Fetal thrombotic vasculopathy
| Fetal thrombotic vasculopathy | |
|---|---|
![]() | |
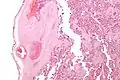
| Intermediate magnification micrograph of the placental disc showing a thrombosed fetal vein, as may be seen in fetal thrombotic vasculopathy. H&E stain. | |
| Specialty | Pathology |
Fetal thrombotic vasculopathy is a chronic disorder characterized by thrombosis in the fetus leading to vascular obliteration and hypoperfusion.
It is associated with cerebral palsy and stillbirth.[1]
It is more common in women who have diabetes mellitus.
Diagnosis
It can be diagnosed by histomorphologic examination of the placenta and is characterized by fetal vessel thrombosis and clustered fibrotic chorionic villi without blood vessels.
Low mag.
High mag.
Very high mag.
See also
References
- ↑ Kraus, FT.; Acheen, VI. (Jul 1999). "Fetal thrombotic vasculopathy in the placenta: cerebral thrombi and infarcts, coagulopathies, and cerebral palsy". Hum Pathol. 30 (7): 759–69. doi:10.1016/s0046-8177(99)90136-3. PMID 10414494.
This article is issued from Wmcloud. The text is licensed under Creative Commons - Attribution - Sharealike. Additional terms may apply for the media files.
