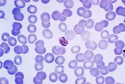
Plasmodium malariae

Taxonavigation
| Taxonavigation: Haemospororida |
|---|
|
Superregnum: Eukaryota |
Familia: Plasmodiidae
Genus: Plasmodium
Species:
Name
Plasmodium malariae (Feletti & Grassi, 1889)
Synonyms
- Basionym
- Heterotypic
- Haematophyllum malariae Metschn., Russk. Med. 1887(12): 208 (1887)
- Plasmodium malariae var. quartanae Celli and Sanfelice, 1891
- Haemamoeba laverani var. quartanae (Celli and Sanfelice) Labbe, 1894
- Plasmodium rodhaini Brumpt, 1939
References
Primary references
- Mechnikov, I.I. (Мечниковъ, И.) 1887. Къ ученiю о малярiи [On the study of malaria]. Russkaya meditsina 1887(12): 207–210. (Russian) Reference page.
Template:Feletti & Grassi, 1889
- Feletti, R. & Grassi, G.B. 1890. Sui parassiti della malaria. Riforma Medica 6(11): 62–64. Reference page.
Additional references
- ICZN 1954. Opinion 283. Opinions and Declarations rendered by the International Commission on Zoological Nomenclature 7: 225. [Plasmodium malariae (Feletti & Grassi, 1889)]. PDF

Vernacular names
- polski: Zarodziec pasmowy