Charcot–Bouchard aneurysm
Charcot–Bouchard aneurysm | |
---|---|
Other names: Miliary aneurysms, Microaneurysms | |
![]() | |
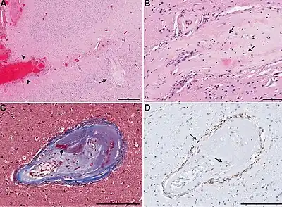
a) Charcot–Bouchard aneurysm in superficial cortical layer b) higher magnification of CBA with fibrosis and foamy macrophages c) CBA in the mid cortex, trichrome stains collagen blue and focal fibrin red d) CD163 immunostain highlights macrophages surrounding and within the CBA | |
![]() | |
Diagnostic method | CT or MRI brain scan |
Charcot–Bouchard aneurysms are aneurysms of the brain vasculature which occur in small blood vessels (less than 300 micrometre diameter). Charcot–Bouchard aneurysms are most often located in the lenticulostriate vessels of the basal ganglia and are associated with chronic hypertension.[1] Charcot–Bouchard aneurysms are a common cause of cerebral hemorrhage.
Retinal microaneurysms are seen in conditions like diabetic retinopathy,[2]: 498 HIV related retinal microangiopathy,[2]: 467 sickle cell retinopathy,[2]: 533 idiopathic macular telangiectasia[2]: 601 etc. In diabetic retinopathy, due to breakdown in blood–retinal barrier, microaneurysms may leak plasma constituents into the retina, or it may thrombose.[2]: 498
Signs and symptoms
If a Charcot–Bouchard aneurysm ruptures, it will lead to an intracerebral hemorrhage, which can cause hemorrhagic stroke, typically experienced as a sudden focal paralysis or loss of sensation.[1]
Pathophysiology
Charcot–Bouchard aneurysms are aneurysms in the small penetrating blood vessels of the brain. They are associated with hypertension. The common artery involved is the lenticulostriate branch of the middle cerebral artery. Common locations of hypertensive hemorrhages include the putamen, caudate, thalamus, pons, and cerebellum.
As with any aneurysm, once formed they have a tendency to expand and eventually rupture, in keeping with the Law of Laplace.[3][4]
Diagnosis
Usually not detected by CT angiography.[4] Retinal microaneurysms can be diagnosed using ophthalmoscopy, fundus photography, FFA, and OCT.[5]
Treatment
The management of Charcot–Bouchard aneurysms in the event of intracerebral hemorrhage is:[6]
- Secure the airway
- Blood pressure control
- Maintaining circulation with pressors
- Surgery(may be needed)
History
Charcot–Bouchard aneurysms are named for the French physicians Jean-Martin Charcot and Charles-Joseph Bouchard.[7][8] Bouchard discovered these aneurysms during his doctoral research under Charcot.[9]
See also
References
- 1 2 Fausto, [ed. by] Vinay Kumar; Abul K. Abbas; Nelson (2005). Robbins and Cotran Pathologic Basis of Disease (7th ed.). Philadelphia: Elsevier/Saunders. ISBN 978-0-7216-0187-8.
- 1 2 3 4 5 Salmon, John F. (2020). Kanski's clinical ophthalmology: a systematic approach (9th ed.). [Edinburgh]. ISBN 978-0-7020-7713-5. OCLC 1131846767.
- ↑ E. Goljan, Pathology, 2nd ed. Mosby Elsevier, Rapid Review Series.
- 1 2 Nussbaum ES, Erickson DL. The fate of intracranial microaneurysms treated with bipolar electrocoagulation and parent vessel reinforcement. Neurosurgery. doi:10.1097/00006123-199911000-00031 . PMID 105499341999;45(5):1172-4; discussion 1174-5.
- ↑ Dubow, Michael; Pinhas, Alexander; Shah, Nishit; Cooper, Robert F.; Gan, Alexander; Gentile, Ronald C.; Hendrix, Vernon; Sulai, Yusufu N.; Carroll, Joseph; Chui, Toco Y. P.; Walsh, Joseph B. (2014-03-01). "Classification of Human Retinal Microaneurysms Using Adaptive Optics Scanning Light Ophthalmoscope Fluorescein Angiography". Investigative Ophthalmology & Visual Science. 55 (3): 1299–1309. doi:10.1167/iovs.13-13122. ISSN 1552-5783. PMC 3943418. Archived from the original on 2022-07-02. Retrieved 2022-12-23.
- ↑ Gupta, Kashvi; M Das, Joe (2023). "Charcot-Bouchard Aneurysm". StatPearls. StatPearls Publishing. Archived from the original on 17 August 2021. Retrieved 6 August 2023.
- ↑ synd/28 at Who Named It?
- ↑ C. J. Bouchard. Étude sur quelques points de la pathogénie des hémorrhagies cérébrales. Paris, 1867.
- ↑ Gupta, Kashvi; M Das, Joe (2020), "Charcot Bouchard Aneurysm", StatPearls, Treasure Island (FL): StatPearls Publishing, PMID 31971704, archived from the original on 2021-08-17, retrieved 2021-01-01