Gastric chief cell
| Chief cell | |
|---|---|
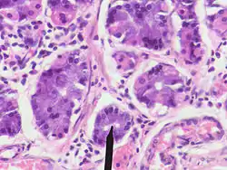
![]() Human chief cells near tip of RED pointer | |
| Details | |
| Part of | Stomach |
| System | Digestive system |
| Identifiers | |
| Latin | exocrinocytus principalis |
| MeSH | D019872 |
| TH | H3.04.02.1.00031 |
| FMA | 62902 |
| Anatomical terminology | |
A gastric chief cell, peptic cell, or gastric zymogenic cell is a type of gastric gland cell that releases pepsinogen and gastric lipase. It is the cell responsible for secretion of chymosin in ruminant animals and humans.[1] The cell stains basophilic upon H&E staining due to the large proportion of rough endoplasmic reticulum in its cytoplasm. Gastric chief cells are generally located deep in the mucosal layer of the stomach lining, in the fundus and body of the stomach.[2][3]
Chief cells release the zymogen (enzyme precursor) pepsinogen when stimulated by a variety of factors including cholinergic activity from the vagus nerve and acidic condition in the stomach. Gastrin and secretin may also act as secretagogues.[4]
It works in conjunction with the parietal cell, which releases gastric acid, converting the pepsinogen into pepsin.
Nomenclature
The terms chief cell and zymogenic cell are often used without the word "gastric" to name this type of cell. However, those terms can also be used to describe other cell types (for example, parathyroid chief cells). Chief cells are also known as peptic cells.
See also
References
- ↑ Kitamura N, Tanimoto A, Hondo E, Andrén A, Cottrell DF, Sasaki M, Yamada J (2001). "Immunohistochemical study of the ontogeny of prochymosin--and pepsinogen-producing cells in the abomasum of sheep". Anatomia, Histologia, Embryologia. 30 (4): 231–235. doi:10.1046/j.1439-0264.2001.00326.x. PMID 11534329. S2CID 7552821.
- ↑ Kelsey E. McHugh, M.D., Thomas P. Plesec, M.D. "Stomach - General - Histology". PathologyOutlines.
{{cite web}}: Check|url=value (help)CS1 maint: multiple names: authors list (link) Topic Completed: 28 May 2020. Minor changes: 28 December 2020 - ↑ pathologyoutlines.com/topic/stomachnormalhistology.html
- ↑ Johnson, Leonard R. (2001). Gastrointestinal Physiology. ISBN 0323012396.
External links
- Anatomy Atlases – Microscopic Anatomy, plate 01.05
- Histology image: 22201loa – Histology Learning System at Boston University - "Ultrastructure of the Cell: chief cells and enteroendocrine cell"
- Histology image: 11304loa – Histology Learning System at Boston University - "Digestive System: Alimentary Canal: fundic stomach, gastric glands, base"
- "chief cell" at Dorland's Medical Dictionary
- Nosek, Thomas M. "Section 6/6ch4/s6ch4_8". Essentials of Human Physiology. Archived from the original on 2016-03-24.
