Dihydropteridine reductase deficiency
| Dihydropteridine reductase deficiency | |
|---|---|
![]() | |
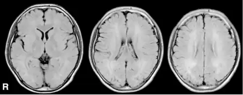
| MRI, FLAIR -diffuse signal increase of deep white matter. | |
| Frequency | Lua error in Module:PrevalenceData at line 5: attempt to index field 'wikibase' (a nil value). |
Dihydropteridine reductase deficiency (DHPRD) is a genetic disorder affecting the tetrahydrobiopterin (BH4) synthesis pathway, inherited in the autosomal recessive pattern. It is one of the six known disorders causing tetrahydrobiopterin deficiency, and occurs in patients with mutations of the QDPR gene.
The disease presents with such symptoms as elevated levels of phenylalanine (hyperphenylalaninemia), microcephaly, hypotonus, mental retardation and epileptic seizures.
Signs and symptoms
The clinical presentation of this condition is as follows:[1]
- Psychomotor delay
- Tonus disorders
- Seizures
- Oculogiric crises
- Drowsiness
- Irritability
- Hyperthermia
- Hypersalivation
- Microcephaly
- Hypotonia
Cause
The etiology of this condition are mutations in the QDPR gene, which encodes quinoid dihydropteridine reductase [1]
Diagnostics
Besides the traditional analysis of symptoms and investigation of phenylalanine concentrations, patients suspected for DHPRD undergo the assessment of enzymatic activity using the dried blood spot method - this permits to distinguish DHPR deficiency from the other forms of BH4 deficiency.[2]
Treatment
Patients are prescribed a phenylalanine-reduced diet, with regular monitoring of phenylalanine levels in the blood. Besides the diet, a patient may be prescribed sapropterin, a synthetic analogue of tetrahydrobiopterin.
In order to restore dopamine levels in the central nervous system, patients are given L-dopa in conjunction with an inhibitor of aromatic amino acid decarboxylase that acts outside the nervous system, so as to promote the transformation of L-dopa into dopamine inside the central nervous system, and thus to improve the efficiency of the treatment.
Since the insufficient levels of BH4 inhibit the transformation of tryptophan into 5-hydroxytryptophan in a reaction in which BH4 serves as a cofactor of the enzyme tryptophane hydroxylase 2, patients suffer from a lack of serotonin in their CNS. In order to correct this deficiency, they are given 5-hydroxytryptophan.
In patients with DHPR deficiency, a pronounced lack of 5-methyltetrahydrofolate (5-MTHF) is observed in the central nervous system. This condition, termed cerebral folate deficiency, (CFD) is more severe in DHPRD patients than in patients with other forms of BH4 deficiency. CFD is corrected by treating patients with folinic acid, a form of folate that efficiently passes the hematoencephalic barrier.[2][3] The use of folic acid, the synthetic form of folate employed in food fortification, should be avoided because folic acid tightly binds to the folate receptor alpha and may inhibit the transport of folate into the central nervous system.
References
- 1 2 RESERVED, INSERM US14-- ALL RIGHTS. "Orphanet: Dihydropteridine reductase deficiency". www.orpha.net. Archived from the original on 1 November 2020. Retrieved 7 January 2022.
- 1 2 Opladen T, López-Laso E, Cortès-Saladelafont E, Pearson TS, Sivri HS, Yildiz Y, Assmann B, Kurian MA, Leuzzi V, Heales S, Pope S, Porta F, García-Cazorla A, Honzík T, Pons R, Regal L, Goez H, Artuch R, Hoffmann GF, Horvath G, Thöny B, Scholl-Bürgi S, Burlina A, Verbeek MM, Mastrangelo M, Friedman J, Wassenberg T, Jeltsch K, Kulhánek J, Kuseyri Hübschmann O (May 2020). "Consensus guideline for the diagnosis and treatment of tetrahydrobiopterin (BH4) deficiencies". Orphanet Journal of Rare Diseases. 15 (1): 126. doi:10.1186/s13023-020-01379-8. PMC 7251883. PMID 32456656.
- ↑ (2013) Emery and Rimoin's Principles and Practice of Medical Genetics. Chapter 92. Amino Acid Metabolism. 92.1.7. DHPR Deficiency Archived 2021-02-06 at the Wayback Machine, by Raymond Y.Wang, William R.Wilcox, and Stephen D.Cederbaum
