdijk FV, McCrory EJ, Viding E (2010). "Etiology of Different Developmental Trajectories of Callous-Unemotional Traits". Journal of the American Academy of Child & Adolescent Psychiatry. 49 (7): 656–664. doi:10.1016/j.jaac.2010.03.014. PMID 20610135.
- ^ Wynn R, Høiseth MH, Pettersen G (2012-06-01). "Psychopathy in women: theoretical and clinical perspectives". International Journal of Women's Health. 4: 257–263. doi:10.2147/IJWH.S25518. ISSN 1179-1411. PMC 3379858. PMID 22723733.
- ^ Eisenbarth H (2014-03-01). "[Psychopathic personality in women. Diagnostics and experimental findings in the forensic setting and the business world]" (PDF). Der Nervenarzt. 85 (3): 290, 292–294, 296–297. doi:10.1007/s00115-013-3902-9. ISSN 1433-0407. PMID 24549689. S2CID 38652290. Archived (PDF) from the original on 2020-08-06. Retrieved 2022-01-25.
- ^ a b c d e Vien A, Beech AR (1 July 2006). "Psychopathy: theory, measurement, and treatment". Trauma, Violence & Abuse. 7 (3): 155–174. doi:10.1177/1524838006288929. ISSN 1524-8380. PMID 16785285. S2CID 220339235.
- ^ Dingfelder SF (March 2004). "Treatment for the 'untreatable'". American Psychological Association. Archived from the original on 8 March 2016. Retrieved 12 March 2016.
- ^ a b Harris GT, Rice ME (2006). "Treatment of Psychopathy: A Review of Empirical Findings". In Patrick CJ (ed.). Handbook of psychopathy. New York: Guilford Press. pp. 555–72. ISBN 978-1-59385-591-8.
- ^ Gregory S, Blair RJ, ffytche D, Simmons A, Kumari V, Hodgins S, Blackwood N (February 2015). "Punishment and psychopathy: a case-control functional MRI investigation of reinforcement learning in violent antisocial personality disordered men". The Lancet Psychiatry. 2 (2): 153–160. doi:10.1016/S2215-0366(14)00071-6. PMID 26359751. Archived from the original on 9 February 2018. Retrieved 12 March 2016.
- ^ "The Hard Sell for Psychopathy Research Funding". Center for Science and Law. Archived from the original on 10 March 2016. Retrieved 10 March 2016.
- ^ Seabrook J (November 2008). "Suffering Souls: The search for the roots of psychopathy". The New Yorker. Archived from the original on 10 March 2016. Retrieved 10 March 2016.
- ^ Beck, Aaron T., Freeman, Arthur, Davis, Denise D. (2006) Cognitive Therapy of Personality Disorders. Second Edition. The Guilford Press. ISBN 978-1-59385-476-8.
- ^ Chivers T (2014-04-06). "Psychopaths: how can you spot one?". The Daily Telegraph. Archived from the original on 2015-01-09. Retrieved 2015-01-13.
- ^ Bonn SA (August 2014). "Psychopathic Criminals Cannot Be Cured". Psychology Today. Sussex Publishers, LLC. Archived from the original on 20 February 2023. Retrieved 12 March 2016.
- ^ Nussbaum A (2013). The Pocket Guide to the DSM-5 Diagnostic Exam. Arlington, VA: American Psychiatric Publishing. ISBN 978-1-58562-466-9. Archived from the original on January 2, 2017. Retrieved January 5, 2014.
- ^ Mayo Clinic staff (12 April 2013). "Antisocial personality disorder: Treatments and drugs". Mayo Clinic. Mayo Foundation for Medical Education and Research. Archived from the original on 10 November 2013. Retrieved 17 December 2013.
- ^ Brown D, Larkin F, Sengupta a, Romero-Ureclay JL, Ross CC, Gupta N, Vinestock M, Das M (October 2014). "Clozapine: an effective treatment for seriously violent and psychopathic men with antisocial personality disorder in a UK high-security hospital". CNS Spectrums. 19 (5): 391–402. doi:10.1017/S1092852914000157. PMC 4255317. PMID 24698103.
- ^ Khalifa NR, Gibbon S, Völlm BA, Cheung NH, McCarthy L (3 September 2020). "Pharmacological interventions for antisocial personality disorder". The Cochrane Database of Systematic Reviews. 2020 (9): CD007667. doi:10.1002/14651858.CD007667.pub3. ISSN 1469-493X. PMC 8094881. PMID 32880105.
- ^ The Mental Health Act (UK) Reforming The Mental Health Act, Part II, High risk patients Archived 2005-11-17 at the Wayback Machine Accessed June 26, 2006
- ^ Harrison, Paul, John Geddes (2005-07-18). Lecture Notes: Psychiatry. Blackwell Publishing. pp. 163–165. ISBN 978-1-4051-1869-9. Archived from the original on 2021-01-25. Retrieved 2020-11-19 – via Google Books.
- ^ a b Nathan James, Kenneth R. Thomas, Cassandra Foley (July 2, 2007). "Commitment of Sexually Dangerous Persons" (PDF). Congressional Research Service. Archived from the original (PDF) on 2012-11-05. Retrieved 2012-06-23.
- ^ Polaschek DL, Daly TE (September 2013). "Treatment and psychopathy in forensic settings". Aggression and Violent Behavior. 18 (5): 592–603. doi:10.1016/j.avb.2013.06.003.
- ^ Cooke DJ, Michie C, Hart SD, Hare RD (1999). "Evaluating the Screening Version of the Hare Psychopathy Checklist—Revised (PCL: SV): An Item Response Theory Analysis". Psychological Assessment. 11 (1): 3–13. doi:10.1037/1040-3590.11.1.3. Archived from the original on 2020-08-06. Retrieved 2019-07-15.
- ^ Coid J, Yang M, Ullrich S, Roberts A, Hare RD (2009). "Prevalence and correlates of psychopathic traits in the household population of Great Britain" (PDF). International Journal of Law and Psychiatry. 32 (2): 65–73. doi:10.1016/j.ijlp.2009.01.002. PMID 19243821. Archived (PDF) from the original on 2020-11-23. Retrieved 2022-01-25.
- ^ a b Board BJ, Fritzon K (2005). "Disordered personalities at work". Psychology, Crime & Law. 11 (1): 17–32. doi:10.1080/10683160310001634304. S2CID 145582366.
- ^ Hare RD (1994). "Predators: The Disturbing World of the Psychopaths among Us". Psychology Today. 27 (1): 54–61.
- ^ Baibak P, Hare RD (2007). Snakes in Suits: When Psychopaths Go to Work.
- ^ Boddy CR (2011). Corporate Psychopaths: Organizational Destroyers. Palgrave Macmillan UK. ISBN 9781349329946.
- ^ Boddy. C. R (2005) "'The Implications for Business Performance and Corporate Social Responsibility of Corporate Psychopaths" in 2nd International Conference on Business Performance and Corporate Social Responsibility, ed. M. Hopkins, Middlesex University Business School, London
- ^ Walker, I. 2005, Psychopaths in Suits, Australian Broadcasting Corporation
- ^ Babiak P, Neumann CS, Hare RD (April 2010). "Corporate psychopathy: Talking the walk". Behavioral Sciences & the Law. 28 (2): 174–93. doi:10.1002/bsl.925. PMID 20422644. S2CID 15946623.
- ^ aJames O (2013), Office Politics: How to Thrive in a World of Lying, Backstabbing and Dirty Tricks, p. 21.
- ^ "If you're succeeding under a bully boss, you may be a psychopath". Ladders | Business News & Career Advice. Archived from the original on 2018-02-16. Retrieved 2018-02-16.
- ^ Wenzel A, ed. (2017). The SAGE Encyclopedia of Abnormal and Clinical Psychology. Thousand Oaks, California: SAGE Publications. p. 2744. ISBN 978-1-4833-6582-4. OCLC 982958263.
Bibliography
- Babiak P, Hare RD (2009-10-13). Snakes in Suits: When Psychopaths Go to Work. New York, NY: HarperCollins. ISBN 978-0-06-114789-0.
snakes in suits.
- Black, Will (2014) Psychopathic Cultures and Toxic Empires Frontline Noir, Edinburgh ISBN 978-1904684718
- Blair, J. et al. (2005) The Psychopath – Emotion and the Brain. Malden, MA: Blackwell Publishing, ISBN 978-0-631-23335-0
- Cleckley H (1988). The Mask of Sanity (5th ed.). Augusta, Georgia: Emily S. Cleckley. ISBN 0-9621519-0-4.
- Dutton, K. (2012) The Wisdom of Psychopaths ISBN 978-0-374-70910-5 (e-book)
- Hare RD (1999). Without Conscience: The Disturbing World of the Psychopaths Among Us. New York: Guilford Press. ISBN 978-1-57230-451-2.
- Häkkänen-Nyholm, H. & Nyholm, J-O. (2012). Psychopathy and Law: A Practitioners Guide. Chichester: John Wiley & Sons.
- Kiehl K (2014). The psychopath whisperer: the science of those without a conscience. New York: Crown Publishers. ISBN 978-0-7704-3584-4.
- Oakley, Barbara, Evil Genes: Why Rome Fell, Hitler Rose, Enron Failed, and My Sister Stole My Mother's Boyfriend. Prometheus Books, Amherst, NY, 2007, ISBN 1-59102-665-2.
- Stone, Michael H., M.D. & Brucato, Gary, Ph.D., The New Evil: Understanding the Emergence of Modern Violent Crime (Amherst, N.Y.: Prometheus Books). ISBN 978-1-63388-532-5.
- Thiessen, W Slip-ups and the dangerous mind: Seeing through and living beyond the psychopath (2012).
- Thimble, Michael H.F.R.C.P., F.R.C. Psych. Psychopathology of Frontal Lobe Syndromes.
- Widiger T (1995). Personality Disorder Interview-IV, Chapter 4: Antisocial Personality Disorder. Psychological Assessment Resources, Inc. ISBN 978-0-911907-21-6.
External links



- Handbook of Psychopathy, 2nd Edition (2018) on Google Books.
- The Mask of Sanity, 5th Edition, PDF of Hervey Cleckley's book, 1988
- Without Conscience Official web site of Robert Hare
- Philpapers Psychopathy
- Understanding The Psychopath: Key Definitions & Research
- Psychopathy Is website
- The Paradox of Psychopathy Archived 2013-04-15 at the Wayback Machine Psychiatric Times, 2007 (nb: inconsistent access)
- Into the Mind of a Killer Nature, 2001
- "Can A Test Really Tell Who's A Psychopath?". npr.org. NPR.
NPR audio, text and expert panel report, 2011
- What Psychopaths Teach Us about How to Succeed Scientific American, October 2012
- "When Your Child is a Psychopath" in The Atlantic