Angiolipoma
| Angiolipoma | |
|---|---|
| Other names: Other specified lipoma[1] | |
![]() | |
| Angiolipoma foot | |
| Symptoms | Multiple tender lumps just under the skin[1] |
| Usual onset | Second/third decade of life[1] |
| Causes | Unknown[1] |
| Prognosis | Good, typically do not recur[1] |
| Frequency | Common[1] |
Angiolipoma is a non-cancerous soft tissue tumor.[1] It generally presents as multiple tender lumps just under the skin, most frequently affecting the limbs and less commonly the trunk.[1]
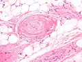
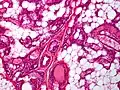
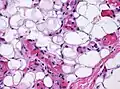
The cause is unknown.[1] It has all other features of a typical lipoma.[2]: 624 [3] When surgically removed, it appears yellow-red with a capsule.[1] Under the microscope, it features mature adipocytes and branching vessels of capillary size, which typically contain fibrin thrombi.[1]
Males are affected more frequently than females.[1] Around 5% of cases run in families in an autosomal dominant manner.[1]
Signs and symptoms
Large mediastinal angiolipoma
Pathology
Small vessels in adipose tissue
Small vessels in adipose tissue
Small vessels in adipose tissue
Small vessels in adipose tissue
The vessels typically contain hyaline or fibrin (pictured) thrombi[4]


Diagnosis
It may appear similar to Kaposi sarcoma and angiosarcoma.[1]
Treatment
See also
References
- 1 2 3 4 5 6 7 8 9 10 11 12 13 14 WHO Classification of Tumours Editorial Board, ed. (2020). "1. Soft tissue tumours: Angiolipoma". Soft Tissue and Bone Tumours: WHO Classification of Tumours. Vol. 3 (5th ed.). Lyon (France): International Agency for Research on Cancer. pp. 23–24. ISBN 978-92-832-4503-2.
- ↑ James, William; Berger, Timothy; Elston, Dirk (2005). Andrews' Diseases of the Skin: Clinical Dermatology. (10th ed.). Saunders. ISBN 0-7216-2921-0.
- ↑ Rapini, Ronald P.; Bolognia, Jean L.; Jorizzo, Joseph L. (2007). Dermatology: 2-Volume Set. St. Louis: Mosby. p. 1838. ISBN 1-4160-2999-0.
- ↑ Vijay Shankar. "Soft tissue - Adipose tissue tumors - Lipoma and variants - Angiolipoma". Pathology Outlines. Archived from the original on 2020-10-24. Retrieved 2021-01-07. Topic Completed: 1 August 2012. Minor changes: 20 March 2019
External links
| Classification |
|
|---|
This article is issued from Wmcloud. The text is licensed under Creative Commons - Attribution - Sharealike. Additional terms may apply for the media files.





