Danon disease
| Danon disease | |
|---|---|
| Other names: Lysosomal glycogen storage disease with normal acid maltase activity, GSD due to LAMP-2 deficiency | |
![]() | |
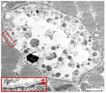
| Electron microscopy in skeletal muscles in individual with Danon disease (vacuoles had autophagic nature ) | |
Danon disease (or glycogen storage disease Type IIb) is a metabolic disorder.[1] Danon disease is an X-linked lysosomal and glycogen storage disorder associated with hypertrophic cardiomyopathy, skeletal muscle weakness, and intellectual disability.[2] It is inherited in an X-linked dominant pattern.[1]
Symptoms and signs
Males
In males the symptoms of Danon Disease are more severe. Features of Danon Disease in males are:
- An early age of onset of muscle weakness and heart disease (onset in childhood or adolescence)
- Some learning problems or intellectual disability can be present
- Muscle weakness can be severe and can affect endurance and the ability to walk
- Heart disease (cardiomyopathy) can be severe and can lead to a need for medications. It usually progress to heart failure, commonly complicated by atrial fibrillation and embolic strokes with severe neurological disability,[3] leading to death unless heart transplant is performed.
- Cardiac conduction abnormalities can occur. Wolff-Parkinson-White syndrome is a common conduction pattern in Danon disease.
- Symptoms are usually gradually progressive
- Some individuals may have visual disturbances, and/or retinal pigment abnormalities
- Danon Disease is rare and unfamiliar to most physicians. It can be mistaken for other forms of heart disease and/or muscular dystrophies, including Pompe disease.
Females
In females the symptoms of Danon Disease are less severe. Common symptoms of Danon Disease in females are:
- A later age of onset of symptoms. Many females will not have obvious symptoms until late adolescence or even adulthood.
- Learning problems and intellectual disability are usually absent.
- Muscle weakness is often absent or subtle. Some females will tire easily with exercise
- Cardiomyopathy is often absent in childhood. Some women will develop this in adulthood. Cardiomyopathy can be associated with atrial fibrillation and embolic strokes.
- Cardiac conduction abnormalities can occur. Wolff-Parkinson-White syndrome is a common conduction pattern in Danon disease.
- Symptoms in females progress more slowly than in males.
- Some females may have visual disturbances, and/or retinal pigment abnormalities
- Danon Disease is rare and unfamiliar to most physicians. The milder and more subtle symptoms in females can make it more difficult to diagnose females with Danon Disease
Causes
Although the genetic cause of Danon Disease is known, the mechanism of disease is not well understood. Danon disease involves a genetic defect (mutation) in a gene called LAMP2, which results in a change to the normal protein structure. While the function of the LAMP2 gene is not well understood, it is known that LAMP2 protein is primarily located in small structures within cells called lysosomes.
Genetics
It is associated with LAMP2.[4] The status of this condition as a GSD has been disputed.[5]
Diagnosis

Making a diagnosis for a genetic or rare disease can often be challenging. Healthcare professionals typically look at a person’s medical history, symptoms, physical exam, and laboratory test results in order to make a diagnosis. The following resources provide information relating to diagnosis and testing for this condition. If you have questions about getting a diagnosis, you should contact a healthcare professional.
Testing Resources The Genetic Testing Registry (GTR) provides information about the genetic tests for this condition. The intended audience for the GTR is health care providers and researchers. Patients and consumers with specific questions about a genetic test should contact a health care provider or a genetics professional. Orphanet lists international laboratories offering diagnostic testing for this condition.
Treatment
RP-A501 is an AAV-based gene therapy aimed to restore the LAMP-2 gene which is defective in male patients afflicted with Danon Disease and how to cure it.[6] Cardiac transplantation has been performed as a treatment; however, most patients die early in life. [7]
History
Danon disease was characterized by Moris Danon in 1981.[8] Dr. Danon first described the disease in 2 boys with heart and skeletal muscle disease (muscle weakness), and intellectual disability.
The first case of Danon disease reported in the Middle East was a family diagnosed in the eastern region of United Arab Emirates with a new LAMP2 mutation; discovered by the Egyptian cardiologist Dr. Mahmoud Ramadan[9] the associate professor of Cardiology in Mansoura University[10] (Egypt) after doing genetic analysis for all the family members in Bergamo, Italy where 6 males were diagnosed as Danon disease patients and 5 female were diagnosed as carriers; as published in Al-Bayan newspaper in 20 February 2016[11] making this family the largest one with patients and carriers of Danon disease.
Danon Disease has overlapping symptoms with another rare genetic condition called 'Pompe' disease. Microscopically, muscles from Danon Disease patients appear similar to muscles from Pompe disease patients. However, intellectual disability is rarely, if ever, a symptom of Pompe disease. Negative enzymatic or molecular genetic testing for Pompe disease can help rule out this disorder as a differential diagnosis.
References
- 1 2 "OMIM Entry - # 300257 - DANON DISEASE". omim.org. Archived from the original on 2017-07-04. Retrieved 2017-07-11.
- ↑ Maron BJ, Roberts WC, Arad M, et al. (March 2009). "Clinical Outcome and Phenotypic Expression in LAMP2 Cardiomyopathy". JAMA. 301 (12): 1253–1259. doi:10.1001/jama.2009.371. PMC 4106257. PMID 19318653.
- ↑ Spinazzi M, Fanin M, Melacini P, Nascimbeni AC, Angelini C. Cardioembolic stroke in Danon disease. Clin Genet. 2008;73:388-90.
- ↑ Lobrinus JA, Schorderet DF, Payot M, et al. (April 2005). "Morphological, clinical and genetic aspects in a family with a novel LAMP-2 gene mutation (Danon disease)". Neuromuscular Disorders. 15 (4): 293–8. doi:10.1016/j.nmd.2004.12.007. PMID 15792868. S2CID 31934222.
- ↑ Nishino I, Fu J, Tanji K, et al. (August 2000). "Primary LAMP-2 deficiency causes X-linked vacuolar cardiomyopathy and myopathy (Danon disease)". Nature. 406 (6798): 906–10. Bibcode:2000Natur.406..906N. doi:10.1038/35022604. PMID 10972294. S2CID 4332055.
- ↑ "Archive copy". Archived from the original on 2021-04-29. Retrieved 2021-05-12.
{{cite web}}: CS1 maint: archived copy as title (link) - ↑ Bejar, David; Colombo, Paolo C; Latif, Farhana; Yuzefpolskaya, Melana (8 July 2015). "Infiltrative Cardiomyopathies". Clinical Medicine Insights. Cardiology. 9 (Suppl 2): 29–38. doi:10.4137/CMC.S19706. ISSN 1179-5468. PMC 4498662. PMID 26244036.
- ↑ Danon MJ, Oh SJ, DiMauro S, et al. (January 1981). "Lysosomal glycogen storage disease with normal acid maltase". Neurology. 31 (1): 51–7. doi:10.1212/wnl.31.1.51. PMID 6450334. S2CID 32860087.
- ↑ "Mahmoud Ramadan". ResearchGate. Archived from the original on 2016-10-17. Retrieved 2021-05-12.
- ↑ "Mansoura University, Egypt". Archived from the original on 2021-05-08. Retrieved 2021-05-12.
- ↑ الفجيرة - ابتسام الشاعر (2016-02-19). ""دانون" مرض نادر يصيب القلب بالتضخم". البيان. Archived from the original on 2018-03-04. Retrieved 2021-05-12.
External links
| Classification | |
|---|---|
| External resources |
|
