Ischiopatellar dysplasia
| Ischiopatellar dysplasia | |
|---|---|
| Other names: Small patella syndrome;Congenital coxa vara, patella aplasia and tarsal synostosis; Coxo-podo-patellar syndrome; Patella aplasia, coxa vara, tarsal synostosis; Scott-Taor syndrome; ischiocoxopodopatellar syndrome[1] | |
| File:Autosomal dominant - en.svg | |
| Ischiopatellar dysplasia is inherited in an autosomal dominant manner[2] | |
Ischiopatellar dysplasia (Small patella syndrome[1])is a rare autosomal dominant[3] disorder characterized by a hypoplasia of the patellae as well as other bone anomalies, especially concerning the pelvis and feet.[4]
Signs and symptoms
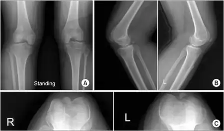
Individuals affected by ischiopatellar dysplasia commonly have abnormalities of the patella and pelvic girdle,[5] such as absent or delayed patellar and ischial ossification as well as infra-acetabular axe-cut notches.[6][7][8] Patellae are typically absent or small in these individuals, when patellae are present they are small and laterally displaced or dislocated.[9] In addition, abnormalities in other parts of their skeleton and dysmorphic features are common in those affected.[10][11] Other features that have been identified in patients with ischiopatellar dysplasia include foot anomalies,[12] specifically flat feet (pes planus), syndactylism of the toes,[13] short fourth and fifth toes, and a large gap between the first and second toes,[14][15] femur anomalies,[16] cleft palate,[17] and craniofacial dysmorphisms.[18][19]
Causes
Ischiopatellar dysplasia is often considered a familial condition.[20][21][22][23] Ischiopatellar dysplasia has been identified on region 5.6 cM on chromosome 17q22. Mutations in the TBX4 (T-box protein 4) gene have been found to cause ischiopatellar dysplasia due to the essential role TBX4 plays in lower limb development since TBX4 is a transcription factor.[24]
Diagnosis

Ischiopatellar dysplasia is usually identified through radiographic evidence since its characteristic changes are most notable in radiographic tests that indicate delayed bone age or absent ossification.[25] A full skeletal survey should be performed on any patient that has an absent or hypoplastic patellae since they could potentially have ischiopatellar dysplasia. Magnetic resonance imaging (MRI) is especially helpful in the diagnosis of ischiopatellar syndrome and is recommended when an individual affected by ischiopatellar dysplasia has a traumatic injury to the knee.[26]
Management
In terms of Small patella syndrome treatment we find the following:[27]
History
Ischiopatellar dysplasia is sometimes referred to as Scott-Taor syndrome after the researchers who first described ischiopatellar dysplasia as they recognized it in a family as an autosomal dominant disorder in 1979.[28] This finding was important as they were the first to note that it was a benign disorder that is separate from the more severe nail-patella syndrome.[29] Other common names for ischiopatellar syndrome are small patella syndrome (SPS), since the patellae are often small or absent in patients who have this syndrome, and coxo-podo-patellaire syndrome.[30][31][32]
References
- 1 2 "Small patella syndrome - Research - Genetic and Rare Diseases Information Center". rarediseases.info.nih.gov. Archived from the original on 10 July 2022. Retrieved 26 June 2022.
- ↑ INSERM US14. "Orphanet: Ischiopatellar dysplasia". www.orpha.net. Archived from the original on 17 December 2017. Retrieved 16 December 2017.
- ↑ Bongers EM, Duijf PH, van Beersum SE, Schoots J, Van Kampen A, Burckhardt A, Hamel BC, Losan F, Hoefsloot LH, Yntema HG, Knoers NV, van Bokhoven H. Mutations in the human TBX4 gene cause small patella syndrome. Am J Hum Genet. 2004;74:1239–1248.
- ↑ Kim H-S, Yoo J-H, Park N-H, Chang J-H, Ban Y-S, Song S-H. Magnetic Resonance Imaging Findings in Small Patella Syndrome. Knee Surgery & Related Research. 2016;28(1):75-78.
- ↑ Scott JE, Taor WS. The “small patella” syndrome. J Bone Joint Surg Br. 1979;61:172–175.
- ↑ Kim H-S, Yoo J-H, Park N-H, Chang J-H, Ban Y-S, Song S-H. Magnetic Resonance Imaging Findings in Small Patella Syndrome. Knee Surgery & Related Research. 2016;28(1):75-78.
- ↑ Kozlowski K, Nelson J. Small patella syndrome. Am J Med Genet. 1995;57:558–561.
- ↑ Bongers EM, Van Bokhoven H, Van Thienen M, Kooyman M, Van Beersym S, Boetes C, Knoers N, Hamel B. The small patella syndrome: description of five cases from three families and examination of possible allelism with familial patella aplasia-hypoplasia and nail-patella syndrome. J Med Genet 2001;38:209-214.
- ↑ Scott JE, Taor WS. The “small patella” syndrome. J Bone Joint Surg Br. 1979;61:172–175.
- ↑ Kozlowski K, Nelson J. Small patella syndrome. Am J Med Genet. 1995;57:558–561.
- ↑ Azouz EM, Kozlowski K. Small patella syndrome: a bone dysplasia to recognize and differentiate from the nail-patella syndrome. Pediatr Radiol. 1997;27:432–435.
- ↑ Kim H-S, Yoo J-H, Park N-H, Chang J-H, Ban Y-S, Song S-H. Magnetic Resonance Imaging Findings in Small Patella Syndrome. Knee Surgery & Related Research. 2016;28(1):75-78.
- ↑ Scott JE, Taor WS. The “small patella” syndrome. J Bone Joint Surg Br. 1979;61:172–175.
- ↑ Bongers EM, Duijf PH, van Beersum SE, Schoots J, Van Kampen A, Burckhardt A, Hamel BC, Losan F, Hoefsloot LH, Yntema HG, Knoers NV, van Bokhoven H. Mutations in the human TBX4 gene cause small patella syndrome. Am J Hum Genet. 2004;74:1239–1248.
- ↑ Kim H-S, Yoo J-H, Park N-H, Chang J-H, Ban Y-S, Song S-H. Magnetic Resonance Imaging Findings in Small Patella Syndrome. Knee Surgery & Related Research. 2016;28(1):75-78.
- ↑ Bongers EM, Duijf PH, van Beersum SE, Schoots J, Van Kampen A, Burckhardt A, Hamel BC, Losan F, Hoefsloot LH, Yntema HG, Knoers NV, van Bokhoven H. Mutations in the human TBX4 gene cause small patella syndrome. Am J Hum Genet. 2004;74:1239–1248.
- ↑ Kozlowski K, Nelson J. Small patella syndrome. Am J Med Genet. 1995;57:558–561.
- ↑ Bongers EM, Duijf PH, van Beersum SE, Schoots J, Van Kampen A, Burckhardt A, Hamel BC, Losan F, Hoefsloot LH, Yntema HG, Knoers NV, van Bokhoven H. Mutations in the human TBX4 gene cause small patella syndrome. Am J Hum Genet. 2004;74:1239–1248.
- ↑ Kim H-S, Yoo J-H, Park N-H, Chang J-H, Ban Y-S, Song S-H. Magnetic Resonance Imaging Findings in Small Patella Syndrome. Knee Surgery & Related Research. 2016;28(1):75-78.
- ↑ Bongers EM, Duijf PH, van Beersum SE, Schoots J, Van Kampen A, Burckhardt A, Hamel BC, Losan F, Hoefsloot LH, Yntema HG, Knoers NV, van Bokhoven H. Mutations in the human TBX4 gene cause small patella syndrome. Am J Hum Genet. 2004;74:1239–1248.
- ↑ Kim H-S, Yoo J-H, Park N-H, Chang J-H, Ban Y-S, Song S-H. Magnetic Resonance Imaging Findings in Small Patella Syndrome. Knee Surgery & Related Research. 2016;28(1):75-78.
- ↑ Bongers EM, Van Bokhoven H, Van Thienen M, Kooyman M, Van Beersym S, Boetes C, Knoers N, Hamel B. The small patella syndrome: description of five cases from three families and examination of possible allelism with familial patella aplasia-hypoplasia and nail-patella syndrome. J Med Genet 2001;38:209-214.
- ↑ Burckhardt A. The small patella syndrome. Z Orthop 1988;126:22–29.
- ↑ Bongers EM, Duijf PH, van Beersum SE, Schoots J, Van Kampen A, Burckhardt A, Hamel BC, Losan F, Hoefsloot LH, Yntema HG, Knoers NV, van Bokhoven H. Mutations in the human TBX4 gene cause small patella syndrome. Am J Hum Genet. 2004;74:1239–1248.
- ↑ Kozlowski K, Nelson J. Small patella syndrome. Am J Med Genet. 1995;57:558–561.
- ↑ Kim H-S, Yoo J-H, Park N-H, Chang J-H, Ban Y-S, Song S-H. Magnetic Resonance Imaging Findings in Small Patella Syndrome. Knee Surgery & Related Research. 2016;28(1):75-78.
- ↑ "Small patella syndrome". NORD (National Organization for Rare Disorders). Archived from the original on 13 May 2022. Retrieved 26 June 2022.
- ↑ Azouz EM, Kozlowski K. Small patella syndrome: a bone dysplasia to recognize and differentiate from the nail-patella syndrome. Pediatr Radiol. 1997;27:432–435.
- ↑ Scott JE, Taor WS. The “small patella” syndrome. J Bone Joint Surg Br. 1979;61:172–175.
- ↑ Bongers EM, Duijf PH, van Beersum SE, Schoots J, Van Kampen A, Burckhardt A, Hamel BC, Losan F, Hoefsloot LH, Yntema HG, Knoers NV, van Bokhoven H. Mutations in the human TBX4 gene cause small patella syndrome. Am J Hum Genet. 2004;74:1239–1248.
- ↑ Kim H-S, Yoo J-H, Park N-H, Chang J-H, Ban Y-S, Song S-H. Magnetic Resonance Imaging Findings in Small Patella Syndrome. Knee Surgery & Related Research. 2016;28(1):75-78.
- ↑ Kozlowski K, Nelson J. Small patella syndrome. Am J Med Genet. 1995;57:558–561.