Folate deficiency

Folate deficiency
Folic acid, a precursor of active B9
SpecialtyEndocrinology

Folate deficiency, also known as vitamin B9 deficiency, is a low level of folate and derivatives in the body. Signs of folate deficiency are often subtle. A low number of red blood cells (anemia) is a late finding in folate deficiency and folate deficiency anemia is the term given for this medical condition.[1] It is characterized by the appearance of large-sized, abnormal red blood cells (megaloblasts), which form when there are inadequate stores of folic acid within the body.[2]

Signs and symptoms

Loss of appetite and weight loss can occur. Additional signs are weakness, sore tongue, headaches, heart palpitations, irritability, and behavioral disorders.[3] In adults, anemia (macrocytic, megaloblastic anemia) can be a sign of advanced folate deficiency.

Women with folate deficiency who become pregnant are more likely to give birth to low birth weight premature infants, and infants with neural tube defects and even spina bifida. In infants and children, folate deficiency can lead to failure to thrive or slow growth rate, diarrhea, oral ulcers, megaloblastic anemia, neurological deterioration. An abnormally small head, irritability, developmental delay, seizures, blindness and cerebellar ataxia can also be observed.[4]

Causes

A deficiency of folate can occur when the body's need for folate is increased, when dietary intake or absorption of folate is inadequate, or when the body excretes (or loses) more folate than usual. Medications that interfere with the body's ability to use folate may also increase the need for this vitamin.[5][6][7][8][9][10] Some research indicates that exposure to ultraviolet light, including the use of tanning beds, can lead to a folate deficiency.[11][12] The deficiency is more common in pregnant women, infants, children, and adolescents. It may also be due to poor diet or a consequence of alcoholism.[13]

Additionally, a defect in homocysteine methyltransferase or a deficiency of vitamin B12 may lead to a so-called "methyl-trap" of tetrahydrofolate (THF), in which THF is converted to a reservoir of methyl-THF which thereafter has no way of being metabolized, and serves as a sink of THF that causes a subsequent deficiency in folate.[14] Thus, a deficiency in B12 can generate a large pool of methyl-THF that is unable to undergo reactions and will mimic folate deficiency.

Folate (pteroylmonoglutamate) is absorbed throughout the small intestine, though mainly in the jejunum. Important steps in the absorption are reduction of the polyglutamate chain by pteroylpolyglutamate hydrolase (gamma-glutamyl hydrolase) and then transport across the brush border membrane by the proton-coupled folate transporter (SLC46A1). Diffuse inflammatory or degenerative diseases of the small intestine, such as Crohn disease, celiac disease, chronic enteritis or the presence of an entero-enteric fistula may reduce absorption.[15][16]

Situational

Some situations that increase the need for folate include:

Medication

Medications can interfere with folate metabolism, including:

When methotrexate is prescribed, folic acid supplements are sometimes given with the methotrexate. The therapeutic effects of methotrexate are due to its inhibition of dihydrofolate reductase and thereby reduce the rate de novo purine and pyrimidine synthesis and cell division. Methotrexate inhibits cell division and is particularly toxic to fast dividing cells, such as rapidly dividing cancer cells and the progenitor cells of the immune system. Folate supplementation is beneficial in patients being treated with long-term, low-dose methotrexate for inflammatory conditions, such as rheumatoid arthritis (RA) or psoriasis, to avoid macrocytic anemia caused by folate deficiency. Folate is often also supplemented before some high dose chemotherapy treatments in an effort to protect healthy tissue. However, it may be counterproductive to take a folic acid supplement with methotrexate in cancer treatment.[18]

Cerebral folate deficiency

Cerebral folate deficiency is when levels of 5-methyltetrahydrofolate are low in the brain as measured in the cerebral spinal fluid despite being normal in the blood.[19] Symptoms typically appear at about five months of age. Without treatment there may be poor muscle tone, trouble with coordination, trouble talking, and seizures.[19] The causes of cerebral folate deficiency include mutations of genes responsible for folate metabolism and transport.[20] Mutations of the SLC46A1 gene that encodes the proton-coupled folate transporter (PCFT) result in CFD syndromes with both systemic folate deficiency and cerebral folate deficiency. Even when the systemic deficiency is corrected by folate, the cerebral deficiency remains and must be treated with folinic acid.[19][21]

Pregnancy

Folate deficiency can occur during pregnancy as a result of the increasing number of cells of the growing fetus, decreased absorption and intake of folate, maternal hormones that mediate its metabolism, vascular circulation of maternal and fetal blood and an increasing amount of blood resulting in dilution.[22] Sickle cell anemia and living in areas of malaria result in even higher folate needs for women who are pregnant.[22] When supplemented with 450 micrograms of folic acid per day, the risk of developing birth defects, specifically neural tube defects, is decreased.[22] Supplementation to prevent birth defects is most effective one month prior to and during the first twelve weeks of pregnancy.[23][24] Utilization of folic acid supplementation before conception has shown to result in a decrease in neural tube defects by 70%.[25]

Diagnosis

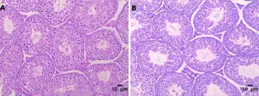
Haematoxilin/eosin staining a)control group, b) folate deficiency group

Folate deficiency is diagnosed with a blood test called RBC assays (red blood cell), measured as methyltetrahydrofolate (in practice, "folate" refers to all derivatives of folic acid, but methylhydrofolate is the quasi unique form of "folate" in the blood[26]).

Homocysteine is elevated (5-MTHF is used to convert homocysteine to methionine) as in vitamin B12 deficiency, whereas methylmalonic acid is normal (elevated in vitamin B12 deficiency and vitamin B6 deficiency).

More specifically, according to a 2014 UK guideline,[27]

  • A serum folate level of less than 7 nmol/l (3 μg/l) is indicative of folate deficiency;
  • Red blood cell folate testing is not routinely performed, since serum folate is sufficient in most cases, however, if there is a strong suspicion of folate deficiency despite a normal serum folate level, a red cell folate test may be performed.
  • Plasma total homocysteine is only measured in special circumstances. A level above 15 μmol/l could be indicative of a folate deficiency, but local reference ranges should be taken into account.

Treatment

Diet

Folate is acquired in the diet by the consumption of leafy green vegetables, legumes and organ meats.[28] When cooking, use of steaming, a food steamer, or a microwave oven can help keep more folate content in the cooked foods.[29][30][31]

Supplementation

Folic acid is a synthetic derivative of folate and is acquired by dietary supplementation.[22] Multi-vitamin dietary supplements contain folic acid as well as other B vitamins. Non-prescription folic acid is available as a dietary supplement in some countries, and some countries require the fortification of wheat flour, corn meal or rice with folic acid with the intention of promoting public health through increasing blood folate levels in the population.

Fortification

After the discovery of the link between insufficient folic acid and neural tube defects,[32] governments and health organizations worldwide made recommendations concerning folic acid supplementation for women intending to become pregnant. Because the neural tube closes in the first four weeks of gestation, often before many women even know they are pregnant, many countries in time decided to implement mandatory food fortification programs.[33] A meta-analysis of global birth prevalence of spina bifida showed that when mandatory fortification was compared to countries with healthcare professionals advising women but no mandatory fortification program, there was a 30% reduction in live births with spina bifida,[34] with some countries reported a greater than 50% reduction.[23]

Over 80 countries require folic acid fortification in some foods.[28] Fortification of rice is common.[24] The USDA has required the fortification of flour since 1998.[23] Since then, Hispanics in the United States have seen the greatest reduction of neural tube defects.[23] Canada has mandated folic acid fortification of flour since 1998 which has resulted in a 42% decrease in neural tube defects.[25] Fortification of wheat and corn flour, milk and rice is required in Costa Rica which has led to a reduction of neural tube defects of as much as 60%.[23]

Epidemiology

Folate deficiency is very rare in countries with folic acid fortification programs.[35] Overall, the worldwide prevalence of anemia due to folic acid deficiency is very low.[35] However, data on the prevalence of deficiency amongst specific high risk groups is lacking.

Research

Folate deficiency during gestation or infancy due to development by the fetus or infant of autoantibodies to the folate receptor might result in various developmental disorders.[36]

Studies suggest that insufficient folate and vitamin B12 status may contribute to major depressive disorder and that supplementation might be useful in this condition.[37] The role of vitamin B12 and folate in depression is due to their role in transmethylation reactions, which are crucial for the formation of neurotransmitters (e.g. serotonin, epinephrine, nicotinamides, purines, phospholipids).[37][38] The proposed mechanism, is that low levels of folate or vitamin B12 can disrupt transmethylation reaction, leading to an accumulation of homocysteine (hyperhomocysteinemia) and to impaired metabolism of neurotransmitters (especially the hydroxylation of dopamine and serotonin from tyrosine and tryptophan), phospholipids, myelin, and receptors. High homocysteine levels in the blood can lead to vascular injuries by oxidative mechanisms which can contribute to cerebral dysfunction. All of these can lead to the development of various disorders, including depression.[37][38]

References

  1. Huether S, McCance K (2004). "20". Understanding Pathophysiology (3rd ed.). Mosby. p. 543. ISBN 978-0-323-02368-9.
  2. Tamparo C (2011). Diseases of the Human Body (Fifth ed.). Philadelphia, PA. pp. 337. ISBN 978-0-8036-2505-1.
  3. Haslam N, Probert CS (February 1998). "An audit of the investigation and treatment of folic acid deficiency". Journal of the Royal Society of Medicine. 91 (2): 72–73. doi:10.1177/014107689809100205. PMC 1296488. PMID 9602741.
  4. Kliegman RM, Stanton BM, Geme JS, Schor NF, eds. (2015-04-22). Nelson Textbook of Pediatrics (20th ed.). pp. 317–20. ISBN 978-1-4557-7566-8.
  5. Oakley GP, Adams MJ, Dickinson CM (March 1996). "More folic acid for everyone, now". The Journal of Nutrition. 126 (3): 751S–55S. doi:10.1093/jn/126.suppl_3.751S (inactive 28 February 2022). PMID 8598560.{{cite journal}}: CS1 maint: DOI inactive as of February 2022 (link)
  6. McNulty H (June 1995). "Folate requirements for health in different population groups". British Journal of Biomedical Science. 52 (2): 110–19. PMID 8520248.
  7. Stolzenberg R (December 1994). "Possible folate deficiency with postsurgical infection". Nutrition in Clinical Practice. 9 (6): 247–50. doi:10.1177/0115426594009006247. PMID 7476802.
  8. Pietrzik KF, Thorand B (1997). "Folate economy in pregnancy". Nutrition. 13 (11–12): 975–57. doi:10.1016/S0899-9007(97)00340-7. PMID 9433714.
  9. Kelly GS (June 1998). "Folates: supplemental forms and therapeutic applications". Alternative Medicine Review. 3 (3): 208–20. PMID 9630738.
  10. Cravo ML, Glória LM, Selhub J, Nadeau MR, Camilo ME, Resende MP, Cardoso JN, Leitão CN, Mira FC (February 1996). "Hyperhomocysteinemia in chronic alcoholism: correlation with folate, vitamin B-12, and vitamin B-6 status". The American Journal of Clinical Nutrition. 63 (2): 220–24. doi:10.1093/ajcn/63.2.220. PMID 8561063.
  11. "Pregnancy and Tanning". American Pregnancy Association. January 2014. Archived from the original on July 3, 2014. Retrieved January 11, 2015.
  12. Borradale D, Isenring E, Hacker E, Kimlin MG (February 2014). "Exposure to solar ultraviolet radiation is associated with a decreased folate status in women of childbearing age" (PDF). Journal of Photochemistry and Photobiology B: Biology. 131: 90–95. doi:10.1016/j.jphotobiol.2014.01.002. PMID 24509071. Archived (PDF) from the original on 2021-09-26. Retrieved 2022-03-08.
  13. Tamparo C (2011). Fifth Edition: Diseases of the Human Body. Philadelphia, PA: F. A. Davis Company. p. 337. ISBN 978-0-8036-2505-1.
  14. Hoffbrand AV, Weir DG (June 2001). "The history of folic acid". British Journal of Haematology. 113 (3): 579–89. doi:10.1046/j.1365-2141.2001.02822.x. PMID 11380441. S2CID 22925228.
  15. Halsted, CH (December 1989). "The intestinal absorption of dietary folates in health and disease". Journal of the American College of Nutrition. 8 (6): 650–58. doi:10.1080/07315724.1989.10720340. PMID 2695555.
  16. Visentin, M; Diop-Bove, N; Zhao, R; Goldman, ID (2014). "The intestinal absorption of folates". Annual Review of Physiology. 76: 251–74. doi:10.1146/annurev-physiol-020911-153251. PMC 3982215. PMID 24512081.
  17. Shere, Mahvash; Bapat, Priya; Nickel, Cheri; Kapur, Bhushan; Koren, Gideon (2015). "Association Between Use of Oral Contraceptives and Folate Status: A Systematic Review and Meta-Analysis". Journal of Obstetrics and Gynaecology Canada. Elsevier BV. 37 (5): 430–38. doi:10.1016/s1701-2163(15)30258-9. ISSN 1701-2163. PMID 26168104.
  18. "Folate: Evidence". Mayo Clinic. Archived from the original on September 28, 2017. Retrieved January 11, 2015.
  19. 1 2 3 Gordon, N (2009). "Cerebral folate deficiency". Developmental Medicine and Child Neurology. 51 (3): 180–82. doi:10.1111/j.1469-8749.2008.03185.x. PMID 19260931. S2CID 7373721.
  20. Serrano M, Pérez-Dueñas B, Montoya J, Ormazabal A, Artuch R (2012). "Genetic causes of cerebral folate deficiency: clinical, biochemical and therapeutic aspects". Drug Discovery Today. 17 (23–24): 1299–306. doi:10.1016/j.drudis.2012.07.008. PMID 22835503.
  21. Zhao R, Aluri S, Goldman ID (2017). "The proton-coupled folate transporter (PCFT-SLC46A1) and the syndrome of systemic and cerebral folate deficiency of infancy: Hereditary folate malabsorption". Molecular Aspects of Medicine. 53: 57–72. doi:10.1016/j.mam.2016.09.002. PMC 5253092. PMID 27664775.
  22. 1 2 3 4 Lassi, Zohra S; Salam, Rehana A; Haider, Batool A; Bhutta, Zulfiqar A (28 March 2013). "Folic acid supplementation during pregnancy for maternal health and pregnancy outcomes". Cochrane Database of Systematic Reviews. 3 (3): CD006896. doi:10.1002/14651858.CD006896.pub2. PMID 23543547.
  23. 1 2 3 4 5 Castillo-Lancellotti C, Tur JA, Uauy R (2013). "Impact of folic acid fortification of flour on neural tube defects: a systematic review". Public Health Nutr. 16 (5): 901–11. doi:10.1017/S1368980012003576. PMID 22850218.
  24. 1 2 Peña-Rosas, Juan Pablo; Mithra, Prasanna; Unnikrishnan, Bhaskaran; Kumar, Nithin; De-Regil, Luz Maria; Nair, N Sreekumaran; Garcia-Casal, Maria N; Solon, Juan Antonio (25 October 2019). "Fortification of rice with vitamins and minerals for addressing micronutrient malnutrition". Cochrane Database of Systematic Reviews. 2019 (10). doi:10.1002/14651858.CD009902.pub2. PMC 6814158. PMID 31684687.
  25. 1 2 Czeizel AE, Dudás I, Vereczkey A, Bánhidy F (2013). "Folate deficiency and folic acid supplementation: the prevention of neural-tube defects and congenital heart defects". Nutrients. 5 (11): 4760–75. doi:10.3390/nu5114760. PMC 3847759. PMID 24284617.
  26. "FB12 – Clinical: Vitamin B12 and Folate, Serum". www.mayomedicallaboratories.com. Archived from the original on 2018-08-16. Retrieved 2022-03-08.
  27. Devalia V, Hamilton MS, Molloy AM (August 2014). "Guidelines for the diagnosis and treatment of cobalamin and folate disorders". British Journal of Haematology. 166 (4): 496–513. doi:10.1111/bjh.12959. PMID 24942828. S2CID 5772424.
  28. 1 2 Centeno Tablante, Elizabeth; Pachón, Helena; Guetterman, Heather M; Finkelstein, Julia L (1 July 2019). "Fortification of wheat and maize flour with folic acid for population health outcomes". Cochrane Database of Systematic Reviews. 7: CD012150. doi:10.1002/14651858.CD012150.pub2. PMC 6599881. PMID 31257574.
  29. Nutrient Data Laboratory (2007). "USDA Table of Nutrient Retention Factors, Release 6" (PDF). USDA. Archived (PDF) from the original on 2013-04-03. Retrieved 2022-03-08.
  30. O’connor, Anahad (2006-10-17). "The Claim: Microwave Ovens Kill Nutrients in Food". The New York Times. ISSN 0362-4331. Archived from the original on 2019-08-25. Retrieved 2017-07-10. spinach retained nearly all its folate when cooked in a microwave, but lost about 77 percent when cooked on a stove
  31. McKillop DJ, Pentieva K, Daly D, McPartlin JM, Hughes J, Strain JJ, Scott JM, McNulty H (2002). "The effect of different cooking methods on folate retention in various foods that are amongst the major contributors to folate intake in the UK diet". The British Journal of Nutrition. 88 (6): 681–88. doi:10.1079/bjn2002733. PMID 12493090.
  32. Czeizel AE, Dudás I, Vereczkey A, Bánhidy F (2013). "Folate deficiency and folic acid supplementation: the prevention of neural-tube defects and congenital heart defects". Nutrients. 5 (11): 4760–75. doi:10.3390/nu5114760. PMC 3847759. PMID 24284617.
  33. "Map: Count of Nutrients In Fortification Standards". Global Fortification Data Exchange. Archived from the original on 11 April 2019. Retrieved 30 April 2019.
  34. Atta CA, Fiest KM, Frolkis AD, Jette N, Pringsheim T, St Germaine-Smith C, et al. (January 2016). "Global Birth Prevalence of Spina Bifida by Folic Acid Fortification Status: A Systematic Review and Meta-Analysis". American Journal of Public Health. 106 (1): e24–34. doi:10.2105/AJPH.2015.302902. PMC 4695937. PMID 26562127.
  35. 1 2 Bailey, RL; West KP, Jr; Black, RE (2015). "The epidemiology of global micronutrient deficiencies". Annals of Nutrition & Metabolism. 66 Suppl 2 (2): 22–33. doi:10.1159/000371618. PMID 26045325. S2CID 31765256.
  36. Desai A, Sequeira JM, Quadros EV (2016). "The metabolic basis for developmental disorders due to defective folate transport". Biochimie. 126: 31–42. doi:10.1016/j.biochi.2016.02.012. PMID 26924398.
  37. 1 2 3 Coppen A, Bolander-Gouaille C (2005). "Treatment of depression: time to consider folic acid and vitamin B12". Journal of Psychopharmacology. 19 (1): 59–65. doi:10.1177/0269881105048899. PMID 15671130. S2CID 4828454. Archived from the original on 2012-10-29. Retrieved 2022-03-08.
  38. 1 2 Karakuła H, Opolska A, Kowal A, Domański M, Płotka A, Perzyński J (2009). "[Does diet affect our mood? The significance of folic acid and homocysteine]". Polski Merkuriusz Lekarski. 26 (152): 136–41. PMID 19388520. Archived from the original on 2012-05-10. Retrieved 2022-03-08.
Classification
External resources
This article is issued from Wmcloud. The text is licensed under Creative Commons - Attribution - Sharealike. Additional terms may apply for the media files.