Epithelioid haemangioma
Epithelioid hemangioma | |
---|---|
Other names: Not recommended: Angiolymphoid hyperplasia with eosinophilia, histiocytoid haemangioma[1] | |
![]() | |
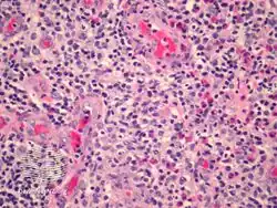
Epithelioid haemangioma in skin | |
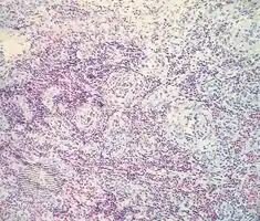
![]() | |
Symptoms | Reddish-pink itchy painful bumps on forehead[2] |
Types | Cellular epithelioid haemangioma, atypical epithelioid haemangioma[1] |
Causes | Unknown[1] |
Treatment | Surgery[1] |
Prognosis | Up to a third recur[1] |
Frequency | M=F, all ages with peak in 30s[1] |
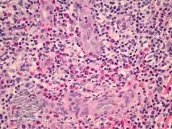
Epithelioid haemangioma is a non-cancerous tumor typically found in skin and soft tissue of usually the head and neck region, where it presents with reddish-pink itchy painful bumps.[1] It can occur in bone as a type of vascular tumor of bone, where it can give rise to pain and swelling.[2]
It is made up of well-formed blood vessels lined by lymphocytes and eosinophils (types of white blood cells).[1]
It is also known as:[3] "Histiocytoid hemangioma," "Inflammatory angiomatous nodule," "Intravenous atypical vascular proliferation," "Papular angioplasia," "Inflammatory arteriovenous hemangioma," and "Pseudopyogenic granuloma") usually presents with pink to red-brown, dome-shaped, dermal papules or nodules of the head or neck, especially about the ears and on the scalp.[4]
It, or a similar lesion, has been suggested as a feature of IgG4-related skin disease, which is the name used for skin manifestations of IgG4-related disease.[5][6]
- Angiolymphoid hyperplasia with eosinophilia/pathology
- Angiolymphoid hyperplasia with eosinophilia/pathology
- Angiolymphoid hyperplasia with eosinophilia/pathology
See also
References
- 1 2 3 4 5 6 7 8 "Epithelioid hemangioma". Soft Tissue and Bone Tumours: WHO Classification of Tumours. International Agency for Research on Cancer. 2020. pp. 152–153. ISBN 978-92-832-4502-5. Archived from the original on 2021-06-13. Retrieved 2021-08-01.
- 1 2 "Epithelioid haemangioma". www.cancer.gov. 2 February 2011. Archived from the original on 1 April 2021. Retrieved 1 August 2021.
- ↑ Rapini, Ronald P.; Bolognia, Jean L.; Jorizzo, Joseph L. (2007). Dermatology: 2-Volume Set. St. Louis: Mosby. ISBN 978-1-4160-2999-1.
- ↑ James, William; Berger, Timothy; Elston, Dirk (2005). Andrews' Diseases of the Skin: Clinical Dermatology. (10th ed.). Saunders. ISBN 0-7216-2921-0.
- ↑ Yoshiki Tokura; Hiroaki Yagi; H. Yanaguchi; Yuta Majima; Akira Kasuya; Taisuke Ito; M Maekawa; Hideo Hashizume (November 2014). "IgG4-related skin disease". British Journal of Dermatology. 171 (5): 959–967. doi:10.1111/bjd.13296. PMID 25065694. S2CID 5374017.
- ↑ Yasuhito Hamaguchi; Manabu Fujimoto; Yukiyo Matsushita; Seiko Kitamura-Sawada; Mitsuhiro Kawano; Kazuhiko Takehara (2011). "IgG4-related skin disease, a mimic of angiolymphoid hyperplasia with eosinophilia". Dermatology. 223 (4): 301–305. doi:10.1159/000335372. PMID 22269779. S2CID 22928854.
External links
Classification |
|
---|---|
External resources |