GABA-transaminase deficiency
| GABA-transaminase deficiency | |
|---|---|
| Other names: GABA aminotransaminase deficiency | |
![]() | |
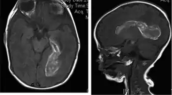
| MRI of brain showing intraventricular hemorrhage | |
GABA (gamma-aminobutyric acid)-transaminase deficiency (or GABA aminotransaminase deficiency[1])is a encephalopathy that starts at a young age. [2][3] Among the signs and symptoms are hypotonia, hypersomnolence, choreoathetosis and epilepsy[4]
The deficiency is due to mutations in the ABAT gene, which in turn helps create the GABA-transaminase enzyme[2][5]
The prognosis for this deficiency is poor[6]
References
- ↑ "Gamma-aminobutyric acid transaminase deficiency (Concept Id: C0342708) - MedGen - NCBI". www.ncbi.nlm.nih.gov. Archived from the original on 20 October 2023. Retrieved 3 October 2023.
- 1 2 "GABA-transaminase deficiency: MedlinePlus Genetics". medlineplus.gov. Archived from the original on 1 April 2023. Retrieved 2 October 2023.
- ↑ Parviz, Mahsa; Vogel, Kara; Gibson, K. Michael; Pearl, Phillip L. (25 November 2014). "Disorders of GABA metabolism: SSADH and GABA-transaminase deficiencies". Journal of pediatric epilepsy. 3 (4): 217–227. doi:10.3233/PEP-14097. ISSN 2146-457X. Archived from the original on 8 October 2022. Retrieved 2 October 2023.
- ↑ Koenig, Mary Kay; Hodgeman, Ryan; Riviello, James J.; Chung, Wendy; Bain, Jennifer; Chiriboga, Claudia A.; Ichikawa, Kazushi; Osaka, Hitoshi; Tsuji, Megumi; Gibson, K. Michael; Bonnen, Penelope E.; Pearl, Phillip L. (16 May 2017). "Phenotype of GABA-transaminase deficiency". Neurology. 88 (20): 1919–1924. doi:10.1212/WNL.0000000000003936. ISSN 1526-632X. Archived from the original on 17 June 2022. Retrieved 2 October 2023.
- ↑ "ABAT gene: MedlinePlus Genetics". medlineplus.gov. Archived from the original on 24 March 2023. Retrieved 2 October 2023.
- ↑ Oshi, Amira; Alfaifi, Abdullah; Seidahmed, Mohammed Z.; Al Hussein, Khalid; Miqdad, Abeer; Samadi, Abdelmohsin; Abdelbasit, Omar (March 2021). "GABA transaminase deficiency. Case report and literature review". Clinical Case Reports. 9 (3): 1295–1298. doi:10.1002/ccr3.3753. ISSN 2050-0904. Archived from the original on 2023-10-20. Retrieved 2023-10-02.
This article is issued from Wmcloud. The text is licensed under Creative Commons - Attribution - Sharealike. Additional terms may apply for the media files.
.png.webp)