Pyomyositis

Pyomyositis
Other namesTropical pyomyositis or Myositis tropicans
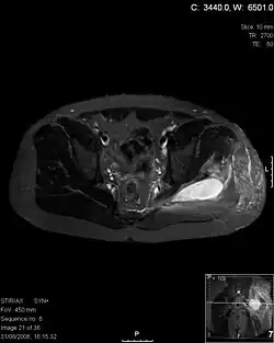
Transverse T2 magnetic resonance imaging section through the hip region showing abscess collection in a patient with pyomyositis.
SpecialtyRheumatology Edit this on Wikidata
Diagnostic methodDiagnostic method used for PM includes ultrasound, CT scan and MRI. Ultrasound can be helpful in showing muscular heterogeneity or a purulent collection but it is not useful during the first stage of the disease. CT scan can confirm the diagnosis before abscesses occur with enlargement of the involved muscles and hypodensity when abscess is present, terogenous attenuation and fluid collection with rim enhancement can be found. MRI is useful to assess PM and determine its localization and extension

Pyomyositis (Myositis tropicans) is a bacterial infection of the skeletal muscles which results in an abscess. Pyomyositis is most common in tropical areas but can also occur in temperate zones.

Pyomyositis can be classified as primary or secondary. Primary pyomyositis is a skeletal muscle infection arising from hematogenous infection, whereas secondary pyomyositis arises from localized penetrating trauma or contiguous spread to the muscle.[1]

Diagnosis

Diagnosis is done via the following manner:[2]

  • Pus discharge culture and sensitivity
  • X ray of the part to rule out osteomyelitis
  • Creatinine phosphokinase (more than 50,000 units)
  • MRI is useful
  • Ultrasound guided aspiration

Bioptates of affected muscle tissues show acute and chronic inflammatory cells, and in one case caused by influenza A infection muscle cells show lack of nuclei.[3]

Symptoms

Pyogenic symptoms usually are present in the following muscles:[4]

  • serratus anterior
  • pectoralis major
  • biceps
  • abdominal muscles
  • spinal muscles
  • glutei
  • iliopsoas
  • quadriceps
  • gastrocnemicus

The course of this disease is divided into three distinct phases. The invasive stage manifests as general muscle soreness and swelling without erythema and low-grade fever and lasts about ten days. The purulent-suppurative stage occurs after about 2-3 weeks and is associated with increased body temperature and muscle tenderness. In the third stage, sepsis occurs that can lead to serious complications, including death.[4]

Treatment

The abscesses within the muscle must be drained surgically (not all patients require surgery if there is no abscess). Antibiotics, such as vancomycin, teicoplanin, tigecycline, daptomycin or linezolid are given for a minimum of three weeks to clear the infection.[5][4] In some cases, co-trimoxazole is sufficient.[4]

Epidemiology

Pyomyositis is most often caused by the bacterium Staphylococcus aureus.[6] The infection can affect any skeletal muscle, but most often infects the large muscle groups such as the quadriceps or gluteal muscles.[5][7][8]

Pyomyositis is mainly a disease of children and was first described by Scriba in 1885. Most patients are aged 2 to 5 years, but infection may occur in any age group.[9][10] Infection often follows minor trauma and is more common in the tropics, where it accounts for 4% of all hospital admissions. In temperate countries such as the US, pyomyositis was a rare condition (accounting for 1 in 3000 pediatric admissions), but has become more common since the appearance of the USA300 strain of MRSA.[5][7][8]

Pyomyositis is inherently related to residency in tropical areas, especially in northern Uganda, where yearly about 400-900 cases are reported.[4] In these regions, the general population affected by this disease is not affected by other concommitant diseases. However, in temperate regions pyomyositis is usually present in immunocompromised indiviiduals or people affected by chronic renal failure or rheumatoid arthritis.[4]

Gonococcal pyomyositis is a rare infection caused by Neisseria gonorrhoeae.[11]

Pathogens invlovled in infectious pyomyositis[12]
Bacteria Fungi Parasites Viruses
Gram-positive Gram-negative Anaerobes Atypical bacteria
  • Staphylococcus aureus ★★★
  • Streptococcus spp. ★★/★
  • Aeromonas hydrophila
  • Burkolderia spp. ★
  • Citrobacter freundii ★★
  • Enterobacter spp. ★★
  • Escherichia coli ★★
  • Haemophilus influenzae
  • Klebsiella spp. ★
  • Morganella morganni
  • Neisseria gonorhhoeae
  • Pasteurella spp. ★
  • Proteus spp. ★
  • Pseudomonas spp. ★★
  • Salmonella spp. ★★
  • Serratia marcescnens
  • Vibrio vulnificus
  • Yersinia enterocolitica
  • Bacterioides spp. ★★
  • Clostridium spp. ★★
  • Fusobacterium spp. ★
  • Peptostreptococcus spp. ★★
  • Veillonella spp. ★
  • Mycobacterium spp. ★
  • Actinomyces spp. ★
  • Bacillus spp. ★
  • Bartonella spp. ★
  • Borrelia burdorferi
  • Brucella spp. ★★
  • Coxiella burnetii
  • Francisella tularensis
  • Legionella pneumophila
  • Leptospira spp. ★
  • Mycoplasma pneumoniae ★★
  • Nocardia spp. ★
  • Rickettsia spp. ★
  • Treponema pallidum
  • Aspergillus spp. ★
  • Blastomyces dermatitidis
  • Candida spp. ★★★
  • Coccidioides spp. ★
  • Cryptococcus neoformans
  • Fusarium spp. ★
  • Histoplasma capsulatum
  • Pneumocystis jiroveci
  • Entamoeba histolytica
  • Echinococcus spp. ★
  • Microsporida spp. ★
  • Onchocerca volvulus
  • Plasmodium spp. ★★
  • Sarcocystis spp. ★
  • Schitosoma spp. ★
  • Spirometra mansonoides
  • Taenia solium ★★
  • Toxocara canis
  • Toxoplasma gondii
  • Trichinella spp. ★★★
  • Trypanosoma cruzi
  • Adenovirus
  • Cytomegalovirus
  • Dengue virus ★
  • Enteroviridae ★★
  • Epstein-Barr virus ★
  • Hepatitis B and C virus ★
  • HIV ★★
  • HTLV-1 ★★
  • Influenza virus A and B ★★★
  • Mumps virus ★
  • Parainfluenza virus ★
  • Parvovirus B19 ★
  • Varicella-zoster virus ★
  • West Nile virus ★
Note: ★★★ – most common pathogens, ★★ – ocassionally cause pyomyositis, ★ – rare pathogens

Additional images

References

  1. ^ "Primary pyomyositis". UpToDate. Retrieved 6 March 2023.
  2. ^ "Orphanet: Pyomyositis". www.orpha.net. Retrieved 2025-07-13.
  3. ^ Radcliffe, Christopher; Gisriel, Savanah; Niu, Yu Si; Peaper, David; Delgado, Santiago; Grant, Matthew (2021-04-01). "Pyomyositis and Infectious Myositis: A Comprehensive, Single-Center Retrospective Study". Open Forum Infectious Diseases. 8 (4): ofab098. doi:10.1093/ofid/ofab098. ISSN 2328-8957. PMC 8047863.
  4. ^ a b c d e f "Orphanet: Pyomyositis". www.orpha.net. Retrieved 13 July 2025.
  5. ^ a b c Pannaraj PS, Hulten KG, Gonzalez BE, Mason EO Jr, Kaplan SL (2006). "Clin Infect Dis". Clinical Infectious Diseases. 43 (8): 953–60. doi:10.1086/507637. PMID 16983604.
  6. ^ Chauhan S, Jain S, Varma S, Chauhan SS (2004). "Tropical pyomyositis (myositis tropicans): current perspective". Postgrad Med J. 80 (943): 267–70. doi:10.1136/pgmj.2003.009274. PMC 1743005. PMID 15138315.
  7. ^ a b Ovadia D, Ezra E, Ben-Sira L, et al. (2007). "Primary pyomyositis in children: a retrospective analysis of 11 cases". J Pediatr Orthop B. 16 (2): 153–159. doi:10.1097/BPB.0b013e3280140548. PMID 17273045.
  8. ^ a b Mitsionis GI, Manoudis GN, Lykissas MG, et al. (2009). "Pyomyositis in children: early diagnosis and treatment". J Pediatr Surg. 44 (11): 2173–178. doi:10.1016/j.jpedsurg.2009.02.053. PMID 19944229.
  9. ^ Small LN, Ross JJ (2005). "Tropical and temperate pyomyositis". Infect Dis Clin North Am. 19 (4): 981–989. doi:10.1016/j.idc.2005.08.003. PMID 16297743.
  10. ^ Taksande A, Vilhekar K, Gupta S (2009). "Primary pyomyositis in a child". Int J Infect Dis. 13 (4): e149 – e151. doi:10.1016/j.ijid.2008.08.013. PMID 19013093.
  11. ^ Jensen M (2021). "Neisseria gonorrhoeae pyomyositis complicated by compartment syndrome: A rare manifestation of disseminated gonococcal infection". IDCases. 23: e00985. doi:10.1016/j.idcr.2020.e00985. PMC 7695882. PMID 33294370.
  12. ^ Crum-Cianflone, Nancy F. (July 2008). "Bacterial, Fungal, Parasitic, and Viral Myositis". Clinical Microbiology Reviews. 21 (3): 473–494. doi:10.1128/CMR.00001-08. ISSN 0893-8512. PMC 2493084. PMID 18625683.
  • Maravelas R, Melgar TA, Vos D, Lima N, Sadarangani S (2020). "Pyomyositis in the United States 2002-2014". J Infect. 80(5):497-503. doi:10.1016/j.jinf.2020.02.005. PMID 32147332.