Adrenocorticotropic hormone deficiency
| Adrenocorticotropic hormone deficiency | |
|---|---|
| Other names: ACTH deficiency | |
![]() | |
| Autosomal recessive is the manner in which this condition is inherited | |
Adrenocorticotropic hormone deficiency is a result of a decreased or absent production of adrenocorticotropic hormone (ACTH) by the pituitary gland.[1] It can be associated with TBX19.[2]
Signs and symptoms
Symptoms include weakness, hypoglycemia, weight loss and decreased axillary and pubic hair. It can be either isolated or part of a generalised pituitary dysfunction. It can be life-threatening if not recognised.
Cause
The congenital form of this condition has been traced to mutations of the T-box 19 gene [3]
Diagnosis

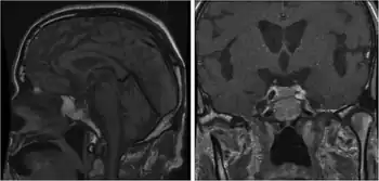
L,r)Magnetic resonance imaging after the onset of isolated adrenocorticotropic hormone deficiency
It is usually diagnosed on basis of an ACTH or insulin tolerance test in combination with the clinical symptoms.[4]
Treatment
Treatment is with hydrocortisone supplementation.
See also
References
- ↑ Drouin J, Bilodeau S, Vallette S (September 2007). "Of old and new diseases: genetics of pituitary ACTH excess (Cushing) and deficiency". Clin. Genet. 72 (3): 175–82. doi:10.1111/j.1399-0004.2007.00877.x. PMID 17718852. S2CID 25671033.
- ↑ Lamolet B, Pulichino AM, Lamonerie T, et al. (March 2001). "A pituitary cell-restricted T box factor, Tpit, activates POMC transcription in cooperation with Pitx homeoproteins". Cell. 104 (6): 849–59. doi:10.1016/S0092-8674(01)00282-3. PMID 11290323. S2CID 18054879.
- ↑ "ACTH Deficiency". NORD (National Organization for Rare Disorders). Archived from the original on 10 August 2021. Retrieved 1 July 2022.
- ↑ Cooper MS, Stewart PM (January 2005). "Diagnosis and treatment of ACTH deficiency". Rev Endocr Metab Disord. 6 (1): 47–54. doi:10.1007/s11154-005-5224-0. PMID 15711914. S2CID 27036419.
External links
| Classification |
|---|
This article is issued from Wmcloud. The text is licensed under Creative Commons - Attribution - Sharealike. Additional terms may apply for the media files.
