Stratified cuboidal epithelium
Stratified cuboidal epithelium | |
---|---|
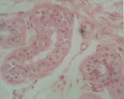
Stratified cuboidal epithelium in the ducts of the parotid gland, visible as the borders of the two circular structures in the upper left. | |
Details | |
Shape | Many layers of cuboid cells |
Identifiers | |
Latin | Epithelium stratificatum cuboideum |
TH | H2.00.02.0.02031 |
FMA | 63912 |
Anatomical terms of microanatomy |
This article is part of a series on |
Epithelia |
---|
Squamous epithelial cell |
Columnar epithelial cell |
Cuboidal epithelial cell |
Specialised epithelia |
|
Other |

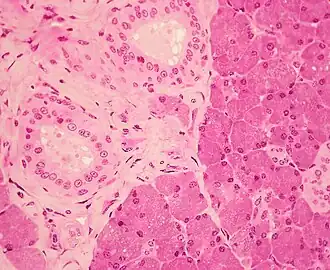
Stratified cuboidal epithelium is a type of epithelial tissue composed of multiple layers of cube-shaped cells. Only the most superficial layer is made up of cuboidal cells, and the other layers can be cells of other types. Topmost layer of skin epidermis in frogs, fish is made up of living cuboidal cells.
Structure
This type of tissue can be observed in sweat glands, mammary glands, circumanal glands, and salivary glands.[1][2] They protect areas such as the ducts of sweat glands,[3] mammary glands, and salivary glands. They are also observed in the linings of urethra.
References
- ^ "Epithelium" (in Chinese). KMU(高雄醫學大學).
- ^ "Stratified cuboidal epithelium" (in Chinese). KMU(高雄醫學大學).
- ^ Eroschenko, Victor P. (2008). "Integumentary System". DiFiore's Atlas of Histology with Functional Correlations. Lippincott Williams & Wilkins. pp. 212–234. ISBN 9780781770576.
External links
- Overview at umdnj.edu
- Histology at KUMC epithel-epith17 "Sweat Duct" (Stratified cuboidal)
- Histology image: 43_03 at the University of Oklahoma Health Sciences Center - "Skin"