Scapholunate advanced collapse
Scapholunate advanced collapse | |
---|---|
Other names | SLAC wrist |
![]() | |
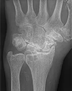
AP wrist x-ray demonstrating Stage III scapholunate advanced collapse | |
Specialty | Orthopedic surgery |
Risk factors | Wrist trauma |
Diagnostic method | Radiographic |
Differential diagnosis | Scaphoid fracture, distal radial fractures, avascular necrosis of the scaphoid, gout, pseudogout, rheumatoid arthritis, Kienbock disease, lunate fracture vs dislocation dorsal intercalated segmental instability |
Treatment | Non-surgical and surgical (fusion, joint replacement) |
Scapholunate advanced collapse (also known as SLAC wrist) is a type of wrist osteoarthritis. SLAC wrist is the most common type of post-traumatic wrist osteoarthritis[1] and is often the result of an undiagnosed or untreated scapholunate ligament rupture.[2] The condition follows a predictable pattern of development, which was first described by H. Kirk Watson, M.D. and Frederick L. Ballet, M.D. in 1984.[3][4] Diagnosis of SLAC wrist is made using wrist x-rays, but the diagnosis may be aided using certain provocative tests. Management and treatment of SLAC wrist depends on the stage at the time of diagnosis but includes both non-surgical and surgical options.
Epidemiology
In their initial study, Watson and Ballet identified SLAC wrist as the most common form of wrist osteoarthritis, occurring in 57% of 210 patients with wrist osteoarthritis.[3] SLAC wrist is more common in males, manual laborers, young people, and patients with a history of wrist trauma.[5]
Signs and symptoms
Common signs and symptoms of SLAC wrist include wrist pain with heavy use, grip strength weakness, and mild to moderate wrist swelling.[2]
Diagnosis
Scapholunate advanced collapse is a radiographic diagnosis. The Watson and Ballet classification identifies three stages of progressive wrist osteoarthritis that can be identified on a standard posterior-anterior (PA) wrist x-ray.
Stage I SLAC wrist
Stage I SLAC wrist involves the distal radioscaphoid joint.[3] The PA wrist x-ray will demonstrate radial styloid beaking (or localized scaphoid fossa arthrosis beginning at the radial styloid tip) and sclerosis and joint space narrowing of the radioscaphoid joint.[2]
Stage II SLAC wrist
Stage II SLAC wrist involves the entire radioscaphoid joint.[3] The PA wrist x-ray will demonstrate sclerosis and joint space narrowing between the entire radioscaphoid joint. [2]
Stage III SLAC wrist
Stage III SLAC wrist involves the entire radioscaphoid joint and the capitolunate joint.[3] The PA wrist x-ray will demonstrate sclerosis and joint space narrowing between the lunate and capitate. Over time, the capitate will migrate proximally into the space created by the scapholunate dissociation.[2] The radiographic findings in Stage III SLAC wrist are synonymous with the Terry-Thomas sign, indicating complete scapholunate dissociation.[2]

Diagnosis may be aided by certain provocative tests, including the scaphoid shift (Watson) test or the scaphoid ballotment test.[2] These tests do not confirm the presence of SLAC wrist, but positive test may indicate instability of the scapholunate ligament.
Management & treatment
The management and treatment of SLAC wrist depends on the stage at the time of diagnosis. The options for management can be separated into two broad categories: non-surgical and surgical. Less advanced SLAC wrist may be managed initially with non-surgical options including nonsteroidal anti-inflammatory drugs, wrist splinting, and steroid injections.[2] More advanced stages of SLAC wrist or SLAC wrist that is refractory to non-surgical management may be treated with surgical options including radial styloidectomy, proximal row carpectomy, scaphoid excision and four-corner fusion, wrist fusion, or wrist replacement (arthroplasty).[2]
References
- ^ França Bisneto, Edgard Novaes; Freitas, Maura Cristina; Leomil de Paula, Emygdio José; Mattar, Rames; Zumiotti, Arnaldo Valdir (January 2011). "Comparison between proximal row carpectomy and four-corner fusion for treating osteoarthrosis following carpal trauma: a prospective randomized study". Clinics. 66 (1): 51–55. doi:10.1590/S1807-59322011000100010. PMC 3044580. PMID 21437436.
- ^ a b c d e f g h i Lane, Robert; Tafti, Dawood; Varacallo, Matthew (2024), "Scapholunate Advanced Collapse", StatPearls, Treasure Island (FL): StatPearls Publishing, PMID 30725809, retrieved 2024-03-04
- ^ a b c d e McLean, Andrew; Taylor, Fraser (29 August 2018). "Classifications in Brief: Watson and Ballet Classification of Scapholunate Advanced Collapse Wrist Arthritis". Clinical Orthopaedics and Related Research. 477 (3): 663–666. doi:10.1097/CORR.0000000000000451. PMC 6382201. PMID 30179931.
- ^ Watson, H. K.; Ballet, F. L. (May 1984). "The SLAC wrist: scapholunate advanced collapse pattern of degenerative arthritis". The Journal of Hand Surgery. 9 (3): 358–365. doi:10.1016/s0363-5023(84)80223-3. ISSN 0363-5023. PMID 6725894.
- ^ Murphy, Blake D.; Nagarajan, Mahalakshmi; Novak, Christine B.; Roy, Mélissa; McCabe, Steven J. (January 2020). "The Epidemiology of Scapholunate Advanced Collapse". Hand. 15 (1): 23–26. doi:10.1177/1558944718788672. ISSN 1558-9447. PMC 6966289. PMID 30003815.