Balloon cell nevus
| Balloon cell nevus | |
|---|---|
![]() | |
| Specialty | Dermatology |
| Frequency | Rare |
Balloon cell nevus is a noncancerous mole.[1] It looks just like a melanocytic nevus.[2]
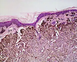
Under the microscope it is characterized by swollen, pale, polyhedral pigment producing cells, with pale cytoplasm and a central nucleus.[2] It is different to balloon cell melanoma,[3] which has larger nuclei and is structured like a melanoma.[1]
It was first described by Judalaewitsch in 1901.[3]
See also
References
- 1 2 James, William D.; Elston, Dirk; Treat, James R.; Rosenbach, Misha A.; Neuhaus, Isaac (2020). "30. Melanocytic nevi and neoplasms: Balloon cell nevus". Andrews' Diseases of the Skin: Clinical Dermatology (13th ed.). Edinburgh: Elsevier. pp. 690–691. ISBN 978-0-323-54753-6. Archived from the original on 2023-10-19. Retrieved 2023-10-07.
- 1 2 Johnstone, Ronald B. (2017). "32. Lentigines, nevi and melanomas". Weedon's Skin Pathology Essentials (2nd ed.). Elsevier. p. 535. ISBN 978-0-7020-6830-0. Archived from the original on 2023-07-01. Retrieved 2023-10-07.
- 1 2 Paul, Sharad P.; Inskip, Michael (2016). "Balloon Cell Nevi and Balloon Cell Melanomas: What Are They?". Clinical Cases in Skin Cancer Surgery and Treatment. Springer International Publishing: 101–113. doi:10.1007/978-3-319-20937-1_10. Archived from the original on 2018-06-11. Retrieved 2022-08-17.
External links
| Classification |
|---|
This article is issued from Wmcloud. The text is licensed under Creative Commons - Attribution - Sharealike. Additional terms may apply for the media files.
