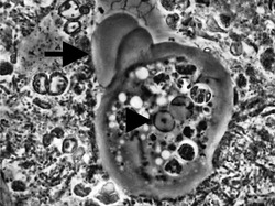
Entamoeba gingivalis

Taxonavigation
| Taxonavigation: Pelobiontida |
|---|
|
Superregnum: Eukaryota |
Familia: Entamoebidae
Genus: Entamoeba
Species:
Name
Entamoeba gingivalis (Gros, 1849) Brumpt (1910)
Synonyms
- Basionym
- Amoeba gingivalis Gros, Bull. Soc. Nat. Moscou 22(1): 555. 1849 ("Amoebea gengivalis")
- Homotypic
- Loeschia gingivalis (Gros, 1849) Castellani & Chalmers, 1913
- Endamoeba gingivalis (Gros, 1849) A.J.Smith, W.S. Middleton & M.T.Barrett, 1914
- Heterotypic
- Amoeba buccalis S.I.Steinb., 1862 ("Amiba buccalis")
- Entamoeba buccalis (S.I.Steinb., 1862) Frosch, 1909
- Loeschia buccalis (S.I.Steinb., 1862) Castellani & Chalmers, 1913
- Endamoeba buccalis (S.I.Steinb., 1862) A.J.Smith, W.S. Middleton & M.T.Barrett, 1914
- Amoeba dentalis Grassi, 1879
- Entamoeba dentalis (Grassi, 1879) Frosch, 1909
- Loeschia dentalis (Grassi, 1879) Castellani & Chalmers, 1913
- Amoeba pulmonalis Artault, 1898
- Amoeba kartulisi Doflein, 1901
- Entamoeba maxillaris Kartulis, nom. illeg. 1906 ≡ Amoeba kartulisi Doflein, 1901
- Entamoeba macrohyalina Tibaldi, 1920
- Entamoeba canibuccalis Simić, 1938
- Entamoeba equibuccalis Simić, 1938
- Entamoeba suigingivalis Tumka, 1959
References
Primary references
- Gros, G. 1849. Fragmens d'helminthologie et de physiologie microscopique. Bulletin de la Société impériale des naturalistes de Moscou 22(1): 549–573. BHL Reference page.
- Steinberg, S.I. (Штейнбергъ, С.И.) 1862. Изслѣдованiе бѣлаго мягкаго вещества, накопляющагося на зубахъ и между ними. Sovremennaya meditsina: ezhenedelnaya gazeta 3(20): 377–380; 3(21): 401–403; 3(22): 417–423; 3(23): 433–439; 3(24): 452–458. (Russian) Reference page.
- Grassi, G.B. 1879. Dei protozoi parassiti e specialmente di quelli che sono nell'uomo. Gazzetta medica italiana, Lombardia 39(45): 445–448. Google Books
Reference page. - Artault, S. 1898. Flore et faune des cavernes pulmonaires. Archives de Parasitologie 1: 217–307. PDF
Reference page. - Prowazek, S. 1904. Entamoeba buccalis n. sp. Vorläufige Mitteilung. Arbeiten aus dem Kaiserlichen Gesundheitsamte 21: 42–44. DOI: 10.25646/6371
Reference page.
Template:Verdun & Bruyant, 1907
- Frosch, P. 1909. Beitrag zur Biologie saprophytischer Amöben. Zeitschrift für Krebsforschung 8(2): 183–194. DOI: 10.1007/BF02016319 Reference page.
- Tibaldi, E. 1920. Sopra una nuova specie di ameba parasita trovata nelle tonsille (Entamoeba macrohyalina). Annali d'Igiene 30(10): 613–621. Reference page.
- Tumka, A.F. (Toomka, A.F.) (Тумка, А.Ф.) 1959. Новый вид паразитических амеб — амеба ротовой полости свиней (Entamoeba suigingivalis, sp. n.) (A new species of parasitic amoeba — amoeba of the mouth cavity of pigs — Entamoeba suigingivalis, sp. n.). Zoologicheskii Zhurnal 38(3): 481–483. (Russian) Reference page.