Fundic gland polyp
| Fundic gland polyp | |
|---|---|
![]() | |
| On histopathology, a fundic gland polyp displays cystically dilated glands.[1] | |
| Specialty | Gastroenterology |
| Frequency | 0.8 - 1.9% of patients undergoing EGD |
A fundic gland polyp is a type of polyp, found in the fundus of the stomach. Fundic gland polyps are found in 0.8 to 1.9% of patients who undergo esophagogastroduodenoscopy, and are more common in middle-aged women.[2]
The risk of malignancy is very low or none, when sporadic.[3]
Fundic gland polyposis is a medical syndrome with multiple fundic gland polyps. The condition has been described both in patients with familial adenomatous polyposis (FAP) and attenuated variants (AFAP), and in patients in whom it occurs sporadically.[4]
The glands are lined by chief cells and parietal cells, and possibly also mucinous foveolar cells.[1]
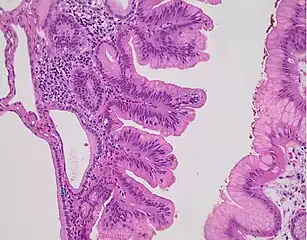
Fundic gland polyp with dysplasia (center), compared to normal mucosa (at right).
References
- 1 2 Naziheh Assarzadegan, M.D., Raul S. Gonzalez, M.D. "Stomach Polyps - Fundic gland polyp". PathologyOutlines.
{{cite web}}: CS1 maint: multiple names: authors list (link) Topic Completed: 1 November 2017. Minor changes: 11 December 2019 - ↑ Weston, BR; Helper, DJ; Rex, DK (2003). "Positive predictive value of endoscopic features deemed typical of gastric fundic gland polyps". Journal of Clinical Gastroenterology. 36 (5): 399–402. doi:10.1097/00004836-200305000-00007. PMID 12702980. S2CID 7220827.
- ↑ Varocha Mahachai, MDDavid Y Graham, MDRobert D Odze, MD, FRCPC. "Gastric polyps". UpToDate.
{{cite web}}: CS1 maint: multiple names: authors list (link) Literature review current through: Sep 2020. | This topic last updated: Feb 14, 2019. - ↑ Declich, P; Tavani, E; Ferrara, A; Caruso, S; Bellone, S (2005). "Sporadic fundic gland polyps: clinico-pathologic features and associated diseases". Polish Journal of Pathology. 56 (3): 131–7. PMID 16334981.
This article is issued from Wmcloud. The text is licensed under Creative Commons - Attribution - Sharealike. Additional terms may apply for the media files.
.jpg.webp)