Acantholysis
Acantholysis | |
---|---|
![]() | |
Pemphigus vulgaris | |
![]() | |
Specialty | Dermatology |
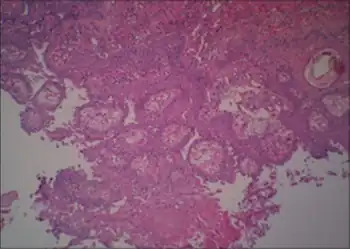
Acantholysis is the loss of intercellular connections, such as desmosomes, resulting in loss of cohesion between keratinocytes,[1] seen in diseases such as pemphigus vulgaris.[2] It is absent in bullous pemphigoid, making it useful for differential diagnosis.
It is also seen in Darier disease and Grover's disease.[3]
This histological feature is also seen in herpes simplex infections (HSV 1 and 2) and varicella zoster infections (chicken pox and shingles).

Biopsy section from trunk showing suprabasal acantholysis
See also
References
- โ Kumar, Vinay; Fausto, Nelso; Abbas, Abul (2004) Robbins & Cotran Pathologic Basis of Disease (7th ed.). Saunders. Page 1230. ISBN 0-7216-0187-1.
- โ "Acantholysis - Medical Definition from MediLexicon". medilexicon.com. Archived from the original on 2016-07-31. Retrieved 2017-04-22.
- โ Johnstone, Ronald B. (2017). "1. The basics". Weedon's Skin Pathology Essentials (2nd ed.). Elsevier. p. 3. ISBN 978-0-7020-6830-0. Archived from the original on 2024-02-15. Retrieved 2024-02-15.
External links
Classification |
|
---|
This article is issued from Wmcloud. The text is licensed under Creative Commons - Attribution - Sharealike. Additional terms may apply for the media files.