Baritosis
| Baritosis | |
|---|---|
![]() | |
| Barium | |
Baritosis is a benign type of pneumoconiosis, which is caused by long-term exposure to barium dust.
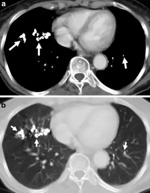
Barium has a high radio-opacity and the disease may develop after few months of exposure. Extremely dense, discrete small opacities of 2–4 mm diameter, sometimes of a star-like configuration, are seen on the radiograph. Their distribution is uniform. When they are very numerous, superimposition may give the impression of confluency, but this does not seem to occur in reality. The hilar lymph nodes can be very opaque but not enlarged. After cessation of exposure, there is a gradual clearing of the opacities.
Symptoms and signs
- Cough
- Wheezing
- Nasal irritation
In some cases, it is asymptomatic.
Diagnosis
.png.webp)
The barium particles can be seen as opaque shadows on the chest X-rays of people with baritosis. However, being a benign condition, it neither interferes with lung function nor causes symptoms other than a mild cough.
After exposure to barium dust ceases, the X-ray abnormalities gradually resolve.[1]
Treatment
Once diagnosis has been confirmed, the most effective treatment is to eliminate exposure to barium dust. When a persistent cough is present, expectorants may be prescribed to help cough out the sputum and barium particles. Cough suppressants and/or NSAIDS may be used to help reduce irritation and inflammation.
References
- ↑ Doig AT (February 1976). "Baritosis: a benign pneumoconiosis". Thorax. 31 (1): 30–9. doi:10.1136/thx.31.1.30. PMC 470358. PMID 1257935.
- http://www.wrongdiagnosis.com/b/baritosis/intro.htm Archived 2010-01-14 at the Wayback Machine
- https://www.epainassist.com/chest-pain/lungs/baritosis Archived 2022-12-05 at the Wayback Machine
External links
| Classification |
|---|
