Chondroma
| Chondroma | |
|---|---|
![]() | |
| Multiple chondromata of fingers | |
| Specialty | Infectious diseases |
| Symptoms | Swellings in fingers[1] |
| Frequency | rare[1] |
A chondroma is a noncancerous cartilaginous tumor, usually in the fingers.[1][2]
It is very rare.[1]
Classification
Based upon location, a chondroma can be described as an enchondroma or ecchondroma.
- enchondroma - tumor grows within the bone and expands it
- ecchondroma - grows outward from the bone (rare)
Signs and symptoms
They can be single or multiple (Ollie's disease), and have a tendency to occur in fingers and toes where the bones are like tubes.[2][3]
Mechanism
Tumor cells (chondrocytes, cartilaginous cells) resemble normal cells and produce the cartilaginous matrix (amorphous, basophilic material).
Diagnosis
A well-defined area of bone loss in the medulla of the bone is seen on x-ray.[2]
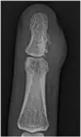
X-Ray right middle finger: juxta-cortical chondroma
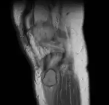
MRI right knee: periosteal chondroma
Treatment
Treatment involves surgical removal of the tumor and bone grafted bone grafting.[2]
See also
References
- 1 2 3 4 Johnstone, Ronald B. (2017). "36. Tumours of muscle, cartilage and bone". Weedon's Skin Pathology Essentials (2nd ed.). Elsevier. p. 658. ISBN 978-0-7020-6830-0. Archived from the original on 2021-05-25. Retrieved 2021-06-14.
- 1 2 3 4 "Bone tumours. What are Bone Tumours?". patient.info. Archived from the original on 24 April 2021. Retrieved 24 April 2021.
- ↑ Lakshmanan, Palaniappan (11 July 2019). "Chondroma: Background, Pathophysiology, Epidemiology". Medscape. Archived from the original on 3 May 2021. Retrieved 3 May 2021.
External links
- Photo in Atlas of Pathology Archived 2021-08-29 at the Wayback Machine
| Classification |
|---|
Template:Oncology-stub
This article is issued from Wmcloud. The text is licensed under Creative Commons - Attribution - Sharealike. Additional terms may apply for the media files.
