Fracture blister
| Fracture blister | |
|---|---|
![]() | |
| Example of a fracture blister | |
| Specialty | Orthopedics |
Fracture blisters occur on skin overlying a broken bone.[1][2] They are tense vesicles or bullae that arise on markedly swollen skin directly overlying a fracture. They can appear anytime within a few hours of injury to 2–3 weeks later.
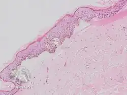
They typically occurs near fractures where the skin has little tissue between it and bone such as elbows, knees, ankles, and wrists. They also occasionally occur following trauma. They are thought to be caused by shearing forces applied at the time of injury.[3] There are two types: clear fluid and hemorrhagic. The difference lies in the level of the shear. Clear fluid blisters have separated within the epidermis, and hemorrhagic blisters separate at the dermal-epidermal junction.
The decision to pop the blisters in order to treat the fracture, or wait for them to heal is unclear.[3] They may interfere with splinting, casting, and incision planning for open reduction procedures.[3]Waiting delays care an average of 7 days, and longer for tibial plateau and calcaneal fractures. Operating immediately may increase wound infection rates. Clear blisters take about 12 days and hemorrhagic blisters about 16 days to heal.
Signs and symptoms
Fracture blister
Hemorrhagic fracture blisters on medial aspect of left foot and ankle. X-ray shows a Weber type B fracture of the ankle
Diagnosis
Fracture blister histology
References
- ↑ Strauss EJ, Petrucelli G, Bong M, Koval KJ, Egol KA (October 2006). "Blisters associated with lower-extremity fracture: results of a prospective treatment protocol". J Orthop Trauma. 20 (9): 618–22. doi:10.1097/01.bot.0000249420.30736.91. PMID 17088664.
- ↑ James, William D.; Elston, Dirk; Treat, James R.; Rosenbach, Misha A.; Neuhaus, Isaac (2020). "3. Dermatoses resulting from physical factors". Andrews' Diseases of the Skin: Clinical Dermatology (13th ed.). Edinburgh: Elsevier. p. 39. ISBN 978-0-323-54753-6. Archived from the original on 2022-10-01. Retrieved 2022-10-01.
- 1 2 3 Uebbing CM, Walsh M, Miller JB, Abraham M, Arnold C (February 2011). "Fracture blisters". The Western Journal of Emergency Medicine. 12 (1): 131–3. PMC 3088393. PMID 21691490.
