Aortoenteric fistula
| Aortoenteric fistula | |
|---|---|
![]() | |
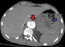
| Aorto enteric fistula and aortic dissection of the thoracic aorta. Arrow shows the flap in the aorta. Heterogeneity is blood in the stomach |
An aortoenteric fistula is a connection between the aorta and the intestines, stomach, or esophageus.[1] There can be significant blood loss into the intestines resulting in bloody stool and death.[1] It is usually secondary to an abdominal aortic aneurysm repair. The third or fourth portion of the duodenum is the most common site for aortoenteric fistulas, followed by the jejunum and ileum.
Diagnosis
Diagnosis is typically via a CT angiography, esophagogastroduodenoscopy, or arteriography.[1] It is part of the differential diagnosis of gastrointestinal bleeding.[2]
References
- 1 2 3 Xiromeritis, K; Dalainas, I; Stamatakos, M; Filis, K (Jul–Sep 2011). "Aortoenteric fistulae: present-day management". International Surgery. 96 (3): 266–73. doi:10.9738/0020-8868-96.3.266. PMID 22216707.
- ↑ Acosta, RD; Wong, RK (Oct 2011). "Differential diagnosis of upper gastrointestinal bleeding proximal to the ligament of Trietz". Gastrointestinal Endoscopy Clinics of North America. 21 (4): 555–66. doi:10.1016/j.giec.2011.07.014. PMID 21944410.
External links
This article is issued from Wmcloud. The text is licensed under Creative Commons - Attribution - Sharealike. Additional terms may apply for the media files.
