Germ cell neoplasia in situ

Intratubular germ cell neoplasia
Other namesIntratubular germ cell neoplasia (ITGCN or IGCN), testicular intratubular germ cell neoplasia, intratubular germ cell neoplasia of the testis
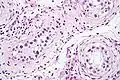
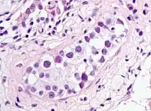
Intratubular germ cell neoplasia. H&E stain.
SpecialtyPathology, urology

Germ cell neoplasia in situ (GCNIS) represents the precursor lesion for many types of testicular germ cell tumors.[1]

The term GCNIS was introduced with the 2016 edition of the WHO classification of urological tumours.[1] GCNIS more accurate describes the lesion as it arises between the basement membrane and Sertoli cells (the cells that 'nurse' the developing germ cell). The common, unspecified variant of the entity was once considered to be a carcinoma in situ,[2] although the term "carcinoma in situ" is now largely historical as it is not an accurate description of the process.[3]

Classification

The World Health Organization classification of testicular tumours[4] subdivides ITGCN into (1) a more common, unspecified type (ITGCNU), and (2) other specific subtypes. The most common specific subtypes are intratubular embryonal carcinoma and intratubular seminoma.

Cancer risk

GCNIS is seen in the following settings:[3]

  • Almost all invasive germ cell tumours of the testis in adults
  • Fifty percent of patients with GCNIS developed invasive germ cell tumours within five years of initial diagnosis.
  • Five percent of contralateral testes in men with a history of prior testicular germ cell tumour.
  • Less than five percent of cryptorchid testes.
  • Less than one percent of patients with infertility.

Germ cell tumors that do not arise from ITGCNU

Not all germ cell tumors (GCTs) arise from intratubular germ cell neoplasia. The following testicular GCTs do not arise from ITGCN:

Diagnosis

GCNIS is not palpable, and not visible on macroscopic examination of testicular tissue. Microscopic examination of affected testicular tissue most commonly shows germ cells with enlarged hyperchromatic nuclei with prominent nucleoli and clear cytoplasm. These cells are typically arranged along the basement membrane of the tubule, and mitotic figures are frequently seen. The sertoli cells are pushed toward the lumen by the neoplastic germ cells, and spermatogenesis is almost always absent in the affected tubules. Pagetoid spread of GCNIS into the rete testis is common. Immunostaining with placental alkaline phosphatase (PLAP) highlights GCNIS cell membranes in 95 percent of cases. OCT3/4 is a sensitive and specific nuclear stain of GCNIS.[3]

Treatment

GCNIS is generally treated by radiation therapy and/or orchiectomy. Chemotherapy used for metastatic germ cell tumours may also eradicate GCNIS.[3]

See also

Additional images

References

  1. 1 2 Williamson, Sean R; Delahunt, Brett; Magi-Galluzzi, Cristina; Algaba, Ferran; Egevad, Lars; Ulbright, Thomas M; Tickoo, Satish K; Srigley, John R; Epstein, Jonathan I; Berney, Daniel M (February 2017). "The World Health Organization 2016 classification of testicular germ cell tumours: a review and update from the International Society of Urological Pathology Testis Consultation Panel". Histopathology. 70 (3): 335–346. doi:10.1111/his.13102. PMID 27747907.
  2. Dieckmann KP, Skakkebaek NE (December 1999). "Carcinoma in situ of the testis: review of biological and clinical features". Int. J. Cancer. 83 (6): 815–22. doi:10.1002/(SICI)1097-0215(19991210)83:6<815::AID-IJC21>3.0.CO;2-Z. PMID 10597201.
  3. 1 2 3 4 5 6 Mills, S (ed.) 2009.Sternberg's Diagnostic Pathology. 5th Edition. ISBN 978-0-7817-7942-5
  4. Eble J.N., Sauter G., Epstein J.I., Sesterhenn I.A. (Eds.): World Health Organization Classification of Tumours. Pathology and Genetics of Tumours of the Urinary System and Male Genital Organs. IARC Press: Lyon 2004. ISBN 92-832-2412-4
  5. Müller J, Skakkebaek NE, Parkinson MC (February 1987). "The spermatocytic seminoma: views on pathogenesis". Int. J. Androl. 10 (1): 147–56. doi:10.1111/j.1365-2605.1987.tb00176.x. PMID 3583416.
  6. Manivel JC, Simonton S, Wold LE, Dehner LP (June 1988). "Absence of intratubular germ cell neoplasia in testicular yolk sac tumors in children. A histochemical and immunohistochemical study". Arch. Pathol. Lab. Med. 112 (6): 641–5. PMID 2837162.
This article is issued from Wmcloud. The text is licensed under Creative Commons - Attribution - Sharealike. Additional terms may apply for the media files.