Hyperphosphatasia with mental retardation syndrome
| Hyperphosphatasia with mental retardation syndrome | |
|---|---|
| Other names: Mabry syndrome | |
| File:Autosomal recessive - en.svg | |
| This condition is inherited in an autosomal recessive manner | |
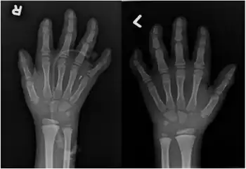
Hyperphosphatasia with mental retardation syndrome, HPMRS,[1] also known as Mabry syndrome,[2] has been described in patients recruited on four continents world-wide.[3] Mabry syndrome was confirmed[4] to represent an autosomal recessive syndrome characterized by severe mental retardation, considerably elevated serum levels of alkaline phosphatase, hypoplastic terminal phalanges, and distinct facial features that include: hypertelorism, a broad nasal bridge and a rectangular face.
Signs and symptoms
The presentation of Mabry syndrome is consistent with, but not limited to, the following:[5]
- Intellectual disability
- No speech development
- Hypotonia
- Epilepsy
Pathogenesis
While many cases of HPMRS are caused by mutations in the PIGV gene,[6] there may be genetic heterogeneity in the spectrum of Mabry syndrome as a whole.[2] PIGV is a member of the molecular pathway that synthesizes the glycosylphosphatidylinositol anchor.[7] The loss in PIGV activity results in a reduced anchoring of alkaline phosphatase to the surface membrane and an elevated alkaline phosphatase activity in the serum.
Diagnosis
The clinical diagnosis can be established if the patient has repeatedly elevated levels of alkaline phosphatase activity in the blood serum and exhibits intellectual disability. Supportive for the clinical diagnosis are epilepsies, brachydactyly and a characteristic facial gestalt, which can also be assessed by means of AI.[10]
The clinical diagnosis can be confirmed by molecular testing such as exome sequencing.
Treatment
So far, no effective treatment is available for HPMRS. A mouse model that mirrors the human phenotype has been engineered by Crispr-Cas technology and is available for compound screening.[11]
References
- ↑ Mabry CC, Bautista A, Kirk RF, Dubilier LD, Braunstein H, Koepke JA (July 1970). "Familial hyperphosphatase with mental retardation, seizures, and neurologic deficits". The Journal of Pediatrics. 77 (1): 74–85. doi:10.1016/s0022-3476(70)80047-6. PMID 5465362.
- 1 2 Thompson MD, Nezarati MM, Gillessen-Kaesbach G, Meinecke P, Mendoza-Londono R, Mendoza R, et al. (July 2010). "Hyperphosphatasia with seizures, neurologic deficit, and characteristic facial features: Five new patients with Mabry syndrome". American Journal of Medical Genetics. Part A. 152A (7): 1661–1669. doi:10.1002/ajmg.a.33438. PMID 20578257. S2CID 2806832.
- ↑ Thompson MD, Killoran A, Percy ME, Nezarati M, Cole DE, Hwang PA (2006). "Hyperphosphatasia with neurologic deficit: a pyridoxine-responsive seizure disorder?". Pediatric Neurology. 34 (4): 303–307. doi:10.1016/j.pediatrneurol.2005.08.020. PMID 16638507.
- ↑ Horn D, Schottmann G, Meinecke P (2010). "Hyperphosphatasia with mental retardation, brachytelephalangy, and a distinct facial gestalt: Delineation of a recognizable syndrome". European Journal of Medical Genetics. 53 (2): 85–88. doi:10.1016/j.ejmg.2010.01.002. PMID 20080219.
- ↑ "Mabry syndrome: MedlinePlus Genetics". medlineplus.gov. Archived from the original on 26 January 2023. Retrieved 18 July 2023.
- ↑ Krawitz PM, Schweiger MR, Rödelsperger C, Marcelis C, Kölsch U, Meisel C, et al. (October 2010). "Identity-by-descent filtering of exome sequence data identifies PIGV mutations in hyperphosphatasia mental retardation syndrome". Nature Genetics. 42 (10): 827–829. doi:10.1038/ng.653. PMID 20802478. S2CID 205356893.
- ↑ Kang JY, Hong Y, Ashida H, Shishioh N, Murakami Y, Morita YS, et al. (March 2005). "PIG-V involved in transferring the second mannose in glycosylphosphatidylinositol". The Journal of Biological Chemistry. 280 (10): 9489–9497. doi:10.1074/jbc.M413867200. PMID 15623507.
- ↑ Hoffmann, Georg F.; Zschocke, Johannes; Nyhan, William L. (20 September 2016). Inherited Metabolic Diseases: A Clinical Approach. Springer. p. 354. ISBN 978-3-662-49410-3.
- ↑ Altassan, Ruqaiah; Fox, Stephanie; Poulin, Chantal; Buhas, Daniela (June 2018). "Hyperphosphatasia with mental retardation syndrome, expanded phenotype of PIGL related disorders". Molecular Genetics and Metabolism Reports. 15: 46–49. doi:10.1016/j.ymgmr.2018.01.007. ISSN 2214-4269. Retrieved 18 July 2023.
- ↑ Knaus A, Pantel JT, Pendziwiat M, Hajjir N, Zhao M, Hsieh TC, et al. (January 2018). "Characterization of glycosylphosphatidylinositol biosynthesis defects by clinical features, flow cytometry, and automated image analysis". Genome Medicine. 10 (1): 3. doi:10.1186/s13073-017-0510-5. PMC 5759841. PMID 29310717.
- ↑ Rodríguez de Los Santos M, Rivalan M, David FS, Stumpf A, Pitsch J, Tsortouktzidis D, et al. (January 2021). "A CRISPR-Cas9-engineered mouse model for GPI-anchor deficiency mirrors human phenotypes and exhibits hippocampal synaptic dysfunctions". Proceedings of the National Academy of Sciences of the United States of America. 118 (2): e2014481118. Bibcode:2021PNAS..11814481R. doi:10.1073/pnas.2014481118. PMC 7812744. PMID 33402532.
External links
| Classification | |
|---|---|
| External resources |
|
Template:Phospholipid metabolism disorders
