Hepatosplenomegaly
| Hepatosplenomegaly | |
|---|---|
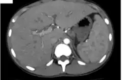
![]() | |
| Severe hepatosplenomegaly | |
Hepatosplenomegaly (commonly abbreviated HSM) is the simultaneous enlargement of both the liver (hepatomegaly) and the spleen (splenomegaly). Hepatosplenomegaly can occur as the result of acute viral hepatitis, infectious mononucleosis, and histoplasmosis or it can be the sign of a serious and life-threatening lysosomal storage disease. Systemic venous hypertension can also increase the risk for developing hepatosplenomegaly, which may be seen in those patients with right-sided heart failure.
Common causes
- Infection:
- Acute viral hepatitis[1][2]
- Infectious mononucleosis[1][2]
- Cytomegalovirus[1][2]
- Rubella[1]
- Brucella infection[3]
- Hyper active malaria syndrome[1]
- Leishmaniasis[1]
- Fasciolosis
- Typhoid fever[4]
- Schistosomiasis or filariasis importants
- Septicemic plague
- Histoplasmosis
- Hematologic diseases:
- Metabolic disease:
- Chronic liver disease and portal hypertension:
- Amyloidosis[2]
- Acromegaly[2]
- Systemic lupus erythematosus[2]
- Sarcoidosis
- Human African trypanosomiasis
- Drug abuse
- Obesity
See also
References
- 1 2 3 4 5 6 7 8 9 10 medcyclopaedia: Hepatosplenomegaly Archived 2012-02-05 at archive.today Retrieved on Nov 23, 2009
- 1 2 3 4 5 6 7 8 9 10 11 12 13 14 GPNotebook: hepatosplenomegaly Archived 2016-06-10 at the Wayback Machine Retrieved on Nov 23, 2009
- ↑ Xavier, Mariana (2010). "Pathogenesis of Brucella spp". The Open Veterinary Science Journal. 4: 109–118. doi:10.2174/1874318801004010109.
- ↑ "Typhoid & Paratyphoid Fever - Chapter 3 - 2016 Yellow Book - Travelers' Health - CDC". Archived from the original on 2017-05-19. Retrieved 2022-03-13.
- ↑ "Niemann-Pick disease". Genetics Home Reference. Archived from the original on 24 September 2018. Retrieved 18 Sep 2020.
External links
| Classification | |
|---|---|
| External resources |
This article is issued from Wmcloud. The text is licensed under Creative Commons - Attribution - Sharealike. Additional terms may apply for the media files.
.png.webp)