Calcifying aponeurotic fibroma

Cacifying aponeurotic fibroma
Other names: Aponeurotic fibroma, juvenile aponeurotic fibroma[1]
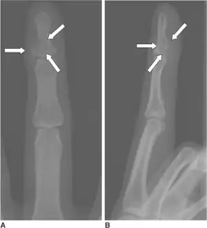
Calcifying aponeurotic fibroma-a,b)Show eccentrically located osteolytic lesion at base of distal phalanx
SymptomsPainless, irregular soft tissue lump[1]
Usual onsetChildren, teenagers[1]
CausesUnknown[1]
TreatmentResection[1]
PrognosisUp to 50% may recur[1]
FrequencyRare[1]

Calcifying aponeurotic fibroma is a non-cancerous fibroblastic and myofibroblastic tumor, a type of soft tissue tumor, that typically presents as a painless, irregular nodule most frequently in hands and feet of children and teenagers.[1][2] It is often adherent to tendon and aponeurosis.[1]

The cause is unknown.[1] Up to 50% may recur years after resection.[1]

The condition is rare.[1]

Naming

The World Health Organization, 2020, reclassified calcifying aponeurotic fibroma nodules as a specific benign type of the fibroblastic and myofibroblastic tumors.[3]

See also

References

  1. 1 2 3 4 5 6 7 8 9 10 11 12 WHO Classification of Tumours Editorial Board, ed. (2020). "1. Soft tissue tumours: Calcifying aponeurotic fibroma". Soft Tissue and Bone Tumours: WHO Classification of Tumours. Vol. 3 (5th ed.). Lyon (France): International Agency for Research on Cancer. pp. 74–75. ISBN 978-92-832-4503-2.
  2. Demicco, Elizabeth G. (2023). "3. Fibroblastic and myofibroblastic tumors". In Folpe, Andrew L.; Nielsen, Gunnlaugur Petur (eds.). Bone and Soft Tissue Pathology: A Volume in the Foundations in Diagnostic Pathology Series (2nd ed.). Philadelphia: Elsevier. ISBN 978-0-323-75871-0. Archived from the original on 2023-03-02. Retrieved 2023-03-02.
  3. Sbaraglia M, Bellan E, Dei Tos AP (April 2021). "The 2020 WHO Classification of Soft Tissue Tumours: news and perspectives". Pathologica. 113 (2): 70–84. doi:10.32074/1591-951X-213. PMC 8167394. PMID 33179614.
This article is issued from Wmcloud. The text is licensed under Creative Commons - Attribution - Sharealike. Additional terms may apply for the media files.