Blastomycosis-like pyoderma
Blastomycosis-like pyoderma | |
---|---|
Other names: Pyoderma vegetans[1] | |
![]() | |
Specialty | Dermatology |
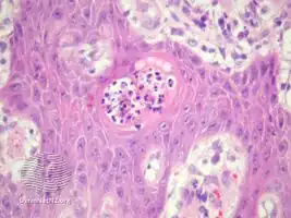
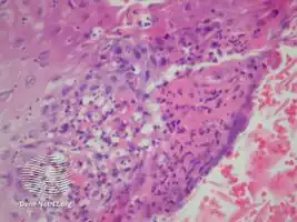
Blastomycosis-like pyoderma is a cutaneous condition characterized by large verrucous plaques with elevated borders and multiple pustules.[2]
- Blastomycosis-like pyoderma/pathology
- Blastomycosis-like pyoderma/pathology
- Blastomycosis-like pyoderma/pathology
- Blastomycosis-like pyoderma/pathology
- Blastomycosis-like pyoderma/pathology
- Blastomycosis-like pyoderma/pathology
See also
References
- ↑ Rapini, Ronald P.; Bolognia, Jean L.; Jorizzo, Joseph L. (2007). Dermatology: 2-Volume Set. St. Louis: Mosby. ISBN 978-1-4160-2999-1.
- ↑ James, William D.; Elston, Dirk; Treat, James R.; Rosenbach, Misha A.; Neuhaus, Isaac (2020). "14. Bacterial infections". Andrews' Diseases of the Skin: Clinical Dermatology (13th ed.). Edinburgh: Elsevier. p. 270. ISBN 978-0-323-54753-6. Archived from the original on 2023-06-30. Retrieved 2023-06-01.
External links
Classification | |
---|---|
External resources |
This article is issued from Wmcloud. The text is licensed under Creative Commons - Attribution - Sharealike. Additional terms may apply for the media files.