Bornholm disease

Bornholm disease
Other names: Epidemic pleurodynia, epidemic myalgia, devils grip, Bamble disease
Coxsackie B virus-the most common cause of Bornholm disease
Pronunciation
  • Born-howlm
SymptomsIntermittent pleuritic chest pain, intermittent abdominal pain, fever
ComplicationsRare complications include myocarditis, respiratory failure, hepatic necrosis with coagulopathy, and disseminated intravascular coagulopathy (DIC)
Duration1 day to 1 week
CausesCoxsackie B, Coxsackie A, Echovirus
Diagnostic methodclinical diagnosis after ruling out more emergent causes of chest and abdominal pain
Differential diagnosisAcute appendicitis, cholecystitis, pancreatitis, pulmonary embolism, acute coronary syndrome, costochondritis, amongst others
PreventionHand hygiene
TreatmentNSAIDs, intercostal Lidocaine injections, symptomatic treatment
PrognosisFavorable
DeathsNone reported

Bornholm disease, also known as epidemic pleurodynia,[1] is a condition characterized by myositis of the abdomen or chest caused by the Coxsackie B virus or other viruses.[2] The myositis manifests as an intermittent stabbing pain in the musculature that is seen primarily in children and young adults.[3]

It is named after the Danish island of Bornholm in the Baltic Sea where an outbreak was one of the first to be described.

Signs and symptoms

The expected symptoms of Bornholm disease include fever, pleuritic chest pain, or epigastric abdominal pain that is frequently spasmodic.[4] Bornholm associated chest pain is distinguished by attacks of severe pain in the lower chest, often on the right side. In a prior study, the episodes were shown to last five to ten minutes and then subside for thirty minutes. The pain is exacerbated by movement and makes walking and breathing more difficult. Patients have found relief from the pain by lying still for a brief period of time.[5] The slightest movement of the rib cage causes a sharp increase in pain, which makes it difficult to breathe, although it generally passes off before any actual harm occurs. The attacks are unpredictable and strike "out of the blue" with a feeling like an iron grip around the rib cage. The colloquial names for the disease, such as the devil's grip, (see "other names" below) reflect this symptom.[6] Bornholm disease is a clinical diagnosis that uses the spasmodic pain, fever, and relapses to distinguish the illness from other potential causes of pain such as appendicitis or myocardial infarction.[5] Tachycardia and arrhythmias have been found with Bornholm disease by using an electrocardiogram (ECG). Murmurs, rubs, and pericardial effusions have been detected on physical examination. Maculopapular rashes can also be present with Bornholm disease [3]

Cause

Inoculation of throat washings taken from people with this disease into the brains of newborn mice revealed that enteroviruses in the Coxsackie B virus group were likely to be the cause of pleurodynia,[7] and those findings were supported by subsequent studies of IgM antibody responses measured in serum from people with pleurodynia.[8] Other viruses in the enterovirus family, including echovirus and Coxsackie A virus, are less frequently associated with pleurodynia.[9] Echovirus types 1,6,8,9, and 19 and Coxsackie A virus types 4,6,9, and 10 are associated with Bornholm disease. The most common strains causing Bornholm disease are Coxsackie B3 and A9. Viral proliferation in the muscles of the chest wall, diaphragm, and abdomen are thought to contribute to the typical presentation that characterizes the illness.[10]

Diagnosis

In a studied case of Bornholm disease the chest pain was unable to be reproduced on palpation and failed to improve with changes in position. The pain was made worse during deep inhalation. A pleural rub was present, however lung auscultation was clear and rashes were absent.[10]

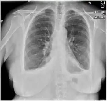
Imaging

Radiograph of chest shows small bilateral pleural effusions with no airspace disease

In a prior case of Bornholm disease the laboratory results showed the white blood cell count, hemoglobin, hematocrit, creatinine, liver function test (LFT), troponin, and creatine kinase (CK) were all within normal limits. The chest x-ray showed bilateral pleural effusions which resolved after infection. The erythrocyte sedimentation rate (ESR) and C-reactive protein (CRP) levels were found to be elevated. The electrocardiogram (EKG) did not show any abnormalities related to ischemia.[10]

Differential diagnoses

The DDx for this disease is as follows:[10]

Treatment

Treatment is symptomatic and includes the administration of non-steroidal anti-inflammatory agents or the application of heat to the affected muscles. Intercostal 2% xylocaine injections with normal saline have been used to relieve symptoms in certain cases.[11] Relapses during the weeks following the initial episode are a characteristic feature of this disease.[12] Bornholm disease typically lasts between one day and one week with an average illness duration of four days. In 20% of cases studied, the illness lasted between one and two weeks. The illness in children was found to be shorter than the illness in adults.[13]

Prognosis

Individuals typically make a complete recovery with supportive care.[14] Although recovering from Bornholm disease is expected, some rare complications include myocarditis, respiratory failure, hepatic necrosis with coagulopathy, and disseminated intravascular coagulopathy (DIC).[15] Aseptic meningitis, pericarditis and pleurisy are also known potential complications of Bornholm disease.[3] Another uncommon complication is orchitis that manifests as unilateral testicular pain and swelling in the days or weeks following the expected symptoms of Bornholm disease.[16]

Epidemiology

The most common cause of Bornholm disease, Coxsackie B virus, is shed in large amounts in the feces of infected persons and is spread primarily through the fecal-oral route.[17] Respiratory secretions and oral-oral methods have also shown to be modes of transmission.[18] In previous cases the disease has been spread by sharing drink containers,[6] and has been contracted by laboratory personnel working with the virus.[7] The pharynx is typically the initial site for entering the body, however the virus will proliferate in lymphatic tissues and use the blood stream to reach the muscles and produce symptoms. Preventative measures to decrease transmission of the virus causing Bornholm disease emphasize hand hygiene. In previous studies of Bornholm disease the majority of the patients affected were children.[5]

History

In 1872, Anders Daae and Christian Horrebow Homann reported an epidemic of pleurodynia occurring in the community of Bamble, Norway, giving rise to the name "Bamble disease". Subsequent reports, published only in Norwegian, referred to the disease by this name. Niels Ryberg Finsen also described the disease in Iceland in 1874.[19] In 1933, Ejnar Sylvest gave a doctoral thesis describing a Danish outbreak of this disease on Bornholm Island entitled "Bornholm disease-myalgia epidemica", and this name has persisted. In 1949 the Coxsackie B virus was isolated and established as an etiology of Bornholm disease.[12]

Bornholm disease is also known as Bamble disease,[12] the devil's grip, devil's grippe, epidemic myalgia, epidemic pleurodynia.[6]

References

  1. Hopkins, JH (May 1950). "Bornholm disease". British Medical Journal. 1 (4664): 1230–2. doi:10.1136/bmj.1.4664.1230. PMC 2038054. PMID 15420445.
  2. "epidemic pleurodynia" at Dorland's Medical Dictionary
  3. 1 2 3 Johannessen, I.; Burns, S.M. (2012). Picornaviruses: Meningitis; paralysis, rashes, intercostal myositis; myocarditis; infectious hepatitis; common cold. Churchill Livingstone. pp. 483–496. doi:10.1016/B978-0-7020-4089-4.00063-9. ISBN 9780702040894. Archived from the original on 2021-08-09. Retrieved 2023-02-16.
  4. Johnsson, T (1954). "Studies on the etiology of Bornholm disease (epidemic pleurodynia). II. Epidemiological observations". Archiv für die gesamte Virusforschung. 5 (4): 401–412. doi:10.1007/BF01243009. PMID 13171858. S2CID 11226206. Archived from the original on 2022-09-30. Retrieved 2023-02-16.
  5. 1 2 3 Warin, JF; Davies, JB; Sanders, FK; Vizosa, AD (June 1953). "Oxford epidemic of Bornholm disease, 1951". Br Med J. 1 (4824): 1345–51. doi:10.1136/bmj.1.4824.1345. PMC 2016648. PMID 13042253.
  6. 1 2 3 Ikeda RM, Kondracki SF, Drabkin PD, Birkhead GS, Morse DL (November 1993). "Pleurodynia among football players at a high school. An outbreak associated with coxsackievirus B1". JAMA. 270 (18): 2205–6. doi:10.1001/jama.270.18.2205. PMID 8411604.
  7. 1 2 Weller, TH; Enders, JF; Buckingham, M; Finn, JJ (September 1950). "The etiology of epidemic pleurodynia: a study of two viruses isolated from a typical outbreak". J. Immunol. 65 (3): 337–46. doi:10.4049/jimmunol.65.3.337. PMID 14774516. S2CID 32388798. Archived from the original on 2019-12-13. Retrieved 2023-02-16.
  8. Schmidt NJ, Magoffin RL, Lennette EH (September 1973). "Association of group B coxsackie viruses with cases of pericarditis, myocarditis, or pleurodynia by demonstration of immunoglobulin M antibody". Infect. Immun. 8 (3): 341–8. doi:10.1128/iai.8.3.341-348.1973. PMC 422854. PMID 4199715.
  9. Bell EJ, Grist NR (July 1971). "ECHO viruses, carditis, and acute pleurodynia". Am. Heart J. 82 (1): 133–5. doi:10.1016/0002-8703(71)90173-6. PMID 5581711.
  10. 1 2 3 4 Lal, Amos; Akhtar, Jamal; Isaac, Sangeetha; Mishra, Ajay; Khan, Mohammad; Noreldin, Mohsen; Abraham, George (2018). "Unusual cause of chest pain, Bornholm Disease, a forgotten entity; case report and review of literature". Respiratory Medicine Case Reports. ELSEVIER. 25: 270–273. doi:10.1016/j.rmcr.2018.10.005. PMC 6197799. PMID 30364740.
  11. Tagarakis, G; et, al (2011). "Bornholm disease-a pediatric clinical entity that can alert a thoracic surgeon". Journal of Paediatrics and Child Health. 47 (10): 242. doi:10.1111/j.1440-1754.2011.02054.x. PMID 21501275. S2CID 196244700.
  12. 1 2 3 Vogelsang TM (January 1967). "The occurrence of Bamble Disease (epidemic pleurodynia) in Norway". Med Hist. 11 (1): 86–90. doi:10.1017/s0025727300011765. PMC 1033670. PMID 5341038.
  13. Warin, J.F.; Davies, J.B.M; Sanders, F.K.; Vizoso, A.D. (1951). "Oxford Epidemic of Bornholm Disease". British Medical Journal. 1 (4824): 1345–1351. doi:10.1136/bmj.1.4824.1345. PMC 2016648. PMID 13042253.
  14. Chong, A.Y.H; Lee, L.H.; Wong, H.B. (1975). "Epidemic Pleurodynia (Bornholm Disease) outbreak in Singapore. A clinical and virological study (Article)". Tropical and Geographic Medicine. 27 (2): 151–159. PMID 1179480.
  15. Lee, Chia-Jie; Huang, Yhu-Chering; Yang, Shuan; Tsao, Kuo-Chien; Chen, Chih-Jung; Hsieh, Yu-Chia; Chiu, Cheng-Hsun; Lin, Tzou-Yien (2014). "Clinical features of coxsackievirus A4, B3, and B4 infections in children". PLOS ONE. 9 (2): e87391. Bibcode:2014PLoSO...987391L. doi:10.1371/journal.pone.0087391. PMC 3913601. PMID 24504149.
  16. Craighead, John (2007). "CHAPTER 1 - Enteroviruses". Pathology and Pathogenesis of Human Viral Disease-Chapter 1- Enteroviruses. Academic Press. pp. 1–28. doi:10.1016/B978-012195160-3/50002-9. ISBN 9780121951603. Archived from the original on 2021-10-21. Retrieved 2023-02-16.
  17. Chong AY, Lee LH, Wong HB (June 1975). "Epidemic pleurodynia (Bornholm disease) outbreak in Singapore. A clinical and virological study". Trop Geogr Med. 27 (2): 151–9. PMID 1179480.
  18. Wikswo, Mary; Khetsuriani, Nino; Fowlkes, Ashley; Zheng, Xiaotian; Penaranda, Silvia; Verma, Natasha; Shulman, Stanford; Sircar, Kanta; Robinson, Christine; Schmidt, Terry; Schnurr, David; Oberste, Steven (Sep 1, 2009). "Increased activity of Coxsackievirus B1 strains associated with severe disease among young infants in the United States, 2007-2008". Clinical Infectious Diseases. 49 (5): e44–e51. doi:10.1086/605090. PMID 19622041.
  19. Huebner, Robert; Risser, Joe; Bell, Joseph; Beeman, Edward; Beigelman, Paul; Strong, James (1953). "Epidemic Pleurodynia in Texas- A Study of 22 Cases". New England Journal of Medicine. 248 (7): 267–274. doi:10.1056/NEJM195302122480701. PMID 13025678.
Classification
External resources
This article is issued from Wmcloud. The text is licensed under Creative Commons - Attribution - Sharealike. Additional terms may apply for the media files.