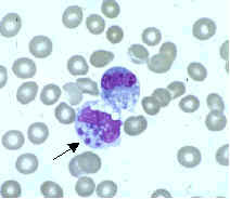
Ehrlichia chaffeensis

Taxonavigation
| Taxonavigation: Rickettsiales |
|---|
|
Prokaryota |
Familia: Anaplasmataceae
Genus: Ehrlichia
Genus: canis group
Species:
Strain: Ehrlichia chaffeensis str. Arkansas โ
Ehrlichia chaffeensis str. Sapulpa โ
References
- Ehrlichia chaffeensis โ Taxon details on National Center for Biotechnology Information (NCBI).