Acute tubular necrosis
| Acute tubular necrosis | |
|---|---|
![]() | |
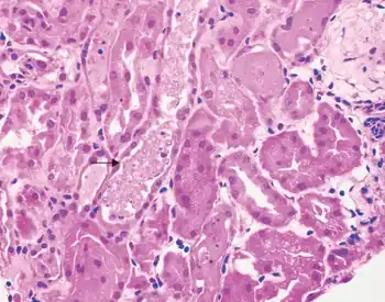
| Acute tubular necrosis-Necrotic and sloughed off tubule epithelial cells filling tubular lumens | |
| Specialty | Nephrology |
Acute tubular necrosis (ATN) is a medical condition involving the death of tubular epithelial cells that form the renal tubules of the kidneys. Because necrosis is often not present, the term acute tubular injury (ATI) is preferred by pathologists over the older name acute tubular necrosis (ATN).[1] ATN presents with acute kidney injury (AKI) and is one of the most common causes of AKI.[2] Common causes of ATN include low blood pressure and use of nephrotoxic drugs.[2] The presence of "muddy brown casts" of epithelial cells found in the urine during urinalysis is pathognomonic for ATN.[3] Management relies on aggressive treatment of the factors that precipitated ATN (e.g. hydration and cessation of the offending drug). Because the tubular cells continually replace themselves, the overall prognosis for ATN is quite good if the underlying cause is corrected, and recovery is likely within 7 to 21 days.[2]
Classification
ATN may be classified as either toxic or ischemic. Toxic ATN occurs when the tubular cells are exposed to a toxic substance (nephrotoxic ATN). Ischemic ATN occurs when the tubular cells do not get enough oxygen, a condition that they are highly sensitive and susceptible to, due to their very high metabolism.[4]
Toxic ATN
Toxic ATN can be caused by free hemoglobin or myoglobin, by medication including antibiotics such as aminoglycoside,[5] statins such as atorvastatin, bisphosphonates like pamidronate[6] and cytotoxic drugs such as cisplatin, or by intoxication (ethylene glycol, "anti-freeze").
Histopathology: Toxic ATN is characterized by proximal tubular epithelium necrosis (no nuclei, intense eosinophilic homogeneous cytoplasm, but preserved shape) due to a toxic substance (poisons, organic solvents, drugs, heavy metals). Necrotic cells fall into the tubule lumen, obturating it, and determining acute kidney failure. Basement membrane is intact, so the tubular epithelium regeneration is possible. Glomeruli are not affected.[2]
Ischemic ATN
Ischemic ATN can be caused when the kidneys are not sufficiently perfused for a long period of time (i.e. renal artery stenosis) or during shock. Hypoperfusion can also be caused by embolism of the renal arteries. Given their importance in massive nutrient and electrolyte reabsorption, the proximal tubule and medullary thick ascending limb require significant ATP and are most susceptible to ischemic damage. Thus, ischemic ATN specifically causes skip lesions through the tubules.[3]
Diagnosis
Acute tubular necrosis is classified as a "renal" (i.e. not pre-renal or post-renal) cause of acute kidney injury. Diagnosis is made by a FENa (fractional excretion of sodium) > 3% and presence of muddy casts (a type of granular cast) in urinalysis. On histopathology, there is usually tubulorrhexis, that is, localized necrosis of the epithelial lining in renal tubules, with focal rupture or loss of basement membrane.[7] Proximal tubule cells can shed with variable viability and not be purely "necrotic".[8][9][10][11][12]
Management
In hemodynamically unstable individuals, continuous renal replacement therapy is an option[13]
See also
References
- ↑ Desanti De Oliveira, B., Xu, K., Shen, T.H. et al. Molecular nephrology: types of acute tubular injury. Nat Rev Nephrol 15, 599–612 (2019). https://doi.org/10.1038/s41581-019-0184-x Archived 2022-05-16 at the Wayback Machine
- 1 2 3 4 "Acute Tubular Necrosis (ATN)". Nephrology Channel. HealthCommunities.com. 2008. Archived from the original on 2008-08-01. Retrieved 2008-09-23.
- 1 2 Goldman, Lee; Cecil, Russell L. (2008). Cecil medicine. Philadelphia, PA: Saunders Elsevier. p. 705. ISBN 978-0-8089-2377-0. OCLC 191854838.
- ↑ Goldman, Lee; Cecil, Russell L. (2008). Cecil medicine. Philadelphia, PA: Saunders Elsevier. ISBN 978-0-8089-2377-0. OCLC 191854838.
- ↑ Tulkens, P.M. (March 1989). "Nephrotoxicity of aminoglycoside antibiotics". Toxicology Letters. 46 (1–3): 107–123. doi:10.1016/0378-4274(89)90121-5. Archived from the original on 2022-05-16. Retrieved 2022-05-13.
- ↑ Banerjee, Debasish; Asif, Arif (May 2003). "Short-Term, High-Dose Pamidronate-Induced Acute Tubular Necrosis: The Postulated Mechanisms of Bisphosphonate Nephrotoxicity". American Journal of Kidney Diseases. 41 (5): e18.1-e18.6. doi:10.1016/S0272-6386(03)00214-2. Archived from the original on 2022-05-16. Retrieved 2022-05-13.
- ↑ TheFreeDictionary > tubulorrhexis Archived 2021-03-10 at the Wayback Machine Citing: The American Heritage Medical Dictionary 2007
- ↑ Glynne PA, Picot J, Evans TJ (November 2001). "Coexpressed nitric oxide synthase and apical beta(1) integrins influence tubule cell adhesion after cytokine-induced injury". Journal of the American Society of Nephrology. 12 (11): 2370–83. PMID 11675413. Archived from the original on 2022-05-16. Retrieved 2022-05-13.
- ↑ Glynne PA, Evans TJ (June 1999). "Inflammatory cytokines induce apoptotic and necrotic cell shedding from human proximal tubular epithelial cell monolayers". Kidney International. 55 (6): 2573–97. doi:10.1046/j.1523-1755.2002.t01-1-00456.x. PMID 10354308.
- ↑ Racusen LC (1998). "Epithelial cell shedding in acute renal injury". Clinical and Experimental Pharmacology & Physiology. 25 (3–4): 273–5. doi:10.1111/j.1440-1681.1998.t01-3-.x. PMID 9590582.
- ↑ Solez K, Racusen LC, Marcussen N, et al. (May 1993). "Morphology of ischemic acute kidney injury, normal function, and cyclosporine toxicity in cyclosporine-treated renal allograft recipients". Kidney International. 43 (5): 1058–67. doi:10.1038/ki.1993.148. PMID 8510383.
- ↑ Racusen LC, Fivush BA, Li YL, Slatnik I, Solez K (April 1991). "Dissociation of tubular cell detachment and tubular cell death in clinical and experimental 'acute tubular necrosis'". Laboratory Investigation. 64 (4): 546–56. PMID 1673163.
- ↑ Hanif, Muhammad O.; Bali, Atul; Ramphul, Kamleshun (2022). "Acute Renal Tubular Necrosis". StatPearls. StatPearls Publishing. Archived from the original on 11 November 2020. Retrieved 16 May 2022.
External links
| Classification | |
|---|---|
| External resources |
